"어릴 땐 몰랐는데 성인이 되고 보니,
작은이빨이 눈에 거슬립니다.
왜소치라 해야 하나요?
유독 작은 치아 크기 때문에
뭔가 성숙해 보이지 않는 것 같고
웃을 때마다 신경이 쓰여요.."
'남들은 고르고 예쁜 치아를 타고났는데, 왜 나는 이렇게 생겼을까' 라며 스스로를 탓하시는 분들이 있습니다.
현재 이 글을 보시는 분들도 이와 비슷한 생각을 하고 있진 않으신지, 걱정이 되는데요.
충분히 개선할 방법이 있다는 사실을 아신다면, 조금은 위안이 되시지 않을까 싶어...
오늘은 치아가 작아 고민인 분들을 위해 원인과 그에 따른 해결책을 소개해 드리도록 하겠습니다.
제 소개가 늦었습니다. 안녕하세요 저는 디데이치과 대표원장 오태훈입니다. ^^
여러분이 고민하시는 작은 이빨은 왜소치(microdontia)라고 해서 기존 정상 치아보다 크기가 작은 치아를 말합니다.
대체로 측절치(두 번째 앞니, 대문니 양옆 치아)가 정상 크기보다 작은 경우가 많은데요.


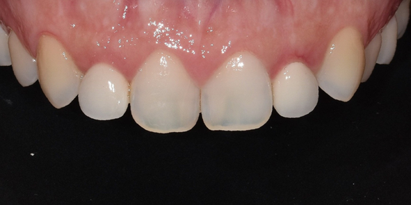
(좌) 2022-04-01, (우) 2022-05-26
다양한 왜소치 사례
대문니의 약 70~80% 정도의 비율이 측절치의 정상적인 크기라고 한다면, 이보다 훨씬 더 작은 왜소치로 형성되는 것이죠.
물론 치아 자체가 작은 경우도 있지만,
잇몸이 과도하게 내려와서 치아를 덮고 있는 경우에도 치아가 짧아 보이면서 왜소치처럼 보일 수 있습니다.
따라서 원인을 먼저 정확하게 파악한 후 그에 맞는 치료를 시행하는 것이 중요한데요.
원인에 따라 작은 이빨을 개선해 드린 디데이치과의 치료 사례를 보여드리면서 설명해 드리도록 하겠습니다.
─
치아 크기가 너무 작아요
만일 진짜 치아의 크기 자체가 작은 것이 원인이라고 한다면,
이는 심미적인 문제뿐만 아니라, 공간이 생기면서 음식물이 잘 끼게 되고 이로 인해 충치 등의 질환이 생길 가능성이 커집니다.
이런 경우 레진이나 라미네이트, 크라운 등과 같은 다양한 치료 옵션을 생각해 볼 수 있지만,
레진은 당일 치료가 가능하고 비용이 저렴한 대신, 강도가 단단하지 않아 쉽게 깨질 우려가 있습니다.
그래서 저는 보다 강도가 높고, 자연스러운 결과를 기대할 수 있는 라미네이트 시술을 권해드리는 편인데요.


(전) 2021-12-03, (후) 2021-12-08
6개 치아 라미네이트 진행


2022-01-27
왜소치인 치아 1개만 라미네이트 진행


2022-02-08
왜소치와 앞니 파절
4개 치아 라미네이트 진행
라미네이트는 치아의 겉면을 일부 삭제하고, 세라믹으로 제작된 판을 부착하는 보철치료입니다.
왜소치의 상당 부분은 무삭제 혹은 최소삭제 라미네이트 시술도 고려해 볼 수 있기 때문에
영구치를 보존하면서도 자연스럽고 심미적으로 우수한 결과를 기대할 수 있습니다.


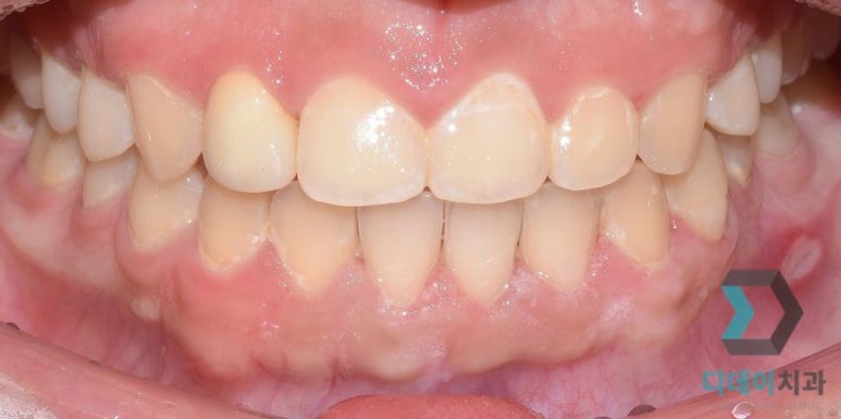
2022-06-08
왜소치 올세라믹 크라운 치료 전/후 사진
하지만 치아의 크기가 너무 작아 보철물이 잘 떨어질 것으로 판단된다면,
라미네이트보다는 치아를 완전히 씌우는 올세라믹 크라운 치료가 적합할 수 있습니다.
─
작은이빨과
잇몸이 울퉁불퉁한게 고민이에요
과도하게 자란 잇몸이 치아를 덮어 치아가 작아 보이는 것이라면,
잇몸성형을 통해 해결할 수 있는데요.
이는 레이저를 이용해서 진행되며 통증과 출혈을 최소화하여 일상생활로 빠르게 복귀할 수 있다는 장점이 있습니다.
일반 치과 진료와 동일하게 국소 마취 후 진행되기 때문에 시술 중 통증은 느껴지지 않습니다.
마취시간을 포함해 약 30분 내외로 진행되며, 시술 부위가 회복되기까지 약 2~3일간은 쓰라린 느낌이 있을 수 있습니다.


(전) 2021-11-20, (후) 2021-11-30
과도하게 자란 잇몸으로
치과용 레이저로 잇몸성형 진행


(전) 2022-02-14, (후) 2022-02-28
치아를 덮고 있는 잇몸라인을 높여주어
대칭을 맞춰준 모습
사진에서처럼 잇몸라인을 정리해 준 것만으로도 치아가 시원하고 커 보이는 것을 확인하실 수 있을 것입니다.
이처럼 고민을 해결할 수 있는 다양한 옵션들이 있으며,
레진이나 라미네이트, 크라운, 잇몸성형 등의 치료들은 각각의 장단점이 있기 때문에
환자분의 상황에 따라 적합한 치료법은 다를 수 있습니다.
아래 사진과 같이 다양하게 혼합해서 적용할 수도 있고요.

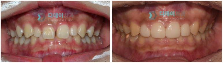
(전) 2021-08-10, (후) 2021-08-19
잇몸성형 + 라미네이트


(전) 2022-06-11, (후) 2022-06-22
잇몸성형 + 라미네이트
다만, 이 글을 통해 분명하게 말씀드리고 싶은 것은 1가지입니다.
당장의 불편함을 개선하는 데만 집중할 것이 아니라, 장기적으로도 좋은 치료를 선택해야 한다는 것입니다.
치아의 기능성, 심미성뿐만 아니라 비용적인 면에서도 가장 나은 방법이 무엇인지를 꼼꼼하게 따져봐야 하는 것이죠.
그러니 작은이빨이 고민이시라면, 의료진과 충분한 상담과 진단을 통해 결정하시길 바랍니다.

앞서 소개해 드린 치료와 관련하여 상세한 내용이 담긴 글을 아래 첨부해두겠습니다.
함께 읽어보시고, 궁금하신 점이 있거나 저희 의료진과의 진솔한 상담을 원하신다면 언제든 병원으로 연락 후 내원해 주시길 바랍니다.
감사합니다. ^^
< 추천해 드리는 글 >
< 과잉진료하지 않는 치과 선택법 >
< 디데이치과가 처음이신 분들을 위한 글 >
| 환자를 돌려보내는 치과가 있다?디데이치과 네이버 예약 ✔ |
| 서울 디데이치과 진료 문의 |
|---|
| 진료 문의 : 02-568-2877 (바로가기)네이버 톡톡 문의 (바로 가기) |
▲ 모바일에서 전화 버튼을 누르시면 병원으로 연결됩니다 ▲

| 본 게시물은 의료광고법 제56조 1항을 준수하여, 의료 정보 제공 및 병원 홍보를 목적으로 디데이치과의원에서 직접 작성하였습니다.다만, 블로그에서 제공해 드리는 정보는 참조용으로만 활용하시고, 정확한 개인의 증상 파악은 의료기관에 직접 내방하시어 의료진을 통해 확인하실 것을 권유 드립니다.치과에서 진행되는 모든 시술 및 수술(잇몸성형 포함)은 개인에 따라 부작용 (염증, 출혈, 부기, 신경 손상 등) 가능성이 있습니다. 따라서 사전에 의료진과 충분한 상담을 통해 결정하시길 바랍니다.라미네이트 시술은 치아의 표면을 일부 삭제하고, 보철물을 부착하는 치료로 보철물 탈락 및 치아손상 가능성이 있으며, 반영구적인 치료법입니다.게시물의 치료 사진은 실제 본원에서 모든 치료 과정을 마친 환자분의 동의하에 촬영되었습니다. 전후 사진은 동일인이며, 동일 조건하에 촬영되었음을 밝힙니다. |