반갑습니다. 디데이치과 오태훈 대표원장입니다.
저와 김 원장님은 보건복지부 인증 전문의로서 '과잉진료하지 않고 꼭 필요한 치료만 정직하게 권하는 것'을 진료 신념으로 삼고 있습니다. ^^
아마 이 글을 보셨다면, 치아를 과도하게 덮고 있는 잇몸으로 치은절제술 혹은 치은성형술에 관한 정보를 찾고 있으실 것으로 생각됩니다.
이는 치은(잇몸)에 진행되는 치료법으로 시술 과정이 유사하기 때문에 혼용돼서 사용되고 있지만,
사실 엄밀히 따지자면 목적이 다른 치료법인데요.
그래서 오늘은 치은절제술과 치은성형술(잇몸성형)의 차이점에 대해 여러분이 알기 쉽도록 간단히 설명해 드리고,
저희 병원에서 진행한 잇몸성형 치료 사례를 소개해 드리도록 하겠습니다. ^^
─
치은절제술과 성형술 차이
무엇이 다를까요
치아 사이에 음식물이 끼거나 치태와 치석 등이 쌓이면 잇몸이 붓고 염증이 생길 수 있습니다.
만일 염증이 심해서 잇몸이 치아 쪽으로 자라게 되면, 세균이 번식하기 쉬운 환경이 됩니다.

출처 네이버 동영상백과 ebs 지식클립 치은절제술
따라서 이때는 잇몸을 절제해서 치주낭 내 치석과 괴사된 조직을 제거하는 외과적 술식인 치은절제술(gingivectomy)을 고려해야 하는데요.
쉽게 말해 통증과 염증을 완화하기 위한 치료 목적으로 진행되는 것이죠.
반면, 잇몸성형으로도 알려진 치은성형술(gingivoplasty)은 주로 심미적인 개선을 목적으로 진행됩니다.
유독 잇몸이 치아를 덮어 치아가 작아 보이거나 비대칭인 경우, 어딘가 모르게 답답하고 어색한 인상을 줄 수 있기 때문에 심미적인 치료가 필요할 수 있습니다.

하지만 심미적인 요인 외에도 잇몸의 형태 이상은 세균성 치태와 음식 찌꺼기가 잘 끼게 만들어 치주 질환을 더욱 악화시키기도 합니다.
따라서 음식물이 잘 빠져나올 수 있도록 잇몸 조직 및 치아건강을 위해서라도 시행할 수 있습니다.
그렇기에 치료 전 정확한 진단과 상담이 필요하며, 본인에게 가장 적합한 치료법을 선택해야 합니다.
─
디데이치과의
치은성형술(잇몸성형) 사례
자신감 있고, 아름다운 미소는 첫인상을 결정짓는데 무척 중요한 요소이지만,
치아와 잇몸 때문에 활짝 웃기를 망설이게 되거나, 혹은 다른 사람에게 내 치아를 절대 보여주고 싶지 않은 분들이 계십니다.
유독 웃을 때마다 도드라져 보이는 잇몸, 유독 짧아 보이고 들쑥날쑥한 치아 길이...
이러한 고민이 있는 분들을 위해 저희 디데이치과의 잇몸성형 사례를 소개하겠습니다.
─
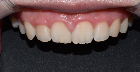
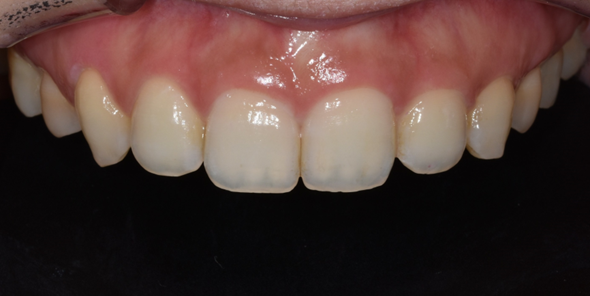
사례 1.
잇몸이 좌우 비대칭이에요
전체적으로 잇몸이 내려와 울퉁불퉁한 잇몸라인, 짧아 보이는 치아로 개선을 위해 내원해 주신 분의 사진입니다.


(전) 2022-02-18 / (후) 2022-03-03
대문니 사이 불룩 튀어나온 잇몸을 정리해 드리고, 대문니와 비슷한 높이로 옆 치아 잇몸도 조정해 드렸습니다.
정돈되고 많이 이뻐졌죠?
─
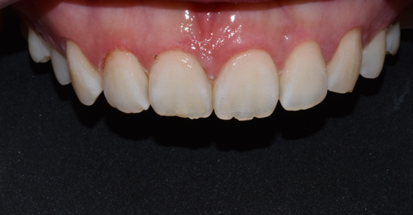
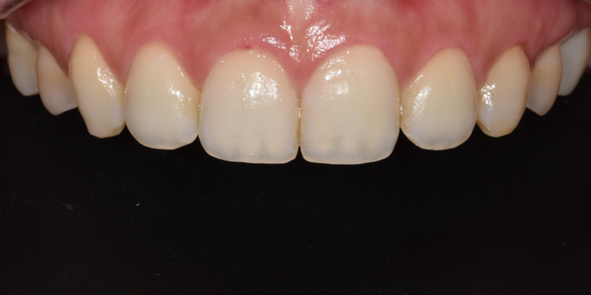
사례 2.
치아가 작아 보여서 고민이에요
잇몸이 많이 내려와서 치아가 작아 보이는 것이 고민이었던 환자분의 사진입니다.


(전) 2022-05-24 / (후) 2022-06-07
대문니 쪽과 맞추어 좀 더 위로 올려드리고, 트인 느낌을 주도록 디자인하였습니다.
전체적으로 조화롭고, 잇몸이 둥글둥글한 느낌으로 개선된 것을 확인하실 수 있습니다.
─
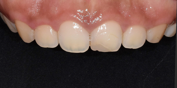
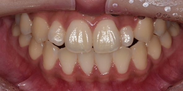
사례 3.
치아가 네모납니다
대문니 모양이 평평하고 네모난 느낌이 있어 내원해 주신 분입니다.


(전) 2022-05-28 / (후) 2022-06-10
대문니 쪽과 인접치 부위 잇몸을 둥글게 다듬어드렸는데요.
전체적으로 둥글고 고른 잇몸라인이 만들어져 치아 모양도 이쁘고, 시원해진 느낌이 듭니다.
─
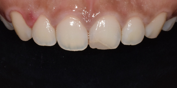
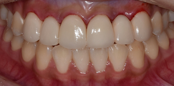
사례 4.
유독 작은 치아가 스트레스에요.
대문니 옆 왜소치와 잇몸라인, 치아 모양에 대한 불만족으로 전반적인 앞니 형태를 개선하기 위해 내원해 주셨습니다.


(전) 2022-06-11 / (후) 2022-06-22
왜소치 쪽 잇몸이 많이 내려와 있는 상태였기 때문에 전체적인 라인을 맞춰드렸고,
환자분의 요청으로 기존 치아색상과 유사한 색상으로 윗니 라미네이트 시술을 진행하였습니다.
약 2주가 안되는 기간만에 가지런한 치아와 잇몸으로 개선되어, 시원하고 환한 미소를 얻게 되셨습니다.
절대적인 것은 아니지만, 흔히 미소를 지을 때 위 치아의 잇몸 경계가 보일 듯 말 듯 한 것이 좋고,
아주 크고 환하게 웃을 때는 앞니를 기준으로 5mm 전후로 보이는 것을 이상적인 잇몸이라고 말합니다.

하지만 잇몸이 도드라지고, 미소가 어색한 이유가 단순히 잇몸 문제가 아닌 뼈의 길이, 치아의 위치, 근육의 문제인 경우도 있는데요.
이런 경우는 잇몸을 절제하는 수술만으론 개선이 어려울 수 있어 적절한 치료법을 찾아야 합니다.
그렇기에 시술 전 잇몸의 두께와 좌우 대칭성, 치아를 덮는 정도 등을 의료진이 세심하게 진단해서 내게 꼭 맞는 치료법을 찾아야 합니다.
또한, 아무리 간단한 수술이라 하더라도 자연스러운 결과를 얻기 위해선 의료진의 심미적인 테크닉도 매우 중요하고요.
글을 보시고, 잇몸성형 통증 및 비용, 주의사항이 궁금하시다면 제가 지난번에 작성한 글을 참고해 보시길 바랍니다.
긴 글 읽어주셔서 감사합니다. ^^
< 잇몸성형 Q&A >
< 과잉진료하지 않는 치과 찾기 >
< 디데이가 처음인 분들을 위한 글 >
| 환자를 돌려보내는 치과가 있다?디데이치과 네이버 예약 ✔ |
| 서울 디데이치과 진료 문의 |
|---|
| 진료 문의 : 02-568-2877 (바로가기)네이버 톡톡 문의 (바로 가기) |
▲ 모바일에서 전화 버튼을 누르시면 병원으로 연결됩니다 ▲

| 본 게시물은 의료광고법 제56조 1항을 준수하여, 의료 정보 제공 및 병원 홍보를 목적으로 디데이치과의원에서 직접 작성하였습니다.다만, 블로그에서 제공해 드리는 정보는 참조용으로만 활용하시고, 정확한 개인의 증상 파악은 의료기관에 직접 내방하시어 의료진을 통해 확인하실 것을 권유 드립니다.치과에서 진행되는 모든 시술 및 수술은 개인에 따라 부작용 (염증, 출혈, 부기, 신경 손상 등) 가능성이 있습니다. 따라서 사전에 의료진과 충분한 상담을 통해 결정하시길 바랍니다.라미네이트 시술은 치아의 표면을 일부 삭제하고, 보철물을 부착하는 치료로 보철물 탈락 및 치아손상 가능성이 있으며, 반영구적인 치료법입니다.게시물의 치료 사진은 실제 본원에서 모든 치료 과정을 마친 환자분의 동의하에 촬영되었습니다. 전후 사진은 동일인이며, 동일 조건하에 촬영되었음을 밝힙니다. |