안녕하세요. 디데이치과 대표원장 김무진입니다. ^^
본격적인 장마철이 시작된 것 같습니다.
특히 오늘은 바람도 심하게 불어서 병원에 오시는 환자분들이 불편을 겪으시진 않을지.. 아침부터 걱정이 앞섰는데요.
저희와의 약속을 지키기 위해 이런 궂은 날씨에도 내원해 주시는 분들께 항상 감사한 마음으로 진료에 임하고 있습니다.
"중요한 면접을 앞두고 있는데,
앞니가 얼룩덜룩해서 고민입니다."
"양치 잘 안 하는 사람으로
사람들이 오해할까 봐 두렵습니다..."
이 글을 보셨다면 위와 비슷한 이유로 얼룩덜룩한 반상치(반점치) 치료를 고민하고 있으실 것 같습니다.

반상치는 치아 표면에 흰색, 노란색, 갈색 얼룩이 생기는 것으로 사실 치료가 필요한 병적 질환은 아니지만,
치아에 얼룩덜룩한 반점이, 그것도 광범위하게 있다면, 다른 사람에게 치아를 보이는 것이 두렵고 신경 쓰이는 등... 큰 스트레스 요인이 될 수 있는데요.
실제 저희 병원을 찾아주시는 분들 중에는 중요한 면접을 앞두거나, 결혼을 앞두고 반점치를 개선하기 위해 내원해 주시는 분들이 참 많습니다.
스케일링부터 치아미백, 레진, 라미네이트 등... 다양한 시술을 미리 알아보시고 오시지만,
제 경우 반점의 개수가 많고, 부위가 넓고 깊다면 무삭제 혹은 최소삭제 라미네이트 시술을 권해드리고 있습니다. (그 이유는 아래에서 좀 더 상세하게 설명해 드리겠습니다 ^^)
오늘 소개해 드릴 사례의 환자분도 치아 반점을 개선하는 것뿐만 아니라 자신 있고 아름다운 미소를 얻기 위해 라미네이트 시술을 진행하셨는데요.
20대 여성 외국인 환자분으로 싱가포르에서 치료를 위해 저희 병원을 방문해 주셨습니다.
─
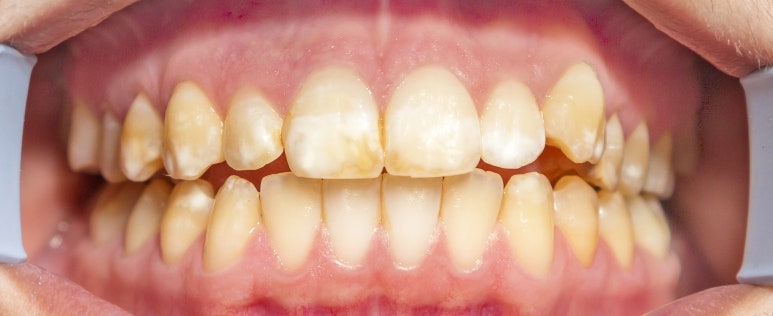
Before : 치료 전

2022-05-23 치료 전
환자분은 한국에 잠깐 거주하신 적이 있으셨었고, 이번엔 열흘 정도 일정으로 라미네이트 치료를 위해 한국에 방문하셨는데요.
윗니 반상치가 큰 고민이셨기 때문에 이를 라미네이트 시술을 통해 개선하고자 하셨고, 아랫니는 치아미백을 원하셨습니다.
그래서 윗니 라미네이트는 자연치아의 삭제량은 최소화하면서 심미성을 개선하는 방향으로 진행되었습니다.
─
After : 치료 후

2022-05-30 치료 후
위 사진에서처럼 윗니 라미네이트 시술을 통해 치아 표면을 깔끔하게 정돈해 드렸고,
아랫니는 라미네이트 보철물과 유사한 색상으로 치아미백을 진행해 드렸습니다.
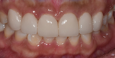
나란히 놓고 비교해 볼까요?


치료 전/후 사진
(좌) 2022-05-23, (우) 2022-05-30
치료 전보다 훨씬 더 깔끔하고 가지런한 치아로 바뀐 것을 확인하실 수 있습니다.
사실 내원하시기 전부터 카카오톡을 통해 상세한 상담을 도와드렸는데요.
구글 번역기를 돌려서 열심히 질문을 주셔서 저와 저희 직원분들도 하나하나 상세하게 답변해 드렸던 기억이 납니다. ^^
치료를 위해 먼 길을 마다않고 내원해 주셨는데, 결과적으로 환자분이 크게 만족해하셔서 저희 의료진도 뿌듯했던 사례였습니다.
─
얼룩덜룩한 치아
반상치 라미네이트말고
다른 방법은 없나요?
간혹 스케일링을 받으러 오시면서 얼룩덜룩한 부위를 좀 갈아줄 수 없는지 물어보는 분들이 있으십니다.
경우에 따라 1. 스케일링이 일부 도움은 될 수 있지만, 사실 그렇지 않은 경우가 더 많은데요.
앞에서 잠시 말씀드렸지만, 반점이 치아 표면이 아닌 깊은 곳에 위치하면서 개수가 많고, 부위가 넓다면 단순히 갈아내는 것만으로는 개선이 어렵기 때문입니다.
그래서 광범위한 치아 반점 개선에는 2. 라미네이트 시술을 권해드리는 경우가 많습니다.
하지만 반대로 치아 표면에 위치하거나 개수가 적고 면적이 좁다면, 해당 부위를 약간 갈아낸 다음 3. 레진으로 메워 개선하는 방법을 고려할 수도 있습니다.
그리고 4. 치아 미백 시술을 고려하는 분들도 있으신데요.
물론 치아가 일정하게 변색된 경우라면 미백이 도움이 될 수 있지만, 반점치인 분들은 미백 시술 후 얼룩이 더 두드려져 보일 수 있습니다.
따라서 반점치 개선을 위해 미백 시술을 하고자 하신다면, 의사와 먼저 상의하시고 결정하시길 바랍니다.

사실 치아가 얼룩덜룩 해지는 원인은 다양합니다.
반상치뿐 아니라 단순 변색일 수도 있고, 치아에 금이 갔을 때도 치아가 얼룩덜룩해 보일 수 있습니다.
따라서 원인과 반점의 범위, 정도에 따라 권해드리는 치료는 조금씩 다를 수 있는데요.
치과에 방문해서 정확한 원인을 파악하고, 내 상태에 적합한 치료가 무엇인지 의사와 상의해 보시고 치료를 결정하시길 바랍니다.
제 블로그에 있는 글을 충분히 읽어보시고, 궁금하신 점이 있거나 상담이 필요하시다면 언제든 병원으로 문의하셔도 좋습니다.
감사합니다. ^^
< 함께 보시면 좋은 글 >
< 무삭제 라미네이트 치료 사례 >
| 꼭 필요한 치료만 정직하게 권하는 곳디데이치과 네이버 예약 ✔ |
| 서울 디데이치과 진료 문의 |
|---|
| 진료 문의 : 02-568-2877 (바로가기)네이버 톡톡 문의 (바로 가기) |
▲ 모바일에서 전화 버튼을 누르시면 병원으로 연결됩니다 ▲

| 본 게시물은 의료광고법 제56조 1항을 준수하여, 의료 정보 제공 및 병원 홍보를 목적으로 디데이치과의원에서 직접 작성하였습니다.다만, 블로그에서 제공해 드리는 정보는 참조용으로만 활용하시고, 정확한 개인의 증상 파악은 의료기관에 직접 내방하시어 의료진을 통해 확인하실 것을 권유 드립니다.치과에서 진행되는 모든 시술 및 수술은 개인에 따라 부작용 (염증, 출혈, 부기, 신경 손상 등) 가능성이 있습니다. 따라서 사전에 의료진과 충분한 상담을 통해 결정하시길 바랍니다.라미네이트 시술은 치아의 표면을 일부 삭제하고, 보철물을 부착하는 치료로 보철물 탈락 및 치아손상 가능성이 있으며, 반영구적인 치료법입니다.게시물의 치료 사진은 실제 본원에서 모든 치료 과정을 마친 환자분의 동의하에 촬영되었습니다. 전후 사진은 동일인이며, 동일 조건하에 촬영되었음을 밝힙니다. |