안녕하세요. 디데이치과 김무진 대표원장입니다.
치과에서 잇몸절제는 심미적인 개선뿐만 아니라 통증과 염증 완화를 위한 치료 목적으로도 시행될 수 있는데요.
오늘은 아래와 같은 고민을 가진 분들을 위해, 본원의 잇몸성형 후기를 소개해 드리려고 합니다.
-
웃을 때 유독 잇몸이 많이 보일 때 (거미스마일, Gummy smile)
-
잇몸이 내려와 치아가 짧아 보일 때
-
잇몸라인이 비대칭일 때
잇몸성형은 레이저나 외과적 수술을 통해 잇몸라인의 밸런스를 맞춰주는 치료법인데요.
저희 디데이에서는 레이저를 이용해서 절개 없이 진행하기 때문에 곧바로 일상생활이 가능하고, 회복도 빠르다는 장점이 있습니다.

물론 정확한 진단 없이 심미적인 부분만 고려해서 무리하게 시술을 진행한다면,
결과 불만족 및 시림 증상, 치주염 등의 부작용이 발생할 가능성이 큽니다.
따라서 충분한 상담과 진단을 통해 환자의 타고난 골격과 근육, 치아와 잇몸의 형태와 길이, 비율 등을 꼼꼼히 체크한 후 '정확한 치료 계획'을 세우는 것이 중요하다고 말씀드리고 싶습니다.
그렇다면, 지금부터 저희 디데이치과의 치료 사례를 찬찬히 소개해 드리도록 하겠습니다.
─
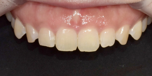
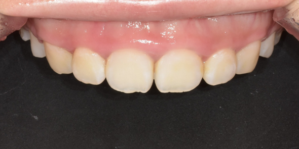
사례 1.
앞니 쪽 잇몸이 평평하고, 치아와 잇몸 간의 경계가 흐린 것이 고민이 되어 이를 개선하고자, 본원을 찾아주신 여성분입니다.
환자분의 이미지와 치아 형태, 주변 잇몸 길이를 고려한 다음, 레이저 잇몸성형을 통해 좀 더 라인을 동글동글하고 또렷하게 만들어드렸습니다.

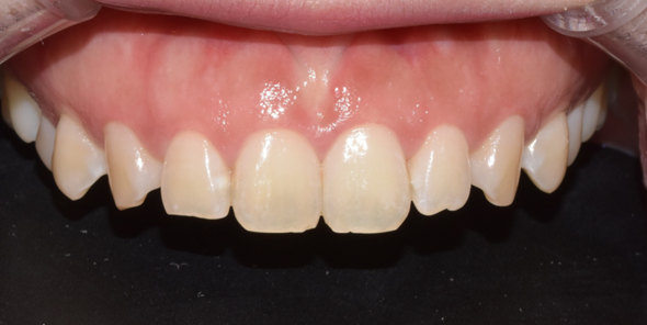
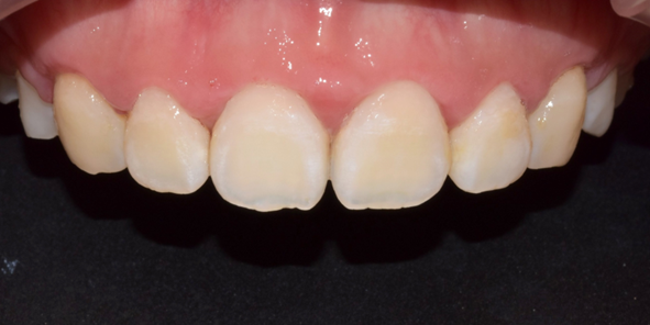
(전) 2021-12-31

(후) 2022-01-14
본원의 잇몸성형은 첫 시술이 끝나고, 2주 후 무상으로 리터치를 도와드리고 있습니다.
하지만 대부분 첫 시술로 만족해하시는 경우가 많은데요.
해당 환자분도 내원 당일 1회만 진행했음에도 결과가 너무 마음에 든다고 하셔서, 리터치 없이 치료를 마무리하게 되었습니다.
─
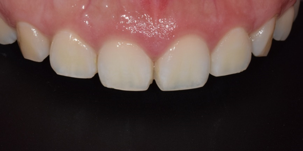
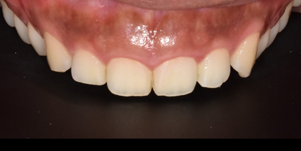
사례 2.
이분 역시 또렷하지 않은 잇몸라인, 그리고 상대적으로 치아가 작고 양옆으로 넓어 보이는 것이 고민이 되어 찾아주신 분입니다.
잇몸성형으로 라인을 또렷하게 하고, 좀 더 위로 올려서 웃을 때 최대한 덜 보이게 해드렸습니다.

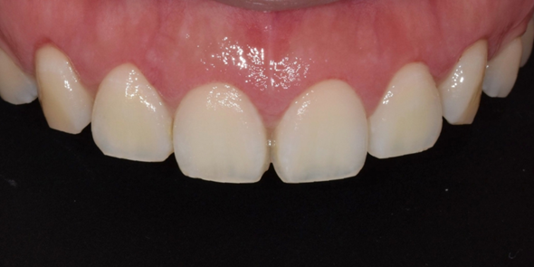
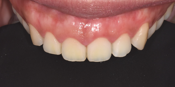
(전) 2022-04-19

(후) 2022-05-03
이전보다 치아가 더 길어 보이고, 잇몸도 덜 보이게 되어 "진작에 할 걸 그랬다"라고 하시며, 환자분도 매우 흡족해하셨던 사례입니다.
─
사례 3.
잇몸이 내려와 전체적으로 치아가 짧아 보이고, 양옆으로 넓은 느낌이 듭니다.
웃을 때 어딘가 모르게 답답한듯한 인상이 있어 환자분도 어릴 적부터 고민이 많았다고 하셨는데요.

(전) 2021-12-23

(후) 2022-01-06
잇몸라인을 위로 올려서 동글동글하게 만들어드렸더니, 치아가 좀 더 길어진 것을 확인할 수 있습니다.
실제 환자분의 웃는 모습도 이전보다 훨씬 더 시원해 보이셔서 보는 저희 의료진도 흡족했던 사례입니다.
─
사례 4.
이전 사례와 마찬가지로 잇몸 때문에 치아가 짧아 보이고, 양옆으로 넓은 느낌이 있습니다.
특히 잇몸 전체도 거뭇하게 착색된 상태라, 잇몸성형과 미백을 동시에 진행하게 되었습니다.

(전) 2021-09-13

(2차 리터치까지 완료 후) 2021-10-12
첫 시술 후 2주 간격으로 리터치 2회 진행하여 치료가 완료되었는데요.
사진으론 표현이 잘되지 않았지만, 잇몸성형과 잇몸미백을 통해 훨씬 더 환하고 밝은 이미지로 바뀌셔서 환자분과 의료진 모두 만족스러웠던 사례입니다. ^^
제가 오늘 준비한 치료 사례는 여기까지입니다.
레이저를 이용한 잇몸절제술은 절개나 봉합 과정이 필요하지 않아, 빠른 회복을 기대할 수 있습니다.
물론 붉은 기운과 붓기, 쓰라린 느낌은 2~3일 정도 지속될 수 있지만, 이는 점차 나아집니다.
그러다 보니, 저희 치과 주변 회사에 다니는 분들이 업무시간에 짬을 내서 오시는 경우가 정말 많은데요.
사진상으론 치아 부분만 보이기 때문에 전체적인 이미지의 변화나 느낌을 담을 순 없지만,
환자분들의 보다 시원하고 환해진 미소 덕분에 의사로서 큰 보람을 느끼는 치료 중 하나입니다.

오늘 제 글이 여러분의 궁금증을 풀어드리는 데 도움이 되셨는지 모르겠네요. ^^;;;
이전에 치아, 잇몸라인 비대칭이 고민이 되어 잇몸성형을 진행한 분들의 사례를 소개한 글이 있습니다.
잇몸절제술과 관련하여 더 많은 후기와 핵심 정보가 궁금하신 분이라면, 참고해 보셔도 좋을 것 같은데요.
잇몸성형은 아무나 할 수 있는 건지, 아프진 않은지, 시술 후 주의사항 등의 내용도 함께 담았으니 꼭 읽어보시길 바랍니다. ^^
< 잇몸 절제술 FAQ >
제 블로그의 글을 충분히 읽어보시고, 궁금하신 점이 있거나 상담이 필요하시다면 언제든 병원으로 문의하셔도 좋습니다.
저희 의료진과 직원분들이 친절하고 상세하게 안내해 드리도록 하겠습니다.
지금까지 디데이치과 대표원장 김무진이었습니다. 좋은 밤 되세요 ^^
< 현명한 치과 선택을 위한 전문의의 조언 >
< 디데이가 처음이신 분들을 위한 글 >
| 환자를 돌려보내는 치과가 있다?디데이치과 네이버 예약 ✔ |
| 저희 디데이치과는양질의 의료 서비스를 제공해드리기 위해월 신규 환자 인원을 제한하고 있습니다.간혹 예약 대기가 발생할 수 있음을 양해 부탁드리며,예약 후 내원하셔서 "블로그 보고 왔어요"라고말씀해 주시면, 보다 빠른 진료를 도와드리겠습니다. |
| 서울 디데이치과 진료 문의 |
|---|
| 대표전화 : 02-568-2877 (바로가기)네이버 톡톡 문의 (바로 가기) |
▲ 모바일에서 전화 버튼을 누르시면 병원으로 연결됩니다 ▲

| 본 게시물은 의료광고법 제56조 1항을 준수하여, 의료 정보 제공 및 병원 홍보를 목적으로 디데이치과의원에서 직접 작성하였습니다.다만, 블로그에서 제공해 드리는 정보는 참조용으로만 활용하시고, 정확한 개인의 증상 파악은 의료기관에 직접 내방하시어 의료진을 통해 확인하실 것을 권유 드립니다.치과에서 진행되는 모든 시술 및 수술(잇몸절제술)은 개인에 따라 부작용 (염증, 출혈, 부기, 신경 손상 등) 가능성이 있습니다. 따라서 사전에 의료진과 충분한 상담을 통해 결정하시길 바랍니다.게시물의 치료 사진은 실제 본원에서 모든 치료 과정을 마친 환자분의 동의하에 촬영되었습니다. 전후 사진은 동일인이며, 동일 조건하에 촬영되었음을 밝힙니다. |