반갑습니다. 디데이치과 대표원장 오태훈입니다.
외모만큼이나 사람의 이미지를 결정하는 중요한 요소가 무엇인지 알고 있으신가요?
바로 '미소'입니다.
흔히 웃는 얼굴에 침 못 뱉는다고 하죠.. 웃는 얼굴은 친근하면서도 좋은 인상을 주기 마련입니다.
그런데 이상하게도 예쁘고 준수한 외모를 가졌는데 웃으면 얼굴이 어색해지는 분들이 있습니다.
반면 외모는 평범하지만, 웃는 모습이 기가 막히게 아름다운 분들이 있으시고요.
이처럼 외모를 뛰어넘어 보는 이로 하여금 기분 좋게 만들어주는 아름다운 미소의 조건은 무엇일까요?

가지런하면서 하얗고 깨끗한 치아, 자연스럽게 드러나는 연분홍빛 잇몸을 흔히 우리는 아름다운 미소라 말합니다.
물론 사람마다 고유의 개성과 매력이 존재합니다. 그리고 이를 더욱 빛나게 할 아름다운 미소는 건강하고 자신감 있는 마음에서 만들어지기도 하고요.
하지만 어딘가 어색하고 부족한 부분이 있다면, 좀 더 완벽하고 예쁜 미소를 위해 의학의 도움을 적절하게 받는 것도 좋은 방법일 수 있습니다.
아마 이 글을 보시는 분들도 다양한 고민으로 앞니성형 후기 및 관련 정보를 알아보고 있으실 것 같은데요. ^^
오늘은 여러분과 비슷한 고민으로 최근 저희 병원에서 찾으셨던 분들의 앞니성형 치료 사진을 보여드리면서 찬찬히 설명해 드리도록 하겠습니다.
─
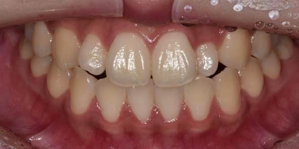
사례 1.
들쑥날쑥한 치아와 잇몸라인
환자분은 20대 여성분으로 유독 작은 치아(왜소치)와 울퉁불퉁한 잇몸라인에 대한 불만으로 전반적인 앞니성형을 위해 내원해 주셨습니다.

2022-06-11
윗니 6개 라미네이트 시술 진행하셨고, 보철물은 자연스러운 색상을 원하셔서 기존 치아색과 유사하게 제작해 드렸습니다.
그리고 왜소치가 있는 부위는 잇몸이 많이 내려와 있었기 때문에 잇몸성형을 통해 다른 치아와 잇몸 라인을 맞춰드렸습니다.


(좌) 2022-06-11 / (우) 2022-06-22
치료가 끝나고 치아 모양이 고르고 가지런해진 것뿐만 아니라, 환자분이 고민하셨던 왜소치도 주변 치아와 유사한 형태로 잇몸라인이 개선된 것을 확인하실 수 있습니다.
─
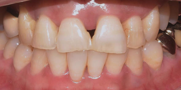
사례 2.
삼각형 모양의 비뚤어진 치아와 구멍
환자분은 30대 여성분으로 전체적인 치아 모양에 대한 불만과 대문니 사이 홈(블랙 트라이앵글)이 신경 쓰여 개선을 위해 저희 디데이를 찾아주셨습니다.

2022-01-11
대문니 옆 치아는 기존에 레진으로 때운 부분이 많아 제거한 다음, 신경치료 후 올세라믹 크라운을 진행하였고,
대문니 2개는 블랙 트라이앵글을 최소화하기 위해 다소 양옆으로 넓어 보이기는 하지만, 환자분이 원하는 방향으로 라미네이트 시술을 도와드렸는데요.


(좌) 2022-01-11 / (우) 2022-02-11
웃으실 때 윗니만 보이기도 하고, 기존 치아보다 더 밝은 치아를 얻길 원해하셔서 보다 밝은 색상으로 진행되었습니다.
이전과 비교했을 때 치아 모양이 고르고 반듯해진 것을 확인하실 수 있습니다.
─
사례 3.
얼룩덜룩한 치아와 도드라진 잇몸
환자분은 20대 여성분으로 얼룩덜룩하고, 불만족스러운 치아 형태, 잇몸이 많이 보이는 느낌이 싫다고 하시며 찾아주셨습니다.

2022-05-30
특히 오른쪽 송곳니가 유독 뾰족해서 법랑질 성형(치아성형)을 통해 개선하고, 윗니 6개 라미네이트 시술을 진행하였습니다.


(좌) 2022-05-30 / (우) 2022-06-08
보철물을 부착한 이후 치아색상과 모양이 고르게 정돈되고, 특히 잇몸이 많이 보이던 부분까지 개선된 것을 확인하실 수 있습니다.
자연치아를 최대한 보존하면서 단기간에 예쁜 미소를 되찾아주는 최소삭제, 무삭제 라미네이트,
시원하고 환한 미소를 위한 잇몸/치아미백, 잇몸성형 등의 치과 심미치료는 이제는 연예인뿐만 아니라 일반인 사이에서도 대중화된 시술입니다.
하지만 정확한 검진과 진단을 통해 내게 적합한 방법을 찾아야 하고, 자연치아는 최대한 보존하는 방향으로 진행돼야 하는데요.
본인에게 맞지 않는 무분별한 시술은 과도한 삭제로 인한 치아 시림, 보철물에 빠른 탈락 등의 부작용과 불만족스러운 결과를 낳을 수 있기 때문입니다.

그렇기에 저희 디데이에서는 '치아를 많이 삭제해야 할 것으로 판단되거나, 환자분에게 적합하지 않다면' 정직하게 말씀드리고 치료를 해드리지 않기도 하는데요.
물론 의료진이 직접 꼼꼼하게 진단해서 더 나은 방법이 무엇인지를 함께 고민해드리고 있습니다.
그렇기에 앞니성형을 고려 중이시라면, 숙련된 의사와 충분한 상담을 통해 본인에게 맞는 치료 방향이 무엇인지를 확인하시는 것이 가장 중요합니다.
제 글을 보신 분들이 좋은 의사선생님을 만나 제대로 치료받으셨으면 하는 마음에서, 도움을 드릴 글을 아래 공유하겠습니다.
조금만 더 시간을 내서 함께 읽어보시고, 필요한 정보만 쏙쏙 뽑아가시길 바랍니다. ^^
< 과잉진료하지 않는 치과 찾는 방법 >
< 디데이치과가 처음이신 분들을 위한 글 >
< 앞니성형, 라미네이트 주의사항 >
| 환자를 돌려보내는 치과가 있다?디데이치과 네이버 예약 ✔ |
| 서울 디데이치과 진료 문의 |
|---|
| 진료 문의 : 02-568-2877 (바로가기)네이버 톡톡 문의 (바로 가기) |
▲ 모바일에서 전화 버튼을 누르시면 병원으로 연결됩니다 ▲

| 본 게시물은 의료광고법 제56조 1항을 준수하여, 의료 정보 제공 및 병원 홍보를 목적으로 디데이치과의원에서 직접 작성하였습니다.다만, 블로그에서 제공해 드리는 정보는 참조용으로만 활용하시고, 정확한 개인의 증상 파악은 의료기관에 직접 내방하시어 의료진을 통해 확인하실 것을 권유 드립니다.치과에서 진행되는 모든 시술 및 수술은 개인에 따라 부작용 (염증, 출혈, 부기, 신경 손상 등) 가능성이 있습니다. 따라서 사전에 의료진과 충분한 상담을 통해 결정하시길 바랍니다.라미네이트 시술은 치아의 표면을 일부 삭제하고, 보철물을 부착하는 치료로 보철물 탈락 및 치아손상 가능성이 있으며, 반영구적인 치료법입니다.게시물의 치료 사진은 실제 본원에서 모든 치료 과정을 마친 환자분의 동의하에 촬영되었습니다. 전후 사진은 동일인이며, 동일 조건하에 촬영되었음을 밝힙니다. |