- 저희 디데이치과가 국내 1위 병원 앱 강남언니에서, '고객평가우수병원'으로 선정되고, 네이버에서는 후기 평점 4.96점(5점 만점)의 수치를 달성하게 되었습니다.

강남언니 앱 내 평점
이런 긍정적인 후기가 쌓이게 된 것은, 모두 저희의 이야기를 귀 기울여주시고 믿음을 갖고 치료를 해나가신 환자분들의 역할이 컸다고 생각합니다.
앞으로도 양질의 진료를 도와드릴 것을 약속드립니다^^
안녕하세요. 디데이 치과 김무진 대표원장입니다.
저희 본원에서는 보건복지부가 인증한 통합치의학과 전문의 2명이 운영하고 있으며, 특히 선릉, 강남 지역의 직장인들이 많이 내원해 주시고 계십니다.
| 고려대학교 구강악안면외과 석사 |
|---|
| 보건복지부 인증 통합 치의학과 전문의 |
| 고려대학교 협력 병원 |
| 대기업 L사 제휴 치과 |
수많은 선릉, 강남역 치과들 중에서, 저희 본원을 찾으시는 이유를 환자분들께 여쭤보면 두 가지를 항상 말씀해 주십니다.
가격이 투명하게 공개되는 점
과잉진료 없이 친절한 상담
이 두 가지를 통해 저희 본원을 신뢰하시고 찾아오신다고 말씀을 해주시는데요.
실제로 내원하신 환자분들께서 네이버 후기를 통해 입소문을 내주시다 보니... 너무 감사한 마음이고, 더 보답해 드리기 위해 책임감을 느끼는 나날입니다.
<실제 후기 확인하러 가기>
| 네이버 평점 4.96(5점만점) 직접 후기 확인하러가기 |
오늘 소개해 드릴 분은 45세 남성분으로 선릉역 근처에 직장을 다니시는 분이십니다. 임플란트 치과를 찾으시다가, 저희 디데이치과 네이버 후기를 보고 내원하신 분입니다.
(환자분들의 동의하에 사례를 공개해 드리고 있습니다.
모든 전, 후 사진은 동일한 조건하에 촬영되었습니다.
또한 모든 임플란트 시술은 개인에 따라 차이가 있을 수 있으며,
부작용이 발생할 수 있습니다.)
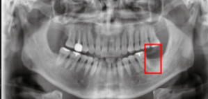
Before (전)
임플란트후붓기


내원하신 분은 이미 치아를 발치까지 되어있는 상태였습니다. 치아 발치 후 상당 기간을 방치했기 때문에, 뼈이식을 진행해야 하지 않을까 걱정을 하시며 방문하셨는데요.
X-RAY 촬영 결과, 다행히 임플란트 식립을 하기에 잇몸뼈의 상태가 양호하다고 판단되었고, 주변 치아의 방해가 없는 것이 확인되었습니다.
따라서 임플란트를 진행하기로 결정하였습니다.
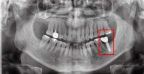
After(후)


사진을 보시면 임플란트가 안정적으로 자리 잡은 것을 확인해 보실 수 있습니다.
환자분께서는 임플란트후붓기에 대한 걱정도 많으셨습니다.
임플란트 수술 후 하루 동안 5분 간격으로 얼음찜질을 잘 해주실 것을 안내해 드렸고, 혹 붓기가 계속된다면 언제든지 병원에 내원하시라고 설명드렸습니다.
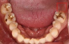
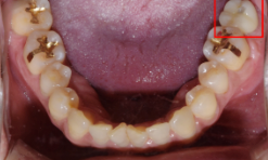
Before(전) : After(후)


이분은 SCRP 크라운 보철물로 치료를 진행하였습니다.
SCRP 보철물은 사후관리가 용이하다는 장점을 가지고 있습니다. 우측 사진을 보시면 치료받은 치아에 동그라미를 확인해 보실 수 있는데요. 이게 작은 구멍입니다.
이 구멍을 통해 나사 조임을 조절하여 언제든지 보철물이 탈부착이 가능하기에, 보철물을 위생적으로 관리할 수 있습니다.
즉, 임플란트 후 잇몸질환, 임플란트후붓기 등 문제가 발생하였을 때, 치과를 방문하셔서 쉽게 치료가 가능하다는 장점이 있습니다.
환자분께서 걱정되는 모든 부분이 해결되어 감사하다고 말씀해 주셨던 부분이 기억에 납니다^^
오늘 소개 드린 치료 사례는 어떠셨나요?
여러분들도 임플란트후붓기나 임플란트 이후 관리에 대한 걱정이 어느 정도 해소되었기를 바랍니다.
아마 많은 분들이 임플란트 치료가 필요하지만 비용, 통증, 부작용 등에 대한 걱정으로 인해.. 망설이고 계실 것 같습니다.
다만, 혼자 고민을 하시기보다는 치과 전문의와 상담을 먼저 진행해 보시는 것을 추천드립니다.
치과치료는 늦추면 늦출수록 치료가 어려워지며, 비용과 시간이 배로 들기 때문인데요.
당장 어떤 치과를 찾아가야 할지 고민이 되실 분들을 위해 아래의 글을 공유드립니다. 3분만 시간 내셔서 꼭 도움받아 가셨으면 좋겠습니다.
저의 디데이치과에서 상담을 원하시는 분들은 아래 번호로 연락을 주셔도 좋습니다.
상담부터 치료 그리고 사후관리까지 친절한 상담을 도와드릴 것을 약속드립니다.
| |
※ 공지사항 ※
저희 디데이 치과는
고퀄리티 의료 서비스를 제공하기 위해
한 달 신규 환자 수를 제한하고 있습니다.
이점 양해 부탁드립니다.
예약, 방문 시 "블로그 보고 왔어요."라고
말씀해 주신다면 보다 빠른
진료를 도와드리겠습니다.
| 상담문의 |
|---|
| 상담 문의 : 02-568-2877(바로가기)네이버 톡톡 문의(바로 가기)디데이 치료 후기(바로 가기) |
(모바일에서 클릭하시면 바로 전화 연결이 가능합니다.)
| 임플란트후붓기 - 함께 읽어보면 좋은 글 |
본 게시물은 의료 광고 법 제56조 1항을 준수하여 디데이 치과에서 의료 정보를 목적으로 직접 쓴 글입니다.
치과 치료는 의료진의 임상 경험과 환자분의 치아 상태에 따라 차이가 있을 수 있으므로, 의사와의 충분한 상담을 통해 치료를 결정하시길 바랍니다.