안녕하세요. 디데이치과 오태훈 대표원장입니다.
환자분들의 통증을 최소화하기 위해, 편안하게 진료 및 치료를 받으실 수 있도록 최선을 다하고 있습니다.
그 덕분에 실제로 치료 후 '치과진료 통증으로 인해 걱정을 많이 했는데, 큰 고통 없이 끝났네요. 정말 감사합니다.'라고 말씀해 주시는 분들도 종종 계시는 상황입니다. 이런 말씀을 들을 때마다 뿌듯한 마음입니다^^
지금 이 글을 읽고 계시는 분들은 인레이통증이 걱정되는 마음으로 이 글을 읽고 계실 것 같습니다.
따라서 통증 원인 설명, 충치치료에 대해 설명을 드리고자 합니다. 먼저 충치치료 종류에 대해 간략히 말씀드리겠습니다.
" 혹 레진, 인레이, 크라운이 무엇인지,
그 차이점을 알고 계시나요?"
대부분의 사람들이 비슷하다고 생각을 합니다. 오늘 제가 개념을 하나하나 말씀드리겠습니다.
| 1) 레진 |
충치가 심하지 않을 경우, 충전재인 레진을 이용하여 치료하게 됩니다. 레진은 치아색과 비슷하여 심미성이 뛰어나다는 장점을 가지고 있습니다.
| 2) 인레이 |
충치의 범위가 보다 넓은 경우에 사용하는 재료입니다. 금 또는 도자기와 비슷한 재질인 세라믹 재질의 충전재를 사용하게 됩니다.
| 3) 크라운 |
치아 전체를 덮어씌우는 치료입니다. 치아의 충치가 매우 심할 때 사용하는 치료법입니다.

3가지 방법으로 충치치료가 진행됩니다.
인레이 같은 경우, 간혹 치료 후 인레이통증을 경험하시는 분들이 계십니다. 이 원인은 1) 이차 충치 2)치아크랙에 의해 발생합니다.
만약 증상을 방치하게 되면, '크라운치료' 나 '임플란트' 치료를 해야 할 수 있도 있는 상황으로, 시간과 비용이 더 많이 소요됩니다.
따라서 현재 증상이 있으신 분들은 빠른 시일 내에 병원에 방문하셔서 치과 전문의와 상담을 진행해 보실 것을 권면 드립니다.

지금까지 충치 치료 종류에 대해 살펴보았습니다. 아래부터 이어지는 글은 '충치치료 사례'에 대해 설명드리겠습니다.
앞니에 금이 심하게 가기 시작했어요.
크라운치료, 라미네이트를 동시에
할 수 있을까요?
오늘 소개해 드리려고 하는 사례는 26살 여성분의 케이스입니다.
웃으면 바로 보이는 앞니 쪽 치아 6개 치료하셨습니다. 라미네이트와 올 세라믹 크라운 치료를 함께 진행하셔서, 치아의 심미성과 기능성 두 마리 토끼를 같이 잡은 케이스입니다.
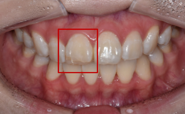
Before : 전
인레이통증

2022.04.11
환자분께서는 총 6개의 앞니 쪽 치아에 얼룩덜룩한 반점이 생기는 상황이었습니다. 이로 인해 치아 노출에 대한 콤플렉스 크게 웃지 못한다고 하셨습니다.
특히, 대문니 하나(빨간색 네모)의 경우에는 아래쪽 크랙까지 있다 보니 기능적으로도 문제가 발생할 수 있는 상황이었습니다. 따라서 해당 치아는 라미네이트 대신 울 세라믹 크라운 치료를 진행하였습니다.
그리고 나머지 앞니 치아 5개는 심미적인 부분을 보완할 수 있는 라미네이트 수술을 진행하기로 결정하였습니다.
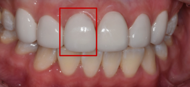
After : 후
인레이통증

2022.04.18
위의 사진은 치료 후의 모습입니다.
앞에 말씀드린 것처럼, 대문니(빨간 네모)의 치아는 크랙과 파절이 함께 있었기에, 올 세라믹 크라운 치료가 진행되었습니다.
올 세라믹 크라운은 치아 삭제량은 상대적으로 더 많을 수 있지만, 강도가 우수하기 때문에 기능적인 부분을 보완할 수 있는 치료입니다.
이외 좌우 5개의 치아에 대해서는 환자분의 콤플렉스였던 얼룩덜룩한 치아 반점을 완전히 보완하는 라미네이트수술이 진행되었습니다.
주변 치아 색들과의 조화, 크기의 균형감까지 고려하여 심미적인 부분을 최대한 자연스럽게 보완하게 되었습니다.
Before : After : 전 /후


2022.04.11(치료전) / 2022.04.18 (후)
위의 사진은 치료 전/ 후의 사진입니다. 이렇게 보니 차이가 바로 보이시나요?
전반적으로 어두웠던 치아 색이 전체적으로 화사해진 심미성과 치아 건강의 기능성까지 모두 고려한 치료였기에..
환자분도 결과를 보시고 자연스럽다고 만족해하신 모습이 기억에 남습니다.
치료 전 문진, 상담부터 꼼꼼하게 진행이 되었고, 환자분도 원하시는 결과를 명확하게 말씀해 주셨기 때문에, 위와 같은 결과를 얻을 수 있었습니다.
현재 이 글을 읽고 계시는 분들 중에는, '나도 라미네이트 혹은 크라운치료를 받아볼까?'라고 고민을 하고 계시는 분들이 있을 것 같습니다.
다만, 저는 이 글만 보고 치료를 결정하지 않으셨으면 합니다.
치과치료의 핵심은 환자의 치아에 따라 맞는 '치료 계획'이 수반되어야 하기 때문입니다. 따라서 전문의와의 상담을 통해 치료 방향을 결정하시는 것이 좋습니다.
긍정적인 결과를 원하신다면, 상담 자체를 번거롭게 생각하지 마시고, 의료진과의 꼼꼼한 상담을 통해 나에게 필요한 '치료 게획'을 바탕으로 진행하시길 바랍니다.
혹 이 글을 읽으시고 저희 디데이치과에서 상담을 원하시는 분들은 아래의 번호로 연락을 주셔도 좋습니다.
꼼꼼한 문진, 상담을 통해 환자분들이 만족해하는 치료 결과가 나올 수 있도록 최선을 다하겠습니다.

| 인레이통증 - 함께 읽어보면 좋은 글 |
| |
※ 공지사항 ※
저희 디데이 치과는
고퀄리티 의료 서비스를 제공하기 위해
한 달 신규 환자 수를 제한하고 있습니다.
이점 양해 부탁드립니다.
예약, 방문 시 "블로그 보고 왔어요."라고
말씀해 주신다면 보다 빠른
진료를 도와드리겠습니다.
| 상담문의 |
|---|
| 상담 문의 : 02-568-2877(바로가기)네이버 톡톡 문의(바로 가기) |
(모바일에서 클릭하시면 바로 전화 연결이 가능합니다.)