안녕하세요. 디데이치과 김무진 대표원장입니다.
저와 오태훈 원장님은 보건복지부인증 통합치의학과 전문의로서
'과잉진료는 지양하고, 꼭 필요한 치료만 정직하게 권해드리자'를 되새기며 한 분 한 분 진심을 다해 진료에 임하고 있습니다. ^^

실제 저희 디데이에는 특히 점심시간이나 업무시간에 짬을 내어 오시는 직장인 분들이 많은데요.
그러다 보니 최대한 필요한 진료를 짧고 굵게 받기를 원해하시는 경향이 있습니다.
그래서 꼭 필요한 치료만 진행하고자 하는 저희의 진료철학과 결이 맞는 분들이 더욱 신뢰하고 만족해하시며,
가족과 지인분들에게도 많이 소개해 주시는 것 같아 늘 기쁘고 감사한 마음뿐입니다. ^^
아마 이 글을 보셨다면, 언주역에서 가까운 치과를 알아보시는 중일 것으로 생각됩니다.
저희 환자분들처럼 내가 하고자 하는 치료를 먼저 받아본 가족이나 지인으로부터 병원을 추천받는 것이 가장 좋은 방법일 것입니다.
하지만 현실적으로는 내가 원할 때 이런 정보를 바로바로 얻기 어려울 때가 더 많죠. ㅜㅜ
그러다 보니 이 글을 보시는 분들도 인터넷을 통해 언주역치과 정보를 얻고자 하셨을 텐데요.
실제 제가 환자분들과 상담을 해보면, 인터넷에 넘쳐나는 정보로 인해 오히려 병원을 선택하기가 훨씬 더 어려워진 것 같다고 말씀하시는 경우가 많습니다.
특히 치과 치료는 적게는 1~2만 원에서 많게는 수백만 원의 비용이 들어가는 시술/수술까지 매우 다양한데
같은 시술이라도 의사의 경험과 테크닉에 따라 치료 결과가 달라질 수 있다 보니 더욱더 선택의 어려움을 겪으시는 것 같습니다.
그래서 병원 선택에 고민이 많으셨을 분들에게 치과의사로서 한 가지 조언을 드린다면, 여러 의사에게 '상담'부터 받아보실 것을 권해드리고 싶은데요.

의사가 내가 원하는 방향을 충분히 고려해서 잘 조율해 주는지, 내게 꼭 필요한 치료 방향을 정직하게 제안하는지 먼저 확인해 보시고, 치료를 결정하시라는 것입니다.
왜 의사와의 '상담'이 우선시돼야 하는지, 이유가 담긴 글 한편을 공유하겠습니다.
함께 참고해 보신다면, 괜찮은 언주역치과를 찾아 만족도 높은 경험을 하시는 데 충분히 도움이 되실거라 생각됩니다.
< 치과 선택에 후회하지 않는 방법 >
이어지는 글에서는 저희 디데이치과의 일반&심미치료 사례를 간략하게 소개해 드리도록 하겠습니다.
여러분이 원하는 치료 방향에 맞는 사례들이 있는지 확인해 보셔도 좋을 것 같습니다. ^^
─
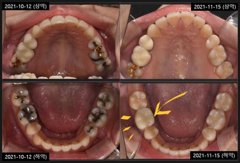
2차 충치치료 케이스
인레이, 크라운 (오래된 아말감 교체)
과거 치료받았던 치아에 통증이 심해 병원을 찾아주신 분의 사진입니다.
아말감은 수축하는 재료의 성질 때문에 시간이 지나면서 점차 빈 공간이 생기게 됩니다. 그러면서 틈새로 2차 충치가 발생할 수 있는데요.
< 충치치료해도 재발하는 이유 >
아래 사진 속 환자분 역시 기존 보철물이 오래되고, 2차 충치가 생겨 보철물 교체를 진행하게 되었습니다.

2021-11-08
(전) 아말감 제거 전 / (후) 아말감 제거 후
아말감을 제거한 부분을 보시면 거뭇거뭇 2차 충치가 생긴 것을 확인할 수 있는데요.
꼼꼼하게 충치를 제거한 다음 단단한 재료로 보강하고, 치아색상이 나는 세라믹 인레이로 마무리했습니다.
그리고 노란색 화살표로 표기한 치아는 내부 충치가 너무 심해 신경치료 후 지르코니아 크라운 치료를 진행했습니다.

인레이/크라운치료 사례
언주역치과
전체 치료를 모두 마친 사진을 보시면 이전보다 심미적으로도 깔끔하고 정돈된 느낌이 드는 것을 확인하실 수 있는데요.
환자분 역시 거울을 보시며 "그간 입을 벌리면 아말감으로 때운 부위가 보여서 많이 신경 쓰였는데, 이젠 마음 편히 웃을 수 있을 거 같다"라고 말씀해 주셨던 기억이 납니다. ^^
─
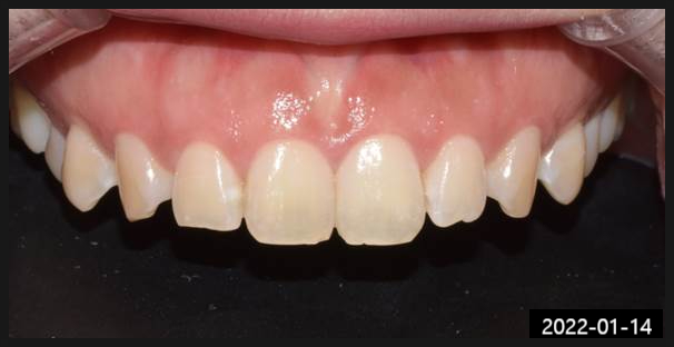
잇몸성형 케이스
잇몸이 치아를 덮고 있어서 웃을 때마다 답답한 느낌이 들어서 이를 해소하기 위해 내원하셨습니다.
사진에서 보시면 앞니 쪽 잇몸이 평평한 형태이며, 치아와 잇몸 간의 경계가 흐린 것을 확인하실 수 있는데요.

조금 더 동글동글하고 또렷하게 개선해 드리기 위해 레이저를 이용한 잇몸성형을 진행하게 되었습니다.

언주역치과
잇몸성형은 처음 내원하신 날 바로 시술하고, 2주 후 1회 리터치까지 진행해 드리고 있는데요.
환자분이 결과에 크게 만족해하시어, 리터치 진행 없이 마무리해 드린 사례입니다.
"그간 치아 모양이 마음에 안 들어 고민이 많았는데, 이렇게 하루 만에 바뀔 줄 알았으면 진작에 할 걸 그랬다"라고 하시며 좋아하시는 모습이 아직도 눈앞에 선합니다. ^^

저희 디데이치과에서는 일반 치료(충치/신경/보철/치주/사랑니) 뿐만 아니라, 임플란트(네비게이션, 보험)시술, 심미치료(라미네이트/잇몸&치아성형/치아미백)를 도와드리고 있습니다
언주역치과
글에서 소개해 드리지 못한 다양한 치료 사례는 블로그에서 확인해 보실 수 있으니 참고해 보시길 바랍니다. ^^
< 디데이가 처음이신 분들을 위한 글 >
의사와 환자 간의 충분한 소통이 편안한 진료, 만족도 높은 결과를 얻을 수 있다고 생각합니다.
이러한 이유로 저희 디데이에서는 의료진이 직접 상담을 진행하고 있는데요.
환자분에게 전문가로서 가장 필요하고, 적합한 치료 방향을 제안해 드리기 위함입니다.
저희 의료진이 직접 설명해 드려서인지, 환자분들도 신뢰를 가지고 치료에 임하셔서 결과도 더 긍정적이지 않았나... 생각해 보는데요. ^^
아래 저희가 어떤 신념을 가지고 진료에 임하는지... 저희의 진료철학이 담긴 글을 소개하며 글을 마치겠습니다.
긴 글 읽어주셔서 감사합니다! 즐거운 한주 보내시길 바랍니다.
< 저희 의료진의 진료철학이 담긴 글입니다 >
| 환자를 돌려보내는 치과가 있다?디데이치과 네이버 예약 ✔ |
| 서울 디데이치과 진료 문의 |
|---|
| 대표전화 : 02-568-2877 (바로가기)네이버 톡톡 문의 (바로 가기) |
▲ 모바일에서 전화 버튼을 누르시면 병원으로 연결됩니다 ▲

| 본 게시물은 의료광고법 제56조 1항을 준수하여, 의료 정보 제공 및 병원 홍보를 목적으로 디데이치과의원에서 직접 작성하였습니다.다만, 블로그에서 제공해 드리는 정보는 참조용으로만 활용하시고, 정확한 개인의 증상 파악은 의료기관에 직접 내방하시어 의료진을 통해 확인하실 것을 권유 드립니다.치과에서 진행되는 모든 시술 및 수술은 개인에 따라 부작용 (염증, 출혈, 부기, 신경 손상 등) 가능성이 있습니다. 따라서 사전에 의료진과 충분한 상담을 통해 결정하시길 바랍니다.게시물의 치료 사진은 실제 본원에서 모든 치료 과정을 마친 환자분의 동의하에 촬영되었습니다. 전후 사진은 동일인이며, 동일 조건하에 촬영되었음을 밝힙니다. |