"아직 20대 중반인데 잇몸이 내려앉고 있어요.
나이 들어서 생기는 증상인 줄 알았는데...
20대 잇몸퇴축, 대체 왜 생기는 걸까요?
이식 수술밖에는 답이 없는 걸까요?"
안녕하세요. 디데이치과 대표원장 오태훈입니다.
아마 위와 비슷한 상황으로 '잇몸 이식수술을 받아야 하는 것은 아닐지...' 걱정되는 마음에 관련 정보를 찾아보고 있으실 것 같습니다.
잇몸 퇴축은 잇몸이 내려앉아 치아 뿌리의 일부가 노출된 상태를 의미합니다.
흔히 '잇몸이 내려앉았다, 잇몸이 꺼졌다, 잇몸뼈가 보인다' 등으로 표현되기도 하죠.
주로 40~50대 후부터 이러한 증상이 잘 나타나기 때문에 노화와 관련이 있는 것으로 알려져 있는데요.
이러한 이유로 아직 젊은 나이임에도 20대잇몸퇴축 현상이 생겨 당혹스럽고 속상하셨을 마음을 충분히 공감하고 있습니다.

하지만 잇몸퇴축은 노화뿐 아니라 다양한 원인에 의해서도 나타날 수 있습니다.
실제 20대 잇몸퇴축으로 치과를 찾는 젊은 환자분들의 수도 적지 않은데요.
일단 잇몸의 높이가 낮아지면서 상대적으로 치아가 길어 보이게 되고,
치아와 치아 사이 공간이 넓어져 미관상으로도 보기 좋지 않기 때문에 적절한 치료와 관리를 통해 개선하는 것이 중요합니다.
만약 증상이 심하면 잇몸 이식 등의 수술을 통해 노출된 치아 뿌리를 덮어주는 방식의 치료가 필요할 수 있습니다.
하지만 잇몸퇴축이 있다고 해서 모두 수술을 해야 하는 것은 아닌데요.
치아 뿌리가 마모되지 않은 초기 단계에서는 시중에 판매하는 치아 시림 방지용 치약을 꾸준히 사용하는 것이 도움이 될 수 있습니다.
하지만 무엇보다도 치과에 내원하셔서 의사와 충분히 상담하신 후 현재 상태가 어떠한지, 내게 적합한 치료법이 무엇인지 확인하시는 것이 가장 중요한데요.
의료진이 구강 상태를 꼼꼼히 살펴본 후에야 20대 잇몸퇴축의 정확한 원인을 찾을 수 있고, 그에 맞는 가장 적합한 치료와 관리를 제안할 수 있기 때문입니다.
─
잇몸성형과 라미네이트로
개선한 사례
제가 오늘 소개해 드릴 치료 사례는 잇몸퇴축 증상이 있던 30대 여성분의 라미네이트 시술 사례입니다.
잇몸이 내려앉아 치아 뿌리 쪽이 노출된 것과 치아 모양이 마음에 들지 않아, 개선을 위해 저희 치과를 찾아주신 분인데요.
─
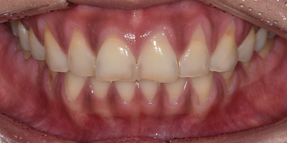
Befor : 치료 전

2022-05-07
사진엔 잘 드러나있지 않지만, 오래전부터 앓아온 역류성 식도염으로 치아가 많이 부식된 상태셨습니다.
그래서 저희 의료진은 올세라믹 크라운을 권유해 드렸지만, 환자분이 치아삭제에 대한 부담감이 있으셨기에 최종적으로 라미네이트 시술을 진행하게 되었습니다.
다만, 다른 치아들도 이미 부식이 진행되고 있는 상태였기에 역류성 식도염 치료를 함께 병행하실 것을 당부드렸습니다.
그리고 추가적으로 환자분이 이갈이가 있다고 하셨는데요.
이는 보철물의 파절 원인이 될 뿐만 아니라, 잇몸퇴축을 더욱 악화시킬 수 있습니다. 따라서 이갈이 보조 장치를 제작하시는 것이 좋다고 제안해 드렸습니다.
─
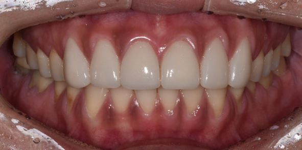
Afeter : 치료 후

2022-06-03
윗니 라미네이트 시술(총 6개)을 진행한 모습입니다.
기존 치아 길이를 유지하면, 잇몸퇴축으로 치아가 더 길어 보일 수 있어서 치아 길이를 줄이는 방향으로 진행하였습니다.
또한, 잇몸성형으로 잇몸라인을 조금 더 둥글게 만들어드렸습니다.
나란히 놓고 비교해 보겠습니다.


(좌) 2022-05-07 / (우) 2022-06-03
어떠신가요?
보철물을 부착한 후 치아의 모양과 색상이 한층 더 고르고 밝아진 것을 확인할 수 있습니다.
또한 환자분의 가장 큰 고민이었던 잇몸퇴축으로 인해 뿌리 쪽 부분이 보이던 현상도 잘 해결되었습니다.
물론 더 이상 잇몸퇴축이 진행되지 않도록 예방관리법을 안내해 드리고, 정기적인 검진을 통해 잇몸과 치아를 관리해 드리기로 하고, 치료를 마쳤습니다. ^^
─
20대잇몸퇴축
원인을 알면 예방도 가능합니다
- 잇몸질환
잇몸퇴축의 가장 큰 요인은 바로 잇몸질환입니다.
그중에서도 치아와 잇몸 사이에 쌓이는 치태와 치석은 잇몸 깊숙하게 자리 잡아 잇몸을 내려앉게 하거나 치아가 흔들리게 할 수 있습니다.
따라서 평소 양치질을 잘 해주고, 6개월에 한 번은 주기적으로 치과 스케일링을 통해 치석을 제거해 주는 것이 도움이 됩니다.

- 선천적으로 약한 잇몸
선천적으로 약한 잇몸을 가진 분들이 있습니다.
이런 분들은 아무래도 일반인보다 잇몸 질환이 나타날 가능성이 클 수밖에 없는데요.
더군다나 치과에서 진료를 할 때도 미세한 자극에도 잇몸이 손상되는 불편감을 겪기도 합니다.
이처럼 선천적으로 잇몸이 약한 분들은 보다 섬세한 잇몸 관리가 필요하며, 잇몸 건강에 도움이 되는 건강기능식품을 복용하는 것도 좋은 방법일 수 있습니다.
- 잘못된 양치 습관
치은퇴축을 경험하는 분들의 상당수가 잘못된 양치 습관을 가진 경우가 많습니다.
양옆으로 힘을 주어 닦는 습관보다는, 잇몸에서 치아 방향으로 손목을 돌리며 쓸어내리듯이 닦아주는 것이 중요한데요.
이때 칫솔모가 강하고 뻣뻣하면 잇몸에 자극을 줄 수 있기 때문에 미세모 칫솔로 양치하는 것이 좋습니다.
또한 자신에게 맞는 치간 칫솔이나 치실을 통해 치석을 잘 관리해 주는 것도 도움이 됩니다.

- 이 악물기와 이갈이
이는 앞서 치료 사례를 소개하며 잠시 언급했었는데요.
이 악물기나 이갈이 습관으로 인해 치아가 과도한 힘을 받게 되면, 치아만 손상되는 것이 아니라, 치아를 지지하는 잇몸에도 영향을 미치게 됩니다.
즉 잇몸퇴축을 유발하거나 악화시킬 수 있는 거죠.
따라서 이를 악무는 분들은 보톡스 시술, 혹은 이갈이가 심한 분들은 이갈이를 방지를 위한 보조 장치를 사용하는 것이 증상 예방에 도움이 됩니다.
- 부정교합
부정교합도 이갈이와 비슷한 요인으로 잇몸퇴축의 원인이 될 수 있습니다.
치아가 제대로 맞물리지 않아, 일부 치아만 과도하게 힘을 받는다면 이 또한 잇몸에 무리를 줄 수 있는 것이죠.
따라서 부정교합을 유발하는 요인을 찾아 이를 적극적으로 해결해 주는 것이 중요합니다.
어떠셨나요. 오늘 제 글이 많은 도움이 되셨나요?
블로그에 있는 글을 충분히 읽어보시고, 궁금하신 점이 있거나 상담이 필요하시다면 언제든 병원으로 문의하시길 바랍니다.
꼼꼼하게 진료해서, 여러분에게 꼭 필요한 치료만 제안해 드리겠습니다.
감사합니다. ^^
< 디데이가 처음이신 분들을 위한 글 >
< 과잉진료하지 않는 치과 찾는 방법 >
| 꼭 필요한 치료만 정직하게 권하는 곳디데이치과 네이버 예약 ✔ |
| 저희 디데이치과는양질의 의료 서비스를 제공해드리기 위해월 신규 환자 인원을 제한하고 있습니다.간혹 예약 대기가 발생할 수 있음을 양해 부탁드리며,예약 후 내원하셔서 "블로그 보고 왔어요"라고말씀해 주시면, 보다 빠른 진료를 도와드리겠습니다. |
| 서울 디데이치과 진료 문의 |
|---|
| 대표전화 : 02-568-2877 (바로가기)네이버 톡톡 문의 (바로 가기) |
▲ 모바일에서 전화 버튼을 누르시면 병원으로 연결됩니다 ▲

| 본 게시물은 의료광고법 제56조 1항을 준수하여, 의료 정보 제공 및 병원 홍보를 목적으로 디데이치과의원에서 직접 작성하였습니다.다만, 블로그에서 제공해 드리는 정보는 참조용으로만 활용하시고, 정확한 개인의 증상 파악은 의료기관에 직접 내방하시어 의료진을 통해 확인하실 것을 권유 드립니다.치과에서 진행되는 모든 시술 및 수술은 개인에 따라 부작용 (염증, 출혈, 부기, 신경 손상 등) 가능성이 있습니다. 따라서 사전에 의료진과 충분한 상담을 통해 결정하시길 바랍니다.라미네이트 시술은 치아의 표면을 일부 삭제하고, 보철물을 부착하는 치료로 보철물 탈락 및 치아손상 가능성이 있으며, 반영구적인 치료법입니다.게시물의 치료 사진은 실제 본원에서 모든 치료 과정을 마친 환자분의 동의하에 촬영되었습니다. 전후 사진은 동일인이며, 동일 조건하에 촬영되었음을 밝힙니다. |