"치아가 너무 누래서
강남치아미백치과를 찾고 있습니다.
미백에 좋다는 치약을 써도 그때뿐이고..
셀프 치아미백하려고 찾아보니,
이만 시리고 효과를 보지 못했다는 후기가 많더라구요.
치과에서 받으면 오래가겠죠?"
안녕하세요. 디데이치과 김무진 대표원장입니다.
남녀를 불문하고 외모가 중요한 경쟁력이 된 요즘, 깨끗하고 스마트한 인상을 위해 치아미백을 고려하시는 분들이 부쩍 많아진 것 같습니다.
저희 디데이에도 치아를 하얗게 만들어주는 전문가 미백 치료를 받으려는 분들의 문의와 발길이 꾸준히 이어지고 있는 상황인데요.

아마 이 글을 보시는 분들 중에는 '간단한 시술이니 거리가 가깝고, 저렴한 치과를 선택해도 괜찮지 않을까' 하는 생각을 하신 분들도 있으실 것 같습니다.
최소 3회 정도는 시술을 받아야 하는 만큼, 비용적인 부담이 크실 것을 저도 잘 알고 있습니다.
하지만 치아미백은 의료진이 꼼꼼하게 진단해서 치아가 변색된 이유를 파악하고, 환자의 치아 상태(마모 정도와 잇몸의 퇴축 등)와 피부 톤에 맞게 시행하는 것이 매우 중요합니다.
그렇지 않으면, 비용을 들이더라도 효과가 미미하거나, 치아시림 등의 부작용을 겪을 수 있기 때문입니다.
그래서 오늘 강남치아미백 치과를 알아보시는 분들이 병원에 가기 전 다양한 정보를 습득하셨으면 하는 바람에서,
저희 디데이치과의 전문가미백 치료 사례를 간략하게 소개하고, 꼭 알아야 할 주의사항을 알려드리도록 하겠습니다. ^^
─
강남치아미백 디데이치과
원데이 전문가미백 치료 사례
아래는 저희 병원에서 미백치료를 받으신 분들의 사진입니다.
저희 디데이에서는 총 3회를 한 번에 시술하는 원데이 전문가 치아미백을 시행하고 있습니다.
즉 한 번만 방문하시면 되며, 치료 시간은 약 1시간 30분 정도 소요됩니다.
개인차는 있지만 최소 1단계 이상 밝아진다고 보시면 될 것 같습니다.
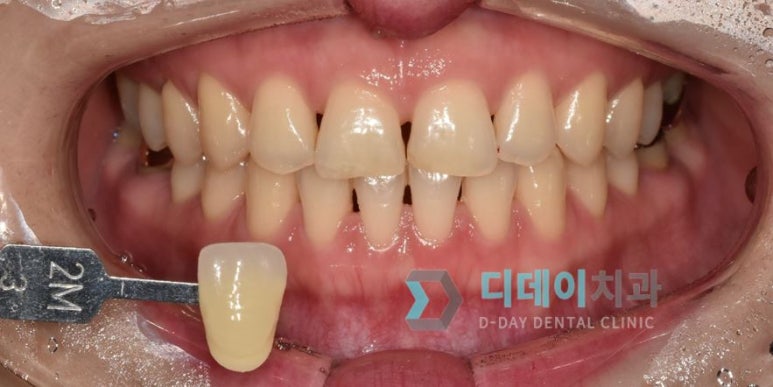
사례 1.


2022-02-03
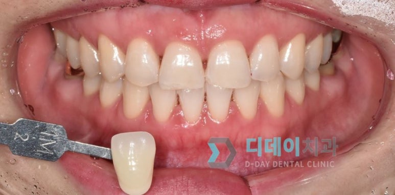
사례 2.


2022-02-22
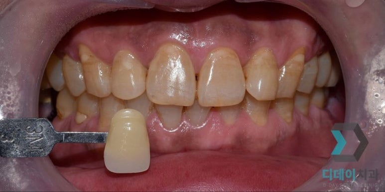
사례 3.


2022-04-05
전문가 미백은 시중에서 구할 수 있는 저가 미백제와는 달리, 고농도 제품을 사용하기 때문에 짧은 시간 내 집중적인 미백 효과를 기대할 수 있다는 장점이 있습니다.
또한, 열을 최소화한 미백 전용 광선을 이용하므로 이전에 많이 나타나던 치아시림 증상이 거의 없다는 것이 특징입니다.
물론 시술자의 숙련도나 개인의 특성에 따라 치아가 시릴 순 있습니다.
하지만 대부분은 수일 내로 사라지기 때문에 걱정하지 않으셔도 되지만, 만일 치아가 계속 시리다면 치과를 찾아 원인을 파악하는 것이 중요합니다.
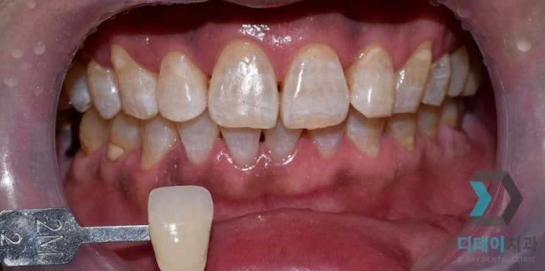
사례 4.
아래 환자분은 지난달에 내원하셨던 20대 초반의 여성분의 사진입니다.
젊은 나이임에도 불구하고 치아 착색이 꽤 진행되어 개선을 위해 저희 병원을 찾아주셨는데요.


2022-06-27
본원의 원데이 치아미백을 통해 약 2단계 정도 치아가 밝아졌고, 깔끔하고 환한 미소를 되찾으실 수 있었습니다. ^^
─
효과를 오래 유지하는 방법
치아미백은 영구적인 시술은 아닙니다.
또한 환자의 흡연 여부, 식습관, 관리 상태 등에 따라 유지 기간은 달라질 수 있습니다.
따라서 시술을 받은 후에는 금연은 물론이고, 콜라나 커피, 와인처럼 치아 변색에 영향을 주는 식음료는 피하는 것이 바람직한데요.
만일 피하기 어렵다면, 많이 마시지 말고 입안에 오래 머금고 있지 않은 것이 좋습니다.
또한 식후에 곧바로 양치질을 하거나, 어렵다면 물로 헹궈주는 것이 도움이 됩니다.
이러한 노력과 함께 치아미백을 6개월에서 1년에 한 번씩 주기적으로 시행해 준다면, 환한 치아를 지속해서 유지할 수 있는데요.
실제 저희 환자분 중에는 1년에 한번 중요한 행사가 있을 때마다 받으실 만큼, 간편하고 만족도가 높은 시술입니다. ^^
─
강남치아미백,
왜 전문가와 상의해야 할까?
앞서 의료진의 꼼꼼한 진단을 통해 본인에게 맞는 치료를 받으실 것을 권유해 드렸습니다.
치아 변색의 원인과 환자의 치아 상태 등이 모두 다르기 때문인데요.
이는 마치 흰 셔츠를 표백제를 이용해서 세탁하더라도 시간이 지날수록 처음 느꼈던 새것의 느낌이 안 나는 것과 비슷합니다.
오랜 기간 화학변화를 거쳐 누렇게 변한 치아, 법랑질이 닳고, 균열이 생긴 치아에는 단순히 약품을 이용한 방법만으로 만족스러운 결과를 기대하기 어려울 수 있는 거죠.
그래서 이럴 때는 오히려 변색된 치아 위에 치아와 비슷한 재질의 보철을 부착하는 라미네이트 시술이 더 적합할 수 있습니다.

또한 치아미백 비용을 조금이라도 아끼기 위해 해외 직구 등을 통해 치아 미백제를 구입해서 셀프로 시술하는 분들도 많으신데요.
이들 제품의 상당수는 미백효과를 높이고자, 과산화수소 함량을 지나치게 높인 제품들이 많습니다.
따라서 이런 제품을 잘못 사용한다면, 치아 부식, 이 시림, 잇몸 손상, 위장장애 등 부작용을 초래할 수 있어 주의해야 합니다.
그래서 결론적으로 내게 어떤 방법이 좋을지에 대한 선택과 평가는 전문의와 함께 상의하는 것이 바람직한데요.
환자의 나이와 직업, 치아의 색상과 모양, 투명도를 평가하고, 치아색에 대한 기대치 등을 사전에 충분히 상의해서 최종적인 치료법을 결정하는 것이 중요합니다.
따라서 강남치아미백 치과를 알아보신다면,
간단한 시술이라 하더라도 의료진과의 충분한 상담이 이뤄지는 곳, 철저한 사후관리를 보장하는 곳을 선택하셔야 합니다.

이러한 이유로 저희 디데이치과는 의료진이 직접 꼼꼼하게 진단하고 상담하여 환자분에게 꼭 맞는, 꼭 필요한 치료만 권해드리고 있습니다.
그러니 블로그에 있는 글을 충분히 읽어보시고, 궁금하신 점이 있거나 상담이 필요하시다면 언제든 편하게 문의하시길 바랍니다.
감사합니다. ^^
< 강남치아미백 추천 칼럼 >
< 과잉진료하지 않는 치과 선택법 >
< 디데이가 처음이신 분을 위한 글 >
| 환자를 돌려보내는 치과가 있다?디데이치과 네이버 예약 ✔ |
| 서울 디데이치과 진료 문의 |
|---|
| 대표전화 : 02-568-2877 (바로가기)네이버 톡톡 문의 (바로 가기) |
▲ 모바일에서 전화 버튼을 누르시면 병원으로 연결됩니다 ▲

| 본 게시물은 의료광고법 제56조 1항을 준수하여, 의료 정보 제공 및 병원 홍보를 목적으로 디데이치과의원에서 직접 작성하였습니다.다만, 블로그에서 제공해 드리는 정보는 참조용으로만 활용하시고, 정확한 개인의 증상 파악은 의료기관에 직접 내방하시어 의료진을 통해 확인하실 것을 권유 드립니다.치과에서 진행되는 모든 시술(치아미백 포함) 및 수술은 개인에 따라 부작용 (염증, 출혈, 부기, 신경 손상 등) 가능성이 있습니다. 따라서 사전에 의료진과 충분한 상담을 통해 결정하시길 바랍니다.게시물의 치료 사진은 실제 본원에서 모든 치료 과정을 마친 환자분의 동의하에 촬영되었습니다. 전후 사진은 동일인이며, 동일 조건하에 촬영되었음을 밝힙니다. |