안녕하세요. 디데이치과 김무진 대표원장입니다.
지금 이 글을 읽으시는 분들은 임플란트 수술을 이미 받으셨거나 임플란트 치료를 고려하고 있는 분들이실 텐데요.
고가의 수술인만큼 임플란트를 평생 사용가능할지 궁금해하실 것 같습니다.
임플란트평생 유지가 가능할까요?
보통 수명이 어느 정도인가요?
결론부터 말씀드리자면, 평균 수명은 약 10년입니다.
다만, 그 이상 영구적으로 사용하기 위해서는 기본적으로 치아가 정확하게 식립이 되어야 하고, 치료 후 개인위생 관리와 정기적인 치과검진도 철저하게 하셔야 합니다.
꼼꼼하게 식립 계획을 세우는 것부터 사후관리까지 철저하게 진행되어야 하기 때문입니다.
따라서 임플란트를 오랫동안 사용하고 싶으신 분들은, 무엇보다 정기적으로 치과검진을 통해 꼼꼼하게 치아관리를 하실 필요가 있습니다.
이어지는 글에서는 여러분과 비슷하게 '임플란트 평생 사용이 가능할지' 고민을 많이 하셨던 20대 환자분의 임플란트 치료 사례입니다. 끝까지 읽어보시고 도움받아가시길 바랍니다.^^
치아 통증이 너무 심해서..
잠을 잘 수가 없어요.
밥 먹는 게 너무 힘듭니다.
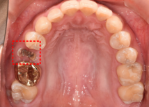
Before
임플란트평생


2021.08.25-28
왼쪽 사진에 보시면 빨간색 네모 박스 보이시나요? 이 부분의 치아가 상실되어 임플란트가 필요한 상황이었습니다.
바로 옆에 있는 골드크라운 치아도 교체가 필요한 상황이라.. 임플란트와 골드크라운 교체를 함께 진행하기로 결정하셨는데요.
우측 엑스레이 보시면, 치아 뿌리가 남아있는 상황으로 '치아 뿌리 발치'가 먼저 필요한 상황이었습니다. 방치하게 되면, 통증이 더 심해질 수 있기에 빠르게 발치를 먼저 진행하셨습니다.
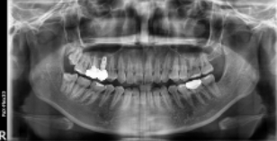
After
임플란트평생


2021.12.08
수술 후의 사진입니다. 가장 먼저 임플란트에서 치아의 '기둥' 역할을 하는 픽스처를 식립하였고, 그 후 지주대, 인공치근까지 치료가 완료되었습니다.
기존에 교체가 필요한 골드크라운도 올 세라믹 크라운으로 함께 진행하여 저작 능력과 심미성 두 마리의 토끼를 다 잡는 방향으로 치료가 진행되었습니다.
전체 치료 기간은 약 3개월 정도 소요되었습니다. 환자분이 치과치료 통증에 대한 걱정과 두려움이 많으셨는데, 무사히 치료가 마무리된 후 '원장님, 생각했던 것보다 괜찮았습니다. 참을만했어요.'라고 말씀을 해주셨던 기억이 납니다.
Before : After
임플란트평생


21.08.25-28 전


21.12.08 후
치료 전, 후 사진입니다. 같이 보니 확연한 차이가 느껴지시죠?
치료를 받으신 환자분도 너무 만족해하셔서, 저 역시 매우 흡족했던 치료였습니다. 며칠 전에도 내원하셔서 정기검진을 받고 가셨는데요.
'이제 음식 먹을 때 불편감이 전혀 없습니다. 제 자연치아 같아요.^^'라는 말씀도 해주셔서 웃으면서 검진을 완료했습니다.
오늘 글에서 누차 말씀드리지만, 임플란트는 사후관리가 핵심입니다.
사후관리가 잘되면 10년 그 이상 영구적으로 사용이 가능합니다. 다만, 그렇지 않을 경우 재식립, 부작용이 생길 수 있어 10년도 안되어 치아를 교체해야 하는 불상사가 발생할 수 있는데요.
따라서 현재 임플란트 치료를 고민하시는 분들은 치료 과정뿐 아니라 사후관리까지 책임지고 도와주는 병원에 방문하셔서 치료를 받으시길 바랍니다.

끝까지 읽어주셔서 감사합니다.
지금까지 디데이치과 김무진 대표원장이었습니다.
본 게시물은 의료 광고 법 제56조 1항을 준수하여 디데이 치과에서 의료 정보를 목적으로 직접 쓴 글입니다.
치과 치료는 의료진의 임상 경험과 환자분의 치아 상태에 따라 차이가 있을 수 있으므로, 의사와의 충분한 상담을 통해 치료를 결정하시길 바랍니다.
| |
| 상담문의 |
|---|
| 상담 문의 : 02-568-2877(바로가기)네이버 톡톡 문의(바로 가기) |
| 함께 읽어보면 좋은 글 |
(모바일에서 클릭하시면 바로 전화 연결이 가능합니다.)