안녕하세요. 디데이치과 오태훈대표원장입니다.
" 내가 치과를 내원해야 하는 환자라면,
어떤 부분을 가장 신경 쓸까?"
치과를 개원하기 전, 저와 김무진 원장님이 고민을 하고 신경을 썼던 부분입니다. 비용, 통증, 과잉진료 등의 고민을 덜어드리기 위해 노력을 했는데요.
많은 고민 끝에, 투명하게 비용을 공개하기로 결정하고, 믿고 내원해 주신 한 분 한 분께 최선을 다하고자 충분한 시간을 들여 천천히 마취를 도와드리며 진료를 보고 있습니다.
그러다 보니 전국 각지에서 많은 분들이 내원을 해주시고 계십니다. (디데이 치과 내원경로서 기준)
너무 감사한 마음입니다^^

내원 환자 분포입니다.
요즘은 심미적이니 이유로 치아 미용에 관심을 가지고 문의해 주시는 분들이 많습니다. 예전에는 치아미백, 라미네이트 수술에 관심이 많았던 반면, 요즘은 잇몸성형에도 관심이 많습니다.
지금 이 글을 읽고 계시는 분들도, 자신감 있는 미소를 위해 연예인잇몸성형을 검색하고 알아보고 계실 것 같습니다.
간단하게 설명드리자면, 잇몸의 균형을 맞춰주는 시술로, 잇몸이 과도하게 노출된 분들에게 진행하는 시술입니다.
특히 자연스러움을 높이기 위해 라미네이트나 임플란트와 함께 진행하는 경우도 있습니다.

오늘 소개해 드릴 분도 라미네이트 수술과 잇몸성형을 함께 진행하셨습니다.
같은 고민을 하고 계시다면, 집중하여 읽어보시길 바랍니다.
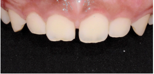
| 의료법 제56조 2항 아래 사진은 실제 디데이치과에서 진료한 환자이며, 전후 사진의 인물이 동일입니다. 의료법에 맞게 촬영 시기를 명시하였으며, 같은 조건에서 촬영된 사진입니다. 잇몸성형은 잇몸이 시리거나 잇몸이 붓는 부작용이 생길 수 있기에, '꼭 정밀 상담 후에 치료를 결정하시길 바랍니다. |
치아가 너무 작아요.
웃을 때 잇몸밖에 안 보여서
너무 스트레스입니다.
Before (전)

2021.12.28
이 분은 20대 여성분이었습니다. 너무 작은 치아, 돌출된 잇몸으로 스트레스를 많이 받으셔서 연예인잇몸성형을 알아보시고 경북 지방에서 올라오신 분이었습니다.
사진을 보시면 아시겠지만, 대문니가 일부 깨져있고, 치아 사이의 벌어짐이 있으신 상황이었는데요.
따라서 치아의 심미성을 높이는 라미네이트와 함께 잇몸 일부를 걷어내는 잇몸 삭제를 진행하기로 하였습니다.
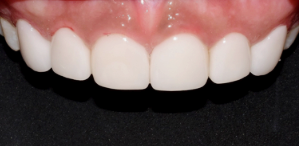
After(후)

2022.01.12 연예인잇몸성형 후
위 사진은 치료 후의 모습입니다.
라미네이트 시술을 통해, 치아 사이의 여백을 메웠고, 잇몸성형으로 울퉁불퉁한 잇몸라인을 말끔하게 정돈하였습니다.
수술 전에는 '시술하면 아프겠죠?'라고 하시며, 통증에 대한 두려움도 있으셨는데요. 끝나고 나니 '수술 과정에 통증을 거의 느끼지 못했어요. 너무 감사합니다.'라고 말씀을 해주셨던 것이 기억에 납니다.
연예인잇몸성형은 심미적인 이유로 진행합니다만, 시술 후출혈이 발생할 수 있습니다. 1-2일 정도 지나면 출혈은 자연스럽게 잡히기 때문에 크게 걱정하지 않으셔도 됩니다.
- 치아 성형 직후 출혈의 위험으로 음주, 흡연은 절대 금하셔야 하며, 과도한 피로가 쌓이는 업무는 삼가야 합니다.
Before : After
연예인잇몸성형


2021.12.28 / 2022.01.12
치료 전, 후 사진입니다. 이렇게 보니 확연한 차이가 느껴지시나요?
사실 치료 자체의 변화도 있지만, 환자분의 표정이 더 많이 달라졌습니다.
처음 상담을 받으실 때만 해도, 손으로 입을 가리며 웃었던 분께서 치료 후에는 자신 있는 미소를 보여주셨는데요. 거울을 보며 자신의 웃는 모습을 보고 좋아하셨던 기억이 납니다.
치과 전문의로서 치료 결과뿐 아니라 환자분의 자신감까지 되찾아드릴 수 있어 큰 보람을 느끼게 되었는데요^^

라미네이트, 잇몸성형과 같은 치료는 심미적인 치료다 보니... 수술 과정뿐 아니라 수술 전 환자분과의 면밀한 상담이 수술 결과에 깊은 영향을 미칩니다.
개인이 가진 치아 형태, 환자분의 얼굴 형태, 전반적인 분위기 등을 고려하여 수술이 진행되어야 하기 때문입니다.
따라서 치료를 고민하시는 분들은 치과에서 꼼꼼한 상담을 진행하신 후 결정하시는 것을 권면 드립니다.
오늘의 치료 사례가 도움이 되셨길 바라며, 끝까지 읽어주셔서 감사합니다.
본 게시물은 의료 광고 법 제56조 1항을 준수하여 디데이 치과에서 의료 정보를 목적으로 직접 쓴 글입니다.
치과 치료는 의료진의 임상 경험과 환자분의 치아 상태에 따라 차이가 있을 수 있으므로, 의사와의 충분한 상담을 통해 치료를 결정하시길 바랍니다.
| 함께 읽어보면 좋은 글 |
| |
※ 공지사항 ※
저희 디데이 치과는
고퀄리티 의료 서비스를 제공하기 위해
한 달 신규 환자 수를 제한하고 있습니다.
이점 양해 부탁드립니다.
예약, 방문 시 "블로그 보고 왔어요."라고
말씀해 주신다면 보다 빠른
진료를 도와드리겠습니다.
| 상담문의 |
|---|
| 상담 문의 : 02-568-2877(바로가기)네이버 톡톡 문의(바로 가기) |
(모바일에서 클릭하시면 바로 전화 연결이 가능합니다.)