안녕하세요. 선릉역에서 디데이 치과를 운영하고 있는 김무진 대표원장입니다.
저희를 믿고 내원해 주신 여러분들 한 분 한 분 께 최선을 다하고자 매일 노력하고 있습니다.
앞으로도 환자분들을 1순위로 생각하며, 진료 및 치료를 진행할 것을 약속드립니다^^
현재 이 글을 보고 계시는 분들은 치아가 변색되었거나, 치아 모양이 만족스럽지 않아 '라미네이트'를 고민하고 계실 것 같습니다.
아무래도 라미네이트 치료가 보편화되기도 했으며, 연예인들도 방송에 나와 치료 후기를 이야기하다 보니... 많은 분들이 검색을 해보시고, 상담을 받기 위해 내원해 주고 계십니다.
그런 분들을 위해 20대 여성분의 치료 과정을 보여드리려고 합니다. 읽어보시고 라미네이트에 대한 정보를 얻어 가시면 좋을 것 같습니다^^

서울라미네이트
치아 사이사이 벌어짐도 생기고,
앞니도 부식되어 고민이네요.
오늘 소개해 드릴 분은 20대 여성분입니다. 치아 콤플렉스로 오랫동안 스트레스를 받고 계신 분이었습니다.
치아 변색도 점점 심해지고, 치아 벌어짐으로 생긴 '트라이앵글존' 때문에 특히 고민이 많으셨는데요.
Before

2022.02.08 서울라미네이트
앞에서 말씀드린 트라이앵글존 (사진 속 네모칸)은 앞니 사이의 벌어진 공간을 말합니다.
치료를 하지 않고 방치하게 되면, 앞니뿐 아니라 주변 치아의 변형도 발생할 수 있는 상황이셨는데요.
치아 변색도 있는 편이다 보니, 환자분과 충분한 상담 후에 눈에 가장 띄는 앞니 6개를 먼저 라미네이트를 진행하기로 결정했습니다.
트라이앵글존 라미네이트 치료의 핵심은 '어떻게 자연스럽게 치아를 디자인할 것인가'입니다.
오늘의 환자분은 치아 모양 자체가 어긋나는 부분은 크게 없었기에 최소삭제로 시술을 진행하였고, 약 1주일 후 보철물 부착까지 마무리하게 되었습니다.
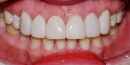
After

2022.02.15 서울라미네이트
치료 후 모습입니다.
무엇보다 치아 사이의 틈을 메꾸고, 자연스러운 치아의 모습을 중점으로 두고 시술하였는데요.
사진에서 트라이앵글존이 완전히 메워진 모습이 가장 눈에 띕니다.^^
단순히 벌어진 사이를 채우는 것은 물론이며, 자연치아를 최대한 보존하며, 주변 치아와 조화를 맞추기 위한 시술을 진행하였습니다.
Before : After


2022.02.08 / 2022.02.15 서울라미네이트
왼쪽이 전, 오른쪽이 후 사진입니다. 차이가 느껴지실까요?
저희가 라미네이트 시술을 진행할 때는 2가지를 가장 중점적으로 시술을 도와드리고 있습니다.
-
주변 치아와의 조화
-
치아 삭제량을 최소화
혹 라미네이트 시술을 하고 싶음에도 '치아 삭제량이 많을까 봐 걱정되는 마음'으로 미루고 계신 분들도 있을 것 같은데요.
실제로 삭제량이 많아지면 이 시림 등의 부작용이 발생하고, 보철물이 안정적으로 자리 잡는데 어려움이 있기 때문에..가능하면 치아절삭량 최소화를 목표로 치료를 진행하실 것을 권해드립니다.
다만 간혹 너무 많은 양을 삭제해야 할 경우에는 대안으로 올 세라믹 크라운 등의 다른 시술이 대안이 될 수도 있습니다.
개인에 따라 가장 최선의 결과를 낼 수 있는 방법을 제안 드리고 있기에, 혼자 걱정하시기보다는 가까운 치과에 내원하셔서 상담을 먼저 받아보시길 바랍니다.
오늘 서울라미네이트 사례 어떠셨나요?
많은 분들이 치아 콤플렉스로 인해 자신감이 하락하는 경우가 있습니다. 그런 분들을 뵐 때마다 속상하고 안타까운 마음이 듭니다.
그런 분들이 시술 후 '감사하다'라는 이야기를 하실 때면, 제가 콤플렉스를 해결에 도움을 드렸다는 사실에 감사한 마음이 들기도 합니다.
워낙 실력 있고 꼼꼼하게 진행하시는 선생님들이 많이 계시니, 꼼꼼하게 알아보시고 시술을 결정하시길 바랍니다. ^^
끝까지 읽어주셔서 감사합니다.
지금까지 디데이치과 김무진 대표원장이었습니다.
본 게시물은 의료 광고 법 제56조 1항을 준수하여 디데이 치과에서 의료 정보를 목적으로 직접 쓴 글입니다.
치과 치료는 의료진의 임상 경험과 환자분의 치아 상태에 따라 차이가 있을 수 있으므로, 의사와의 충분한 상담을 통해 치료를 결정하시길 바랍니다.
| 함께 읽어보면 좋은 글 |
| |
※ 공지사항 ※
저희 디데이 치과는
고퀄리티 의료 서비스를 제공하기 위해
한 달 신규 환자 수를 제한하고 있습니다.
이점 양해 부탁드립니다.
예약, 방문 시 "블로그 보고 왔어요."라고
말씀해 주신다면 보다 빠른
진료를 도와드리겠습니다.
| 상담문의 |
|---|
| 상담 문의 : 02-568-2877(바로가기)네이버 톡톡 문의(바로 가기) |
(모바일에서 클릭하시면 바로 전화 연결이 가능합니다.)