안녕하세요. 디데이 치과 김무진 대표원장입니다.
| 고려대학교 구강악안면외과 석사 |
|---|
| 보건복지부 인증 통합 치의학과 전문의 |
| 고려대학교 협력 병원 |
| 대기업 L사 제휴 치과 |
저희 디데이치과에서는 과잉진료 없는 양심적인 진료로 환자분들을 도와드리고 있으며, 치아의 기능적인 부분과 심미적인 부분을 고려하며 치료를 해드리고 있습니다.
이러한 노력 덕분인지, 많은 분들이 치료 결과에 만족해 주시며, 네이버 후기에 적어주셨습니다. 그 결과 네이버 평점이 4.96점(5점 만점)을 기록하게 되었습니다.
<실제 후기 확인하러 가기>
| 네이버 평점 4.96(5점만점) 직접 후기 확인하러가기 |
오늘 소개해 드릴 케이스는 27세 여성분입니다. 잇몸착색의 부분으로 인해 스트레스를 받으신 분입니다.
거뭇거뭇한 착색으로 크게 웃지도 못하고...
위축되는 자신감에...
고민을 계속하시다가 내원을 하셨습니다. 처음 뵈었을 때부터 위축된 모습이 있으셔서, 환자분께 자신감을 되찾아드려야겠다고 생각했던 것이 기억이 납니다.
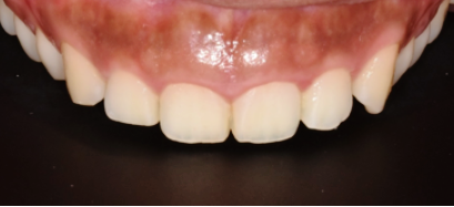
Before (전)
오늘 환자분 같은 경우 잇몸성형과 잇몸미백 2가지의 시술이 필요하셨습니다.

2021.09.13 내원 첫 날
위 사진을 보시면, 잇몸 면적이 넓어 웃을 때 잇몸이 많이 노출됩니다. 전형적인 거미스마일(gummy smile)의 잇몸이라고 볼 수 있는데요.
특히, 오늘의 환자분은 사진처럼 잇몸착색으로 인해, 음식을 먹을 때나 웃을 때 입을 가리거나, 잇몸을 드러내지 않도록 조심하는 것이 습관이 되셨다고 말씀해주셨습니다.
치료 후에는 손으로 입을 가리지 않고 잇몸을 드러내어 크게 웃어보는 것이 소원이라고까지 말씀하실 정도로 스트레스를 많이 받고 계셨습니다.
이 환자분과 1:1로 상담을 하였고, 그 결과 잇몸성형과 미백의 시술을 동시에 진행하기로 결정하셨습니다.
다만, 시술하면서 통증에 대한 두려움이 크셨는데요. 저희 본원에서는 환자분들의 편안한 진료를 위해 주사 마취를 최대한 천천히 놓고, 아프지 않도록 도와드리고 있기에, 충분히 설명을 드리고 안심시켜드렸습니다.
실제로 시술 중에도 편안하게 치료를 진행하였고, 안전하게 치료가 마무리되었는데요.
그러면 바로 전후사진을 보여드리겠습니다.
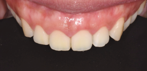
Before(전) - After(후)
잇몸착색


2021.09.13(전) / 2021.10.12(후) - 2차 리터치까지 완료
왼쪽은 시술 전, 오른쪽은 시술 후의 사진입니다. 2차 리터치까지 마친 상태입니다.
사진으로 보아도 달라진 모습이 보이지 않으신가요?
시술 전 짧아 보였던 치아가 눈에 띄게 넓어졌고, 잇몸착색이 되었던 부분도 밝은 선홍빛을 띄고 있는 것을 확인해 보실 수 있습니다.
환자분께서도 손으로 가리지 않고 크게 웃어 보이며 만족해하셨는데요.
처음 내원했을 때보다 밝은 모습으로 마무리되어, 치과의사로 뿌듯함을 느끼게 되었습니다^^
치료 사례는 여기까지입니다.
솔직히 말씀드리자면, 치아성형, 미백의 시술 자체는 치과 전문의에게 어렵지 않은 시술 중 하나입니다.
따라서 위의 사례를 보시고 꼭 저희 본원을 찾아오진 않으셔도 됩니다.
다만, 한 가지 당부드리고 싶은 것이 1가지 있습니다.
아무리 시술의 난이도가 어렵지 않다고 하여도, 아무 기준 없이 거리상 가까운 이유, 지인들이 추천한다는 이유만으로 덜컥 결정하지 않으셨으면 합니다.
치아성형, 미백 시술의 핵심은, 치아와 잇몸 간의 밸런스를 맞추는 시술인데요.
이때, 치과 전문의의 판단과 환자가 원하는 시술 방향에 대한 상담을 바탕으로 만족도 높은 결과를 만들어낼 수 있습니다.
따라서, 적어도 치과 2-3곳을 방문하셔서 전문의와 상담을 받아보시고 신중하게 결정하시길 바랍니다.
세심하고 면밀한 상담을 통해, 가장 신뢰가 가고 내가 원하는 방향과 일치한 곳에서 시술을 받는 것이 긍정적인 결과를 기대해 볼 수 있습니다.
혹, 2-3곳을 방문하는 치과를 어디로 가야 할지 막막하신 가요?
그런 분들을 위해, 아래 글을 하나 공유드립니다. 제가 적은 글이니 3분 정도 시간 내셔셔 읽어보신다면 도움을 얻으실 수 있을 것입니다.
<치과 선정 시, 고려해야 할 점>
혹시 이 글을 읽으시고 저희 본원에서 상담을 원하신다면, 아래 번호로 연락을 주셔도 좋습니다.
최선을 다할 것을 약속드립니다.
| |
※ 공지사항 ※
저희 디데이 치과는
고퀄리티 의료 서비스를 제공하기 위해
한 달 신규 환자 수를 제한하고 있습니다.
이점 양해 부탁드립니다.
예약, 방문 시 "블로그 보고 왔어요."라고
말씀해 주신다면 보다 빠른
진료를 도와드리겠습니다.
| 상담문의 |
|---|
| 상담 문의 : 02-568-2877(바로가기)네이버 톡톡 문의(바로 가기)디데이 치료 후기(바로 가기) |
(모바일에서 클릭하시면 바로 전화 연결이 가능합니다.)
| 잇몸착색 - 함께 읽어보면 좋은 글 |
본 게시물은 의료 광고 법 제56조 1항을 준수하여 디데이 치과에서 의료 정보를 목적으로 직접 쓴 글입니다.
치과 치료는 의료진의 임상 경험과 환자분의 치아 상태에 따라 차이가 있을 수 있으므로, 의사와의 충분한 상담을 통해 치료를 결정하시길 바랍니다.