"중요한 면접을 앞두고 있는데
벌어진 치아 때문에 고민입니다.
교정할 시간은 없고... 방법이 없을까요?"
"웃을 때마다 보이는 앞니 틈새 때문에
가벼워 보이고 우스꽝스러워 보여요..
말할 때마다 누가 볼까 봐 걱정됩니다"
안녕하세요 디데이치과 대표원장 김무진입니다.
이 글을 보신다면 위와 비슷한 고민으로 다양한 정보를 찾고 있으실 것 같습니다.
웃는 모습은 누구나 다 아름답지만, 자신의 미소가 특별히 호감을 불러일으키거나 매력적인지에 대해서는 다들 조금씩 다르게 생각합니다.
서양권에서는 벌어진 앞니를 개성으로 여기거나 건강하고 힘이 넘친다고 생각하는 경향이 있는데요.
그렇기에 유명 해외 연예인들 중에서는 일부러 교정하지 않고 그대로 둔 채 자신 있게 활동하기도 합니다.
과거 마돈나는 자신의 치아를 행운의 상징이라고 표현하기도 했었고요.

하지만 우리나라에서는 예로부터 벌어진 치아 사이로 재물이나 복이 샌다고 생각하기 때문에 더욱 부정적인 인식이 자리하고 있는 것 같습니다.
타인에 눈에는 잘 보이지 않는 약간의 벌어짐도 당사자에겐 큰 스트레스이자, 외모 콤플렉스가 되기도 합니다.
그렇기에 오늘은 벌어진치아가 고민이신 분들께 조금이라도 도움을 드리기 위해 개선하는 방법과 치료 사례를 간단히 소개하도록 하겠습니다. ^^
─
벌어진 앞니를 개선하는 방법
개선하는 방법은 대표적으로 크게 치아교정, 라미네이트, 올세라믹, 레진 치료가 있습니다.
(1) 교정치료
사실 많은 경우에서 가장 유익한 방법이 치아교정이며, 최근엔 부분교정 방법을 통해 이전보다 더 빠른 기간에 개선도 가능합니다.

하지만 현실적으로 볼 때 30~40대가 넘어가고, 사회생활을 하고 있는 분들이 교정치료를 선택하는 것은 쉽지 않을 것입니다.
일단 한정적인 케이스에 적용되는 부분교정만 하더라도 최소 3~6개월의 치료 기간이 소요되기 때문인데요.
그렇기에 중장년층이거나 중요한 행사를 앞두고 있어 벌어진치아를 보다 빠르게 개선하고자 하시는 분들에겐 적합하지 않을 수 있습니다.
(2) 라미네이트, 올세라믹
라미네이트나 올세라믹 같은 심미보철치료는 치료 기간이 짧고, 심미적인 측면과 안정성, 평균수명 등을 따져봤을 때, 이상적인 방법 중 하나인데요.
치아를 깎아내야 한다는 단점 때문에 망설이는 분들도 분명 있으실 것입니다.
하지만 이전과 달리 최근에는 치료기술이 끊임없이 발전하면서 치아를 깎지 않는 시술도 가능해졌습니다.


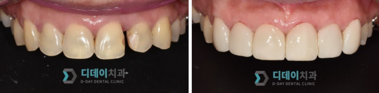
(전) 2021-06-02, (후) 2021-06-10
위 앞니 4개 치아 라미네이트 시술 + 잇몸성형

(전) 2022-02-28, (후) 2022-03-07
위 앞니 6개 치아 라미네이트 시술
그래서 저는 최소삭제 혹은 무삭제 라미네이트 적용이 가능한 분들에겐 라미네이트 치료를 권해드리는 편인데요.
이와 반대로 치아를 많이 삭제해야 하거나, 보철물이 잘 떨어질 것으로 판단되는 분들에겐 권해드리지 않고 있습니다.
(3) 레진
레진 치료는 비용이 저렴하고, 당일 진료가 가능하며 치아에 손상을 주지 않는 것이 특징입니다.
그래서 비용적인 것과 편의성만 놓고 본다면, 환자분들이 레진 치료를 선호하시는 것은 어찌 보면 당연한 일인 것 같습니다.
사실 벌어진치아를 레진이라는 재료로 메꾼다는 게 말로는 쉽게 느껴지실 테지만,
입 내부에서 치아의 색상과 형태에 맞춰 사이의 틈을 메워주는 것은 굉장히 어려운 작업입니다.
그렇기에 의사의 집중력, 기술력 등에 따라 치료 퀄리티가 크게 차이가 날 수 있어서 숙련된 의사에게 받는 것이 중요한데요.
다만, 공간이 너무 좁아서 기구 조작이 어렵거나 반대로 너무 넓어서 치료할 면적이 크다면 부적합할 수 있습니다.

그리고 재료 자체의 강도가 약해서 충격을 받았을 때 깨질 우려가 있고, 마모나 변색이 잘 되기 때문에 수명이 짧은 편이며,
특히 이갈이나 치아의 구조적 특성상 힘을 많이 받는 환경이라면, 쉽게 깨질 수 있어 주의해야 합니다.
이처럼 각각의 치료의 장단점이 있고, 의사와 환자의 성향, 선호도, 잇몸과 치아 상태, 식생활 습관, 경제적 상황 등에 따라 제안하는 치료도 다를 수 있습니다.
그렇기에 숙련된 의료진과 충분한 상담을 통해 본인에게 가장 적합한 방법을 찾아야 합니다.

레진, 라미네이트, 올세라믹 등... 최대한 환자분의 원하시는 방향에 맞게 도와드리고 있지만,
의사로서 판단하기에 해당 치료법이 환자분에게 유익하지 않고, 부작용 우려가 있다면 그것이 병원에 이득이 되더라도 권해드리지 않고 있습니다.
10년, 20년 후에도 후회하지 않을 꼭 필요한 치료만 진행하는 것이 저희 디데이 의료진의 진료 신념이기 때문입니다.
그러니 혼자 고민하지 마시고, 여러분의 건강과 이익을 최우선으로 진정성 있게 진료하는 의사를 만나셔서 상담부터 받아보셨으면 합니다.
아래 이어서 보시면 좋은 글을 공유해 드릴 테니, 함께 보시고 필요한 정보만 쏙쏙 뽑아가시길 바랍니다.
긴 글 읽어주셔서 감사합니다. ^^
< 과잉진료하지 않는 치과 선택법 >
< 디데이가 처음인 분들을 위한 글 >
| 환자를 돌려보내는 치과가 있다?디데이치과 네이버 예약 ✔ |
| 서울 디데이치과 진료 문의 |
|---|
| 진료 문의 : 02-568-2877 (바로가기)네이버 톡톡 문의 (바로 가기) |
▲ 모바일에서 전화 버튼을 누르시면 병원으로 연결됩니다 ▲

| 본 게시물은 의료광고법 제56조 1항을 준수하여, 의료 정보 제공 및 병원 홍보를 목적으로 디데이치과의원에서 직접 작성하였습니다.다만, 블로그에서 제공해 드리는 정보는 참조용으로만 활용하시고, 정확한 개인의 증상 파악은 의료기관에 직접 내방하시어 의료진을 통해 확인하실 것을 권유 드립니다.치과에서 진행되는 모든 시술 및 수술은 개인에 따라 부작용 (염증, 출혈, 부기, 신경 손상 등) 가능성이 있습니다. 따라서 사전에 의료진과 충분한 상담을 통해 결정하시길 바랍니다.라미네이트 시술은 치아의 표면을 일부 삭제하고, 보철물을 부착하는 치료로 보철물 탈락 및 치아손상 가능성이 있으며, 반영구적인 치료법입니다.게시물의 치료 사진은 실제 본원에서 모든 치료 과정을 마친 환자분의 동의하에 촬영되었습니다. 전후 사진은 동일인이며, 동일 조건하에 촬영되었음을 밝힙니다. |