"삐뚤빼뚤한 앞니 모양이 고민입니다.
송곳니도 뾰족하고요..
인터넷으로 검색해 보니,
치아를 갈아서 다듬는 방법이 있다고 하더라고요.
되게 간단한 것 같은데
가까운 치과 가서 갈아달라고 하면 될까요?"
안녕하세요. 보건복지부 인증 전문의 오태훈 원장입니다.
아마 이 글을 보신다면 앞니 모양이 마음에 들지 않아 다양한 치료방법을 찾고 계실 것으로 생각됩니다.
그중에서도 법랑질성형(에나멜 쉐이핑, enamel shaping)은 저희 병원에도 문의가 많은 시술 중 하나인데요.
만일 위와 비슷한 생각을 가진 분이라면, 제 글을 조금 더 집중해서 읽어봐주시길 바랍니다.
치과 의사로서 여러분이 꼭 아셔야 할 핵심 정보에 대해 알려드리도록 하겠습니다.
법랑질성형은 치아의 가장 단단한 겉면(법랑질)을 깎아서 치아 모양 개선을 기대할 수 있는 심미치료방법으로, 쉽게 말하면 치아를 다듬는 것입니다.
라미네이트와 같은 극적인 변화를 기대할 순 없지만, 미세한 변화에도 전체적인 느낌이 달라지는 경우도 있습니다.
그래서 흔히 치아교정 후 완성도를 높이기 위해 진행하기도 하고요.
치열은 가지런한데 송곳니가 유독 뾰족하거나 앞니 모양이 날카로울 때, 혹은 앞니 끝이 울퉁불퉁하거나 앞니의 길이가 불규칙할 때 고려해 볼 수 있습니다.

그러다 보니 '튀어나오거나 마음에 안 드는 부분은 좀 다듬으면 되지 않을까?'란 생각을 하신 분도 있으실 텐데요.
법랑질 성형은 여러분의 생각처럼 누구에게나 적용할 수 있는 것은 아니며, 결코 간단한 시술은 아닙니다.
자칫 과도하게 치아를 다듬을 경우, 이가 시리거나 통증이 느껴지는 등의 부작용이 나타날 수 있기 때문입니다.
그렇기에 법랑질을 기준으로 자연치아에 무리를 주지 않는 범위 내에서 시술이 이뤄져야 하는데요.

그런데 이 법랑질의 분포도가 사람마다 모두 다릅니다. 우리 얼굴의 피부 두께나 유형이 각자 다른 것처럼 말이죠.
따라서 의사가 이를 잘 판단해서, 적응증이 맞는 분들에게 선택적으로 시행해야 하고요. 섬세하고 꼼꼼하게 시술하는 것이 중요합니다.
이러한 이유로 저희 디데이치과에선 치아건강과 심미적인 부분을 충분히 고려해서, 법랑질 전체층의 1/2 범주 안에서만 세밀하게 다듬어드리고 있습니다.
─
자연치아를 살리려다가
자칫 독이 될 수 있다?
저희 디데이치과의 라미네이트 시술은 최소삭제 혹은 무삭제를 지향합니다만,
법랑질 성형이 통상적으로 라미네이트나 올세라믹과 비교했을 때 치아 삭제량이 적다는 점,
그리고 부수적인 재료가 들어가지 않아 치료비 부담이 적고, 별도의 사후관리가 필요하지 않다는 점에서 많은 분들이 가장 안전하고 효율적인 치료법이라고 생각하십니다.
하지만 생각보다 많은 분들이 재시술을 고려하시는 경우가 많은데요.


실제 저희 치과에는 다른 곳에서 법랑질성형을 받았지만, 결과가 만족스럽지 못해서 라미네이트를 하기 위해 찾아오시는 분들이 있습니다.
간편한 방법이라고 해서 우선적으로 시행했지만, 생각만큼 큰 변화가 없는 경우죠.
그리고 이런 분 중에는 원하는 형태로 만들기 위해 무리하게 치아를 다듬어서 법랑질이 거의 사라진 분들도 있습니다.
치아건강과 심미, 두 가지 모두 챙기지 못한 경우인데요.
이런 경우는 자연치아에 부담을 덜 주기 위해 선택한 방법이 오히려 독이 된 케이스라 할 수 있습니다.
─
앞니 라미네이트로
2가지 고민을 해결해 드린 사례
본 환자분은 저희 치과에 내원하신 20대 여성분입니다.

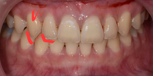
(치료 전) 2022-05-30
- 뾰족한 송곳니, 2) 대문니 두 개가 아래로 갈수록 넓어지는 느낌 3) 잇몸이 많이 보이는 것이 고민이 되어 개선을 위해 내원하셨는데요.
송곳니는 법랑질성형을 통해 뾰족한 부분을 개선해 볼 수 있겠지만, 나머지 치아는 환자분이 원하는 결과를 위해 라미네이트가 적합하다고 판단했습니다.
환자분 역시 치아의 전반적인 형태와 색상의 확연한 개선을 원해하셔서 윗니 총 6개 라미네이트 시술 진행하게 되었는데요.


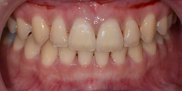
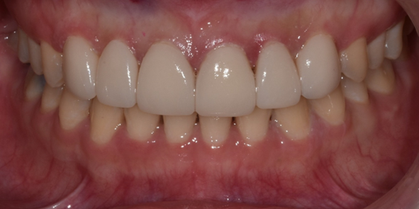
(전) 2022-05-30, (후) 2022-06-08
오른쪽 사진은 약 일주일 후 보철물을 최종 부착한 모습입니다.
기존에 아래로 넓어지는 느낌의 치아 형태가 개선되고, 치아 배열과 색상이 고르게 정돈된 것을 확인하실 수 있는데요.
특히 잇몸이 많이 보이던 부분까지 개선되어 저희 의료진과 환자분 모두 만족스러웠던 사례입니다. ^^
─
심미치료에 자신 있지만
모든 분에게 권하진 않습니다
저희 디데이치과가 앞니심미치료도 중점적으로 하고 있고, 잘할 자신도 있지만 모든 분들에게 치료를 권하진 않습니다.
'자연치아를 최대한 보존하고, 꼭 필요한 치료만 권해드리는 것'이 저와 김무진 원장님이 고수하는 진료 원칙이기 때문입니다.

죽을 때까지 평생 써야 하는 치아, 당장 보기 좋고 예쁜 것도 중요하지만 오래오래 건강하게 써야겠죠.
그러니 오늘 제 글을 보신 분들도,
자연치아에 부담을 최소화하면서도 최적의 효과를 얻을 수 있는 방법이 무엇인지를 의사와 잘 상의하셔서 신중하게 결정하셨으면 하는 마음입니다.
밤새 비가 많이 내리고 있습니다.
오늘도 그러했지만, 내일도 병원에 내원하시는 저희 환자분들이 불편을 겪진 않으실지 걱정이 앞서는 밤입니다.
여러분은 부디 편안한 밤 되시길 바라며, 글을 마치도록 하겠습니다. 감사합니다. ^^
< 현명한 치과 선택을 위한 추천 글 >
< 디데이가 처음이신 분들을 위한 글 >
| 환자를 돌려보내는 치과가 있다?디데이치과 네이버 예약 ✔ |
| 저희 디데이치과는양질의 의료 서비스를 제공해드리기 위해월 신규 환자 인원을 제한하고 있습니다.간혹 예약 대기가 발생할 수 있음을 양해 부탁드리며,예약 후 내원하셔서 "블로그 보고 왔어요"라고말씀해 주시면, 보다 빠른 진료를 도와드리겠습니다. |
| 서울 디데이치과 진료 문의 |
|---|
| 진료 문의 : 02-568-2877 (바로가기)네이버 톡톡 문의 (바로 가기) |
▲ 모바일에서 전화 버튼을 누르시면 병원으로 연결됩니다 ▲

| 본 게시물은 의료광고법 제56조 1항을 준수하여, 의료 정보 제공 및 병원 홍보를 목적으로 디데이치과의원에서 직접 작성하였습니다.다만, 블로그에서 제공해 드리는 정보는 참조용으로만 활용하시고, 정확한 개인의 증상 파악은 의료기관에 직접 내방하시어 의료진을 통해 확인하실 것을 권유 드립니다.치과에서 진행되는 모든 시술 및 수술은 개인에 따라 부작용 (염증, 출혈, 부기, 신경 손상 등) 가능성이 있습니다. 따라서 사전에 의료진과 충분한 상담을 통해 결정하시길 바랍니다.라미네이트 시술은 치아의 표면을 일부 삭제하고, 보철물을 부착하는 치료로 보철물 탈락 및 치아손상 가능성이 있으며, 반영구적인 치료법입니다.게시물의 치료 사진은 실제 본원에서 모든 치료 과정을 마친 환자분의 동의하에 촬영되었습니다. 전후 사진은 동일인이며, 동일 조건하에 촬영되었음을 밝힙니다. |