"제가 어릴 때부터 유독 잇몸이 까매요
친구들이 담배 좀 그만 피라고 놀려서
늘 스트레스입니다..
이젠 정말 사람들 앞에서는
제대로 잘 웃지도 못하겠어요.
저도 잇몸미백치료로 좋아질 수 있을까요?"
안녕하세요. 디데이치과 대표원장 김무진입니다.
유독 검은 잇몸 때문에 비흡연자임에도 주변인들로부터 담배를 너무 많이 태우는 것 아니냐, 어디 아픈 것 아니냐.. 와 같은 오해를 받는 분들이 많습니다.
그럴 때마다 어떻게 대답해야 할지 난감하기만 하고, 중요한 자리에서는 상대에게 안 좋은 인상을 주진 않을지 걱정도 많으셨을 텐데요.
검은 잇몸은 치의학적 용어로 '치은 멜라닌 착색증(Gingival melanin pigmentation)'이라고 합니다.
이는 병이나 질환은 아니며, 사람마다 피부색이 다르듯 잇몸의 색깔도 다를 수 있다고 이해하시면 쉬운데요.
유전적인 영향이 가장 크지만, 직접적인 요인으로는 흡연이나 커피, 음식물 등에 의한 멜라닌 세포의 과다 침착을 꼽을 수 있습니다.
그래서 우리가 얼굴 피부에 생긴 색소를 없애기 위해 피부과에서 레이저 시술을 받듯, 잇몸도 이와 유사한 방식으로 개선을 기대할 수 있는데요.
바로 치주성형수술의 일종인 잇몸미백치료(잇몸색소제거술)를 통해 착색된 잇몸을 밝은 선홍빛으로 되살릴 수 있는 것입니다.
궁금해하실 분들을 위해 저희 병원 잇몸미백 치료 사례를 보여드리면서 간단히 설명해 드리겠습니다.
─
잇몸이 까매요
잇몸미백 + 라미네이트 치료 사례
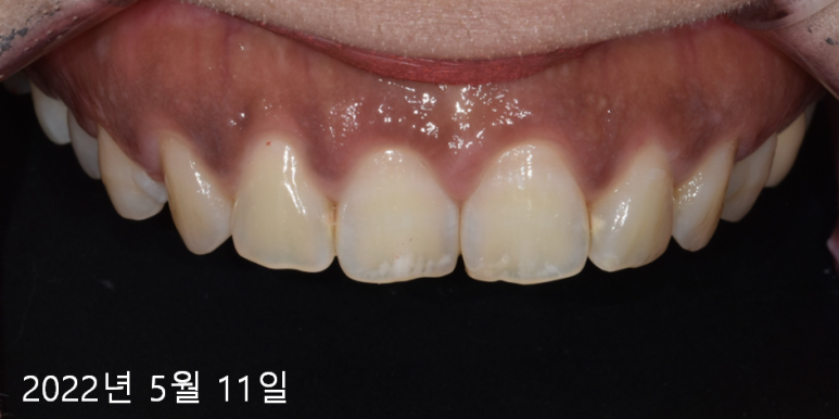
환자분은 30대 여성분으로 거뭇하게 착색된 잇몸과 변색되고 고르지 않은 치아가 고민이 되어 저희 디데이치과를 찾아주셨습니다.
─
Before : 치료 전

흔히 '아름다운 미소'라 한다면, 가지런하고 환한 치아, 그리고 웃을 때 적절한 넓이로 자연스럽게 드러나는 연분홍빛 잇몸이라 할 수 있습니다.
그렇기에 아무리 가지런하고 환한 치아를 가졌더라도 잇몸색이 어둡거나 칙칙하다면 좋은 인상을 주기 어려울 수 있습니다.
실제 성격은 그렇지 않더라도 어딘가 아파 보이거나 어두운 느낌을 줄 수 있는 거죠.
그런데 위 사례 환자분은 잇몸뿐만 아니라, 치아도 변색되고 고르지 않아 더욱 자신감이 많이 떨어진 상황이셨습니다.
그래서 환하고 아름다운 미소를 얻을 수 있는 방법이 무엇인지 환자분과 충분히 논의한 끝에,
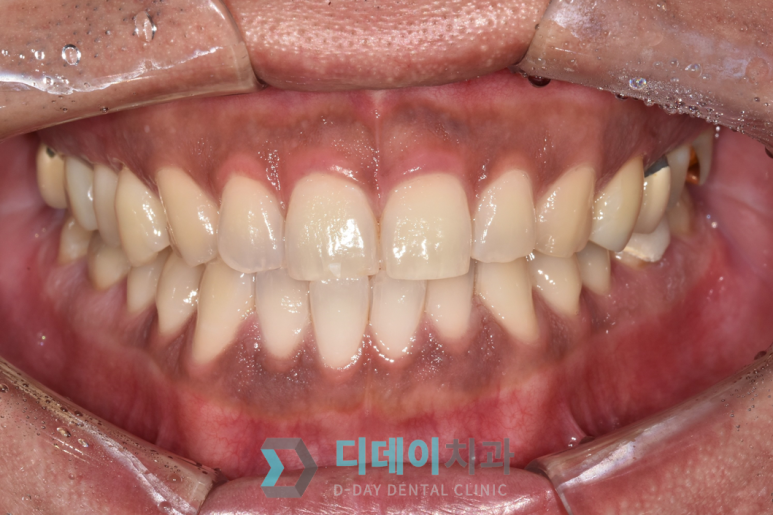
최종적으로 착색된 잇몸을 선홍빛으로 되살리는 잇몸미백치료와 윗니 6개 라미네이트 치료를 함께 진행하게 되었습니다.
잇몸미백 치료시간은 마취 시간을 포함해서 약 30분 내외로 소요되며,
시술 후 식사를 하는 등의 일상생활이 가능하다 보니, 환자분도 편안하게 시술받으실 수 있었습니다.
(물론 약 2일 정도는 음식 섭취 시 잇몸이 쓰린 느낌이 날 수 있습니다)
─
After : 치료 후

위 사진은 잇몸미백치료 후 회복된 상태에서 라미네이트 시술을 마치고 찍은 모습입니다.
특히 윗니 라미네이트 시술은 자연치아의 삭제량은 최소화하면서, 기존 치아 색보다 조금 더 환한 느낌을 줄 수 있도록 진행하였는데요.
치료 전과 후 사진을 나란히 놓고 비교해 보겠습니다. ^^
─
치료 전후 비교


어떠신가요?
치료 전과 비교했을 때 잇몸색도 선홍빛을 띠며, 치아도 가지런하고 깔끔해진 것을 확인하실 수 있습니다.
사진보다 실제로 봤을 때 훨씬 더 전후 변화가 분명하다 보니, 환자분도 "진작에 할 걸 그랬다"라고 말씀하시며 크게 만족해하셨는데요.
저희 의료진 역시 환자분께 환한 미소를 선사해 드린 것에 큰 보람을 느낄 수 있었습니다. ^^
─
잇몸미백 레이저,
주의할 점은 없을까요?
잇몸은 치아를 둘러싼 치조골을 덮고 있으며 그 두께가 그리 두꺼운 편이 아닙니다.
따라서 치조골막에 직접적인 접촉이 발생하지 않도록 주의해서 시술해야 하는데요.
이때 멜라닌 색소의 제거 깊이를 의사가 섬세히 조절해가며 시술해야 하고,
동시에 치아 경계의 잇몸 모양이 손상되지 않도록 최소 2~3mm 정도의 간격을 두고 색소를 제거해야 합니다.
그렇기에 만족스러운 결과를 얻기 위해선 의료진의 꼼꼼한 치료와 섬세한 술기가 필수적이라고 할 수 있습니다.
잇몸이 까매요


2021-09-11
흡연으로 인한 잇몸 착색으로 치료받은 사례
치료 전 / 치료 직후
대부분의 환자분들은 1회 시술로도 개선된 상태를 오랜 기간 유지하십니다.
하지만 잇몸 착색 측 자체가 두껍고, 변색이 심한 분이라면 추가 시술이 필요할 수도 있는데요.
추가 시술이 필요한지는 담당 의사와 상의하여 치료 계획을 세우실 수 있습니다.
그리고 무엇보다도 잇몸 착색을 유발하는 요인을 없애려는 노력을 하지 않는다면, 다시 잇몸이 착색될 확률이 높아집니다.
그러니 꼼꼼한 치료 못지않게 사후관리도 중요하다는 사실을 잊지 마시길 바랍니다. ^^

오늘은 '잇몸이 까매요' 고민을 가진 분들께 도움을 드리고자, 저희 병원의 치료 사례를 소개해 드렸는데요.
잇몸미백치료는 일상생활에 거의 지장을 주지 않으면서도 만족도가 높은 치료방법인 것은 분명합니다.
하지만 꼼꼼한 시술이 이뤄지지 않으면 재발하기 쉽고, 만족스러운 결과를 기대하기 어려울 수 있습니다.
그러니 핑크빛의 건강한 잇몸을 원하신다면, 보다 꼼꼼하게 진료하는 치과 의사를 만나셔서 내게 적절한 치료법이 무엇인지를 충분히 상의해 보시길 바랍니다.
감사합니다. ^^
< 잇몸이 까매요, 다른 치료 사례 >
< 디데이가 처음이신 분들을 위한 글 >
< 현명하게 치과 선택하는 방법 >
| 환자를 돌려보내는 치과가 있다?디데이치과 네이버 예약 ✔ |
| 서울 디데이치과 진료 문의 |
|---|
| 진료 문의 : 02-568-2877 (바로가기)네이버 톡톡 문의 (바로 가기) |
▲ 모바일에서 전화 버튼을 누르시면 병원으로 연결됩니다 ▲

| 본 게시물은 의료광고법 제56조 1항을 준수하여, 의료 정보 제공 및 병원 홍보를 목적으로 디데이치과의원에서 직접 작성하였습니다.다만, 블로그에서 제공해 드리는 정보는 참조용으로만 활용하시고, 정확한 개인의 증상 파악은 의료기관에 직접 내방하시어 의료진을 통해 확인하실 것을 권유 드립니다.치과에서 진행되는 모든 시술 및 수술은 개인에 따라 부작용 (염증, 출혈, 부기, 신경 손상 등) 가능성이 있습니다. 따라서 사전에 의료진과 충분한 상담을 통해 결정하시길 바랍니다.라미네이트 시술은 치아의 표면을 일부 삭제하고, 보철물을 부착하는 치료로 보철물 탈락 및 치아손상 가능성이 있으며, 반영구적인 치료법입니다.게시물의 치료 사진은 실제 본원에서 모든 치료 과정을 마친 환자분의 동의하에 촬영되었습니다. 전후 사진은 동일인이며, 동일 조건하에 촬영되었음을 밝힙니다. |