반갑습니다. 치과 전문의 김무진 대표원장입니다.
환자분들께 '꼭 필요한 치료만 권해드리고, 통증을 최소화하여 치료한다'라는 신념으로 치료에 임하고 있는데요.
디데이치과를 떠올렸을 때 위 문구가 떠올리실 수 있도록 하는 게 저희의 목표입니다. ^^
몇 달 뒤 결혼을 앞두고 있는데요...
시간도 얼마 안 남았는데...
벌어진 앞니 때문에 고민이 많습니다.
교정하지 않더라도,
치아 틈은 레진으로도 메꿀 수 있다고 하는데...
치아사이레진치료 받아도 괜찮을까요?
이 글을 보시는 분들도 위와 비슷한 고민으로 '치아사이레진' 관련 정보를 찾고 계셨을 것 같은데요.
하필 눈에 잘 띄는 앞니 사이가 벌어져, 웃을 때도 신경 쓰이고, 음식물도 잘 끼는 등 불편함이 많으셨을 것 같습니다.
우선 결론부터 말씀드리면 치아 사이 틈을 레진으로 메꾸는 '가능'합니다.
다만, 기본적인 잇몸 건강 상태와 교합, 치아의 구조적인 부분에 대해 정확한 '진단'이 이루어져야지 만족스러운 결과를 얻을 수 있는데요.
치료 후 이물감이 느껴지거나, 치아 색상이 부자연스럽고, 때운 부위가 쉽게 깨지는 등의 문제가 발생할 수 있기 때문입니다.

이러한 이유로 저는 치료 전 먼저 '충분한 시간'을 들여 상담을 도와드리고 있습니다.
환자분의 상황과 원하시는 치료 방향을 집중하여 듣고,
의학적 판단과 각 시술의 장단점을 충분히 설명드린 뒤, 환자분이 원하시는 쪽으로 선택하실 수 있도록 도와드리는 것입니다.
따라서 이 글을 읽는 여러분 또한 섣부르게 치료를 진행하시기보다는,
여러 의사의 의견을 충분히 들어보신 후, '나에게 가장 적합한 치료가 무엇인지'를 확인하시기 바랍니다.
아래에 좀 더 현명하게 치과를 선택하는 방법이 담긴 글을 첨부해 드리겠습니다.
제가 직접 작성한 글로, 3분만 집중해서 읽어보신다면, 정직하고 실력 좋은 치과를 찾으시는 데에 도움이 될 겁니다. ^^
<좋은 치과 의사를 만나는 방법>
이어지는 글에서는 치아사이레진 치료와 관련하여 여러분이 궁금해하실만한 내용을 알려드리려 합니다.
제가 실제 진료실에서 환자분들께 가장 자주 받았던 질문들을 추린 것으로, 여러분에게 도움이 될 거라 생각합니다.
치아 사이 틈을, 레진으로 메꿀 수 있을까요?
네, 치아 사이 틈은 레진으로 치료하실 수 있습니다.
다만, 치아가 작거나 공간이 커서 치료할 면적이 넓다면, 레진으로는 '한계'가 있을 수 있습니다. 그 이유는 '빠른 탈락'으로 재시술을 하셔야 할 확률이 높기 때문인데요.
이때는, 치아 표면에 세라믹으로 제작한 얇은 판을 덧붙이는 방식인 '라미네이트' 등의 시술을 권해드리고 있습니다.
이처럼 치아 상태에 따라 적합한 치료가 달라질 수 있는 만큼, 정밀검사와 진단을 바탕으로 '나에게 맞는 치료'를 선택하시기 바랍니다.

치아사이레진 치료,
장/단점은 어떻게 되나요?
우선 레진의 장점으로는 '당일 진료'가 가능하며, 치아에 손상을 주지 않는다는 점입니다.
단점은 재료 자체의 강도가 약하기 때문에, 충격을 받았을 때 깨질 확률이 높고, 마모나 변색도 잘 된다는 점인데요.
그러다 보니 평균 수명은 4~5년이지만, 시술자의 숙련도, 개인의 생활습관, 관리 방법 등에 따라 수명이 바뀔 수 있습니다.
실제로 딱딱한 음식을 드시다가 치아가 깨지고, 치료 부위가 변색되어 이보다 더 일찍 치과를 찾는 분들도 계시는데요.
이러한 경우에는 레진으로 재치료를 하시는 경우도 있지만, 경험상 비교적 단단한 라미네이트로 교체를 원하시는 분들도 많습니다.

라미네이트보다 레진 치료 비용이 저렴한데...
레진이 나을까요?
라미네이트보다 레진 치료 비용이 훨씬 더 저렴하다고 할 수 있는데요.
따라서 비용적인 측면에서만 보면 레진을 더 선호하시는 분들도 계십니다.
이 또한 좋은 선택이 될 수는 있지만, 개인적으로는 '라미네이트'를 권해드릴 때가 많은데요.
'치과 입장에서 더 돈이 되니 그러는 거 아니야?'라고 생각하실 수도 있을 것 같습니다.
실제로 높은 비용은 치과에 더 많은 돈을 벌어다 주기는 합니다. 하지만 저는 '평균 수명과 안정성' 때문에 라미네이트를 권해드리는 것인데요.
라미네이트 평균 수명이 10년 정도인 것을 감안해 보았을 때,
한번 시술로 레진보다 약 2배 정도 오랜 기간을 사용할 수 있다는 장점이 있습니다.
따라서 장기적인 관점에서 살펴본다면, 강도가 높은 라미네이트 시술이 치료비를 절감할 수 있는 방법인 만큼, 상황에 따라 라미네이트를 권해드리고 있습니다.

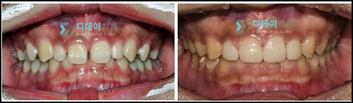
(좌) 2021 - 06 - 02, (우) 2021 - 06 - 10
위 앞니 4개 치아 라미네이트 시술 + 잇몸성형
위 앞니 치아 사이 벌어짐, 잇몸라인 비대칭 치료 사례

(좌) 2022 - 02 - 28, (우) 2022 - 03 - 07
위 앞니 6개 치아 라미네이트 시술로
치아 사이 공간을 없앤 사례
두 시술 모두 장단점이 있는 만큼, 환자분이 원하시는 방향으로 치료해 드릴 수 있도록 최선을 다해 노력하고 있습니다.
이외에 궁금하신 점이 있으시거나, 상담이 필요하시다면 언제든지 편하게 방문해 주시기 바랍니다.
여러분에게 가장 적합한 치료가 무엇인지, 정직하고 친절하게 알려드리도록 하겠습니다.
감사합니다.
| 치아사이레진 - 함께 읽어보면 좋은 글 |
| |
※ 공지사항 ※
저희 디데이 치과는
고퀄리티 의료 서비스를 제공하기 위해
한 달 신규 환자 수를 제한하고 있습니다.
이점 양해 부탁드립니다.
예약, 방문 시 "블로그 보고 왔어요."라고
말씀해 주신다면 보다 빠른
진료를 도와드리겠습니다.
| 상담문의 |
|---|
| 상담 문의 : 02-568-2877(바로가기)네이버 톡톡 문의(바로 가기) |
(모바일에서 클릭하시면 바로 전화 연결이 가능합니다.)
| 본 게시물은 의료 광고 법 제56조 1항을 준수하여 디데이 치과에서 의료 정보를 목적으로 직접 쓴 글입니다. 치과 치료는 의료진의 임상 경험과 환자분의 치아 상태에 따라 차이가 있을 수 있으므로, 의사와의 충분한 상담을 통해 치료를 결정하시길 바랍니다.라미네이트 시술은 치아의 표면을 삭제하고 보철물을 부착하는 치료로, 보철물 탈락 및 치아손상 가능성이 있으며, 반영구적인 치료방법입니다.게시물의 치료 사진은 실제 본원에서 모든 치료 과정을 마친 환자분의 동의 하에 촬영된 사진입니다. 전후 사진은 동일인이며, 촬영된 모든 사진은 동일 조건 하에서 촬영되었음을 밝힙니다. |