어른인데 이빨은 아이 같아요...
치아가 너무 작고 사이가 벌어져 있어서
마음껏 웃지를 못해요... ㅜㅜ
이제 마스크도 벗어야 하는데...
남들처럼 활짝 웃고 싶은데...
라미네이트와 레진 중 뭘 해야 할까요?
위와 같은 고민으로 왜소치라미네이트 정보를 알아보고 계셨다면, 이 글을 집중해서 읽어주세요.
현직 치과의사가 여러분의 걱정과 궁금증을 해소 드리기 위해 적는 글입니다.
반갑습니다. 디데이치과 김무진 대표원장입니다.
지금까지 치과의사를 해오면서 지켜왔던 치료 원칙이 하나 있는데요.
바로 '환자분들께 꼭 필요한 치료만 권해드리자'입니다.
치료의 장단점과 부작용을 명확하게 말씀드리고, 적합하지 않다면 솔직하게 말씀드리려고 하는데요. 이런 저희 신념을 신뢰해 주시는 분들이 계셔서 정말 감사한 마음뿐입니다.
아마 이 글을 읽고 계시다면 앞니 치아가 작아 라미네이트, 레진 치료를 고민하고 계실 것 같은데요.
의사마다 의견도 다르고, 치료 비용도 제각각인 만큼,
'어떤 치료가 나에게 꼭 필요한 치료인지', '호갱님 소리를 듣지 않기 위해서는 어떤 치과를 찾아가야 하는지' 고민이 많으실 것 같습니다.
모든 치료가 그러하듯이 왜소치를 개선하는 방법 역시 의사와 환자의 성향, 선호도, 치아 상태, 경제 상황 등에 따라 달라질 수 있습니다.
그렇기 때문에 인터넷에 있는 정보만으로는 해당 시술이 좋고 나쁘고를 정확하게 논할 수는 없다고 생각합니다. 그보다는 숙련된 의사를 찾아가 '상담'부터 받아보시는 것을 권장 드리는데요.
여러분이 상담을 받은 의사가 '좋은 의사'라면, 환자분의 상황을 충분히 귀담아듣고, 가장 적합한 방식을 제안할 것입니다.
또한 의사로서 판단했을 때 해당 시술의 부작용 우려가 크다면.... 그것이 병원에 이익을 가져다 주더라도 치료를 권하지 않을 것입니다.
저는 이렇게 '솔직하고 겸손한 의사'를 만났을 때 환자분들께서 과잉진료와 불만족스러운 결과를 만나지 않을 수 있다고 생각하는데요.
그렇기 때문에 이 글을 읽고 계시는 분들께서는 좋은 의사를 만나 상담부터 받아보시는 것을 권장 드립니다. ^^
아래에 글 한 편을 첨부하겠습니다. 3분만 집중해서 읽어보신다면, '어떤 치과를 찾아가야 하는가'에 대한 대답을 찾으실 수 있을 거라 생각합니다.
<좋은 의사를 만나는 방법은?>
이어지는 글에서는 왜소치라미네이트와 레진이 어떤 차이점이 있는지 알려드리도록 하겠습니다. ^^
| 아래 게시물의 치료 사진은 실제 본원에서 모든 치료 과정을 마친 환자분의 동의하에 촬영된 사진입니다. 전후 사진은 모두 동일인이며, 촬영된 모든 사진은 동일 조건하에서 촬영되었음을 밝힙니다. |
왜소치,
레진과 라미네이트 중 더 적합한 것은?
왜소치란 정상치아보다 작은 치아를 말하는데요.
흔히 '대문니'라고 불리는 앞니 바로 옆에 있는 치아에서 많이 나타나는 편입니다.

다양한 왜소치 케이스
큰 대문니와 비교가 되다보니 왜소치는 더욱 도드라질 수밖에 없는데요.
여기에 미관상 보기 좋지 않다는 것뿐만 아니라, 음식을 절단하고 분해하는 저작기능에도 어려움을 만들 수 있습니다.
이러한 왜소치를 개선하기 위한 방법으로 '왜소치라미네이트'와 '레진'이 있는데요.
저를 포함한 대부분의 치과에서는 치료 범위가 넓다면 라미네이트를, 적다면 레진을 통해 치료를 도와드리고 있습니다.
레진이 더 저렴한데...
라미네이트보다 괜찮지 않을까요?
솔직하게 말씀드리면, 저는 레진보다 라미네이트를 선호하는 편입니다.
레진은 충치나 깨진 치아, 마모된 치아 등을 메꾸거나 다른 치과 재료를 붙일 때 주로 사용되는 재료인데요. 즉, 왜소치나 벌어진 앞니의 공간을 '채워 넣는 식'으로 활용됩니다.
비교적 빠르게 시술을 받을 수 있다는 장점이 있지만, 재료 자체의 강도가 약한 편에 속하기 때문에 충격을 받았을 때 깨질 위험이 있습니다. 또한 마모나 변색도 진행이 빠르다는 단점이 있습니다.
레진의 평균 수명은 약 4~5년으로, 저 같은 경우에는 특별한 경우가 아니고서는 왜소치 치료에 적극적으로 사용하지는 않는 편입니다.

이와 비교해서 왜소치라미네이트의 평균 수명은 10년 정도로, 레진보다 수명이 길고, 심미적인 면에서도 더 낫다고 할 수 있는데요.
물론 레진과 비교하면 치료 비용이 더 비싼 편이지만, 강도가 높은 라미네이트를 하는 것이 장기적인 측면에서는 비용을 절감하는 방법이라고 생각합니다.

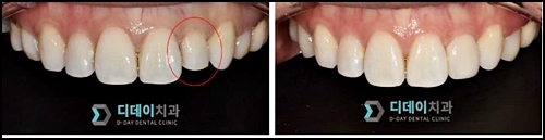
(좌) 2022 - 01 - 09, (우) 2022 - 01 - 27
왜소치인 치아만 라미네이트 진행
두 방법 모두 장담점이 있기 때문에, 디지털 장비를 이용한 검사와 의료진과의 꼼꼼한 상담을 통해 본인에게 가장 적합한 방법으로 치료를 받으시기 바랍니다.
앞니는 특히 위치상 심미적인 요소가 중요한 만큼, 단순히 거리가 가깝거나 치료 비용이 과하게 저렴한 치과를 우선으로 선택하시는 것은 한 번 더 고민하시는 게 좋을 것 같습니다.
같은 재료를 같은 방식으로 이용한다고 해도, 치과의사의 실력과 노하우에 따라 결과가 달라질 수 있기 때문입니다.
따라서 오늘 말씀드린 내용을 잘 숙지하셔서, 차근차근 따져본 후 치과를 선택하시기 바랍니다.
감사합니다. :)
본 게시물은 의료 광고 법 제56조 1항을 준수하여 디데이 치과에서 의료 정보를 목적으로 직접 쓴 글입니다.
치과 치료는 의료진의 임상 경험과 환자분의 치아 상태에 따라 차이가 있을 수 있으므로, 의사와의 충분한 상담을 통해 치료를 결정하시길 바랍니다.
| 왜소치라미네이트 - 함께 읽어보면 좋은 글 |
| |
※ 공지사항 ※
저희 디데이 치과는
고퀄리티 의료 서비스를 제공하기 위해
한 달 신규 환자 수를 제한하고 있습니다.
이점 양해 부탁드립니다.
예약, 방문 시 "블로그 보고 왔어요."라고
말씀해 주신다면 보다 빠른
진료를 도와드리겠습니다.
| 상담문의 |
|---|
| 상담 문의 : 02-568-2877(바로가기)네이버 톡톡 문의(바로 가기) |
(모바일에서 클릭하시면 바로 전화 연결이 가능합니다.)