"치아가 누래서 치아미백을 고민하고 있습니다.
다양한 방법이 있던데....
치과에서 하는게 더 나을까요?
그리고 치아미백유지기간은 어느 정도인지 궁금합니다."
반갑습니다. 디데이치과 대표원장 오태훈입니다.
저희 디데이가 3회를 하루 만에 시술하는 원데이 전문가 치아미백을 하는 치과이다 보니, 위와 비슷한 문의를 많이 받곤 합니다.
그래서 치과의사로서 치아미백을 고민하시는 분들께 도움을 드리고자 글을 작성하게 되었는데요.
먼저 여러분이 가장 궁금해하실 유지기간에 대해 말씀드리고 글을 시작하도록 하겠습니다.

일반적으로 치과에서 진행하는 치아미백유지기간은 약 6개월에서 3년 정도라고 알려져 있습니다.
하지만 저는 최대 밝기가 유지되기까지는 약 6개월에서 1년 정도로 보고 있는데요.
물론 개인의 흡연 여부, 식습관, 관리 상태에 따라 유지기간은 훨씬 길어질 수도, 짧아질 수도 있습니다.
따라서 치아 착색을 유발하는 식생활습관을 피하고, 정기적으로 시술을 받으신다면 환한 치아를 더욱 오래 유지하실 수 있다고 말씀드리고 싶은데요.
실제 저희 병원에는 1년에 한 번 정도 중요한 행사가 있을 때마다 하루 이틀 전 오셔서 시술받으시는 분들이 많으십니다.
일주일 간격으로 3회를 받아야 하는 기존 방식과는 달리, 하루 만에 치료가 끝나기 때문에 간편하고 만족도가 높은 치료라고 할 수 있죠. ^^
─
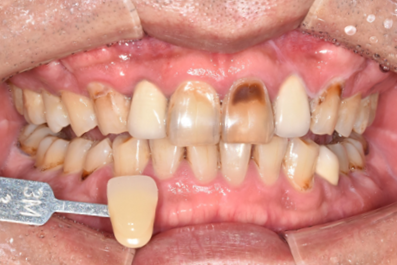
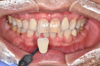
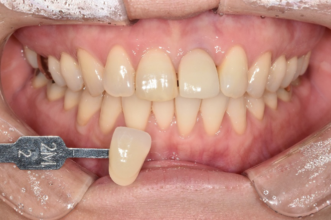
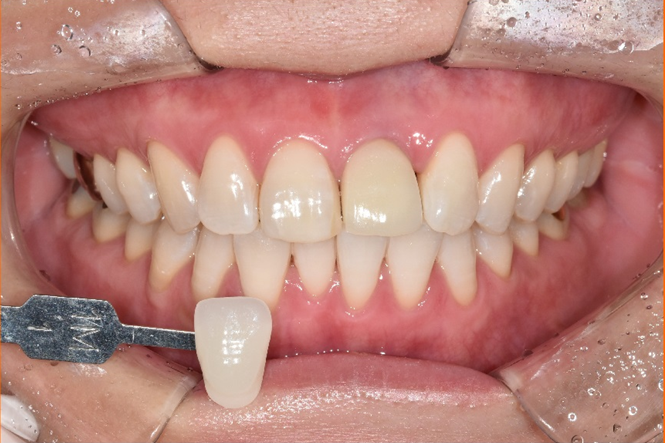
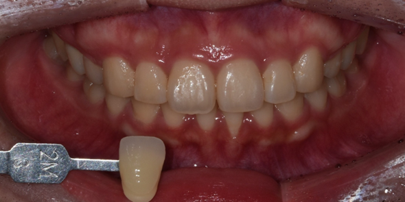
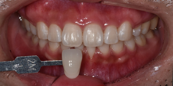
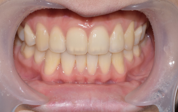
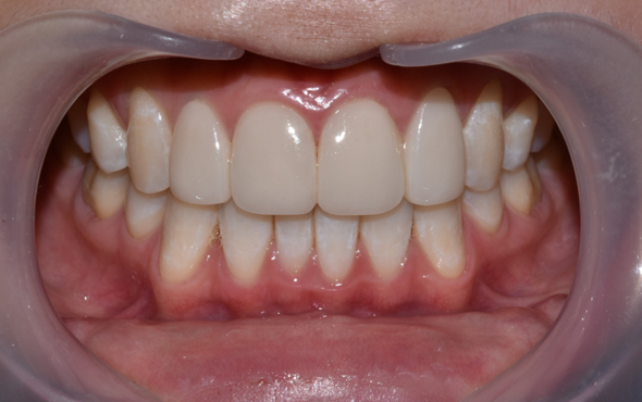
원데이 전문가미백 치료 사례


(전) 2021-07-08, (후) 2021-07-16


2021-07-30


2022-02-22


2022-06-27


(전) 2022-01-05 / (후) 2022-01-17
위 앞니 4개 라미네이트 + 치아미백
이어지는 글에서는 여러분이 알고 계시면 좋을 정보 몇 가지를 알려드리려고 하는데요.
치아미백의 종류와 효과, 주의사항에 관한 내용이니 2분 정도 집중해서 읽어보시고, 아름답고 환한 미소를 되찾으시길 바랍니다. ^^
─
치아미백 방법 3가지
치아미백 방법은 크게 3가지가 있습니다.
치과에서 받는 1)강력미백, 치과에서 만들어준 장치를 집에서 끼고 있는 2)자가미백, 그리고 치과가 아닌 마트나 인터넷에서 처방전 없이 구매해서 쓰는 3)셀프미백입니다.
- 강력미백
3가지 방법 중 짧은 시간 내 집중적인 미백 효과를 기대할 수 있다는 장점이 있습니다.
미백제가 잇몸에 닿지 않게 잇몸에 보호제를 발라준 다음, 고농도의 미백제를 치아에 바르고 미백 전용 광선을 쬐어주는 방식인데요.
약 30분 정도 소요되며, 이러한 방식으로 일주일 간격으로 3회를 반복하게 되면, 치아가 밝아지게 됩니다.
다만, 저희 디데이의 원데이 전문가미백은 총 3회를 한 번에 시술하기 때문에 한 번만 방문하시면 되고, 치료시간은 약 1시간 30분 정도 소요됩니다.


- 자가미백
자가미백은 치과에서 본을 뜬 다음 개인 맞춤형 장치를 만듭니다. 그다음 장치에 미백제를 짜서 매일 끼고 있으면 되는데요.
약 낮에 약 2시간 정도 끼고 있거나, 잘 때 끼고 자도 됩니다.
다만, 앞서 말씀드린 전문가 미백보다는 미백제의 농도가 낮기 때문에 최대 효과를 얻기 위해 4~5주 정도 매일 끼고 있어야 한다는 단점이 존재합니다.

- 셀프미백
마트나 인터넷에서 처방전 없이 구입할 수 있는 셀프 미백제 종류는 정말 다양한데요.
그중에서 가장 많이 팔리고 있는 제품 특성을 말씀드린다면, 미백제가 발라져 있는 스티커를 치아에 붙이는 방식입니다.
낮에 2시간 정도 또는 밤에 잘 때 치아에 붙이면 되는데요. 앞서 설명해 드린 방식에 비해선 밝아지는 속도가 느리다는 단점이 있습니다.
─
치아미백 얼마나 밝아질까요?
개인차가 있긴 하지만, 강력미백은 3회 시술 후 최대 밝기에 도달하게 되는데요.
평균적으로 본인의 치아색보다 2~3단계 정도 밝아지는 것으로 보고 있습니다.

치아미백 유지기간
하지만 자가미백은 짧으면 23주, 길면 45주 매일 착용했을 때 최대 밝기에 도달하게 됩니다.
마지막으로 셀프미백은 그보다 더 오랜 시간이 걸리는데요.
다만 제품에 따라 차이가 있고, 치과의사의 진단이나 검사 없이 하는 것이기 때문에 만족도가 떨어지거나 원치 않은 결과를 얻게 될 수 있습니다.
─
치과의사가 셀프미백을
추천하지 않는 이유
예를 들면 치아에 반점이 있는 분들은 미백 후 하얀 반점이 더 도드라져 보일 수 있고요.
앞니에 충치, 파절 등을 이유로 보철물 혹은 레진을 때운 곳이 있다면, 해당 부위는 미백이 되지 않기 때문에 치아가 얼룩덜룩 해질 수 있습니다.
그리고 치아 파절이나 잇몸 퇴축이 있는 분들의 경우 보호제를 사용하지 않고 미백제를 바르게 되면 치아가 많이 시릴 수 있습니다.
만일 전체 치아 중 특정 치아만 색이 어둡다면, 이는 신경치료가 필요하거나, 치아 내부에 미백제를 채워 넣어야 하기 때문에 앞서 말씀드린 방법으론 미백이 되지 않습니다.
특히 일부 제품 중에는 미백효과를 높이기 위해 과산화수소 함량을 지나치게 높인 제품들이 있는데요.
이러한 제품을 장기간 사용한다면, 이시림, 치아 부식, 잇몸 손상, 위장장애 등의 부작용을 초래할 수 있으므로 주의해야 합니다.
따라서 치과의사의 검진을 받고 시작하는 것이 안전하고, 만족도 높은 결과를 얻는 방법이라고 말씀드리고 싶습니다.

오늘은 치아미백유지기간을 비롯한 관한 다양한 정보를 알려드렸는데요. 어떠셨나요?
물론 이 글만으론 여러분의 모든 궁금증이 해결되진 않으셨을텐데요.
치아미백은 간단한 시술처럼 보이더라도 어떤 방법이 좋을지에 대한 선택과 평가는 의사와 상의하는 것이 바람직합니다.
그러니 의사와 충분한 상담이 이뤄지는 치과, 철저한 사후관리를 보장하는 치과를 선택하시길 바라며 글을 마치도록 하겠습니다.
치아미백유지기간을 포함해서 궁금하신 점이 있거나 전문가와 꼼꼼한 상담이 필요한 분들은 병원으로 편하게 문의하셔도 좋습니다.
지금까지 디데이치과 대표원장 오태훈이었습니다. 감사합니다. ^^
< 저희 의료진의 진료철학이 담긴 글입니다 >
< 디데이가 처음이신 분들을 위한 글 >
| 환자를 돌려보내는 치과가 있다?디데이치과 네이버 예약 ✔ |
| 서울 디데이치과 진료 문의 |
|---|
| 대표전화 : 02-568-2877 (바로가기)네이버 톡톡 문의 (바로 가기) |
▲ 모바일에서 전화 버튼을 누르시면 병원으로 연결됩니다 ▲

| 본 게시물은 의료광고법 제56조 1항을 준수하여, 의료 정보 제공 및 병원 홍보를 목적으로 디데이치과의원에서 직접 작성하였습니다.다만, 블로그에서 제공해 드리는 정보는 참조용으로만 활용하시고, 정확한 개인의 증상 파악은 의료기관에 직접 내방하시어 의료진을 통해 확인하실 것을 권유 드립니다.치과에서 진행되는 모든 시술(치아미백 포함) 및 수술은 개인에 따라 부작용 (치아시림, 염증, 출혈, 부기, 신경 손상 등) 가능성이 있습니다. 따라서 사전에 의료진과 충분한 상담을 통해 결정하시길 바랍니다.게시물의 치료 사진은 실제 본원에서 모든 치료 과정을 마친 환자분의 동의하에 촬영되었습니다. 전후 사진은 동일인이며, 동일 조건하에 촬영되었음을 밝힙니다. |