반갑습니다. 디데이치과 오태훈 대표원장입니다.
10년, 20년 후에도 같은 통증으로 고생하시지 않도록...
매 순간 최선을 다하며 치료에 임하자.
위 다짐은 저와 김무진 원장님이 학부생 때부터 지켜온 것인데요.
지금도 늘 매 진료 때마다 가슴에 되새기고 있답니다. ^^
오늘은 '치아크라운수명'에 대한 이야기를 해볼까 합니다.
치아 크라운 수명은 어느 정도일까요?
영구적으로 사용할 수는 없을까요...?
어금니 신경치료 받고 크라운 씌운 지 10년 째인데요.
수명이 다 되면 교체를 해야 할까요?
제가 진료실에서 환자분들에게 실제로 자주 받는 질문들인데요. 아마 이 글을 보시는 분들도 많이 궁금해하실 것 같습니다.
결론부터 말씀드리자면, 평균적인 치아 크라운 수명은 8~10년 정도입니다.
물론 사람마다 다를 수는 있습니다.
치료받은 부위에 통증이 느껴지거나, 틈이 생기거나, 금이 가는 등의 문제가 발생한다면 그보다 빨리 크라운을 제거해야 하는 경우도 있습니다.
따라서 치아 크라운 수명을 늘리기 위해서는 정기적인 치과 검진과 평소 위생 관리를 잘해주는 것이 정말 중요한데요.
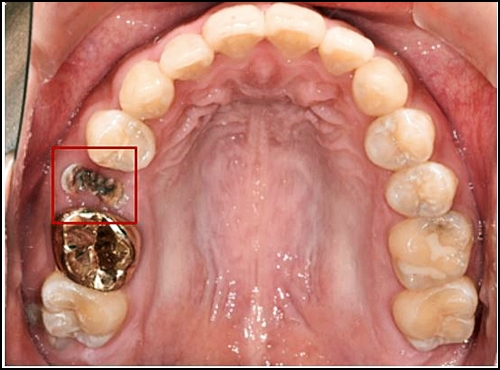
특히 크라운 치료 후 내부 충치 진행 및 신경에 염증이 생겨 치아를 뽑아야 하는 상황이 발생할 수도 있으므로 주의하셔야만 합니다.(아래 사진을 참고해 주세요)

2021 - 08 - 25
앞쪽 치아 크라우 제거한 모습
충치로 인해 치관마저 상실되어 자연치아를 살리기 어려워
결국 임플란트 치료 진행하였습니다.
아직 치료 전이긴 하지만, 충분한 실력과 노하우를 가진 전문의가 정직하게 진료하는 곳을 선택하신다면 오랜 기간 건강한 치아를 유지할 수 있는 하나의 방법이 될 수 있습니다.
그렇다면 이런 치과를 '어떻게' 찾을 수 있을까요?
현명한 치과 선택을 위해 꼭 알아두어야 할 '필수사항'이 담긴 글을 공유해 드리겠습니다.
제가 직접 작성한 글로, 3분만 집중해서 읽어보신다면 정직하고 실력 있는 치과에서 진료를 받으실 수 있을 겁니다. ^^
<나와 맞는 치과와 의사를 만나는 방법>
이어지는 글에서는 크라운 치료에 들어가기에 앞서, 여러분이 갖고 계실만한 궁금증을 풀어드리도록 하겠습니다.
크라운 가격은 얼마인가요?
환자분들께서 치아 크라운 수명만큼이나 궁금해하시는 부분이 바로 '치료 비용'일텐데요.
사실 치료비가 대략 얼마인지 궁금해서 물어보시는 분들도 계시겠지만, 비교해 보시고 가격이 가장 '저렴한' 치과를 선택하시려는 분들도 많으실 것 같습니다.
하지만 저는 이렇게 단순한 '가격 비교'만으로 좋은 치료를 받을 수는 없을 거라 생각하는데요.

예를 들어, 신경치료 같은 경우 보험이 적용되기 때문에 병원마다 비용 차이는 크지 않습니다.(재료에 따라 달라질 수는 있습니다)
하지만 신경치료를 하는 의사의 '실력'은 차이가 있겠죠.
왜 그런 걸까요?
여러 가지 이유가 있겠지만, 가장 큰 이유는 국외와 비교했을 때 터무니없이 저렴한 보험 치료 수가 때문입니다.
실제 국외의 신경치료비는 국내보다 2~15배 정도 비싸게 책정이 되어있는데요.
우리나라에서 신경치료와 같은 보험 치료는 병원에 큰 이익을 안겨주지 않기 때문에 이를 치료하는 의사가 적고, 결과적으로 치료에 질적인 차이가 생길 수밖에 없습니다.
물론 그럼에도 불구하고, 환자를 생각하는 마음으로 매 순간 최선을 다해주시는 선생님들도 무척 많습니다. ^^

크라운 가격이 결과를 정하지는 않습니다.
크라운은 기본적으로 '신경치료'가 잘 되었을 때 오래 사용할 수 있습니다.
즉, 기초 공사를 잘 끝내야 치아 크라운 수명도 길어질 수가 있는 것인데요.
하지만 환자분들께서는 그저 크라운 '비용'만으로 치과를 판단하고 선택하시는 경우가 많습니다.
가격이 저렴하면 양심적이고, 비싸면 비양심적인 치과라고 생각하시는 건데요. 하지만 가격만으로 치료의 질을 판단할 수는 없습니다.

예를 들어 신경치료를 하고 구멍을 메우는 '코어'와 충치가 너무 심해서 남아있는 치아의 양이 부족할 때 사용되는 '기둥'은 치과마다 사용하는 빈도와 책정된 가격이 모두 다릅니다.
그렇기 때문에 다른 치과보다 크라운 가격이 저렴하다고 해서 전체 비용 또한 저렴하지는 않을 수 있는데요.(실제로 더 비쌀 때도 있습니다)
하지만 확실하게 말씀드릴 수 있는 것은 의사가 정성을 다해 치료하고, 좋은 재료를 적재적소에 사용하여 좋은 결과를 만들어낸다면, 치료가 '비싸다고만은' 할 수 없습니다.

즉, 크라운 가격이 치료의 질을 보장하지 않는다면, 같은 재료를 같은 방식으로 사용한다고 해도 치과의사의 실력과 노하우에 따라 결과는 바뀔 수 있습니다.
따라서 이 글을 읽으신 분들은 치과 치료를 다니실 때 보다 현명한 기준으로 병원을 선택하셔서 진료 받으시기 바랍니다.
긴 글 읽어주셔서 감사드립니다. :)
본 게시물은 의료 광고 법 제56조 1항을 준수하여 디데이 치과에서 의료 정보를 목적으로 직접 쓴 글입니다.
치과 치료는 의료진의 임상 경험과 환자분의 치아 상태에 따라 차이가 있을 수 있으므로, 의사와의 충분한 상담을 통해 치료를 결정하시길 바랍니다.
| 함께 읽어보면 좋은 글 |
| |
※ 공지사항 ※
저희 디데이 치과는
고퀄리티 의료 서비스를 제공하기 위해
한 달 신규 환자 수를 제한하고 있습니다.
이점 양해 부탁드립니다.
예약, 방문 시 "블로그 보고 왔어요."라고
말씀해 주신다면 보다 빠른
진료를 도와드리겠습니다.
| 상담문의 |
|---|
| 상담 문의 : 02-568-2877(바로가기)네이버 톡톡 문의(바로 가기) |
(모바일에서 클릭하시면 바로 전화 연결이 가능합니다.)