안녕하세요. 디데이치과 오태훈 대표원장입니다.
6월을 맞이하면서 본격적인 여름이 시작된 것 같은데요. 많이 더운 것 같네요 ㅎㅎ.
더운 날씨 때문일까요? 이제 야외에서는 마스크를 벗고 얼굴을 드러내시는 분들이 하나둘씩 늘어나고 있는 것 같은데요.
이렇게 일상이 회복되는 걸 반기는 분위기 속에서, 남다른 치아 고민으로 마스크 벗기를 꺼려 하시는 분들도 계십니다.
바로 치아가 쓰러져 보이는 '옥니'를 가지고 계신 분들입니다.
선천적으로 치아가 안으로 누워있는 형태를 가진 분들도 계시지만, 발치 교정 후 발생한 옥니로 남모를 고통을 겪고 계시는 분들도 많은데요.
그래서 오늘은 이와 같은 이유로 시술을 고민하시는 분들을 위해, 저희 병원에서 진행한 '옥니라미네이트 치료 사례'를 소개해 드릴까 합니다.
| 라미네이트 시술은 치아의 표면을 삭제하고 보철물을 부착하는 치료로, 보철물 탈락 및 치아손상 가능성이 존재하며, 반영구적인 치료법입니다.게시물의 치료 사진은 실제 본원에서 모든 치료 과정을 마치신 환자 분의 동의하에 촬영된 사진으로, 전후 사진은 모두 동일인이며, 모든 사진은 동일 조건 하에서 촬영되었음을 밝힙니다. |
치아 교정을 하고... 옥니가 되었어요ㅠ
재교정은 힘들 것 같고...
라미네이트로 해결이 가능할까요?
이번 글에서 소개해 드릴 사례는 위와 같은 고민으로 저희 치과를 방문해 주신 30대 여성분의 치료 사례인데요.
20대 때 치아교정을 진행했는데, 옥니 부작용으로 마음고생을 많이 하셨던 분입니다.
긴 시간을 들여 힘들게 교정을 마쳤지만, 자신 있게 웃지도 못하고...
오히려 '코로나 덕분에 마스크로 얼굴을 숨길 수 있어서 다행이라고 생각했어요...'라는 말씀에 마음이 참 착잡했던 기억이 있네요.
치아를 더 건강하고 아름답게 만들기 위해 많은 시간과 큰돈을 들였을 텐데... 얼마나 답답하고 속이 상하셨을까요.
하루라도 빨리 잃어버린 자신감을 되찾아드리기 위해 라미네이트 시술을 진행하게 되었습니다.
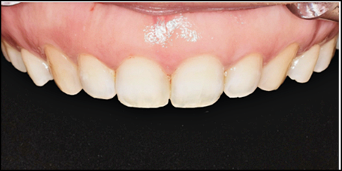
Before)
옥니라미네이트 시술 전

2021 - 09 -23 (치료 전)
교정 후 치아가 안쪽으로 기울어지는 옥니 현상이 있는 모습입니다.
옥니는 단순히 치아 형태뿐만 아니라, 입술이 입안으로 들어간 경우에는 전체적으로 나이가 들어 보일 수 있는데요.
환자분께서는 치아도 작은 편이셨기 때문에, 이를 보완할 수 있게 치아 길이 또한 살짝 길게 빼는 방향으로 진행하였습니다.
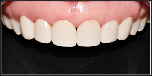
After)
옥니라미네이트 시술 후

2021 - 09 - 30 (치료 후)
위 앞니 6개에 라미네이트 치료를 진행한 모습입니다.
교정으로 치아배열이 고르신 상태였고, 치아가 작으신 편이라 치아삭제 없이 '무삭제'로 라미네이트를 진행할 수 있었습니다.
아래 사진을 보고 비교를 해볼까요?


(좌) 2021 - 09 -23, (우) 2021 - 09 - 30
약 1주일 만에 옥니 현상이 개선된 것을 확인하실 수 있는데요.
환자분 역시 '진작에 할 걸 그랬네요... 몇 년 간 혼자 스트레스 받았던 게 후회되네요'라고 말씀해 주시며 기분 좋게 치료를 마무리했습니다.
이렇게 치아교정 후 옥니가 된 경우에는 치아배열이 고르고 돌출이 없는 경우가 많기 때문에, '무삭제 라미네이트'로도 시술이 충분히 가능합니다.(물론 개인차는 있습니다)

옥니라미네이트 시술은 빠르고 간단해 보이지만, '심미적인' 부분이 강조되는 시술인 만큼 의사의 섬세한 기술과 센스가 무엇보다 중요한데요.
또한 시술 전 개인의 치아 형태와 비율, 잇몸라인, 얼굴 형태에 대한 자세한 분석이 이뤄졌을 때 좋은 결과를 기대하실 수 있습니다.

그러니 단순히 거리가 가깝다거나, 비용적인 측면만을 살피시기보다는 숙련된 의사와 꼼꼼한 상담 후 시술을 결정하시는 것을 권해드리는데요.
아래 제가 직접 작성한 좋은 치과를 선택하는 노하우에 관한 글을 공유해 드리겠습니다.
함께 읽어보시고, 여러분에게 꼭 필요한 시술을 제안해 주는 곳에서 원래의 예쁜 미소를 다시 되찾으시기 바랍니다.
감사합니다. :)
본 게시물은 의료 광고 법 제56조 1항을 준수하여 디데이 치과에서 의료 정보를 목적으로 직접 쓴 글입니다.
치과 치료는 의료진의 임상 경험과 환자분의 치아 상태에 따라 차이가 있을 수 있으므로, 의사와의 충분한 상담을 통해 치료를 결정하시길 바랍니다.
| 옥니라미네이트 - 함께 읽어보면 좋은 글 |
| |
※ 공지사항 ※
저희 디데이 치과는
고퀄리티 의료 서비스를 제공하기 위해
한 달 신규 환자 수를 제한하고 있습니다.
이점 양해 부탁드립니다.
예약, 방문 시 "블로그 보고 왔어요."라고
말씀해 주신다면 보다 빠른
진료를 도와드리겠습니다.
| 상담문의 |
|---|
| 상담 문의 : 02-568-2877(바로가기)네이버 톡톡 문의(바로 가기) |
(모바일에서 클릭하시면 바로 전화 연결이 가능합니다.)