안녕하세요. 디데이치과 김무진 대표원장입니다.
저는 과잉진료 없는 치과, 안 무서운 치과를 목표로 오태훈 원장님과 함께 성심을 다해 진료에 임하고 있습니다.

특히 저희 의료진이 직접 충분한 시간을 할애하여 꼼꼼하게 상담을 도와드리고 있다 보니,
강남 논현동, 대치동, 역삼동에 거주하시거나 직장에 다니시는 분들이 많이 내원해 주고 있으십니다.
이 글을 보시는 분이라면 학동역 근처 가까운 치과를 알아보고 있으실 텐데요.
학동역에 있는 수많은 치과들 중 어떤 치과를 선택해야 할지... 좋은 치과의 기준은 무엇인지... 많이 고민되실 것입니다.
저도 몸이 아파서 다른 진료과를 가야 할 때는 주변에 조언을 구하거나, 인터넷을 검색하기도 하는데요.
아마 다녀간 환자들의 리뷰를 참고하시는 분들도 있으실 것이고요.
의사의 전문분야는 무엇인지, 어떤 질환을 중점적으로 치료하고 있는지를 중점적으로 보시는 분들도 있으실 것입니다.
물론 위와 같은 방법도 좋은 기준입니다.
하지만 저는 여기에 1가지 기준을 더 추가해서 제 솔직한 견해를 말씀드리려고 하는데요.
바로 '자연치아를 살리기 위해 해당 치과가 어떤 노력을 하는가'입니다.
─
치아 손상을 최소화하는 치과
어떤 치료를 받는지에 따라 조금은 다를 수 있겠지만,
치과에서 치료를 할 때는 대부분 치아를 삭제하거나 잇몸을 다듬는 등의 과정을 거치게 됩니다. 발치도 마찬가지고요.
이때 치과에서 치아 손상을 얼마나 적게 하는지가 매우 중요한데요.
일단 한번 깎아낸 치아는 이전으로 되돌릴 수 없기 때문입니다.
그래서 최소한으로 삭제한 치아는 이후 문제가 생기더라도 다시 치료해 볼 여지가 있지만,
많은 양을 삭제한 치아는 문제가 생겼을 때 고려할 수 있는 치료 선택지가 별로 없습니다.
결국 자연치아를 살리지 못해서 치아를 뽑고 임플란트를 심거나, 브릿지를 해야 하는 거죠.
< 발치하는 대신 신경치료를 도와드렸던 사례 >
따라서 치아삭제와 발치는 언제나 철저한 사전 계획을 통해 신중하게 진행돼야 하는데요.
의사가 최소삭제를 위해 어떤 노력을 하고 있는지, 어떤 방법을 제안하는지를 확인하고 비교해 보셔야 합니다.
이러한 이유로 전 저희 환자분들께 제 의견만 들어보지 마시고,
2~3명의 의사의 조언도 더 들어보시고 치료를 결정하시라고 말씀드리고 있습니다.
학동역 치과
─
치료를 거부한다고요?
사실 저희 디데이는 심미치료인 라미네이트 시술도 정말 많이 진행하고 있는데요.


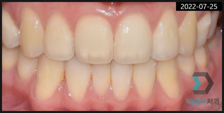
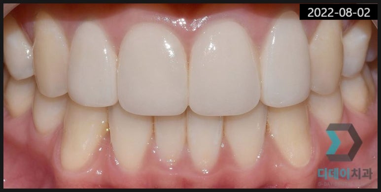
치료 전/후
마취 없이 위 앞니 4개 치아 무삭제 라미네이트 진행한 모습입니다.
최근엔 저희처럼 무삭제, 최소삭제 라미네이트를 하는 병원들이 늘고 있는 추세이지만,
아직도 무분별한 치아삭제로 고통받는 환자분들이 많이 계십니다.
그래서 저희 치과에 다녀가신 분들만큼은 이런 일이 결코 없어야 한다는 생각에 치아삭제가 많을 것으로 예상되거나 치료가 적합하지 않은 분들에게는,
아무리 환자분이 원해하셔도 솔직하게 말씀드리고 치료를 안 해드리고 있는데요.
물론 당시에는 당황해하시기도 하고, 많이 속상해하시기도 하십니다. 솔직하게 말해줘서 고맙다고 말씀해 주시는 분도 있으시고요.
당시엔 너무 하고 싶었는데, 이제 와서 보니 진짜 안 하길 잘한 거 같다며 안도의 한숨을 내쉬는 분들도 있으십니다.

학동역 치과
저는 이것이 당장은 문제가 되지 않는 데다, 이후 어떤 상황에 처하게 될지는 전문가가 아니고서야 예측하기 어렵기 때문에 벌어지는 일이라고 생각하는데요.
하지만 아름다움을 얻기 위해 자신에게 해가 되고, 후회할 치료를 받고 싶은 사람은 없을 것입니다.
그렇기에 당장의 문제가 좋아지는 것뿐만 아니라 5년, 10년, 20년 후에도 후회하지 않을 치료를 해야 한다고 생각합니다.
─
내 가족에게도 권할 수 있는 치료만
정직하게 제안하는 치과
이건 의료진의 양심 문제일 수도 있는데요.
저는 치료 계획을 세울 때 '해당 치료가 환자분에게 득이 될 것인가'를 끊임없이 생각하고 신중하게 진행하고 있습니다.
저희 오태훈 원장님도 '내 가족이었다면 이 치료를 권할 수 있을까?'를 가장 먼저 생각하신다고 하시는데요.
저도 같은 마음입니다.

학동역 치과 추천
정기검진 및 스케일링 등의 간단한 처치를 위해 병원을 방문하고자 하신다면, 접근성과 비용을 고려해 보시는 것도 좋습니다.
하지만 시/수술이 들어가는 치료라고 한다면, 여러 의사의 조언을 들어보시고 비교해 보셨으면 하는데요.
분명 상담만 받아보셔도 어떤 학동역 치과가 나를 진정으로 위해주는지, 감이 오실 것입니다.

아래 치과를 선택하는 데 도움이 될 글을 공유해 드리겠습니다.
참고해 보신다면, 괜찮은 학동역 치과를 찾으시는데 분명 큰 도움이 되실거라 확신합니다. ^^
긴 글 읽어주셔서 감사합니다. 지금까지 치과의사 김무진이었습니다.
< 현명한 치과 선택을 위한 핵심 정보 >
< 디데이가 처음이신 분들을 위한 글 >
| 환자를 돌려보내는 치과가 있다? 디데이치과 네이버 예약 ✔ |
| 서울 디데이치과 진료 문의 |
|---|
| 대표전화 : 02-568-2877 (바로가기) 네이버 톡톡 문의 (바로 가기) |
▲ 모바일에서 전화 버튼을 누르시면 병원으로 연결됩니다 ▲

| 본 게시물은 의료광고법 제56조 1항을 준수하여, 의료 정보 제공 및 병원 홍보를 목적으로 디데이치과의원에서 직접 작성하였습니다. 다만, 블로그에서 제공해 드리는 정보는 참조용으로만 활용하시고, 정확한 개인의 증상 파악은 의료기관에 직접 내방하시어 의료진을 통해 확인하실 것을 권유 드립니다. 치과에서 진행되는 모든 시술 및 수술은 개인에 따라 부작용 (염증, 출혈, 부기, 신경 손상 등) 가능성이 있습니다. 따라서 사전에 의료진과 충분한 상담을 통해 결정하시길 바랍니다. 게시물의 치료 사진은 실제 본원에서 모든 치료 과정을 마친 환자분의 동의하에 촬영되었습니다. 전후 사진은 동일인이며, 동일 조건하에 촬영되었음을 밝힙니다. |