안녕하세요. 디데이치과 김무진 대표원장입니다.
올해는 저희 디데이치과에 기쁜 소식이 있었습니다. 저희 본원이 1주년을 맞이하게 되었다는 사실과 네이버 평점 4.96점을 달성하게 되었다는 점입니다.
치료를 받고 가신 환자분들께 감사의 마음을 전하며, 앞으로도 '과잉진료 없이 양심적인 치과' '무통마취로 편안하게 진료받을 수 있는 치과'로 보답 드릴 것을 약속합니다.
<실제 후기 확인하러 가기>
| 네이버 평점 4.96(5점 만점) 직접 후기 확인하러 가기 |
오늘은 치료 사례로 20대임플란트 치료 사례를 소개해 드리려고 합니다.
20대인데 임플란트를 벌써 해야 하다니..
저처럼 20대에도 하시는 분이 있나요?
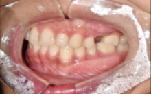
저희 본원에 내 원하신 분으로, 딱딱한 음식을 드시다가 치아가 빠져 내원하신 분이셨습니다.
20대 후반의 나이에, 임플란트시술을 해야 한다는 사실에 걱정과 고민이 많으셨고..
20-30대 분들도 임플란트를 많이 하시기 때문에 걱정을 덜 하셔도 된다는 말씀과 치료 과정을 꼼꼼하게 상담을 해드린 결과, 임플란트 시술을 진행하기로 결정하셨습니다.
Before (임플란트 전)
임플란트교체


2021.07.16
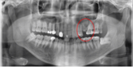
먼저 치아 엑스레이를 촬영하였고, 현재 치아의 상태에 대해 살펴보았습니다.
확인해 보니, 좌측 상단의 치아가 딱딱한 음식을 씹으며 치아가 떨어졌지만, 뿌리가 남아있는 상태로, 발치를 먼저 진행해야 하는 상황이었습니다.
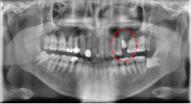
임플란트 1차 치료 후
임플란트교체


2021.07.23 / 2021.08.02 (1차,2차 후)
환자분은 상담 1주일 후 내원을 해주셨습니다. 발치와 함께 임플란트 1차 치료가 진행되었습니다.
임플란트 뿌리가 되어줄 '인공치근'을 심었습니다.(1차 치료) 그 후 일주일 뒤 보철과 인근치근을 연결해 주는 지대주를 식립하셨습니다. (2차 치료)
무사히 1차, 2차 치료를 마치셨고, 3개월 뒤 최종 보철물 부착을 위해 내원하시기로 하셨습니다.
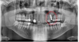
After : 임플란트 후
임플란트교체

2021.07.16 / 2021.10.21
임플란트 최종 보철물 식립 후의 사진입니다.
이 환자분은 치료를 시작하기 전부터 통증에 대한 두려움이 많으셨는데요.
치료 동안 꼼꼼하게 마취를 도와드렸고, 통증을 최소화할 수 있도록, 편안하게 진료를 받을 수 있도록 도와드렸습니다.
그 덕분인지 환자분께서 '통증 진짜 많이 걱정했는데, 치료 내내 괜찮았습니다. 원장님 너무 감사합니다.'라는 말을 해주셔서 뿌듯했던 기억이 납니다.
Before / After : 임플란트 전/ 후


2021.07.16 / 21.10.21
임플란트 전, 후의 최종 사진입니다.
치아가 잘 식립된 걸 확인하실 수 있습니다.^^
오늘 소개해드린 환자분도 그렇고, 많은 분들이 임플란트 수술 기간에 대해 궁금해하십니다.
사람마다 다르지만, 평균적으로 하악은 수술 후 2-3개월 후, 상악은 위 환자 케이스처럼 3-4개월 후 최종 보철물까지 올리고 마무리됩니다.
두 기간의 차이는 상악과 하악의 골질에 차이가 있기 때문입니다. 상악이 하악에 비해 뼈가 무르기 때문에 임플란트가 자리 잡는 데까지 시간이 더 소요되기 때문이죠.
정확한 치료 기간과 과정은 환자분들마다 차이가 있기 때문에, 치과에 내원하셔서 상담을 받으시는 것을 권해드립니다.
오늘은 20대 남성분의 임플란트 치료에 대해 설명드렸는데, 어떠셨나요?
이 글로 임플란트 치료에 대한 궁금증이 해소가 되셨길 바랍니다. 혹 임플란트교체에 대해 더 궁금하신 부분이 있으시다면 연락을 주셔도 좋습니다.
그럼 저희 디데이치과는 여기서 글을 마치며, 다음 치료 사례로 또 인사드리겠습니다. 끝까지 읽어주셔서 감사합니다.^^
본 게시물은 의료 광고 법 제56조 1항을 준수하여 디데이 치과에서 의료 정보를 목적으로 직접 쓴 글입니다.
치과 치료는 의료진의 임상 경험과 환자분의 치아 상태에 따라 차이가 있을 수 있으므로, 의사와의 충분한 상담을 통해 치료를 결정하시길 바랍니다.
| |
※ 공지사항 ※
저희 디데이 치과는
고퀄리티 의료 서비스를 제공하기 위해
한 달 신규 환자 수를 제한하고 있습니다.
이점 양해 부탁드립니다.
예약, 방문 시 "블로그 보고 왔어요."라고
말씀해 주신다면 보다 빠른
진료를 도와드리겠습니다.
| 상담문의 |
|---|
| 상담 문의 : 02-568-2877(바로가기)네이버 톡톡 문의(바로 가기)디데이 치료 후기(바로 가기) |
(모바일에서 클릭하시면 바로 전화 연결이 가능합니다.)
| 임플란트교체 - 함께 읽어보면 좋은 글 |