반갑습니다. 디데이치과 대표원장 오태훈입니다. ^^
자신감 있고 아름다운 미소를 얻기 위해 몇 년에 걸친 치아 교정치료를 무사히 마쳤지만...
치아가 이쁘지 않아 심미적인 만족도는 생각만큼 크지 않은 분들이 있으십니다.
타고난 치아의 모양과 색은 교정치료로는 개선이 어렵기 때문인데요.

아마 제 글을 보시는 분들도 이러한 이유로 심미적인 개선을 위한 라미네이트 시술을 추가로 고민하고 있으실 것으로 생각됩니다.
하지만 한편으로는 '치아를 많이 깎아내는 것은 아닐지, 교정한 치아에 문제가 생기진 않을지...' 걱정도 되셨을 것입니다.
일단 라미네이트는 치아배열이 고를수록 치아 삭제량을 최소화할 수 있습니다.
따라서 치아교정을 마친 분들의 경우 무삭제 혹은 최소한의 삭제를 통해 진행될 여지는 있습니다.
다만, 환자분의 상태에 따라 실제 치료 방향은 다를 수 있기 때문에 의료진과의 충분한 상담 후 결정하시는 것이 중요한데요.
오늘은 치과에 가기 전 교정후라미네이트 시술을 고민하시는 분들의 약간의 궁금증을 풀어드리기 위해
치아 교정 이후 저희 치과에서 라미네이트 시술을 받으셨던 분들의 치료 사례를 간략하게 소개해 드리겠습니다.
여러분의 상황과 비슷한 사례가 있는지 한번 확인해 보시길 바랍니다. ^^
| 교정후라미네이트 치료 사례 1. |
왜소치가 고민이 되어 본원에 내원하셨던 환자분의 사례입니다.
왜소치는 정상치아보다 크기가 작은 치아를 말하며, 흔히 '대문니'로 표현되는 앞니 양옆 치아(상악 측절치)에 많이 나타나는데요.
잘 아시겠지만, 이 뾰족하고 작은 치아는 교정치료로는 개선하기 어렵습니다.
그래서 정상적인 치아 크기와 모양을 만들기 위해선 라미네이트 등의 심미보철치료를 고려해야 하는데요.


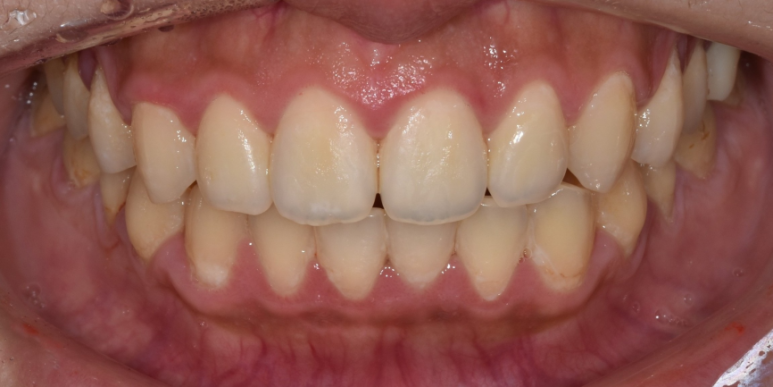
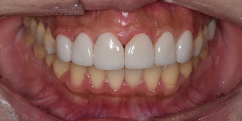
(전) 2022-01-20, (후) 2022-01-27
해당 환자분은 교정으로 치아배열은 고른 상태셨기 때문에 왜소치인 치아 1개만 라미네이트 시술을 진행하게 되었습니다.
치아 1개만 진행하기 때문에 기존 치아와 이질감이 없도록 자연스러운 색상으로 시술해 드렸는데요.
시술 후 환자분도 본인 치아 같고 감쪽같다며 매우 흡족해하셨던 사례입니다. ^^
| 교정후라미네이트 치료 사례 2. |
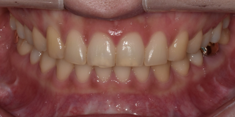
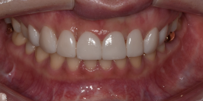
환자분은 20대 초반의 어린 나이임에도 치아 변색이 심해 스트레스가 많았던 분입니다.
그래도 교정을 마친 상태라 치아배열은 좋은 편이셨기에, 최소량만 치아를 다듬고 라미네이트 시술을 진행할 수 있었는데요.
기존 치아와 자연스러운 색상을 제안해 드렸지만, 환자분이 더 밝고 환한 치아를 원해하셔 니즈에 맞게 진행하였습니다.


(전) 2022-05-11, (후) 2022-05-18
보철물 색상이 다른 치아보다 밝기는 하지만,
웃거나 말할 때는 윗니만 보이셔서 실제는 위 사진보다 훨씬 더 자연스러운 느낌이 있었습니다.
어렸을 때부터 누런 치아가 항상 콤플렉스였는데 단기간 내 하얗고 밝은 치아를 얻게 돼서 너무 기쁘다고 좋아하시는 모습을 보며, 저희 의료진도 흐뭇했던 사례인데요. ^^
이후 치아미백을 진행하신다면, 전체적으로 밝은 치아를 유지하는 데 도움이 될 수 있다고 안내해드리고, 치료를 마쳤습니다.
| 교정후라미네이트 치료 사례 3. |
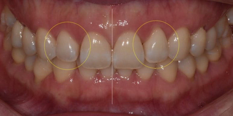
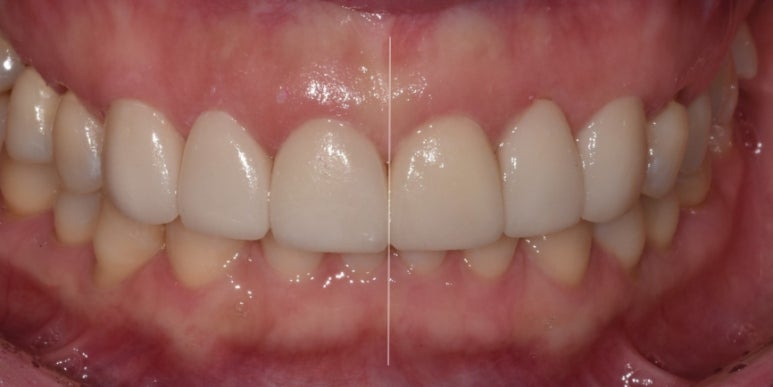
환자분은 교정을 진행하시어 치아 배열은 고르신 편이었지만, 대문니 양옆 치아(상악 측절치)가 벌어져 있어서 개선을 위해 내원해 주셨습니다.
그리고 (전) 사진을 보면 윗니 정중앙 라인이 아랫니 중앙 라인과 맞지 않는 것을 확인할 수 있는데요.


(전) 2022-07-13, (후) 2022-07-19
라미네이트를 통해 치아가 맞물렸을 때 정중선을 맞추어 치아가 더 고르게 보일 수 있도록 진행하였습니다.
또한 최초 고민이셨던 상악 측절치 사이 틈새도 보철물을 통해 공간을 채워드렸고요.
라미네이트는 최소삭제로 진행되었으며, 전체적인 치아 형태와 색상이 이전보다 개선된 것을 확인하실 수 있습니다. ^^
| 교정후라미네이트 치료 사례 4. |
환자분은 교정 후 유지 장치를 착용하고 계신 상태이며,
치아배열은 고르지만 치아 모양과 색상이 마음에 들지 않아 라미네이트 시술을 위해 내원해 주셨습니다.
환자분 역시 삭제량이 많은 것을 원하지 않으셨기에 대문니 끝 파절된 부분과 보철물 부착을 위한 최소삭제로 진행을 도와드렸습니다.


(전) 2022-08-02, (후) 2022-08-11
평소 이갈이가 있다고 하셔서 이갈이 장치 제작 및 사용을 권장해 드렸는데요.
지속적인 이갈이로 보철물에 힘이 가해지면, 라미네이트가 깨질 우려가 있기 때문입니다.
따라서 평소 이갈이를 하시는 분들은 시술 전 담당 주치의에게 미리 말씀하시고, 장치를 제작하여 착용하시는 것이 좋습니다.

저희 디데이치과가 라미네이트 시술을 많이 시행하고 있지만, 그렇다고 해서 시술을 원하는 모든 분들께 권해드리진 않습니다.
자연치아를 최대한 보존하는 방향으로 진행하고 있기 때문입니다.
당장 보이는 문제만 해결하는 보여주기식 진료보다는 10년, 20년이 지나도 후회하지 않을 시술을 행하는 것을 진료 목표로 삼고 있습니다.
따라서 의료진과의 꼼꼼한 상담을 통해 과도한 치아삭제나, 득보다는 실이 클 것으로 예상되는 분들에겐 솔직히 말씀드리고 정중하게 시술을 거절하고 있기도 합니다.
그러니 여러분도 담당 의사가 직접 상담하며 꼭 필요한 치료만 권하는 곳, 시술 후 지속적인 관리가 이뤄질 수 있는 곳을 찾으셔서 상담부터 받아보셨으면 하는데요.
아래 라미네이트시술과 관련하여 다양한 정보가 담긴 칼럼을 공유해 드리겠습니다.
함께 읽어보신다면, 현명한 선택을 하시는 데 큰 도움이 되실 거라 확신합니다. 감사합니다. ^^
< 함께 보시면 도움이 될 칼럼 >
| 환자를 돌려보내는 치과가 있다?디데이치과 네이버 예약 ✔ |
| 서울 디데이치과 진료 문의 |
|---|
| 진료 문의 : 02-568-2877 (바로가기)네이버 톡톡 문의 (바로 가기) |
▲ 모바일에서 전화 버튼을 누르시면 병원으로 연결됩니다 ▲

| 본 게시물은 의료광고법 제56조 1항을 준수하여, 의료 정보 제공 및 병원 홍보를 목적으로 디데이치과의원에서 직접 작성하였습니다.다만, 블로그에서 제공해 드리는 정보는 참조용으로만 활용하시고, 정확한 개인의 증상 파악은 의료기관에 직접 내방하시어 의료진을 통해 확인하실 것을 권유 드립니다.치과에서 진행되는 모든 시술 및 수술은 개인에 따라 부작용 (염증, 출혈, 부기, 신경 손상 등) 가능성이 있습니다. 따라서 사전에 의료진과 충분한 상담을 통해 결정하시길 바랍니다.라미네이트 시술은 치아의 표면을 일부 삭제하고, 보철물을 부착하는 치료로 보철물 탈락 및 치아손상 가능성이 있으며, 반영구적인 치료법입니다.게시물의 치료 사진은 실제 본원에서 모든 치료 과정을 마친 환자분의 동의하에 촬영되었습니다. 전후 사진은 동일인이며, 동일 조건하에 촬영되었음을 밝힙니다. |