반갑습니다. 디데이치과 대표원장 오태훈입니다.
저희 디데이는 보건복지부인증 전문의 2인이 '안 아프고, 과잉진료 없는 치과'를 목표로
당장 증상이 좋아지는 것뿐만 아니라, 평생 후회하지 않을 치료를 위해 모든 분께 최선을 다하고 있습니다. ^^
치료를 앞두고, 어떤 종류의 임플란트를 선택해야 할지 고민 중이신 분들이 제 글을 보고 있으실 것 같습니다.
병원마다 사용하는 종류도 다르고, 가격도 다르다 보니, 어떤 브랜드가 괜찮은지...
특히 국산임플란트보다는 외산이 더 나은 것은 아닌지... 다양한 정보를 찾고 계실 텐데요.
실제 저희 환자분들도 많이 질문해 주시는 부분이기에, 제 견해를 솔직하게 담은 글을 게시한 적이 있습니다.
(궁금하신 분들은 아래 포스팅을 확인해 주셔도 좋을 것 같습니다 ^^)
사실 각 브랜드마다 장단점이 있기 때문에, 단순히 국산과 외산 중 어떤 것이 더 좋은지를 논하는 것은 큰 의미가 없다고 생각합니다.
과거엔 국내 자체 개발 임플란트가 없었기에 외산에 의존하기도 했지만, 지금은 상황이 달라졌기 때문인데요.
의학기술의 발전으로 국내 브랜드 제품도 안정성과 품질이 우수하여, 지금은 전 세계에 수출될 만큼 인지도를 점차 넓혀가고 있습니다.
그렇기에 국내 치과의사들도 국산임플란트를 많이 사용하고 있으며,
저희 디데이치과도 점유율이 높은 오스템과 덴티움, 이 2가지 국내 제품을 사용하고 있습니다.

만약 저희 병원에서 임플란트 시술을 받게 되신다면, 저는 국내 브랜드 중 여러분에게 가장 적합한 제품을 권해드릴 것입니다.
제품의 특성을 잘 알고, 충분한 데이터를 보유하고 있어 좋은 결과를 안겨드릴 자신이 있기 때문입니다.
그렇다면 저희 디데이치과에서 국산임플란트 시술을 받았던 환자분들의 사례를 소개해 드리면서,
여러분이 꼭 아셔야 할 주의사항도 함께 설명해 드리도록 하겠습니다.
─
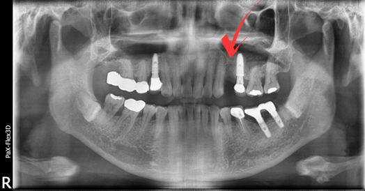
사례 1.
저희 병원 근처 회사에 다니시는 40대 남성분으로 사진에서 보시는 것과 같이 발치는 이미 되어있는 상태셨습니다.


(전) 2021-10-07
지속해서 시술을 미뤄오시다가 저희 네이버 리뷰를 보시고는 신뢰가 생겨 내원하게 되셨다고 말씀해 주셨는데요.
이전 병원에서 발치 당시, 뼈이식을 해야 할 수도 있다는 이야기를 들으셨던 터라 걱정이 많으셨지만,
저희가 진료했을 때는 뼈이식 없이 식립을 진행해도 괜찮다고 판단하여 그리 진행하였습니다.


(후) 2022-01-11
이분은 SCRP 방식이라고 해서 보철물 분리가 가능한 타입으로 진행해 드렸는데요.
자세히 보시면 크라운 중앙에 구멍이 뚫려있는 것이 보이실 것입니다.
나중에 보수가 필요할 때 레진만 제거한 후 헐거워진 나사를 조이거나 풀 수 있고, 청소한 후 다시 씌우 수 있다는 장점이 있습니다.
한번 붙인 보철물도 언제든지 수정이 가능하다는 점 때문에 장기적으로 유지관리 측면에서 장점이 많은 방식입니다.

사실 임플란트는 시술이 끝나고 나서도 지속적으로 잘 사용하기 위해선 추적 관찰이 및 수리나 교체가 필요할 수 있습니다.
이때 수리나 교체 시 필요한 재료나 기구의 조달이 수입제품보다 국내 제품이 훨씬 더 수월한 편입니다. 그러다 보니 국산임플란트가 가격도 더 저렴하고요.
그래서 저는 환자분들께 비용 부담이 덜한 국산 제품을 사용하고 있습니다.
─
사례 2.
50대 남성분으로 본원에 오시기 2개월 전쯤 식사를 하시던 중 이가 깨지는 사고가 있었습니다.
곧바로 거주지 근처 치과에서 발치만 하시고, 임플란트 시술은 저희 디데이에서 진행하게 되셨는데요.



(전) 2021-09-29
사실 치아를 상실했을 때는 임플란트 시술을 빨리하는 것이 좋습니다.
치아가 없는 빈 공간으로 주변 치아가 옆으로 눕거나 이동하는 증상이 나타날 수 있기 때문입니다.
또한 위아래 치아가 서로 잘 맞물려야 하는데 이가 없다면, 남아있는 치아가 위로 올라가거나 아래로 내려앉는 증상이 생길 수 있어서 주의해야 합니다.

아울러 환자분은 치아가 없어 음식물이 계속 끼고, 말할 때 빈 공간이 보여 큰 불편감을 느끼셨는데요.
최종 보철물을 올리기 전에는 임시치아를 해드리기 때문에 큰 불편감 없이 지내실 수 있습니다.
앞서 말씀드린 SCRP 방식으로 치료를 마친 모습입니다.



(후) 2022-01-18
추가로 설명해 드린다면, 이 환자분은 아스피린을 복용 중이셨는데요.
아스피린은 피를 맑게 하는 항혈전제이기 때문에 수술 후 지혈을 어렵게 합니다.
그러므로 안정적인 임플란트 시술을 위해선 일주일간 조절이 꼭 필요합니다.
그렇다고 환자분이 복용 중인 약을 임의로 중단하는 것은 위험할 수 있습니다.
따라서 수술 부위와 깊이, 예상 출혈량에 대해 담당 치과 선생님과 충분히 상의한 후 항혈전제를 처방한 주치의와 최종 상의해서 약물 중단 여부를 결정해야 합니다.

이는 아스피린뿐만 아니라, 다른 약물들도 치료와 예후에 영향을 줄 수 있으므로 담당 의사에게 복용 중인 약물, 기저질환 등을 정확하게 알리셔야 합니다.
제가 오늘 소개해 드릴 사례는 여기까지입니다.
의사 선생님마다 제품에 대한 이해도, 선호도, 만족도 등 경험치가 모두 달라서 권해드리는 제품은 다를 수 있습니다.

하지만 어떤 제품을 사용하는지 보다는, 어디서 누구에게 시술받는지가 더 중요하다고 감히 말씀드리고 싶은데요.
임플란트 제품에 대한 충분한 이해, 의료진의 섬세한 술기와 노하우, 정확한 식립을 위한 다양한 노력이 더해졌을 때 더 좋은 결과를 기대할 수 있다고 믿기 때문입니다.
그러니 숙련된 선생님과 충분히 상의해 보시고 결정하시길 바라며, 글을 마치도록 하겠습니다.
지금까지 디데이치과 대표원장 오태훈이었습니다. 감사합니다. ^^
< 임플란트 FAQ >
< 치과 선택에 실패하지 않는 방법 >
| 꼭 필요한 치료만 정직하게 권하는 곳디데이치과 네이버 예약 ✔ |
| 서울 디데이치과 진료 문의 |
|---|
| 대표전화 : 02-568-2877 (바로가기)네이버 톡톡 문의 (바로 가기) |
▲ 모바일에서 전화 버튼을 누르시면 병원으로 연결됩니다 ▲

| 본 게시물은 의료광고법 제56조 1항을 준수하여, 의료 정보 제공 및 병원 홍보를 목적으로 디데이치과의원에서 직접 작성하였습니다.다만, 블로그에서 제공해 드리는 정보는 참조용으로만 활용하시고, 정확한 개인의 증상 파악은 의료기관에 직접 내방하시어 의료진을 통해 확인하실 것을 권유 드립니다.치과에서 진행되는 모든 시술 및 수술(임플란트 포함)은 개인에 따라 부작용 (염증, 출혈, 부기, 감염, 신경 손상, 마비 등) 가능성이 있습니다. 따라서 사전에 의료진과 충분한 상담을 통해 결정하시길 바랍니다.게시물의 치료 사진은 실제 본원에서 모든 치료 과정을 마친 환자분의 동의하에 촬영되었습니다. 전후 사진은 동일인이며, 동일 조건하에 촬영되었음을 밝힙니다. |