반갑습니다. 디데이치과 오태훈 대표원장입니다.
저와 김 원장님의 궁극적인 목표는 1가지입니다.
10년, 20년 후에도 건강한 치아를 유지하실 수 있도록
최선을 다하자.
그렇기 때문에 물리적으로 진행하는 시술뿐만 아니라, '꼭 필요한' 치료만 도와드리기 위해 힘쓰고 있습니다.
앞니가 토끼처럼 튀어나왔어요...
어릴 때부터 놀림을 하도 듣다 보니...
지금이라도 교정을 해보려고 하는데, 2~3년은 걸린다고 하네요.
혹시 라미네이트로 치료가 가능할까요?
대문니가 엄청 튀어나오거나 하지는 않았는데...
다른 치아보다 크기가 커서...
라미네이트로 좋아질 수 있을까요?
이 글을 읽고 계시는 여러분들도 위와 비슷한 고민으로 토끼이빨라미네이트 시술 정보를 알아보고 계셨을 것 같은데요.
우리가 흔히 말하는 '토끼 이빨'은 앞니가 다른 이보다 크거나 긴 경우를 말합니다.
어릴 때는 귀여운 인상을 줄 수 있지만, 깔끔하고 세련되어 보이는 인상과는 거리가 있다 보니, 의학적인 시술을 통해 이를 개선하고 싶어 하는 분들도 계시는데요.
따라서 이번 글에서는 저희 치과에서 진행했던 '토끼이빨라미네이트 치료 사례'를 보여드리면서, 이에 관해 설명을 드리겠습니다.
| 본 게시물의 치료 사진은 실제 본원에서 모든 치료 과정을 마친 환자분들의 동의하에 촬영된 사진입니다. 전후 사진은 모두 동일인이며, 촬영된 모든 사진은 동일 조건 하에서 촬영되었음을 밝힙니다. |
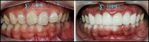
사례1.
길고, 벌어진 위 앞니 라미네이트 치료
앞니가 크고,
치아 사이도 벌어져 있어서...
스트레스입니다.
위와 같은 이유로 내원해 주신 환자분이셨는데요.
대문니 길이가 길고 도드라진 데다가, 치아 사이 홈(블랙 트라이 앵글) 때문에 환하게 웃지 못하는 콤플렉스가 있는 분이었습니다.
치아 자체의 모양과 배열이 어긋난 부분은 다행히도 거의 없어서, 대문니 길이만 '최소량'으로 삭제하고, 나머지 치아는 무삭제로 라미네이트를 진행했습니다.

치료 전후 사진
(좌) 2022 - 04 - 19 / (우) 2022 - 04 - 28
약 2주가 안되어 치료를 마쳤는데요.
위 앞니 6개 라미네이트 치료 후 밝고 가지런해진 치아가 마음에 드신다며 환하게 웃던 모습이 기억이 납니다. ^^
사례 2.
틀어진 위 앞니 라미네이트 및 미백
위 앞니 배열이 고르지 않고, 변색도 심했던 분이었습니다.
대문니가 많이 틀어져 있어 처음엔 치아교정을 해야 하나...라고 걱정하셨지만, 시간이나 경제적인 부분에서 부담이 된다고 말씀을 주셨습니다.
당장 교정치료가 필요한 상황은 아니라고 판단했기 때문에, 라미네이트와 미백치료를 진행해 드렸는데요.

치료 전후 사진
(좌) 2022 - 03 - 14 / (우) 2022 - 03 - 23
위 사진처럼 위 앞니 6개 라미네이트와 미백 치료를 통해 밝고 고른 치열을 가지실 수 있었습니다.
이전보다 가지런하고 밝아진 치아를 보시면서 '너무 좋은데요?'라고 말씀해주시던 모습이 생생하네요. ^^
의료진과 환자분들 모두 만족했던 시술들이었습니다.
토끼이빨라미네이트,
이가 시릴 수 있다는데... 괜찮나요?
귀여운 이미지에서 라미네이트 시술 후 세련된 이미지 변신에 성공하신 유명 크리에이터가 유튜브에 라미네이트 후기 영상을 올리신 적이 있는데요.
토끼 이빨이 심했지만, 치료 후에는 세련된 이미지와 자신감 있는 미소를 되찾은 것에 대해 매우 만족한다는 내용이었습니다.
하지만 단점으로는 '이가 시리고 시간이 지나면서 치아 색깔이 어두워지는 것 같다'라고 말씀을 하셨는데요.
실제 인터넷에 토끼이빨라미네이트 후기를 검색해 보시면, 시술 후에 이가 시리다는 후기가 자주 보입니다.
그러다 보니 많은 분들이 '라미네이트는 이가 시린 치료다'라고 생각을 하시는 것 같은데요.
흔히 '이가 시린 이유'는 치아의 형태를 다듬는 과정에서 치아를 '과도하게' 삭제했거나, 치아의 가장 바깥구조인 에나멜이 많이 손상되었을 확률이 높습니다.
따라서 라미네이트 시술 후 치아가 과하게 시린 것은 대표적인 '부작용'으로 정상적인 결과라고 보기에는 어려울 수 있다고 생각합니다.

토끼이빨라미네이트
라미네이트는 애초에 소량만 삭제하여 치아의 형태를 개선하는 시술입니다.
따라서 정확한 검진을 통해 시술 가능 여부를 판단한 뒤, 최소 삭제를 목표로 진행이 되어야 합니다.
꼼꼼한 진단과 정직한 판단을 통해 올바른 방식으로 치료가 이뤄진다면, 변색이나 치아가 시리는 등의 부작용을 최소화하여 오랜 시간 높은 만족도를 유지할 수 있는 시술을 받으실 수 있습니다.

그렇기 때문에 저희 디데이치과는 환자분이 아무리 원하신다고 하시더라도 '치아를 많이 삭제해야 하는 경우'에는 라미네이트 치료를 권장 드리지 않고 있습니다.
그러니 여러분도 전문가와 충분한 상담을 진행해 보시고, 라미네이트 시술이 내게 적합한지, 최소삭제로 내가 원하는 결과를 얻을 수 있는지를 확인해 보시기 바랍니다.
글을 읽으시면서 궁금한 점이 생기셨거나, 저에게 상담이 필요하신 분들은 하단의 연락처로 문의 주셔도 좋습니다.
감사합니다.
[토끼이빨라미네이트 - 함께 보면 좋은 글]
(모바일에서 클릭하시면 바로 전화 연결이 가능합니다.)
| |
※ 공지사항 ※
저희 디데이 치과는
고퀄리티 의료 서비스를 제공하기 위해
한 달 신규 환자 수를 제한하고 있습니다.
이점 양해 부탁드립니다.
예약, 방문 시 "블로그 보고 왔어요."라고
말씀해 주신다면 보다 빠른
진료를 도와드리겠습니다.
| 상담문의 |
|---|
| 상담 문의 : 02-568-2877(바로가기)네이버 톡톡 문의(바로 가기) |
(모바일에서 클릭하시면 바로 전화 연결이 가능합니다.)