안녕하세요. 디데이치과 오태훈 대표원장입니다.
오늘은 임플란트 치료 사례와 함께, 어금니 발치 후 임플란트가 꼭 필요한지 설명드리려고 합니다.
선천적으로 영구치가 안 나오고 있습니다.
임플란트를 해야 할까요?
임플란트 하게 되면 티가 많이 나나요?
자연치아와 많이 다를까요?
오늘은 선천적으로 영구치가 자라지 않아 유치를 계속 사용해오고 계셨던 26세 남자분의 사례를 소개해 드리려고 합니다.
당장의 불편감은 없었지만, 심미적인 이유로 보기 좋지 않고, 추후 발생할 수 있는 문제가 걱정되어 저희 본원에 방문하셨는데요.
| 오늘 소개해 드리는 사례는 어금니발치후임플란트 사례는 아니나, 최근에 '네비게이션임플란트'에 관한 문의가 자주 들어오다 보니, 해당 사례를 다루게 되었습니다.어금니 임플란트 사례가 궁금하신 분들도 아래의 글을 먼저 읽어보시면 좋으실 것 같습니다. |
<어금니 치료 사례 확인하고 오기>
Before : 임플란트 전
어금니발치후임플란트

21.06.29 (최초 방문일)
치료 전 사진을 보시면 앞니 기준으로 좌우 3개의 치아가 유치입니다. (빨간 동그라미 부분)
유치는 영구치에 비해 크기가 작으며, 인접한 영구치들의 간섭을 받게 되고, 오랫동안 사용하기 어려워집니다.
따라서 기존 유치를 발치하고 임플란트 수술을 통해 치아의 기능적, 심미적인 부분을 모두 살리는 방향으로 결정하게 되었습니다.
더불어서, 파란색 원 부분을 보시면 송곳니가 앞니와 유치 사이에 있는 것을 확인해 보실 수 있는데요.
원래 위치에 있어야 할 '2번째 치아'가 자라지 않다 보니 '치아결손'이 생겨 그 자리를 송곳니가 대신 자리 잡고 있는 상황이었습니다.
이렇게 외관상 보기 안 좋기도 하고, 무엇보다 치아가 제 역할을 다하지 못해 문제가 발생할 수 있어서.. 해당 치아는 라미네이트를 통해 기능성과 심미성을 모두 보완하기로 결정했습니다.

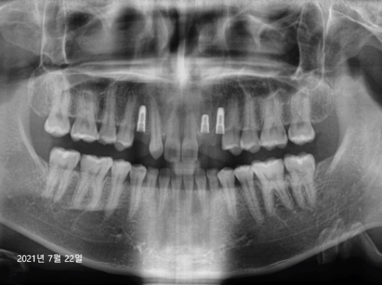
21.07.22
보다 섬세한 치료를 위해서, 컴퓨터 모의 수술을 진행해 볼 수 있는 네비게이션 임플란트를 진행하였는데요.
위 사진은 임플란트 인공치근을 식립한 (1차 수술) 후 치아 x-ray 사진입니다. 임플란트 치료에서 가장 중요한 기둥을 만들어주는 단계인 만큼, 주변 치아의 간섭 없이 올곧게 잘 식립된 모습을 확인해 보실 수 있습니다.
After: 임플란트 식립 후
어금니발치후임플란트

21.12.01
3개월 후 내원하셔서 임플란트 치료가 전부 완료된 사진입니다.
빨간색 동그라미 부분을 보시면 마지막 보철물까지 씌운 모습을 확인해 보실 수 있는데요.
파란색 동그라미 부분에 자리 잡고 있던 송곳니도 라미네이트를 통해 주변 치아와 조화롭게 자리하고 있습니다.
아마 전후 사진을 보시면 더욱더 명확한 차이를 느끼실 텐데요. 바로 보여드리겠습니다.
Before : After


2021.06.29 / 21.12.01
왼쪽은 치료 전, 오른쪽은 치료 후 사진입니다. 수술 전 보였던 삐뚤빼뚤한 치아의 모습, 치아결손 등의 모습은 사라지고 가지런한 모습이 된 게 보이시나요?
만약 유치를 그대로 방치했을 경우, 주변 치아의 간섭으로 치아의 기능성을 모두 잃을 가능성이 있으며, 치아 사이의 이물질로 인해 염증, 잇몸질환이 발생할 가능성이 있습니다.
다행히 환자분은 네비게이션 임플란트를 통해 보다 더 안전하고, 섬세한 수술을 진행할 수 있었습니다.
마지막으로 저희 본원에 내원하셔서 많은 분들이 물어보시는 질문에 대한 답변을 해드리고 마치려고 합니다.
Q&A
어금니 발치 후 임플란트
꼭 진행해야 할까요?
솔직하게 말씀드리면, 어금니 상실 후에는 임플란트는 꼭 하시는 것을 권면 드립니다.
어금니가 상실되면 음식물을 씹는 부분(저작활동)에 문제가 발생합니다.
뿐만 아니라 어금니가 없는 상태에서 턱이 계속 움직이게 되면 턱관절 변형이 발생할 가능성이 있습니다. 얼굴 형태가 변하거나 치열 변화에도 영향이 발생할 수 있기 때문입니다.
단, 환자분의 전반적인 구강상태, 잇몸상태에 맞는 수술이 적용이 되어야 하기에, 치과에 방문하셔서 꼭 전문의와 충분한 상담을 받아보시길 바랍니다.
오늘은 어금니발치후임플란트, 라미네이트를 알아보시는 분들께 도움이 되었으면 하는 마음으로 작성하였습니다^^
혹 더 궁금하신 점, 문의하고 싶은 부분이 있으시다면 연락을 주셔도 좋습니다.
끝까지 읽어주셔서 감사합니다.
본 게시물은 의료 광고 법 제56조 1항을 준수하여 디데이 치과에서 의료 정보를 목적으로 직접 쓴 글입니다.
실제 디데이치과에서 모든 치료 과정을 마친 환자분으로 전후 사진 동일인입니다. 촬영된 모든 사진은 동일 조건하에 촬영되었습니다.
치과 치료는 의료진의 임상 경험과 환자분의 치아 상태에 따라 차이가 있을 수 있으므로, 의사와의 충분한 상담을 통해 치료를 결정하시길 바랍니다.
| |
※ 공지사항 ※
저희 디데이 치과는
고퀄리티 의료 서비스를 제공하기 위해
한 달 신규 환자 수를 제한하고 있습니다.
이점 양해 부탁드립니다.
예약, 방문 시 "블로그 보고 왔어요."라고
말씀해 주신다면 보다 빠른
진료를 도와드리겠습니다.
| 상담문의 |
|---|
| 상담 문의 : 02-568-2877(바로가기)네이버 톡톡 문의(바로 가기)디데이 치료 후기(바로 가기) |
(모바일에서 클릭하시면 바로 전화 연결이 가능합니다.)
| 함께 읽어보면 좋은 글 |