< 안내 >
이 글은 저희 치과에 오시라는 흔한 광고글이 아닙니다.
라미네이트 전후 비교 사진 및 주의사항, 비용 등에 관한 핵심내용을 담았으니,
5분만 집중해서 읽어보시길 바랍니다. ^^
안녕하세요. 디데이치과 대표원장 김무진입니다. ^^
아마 이 글을 보신다면, 라미네이트를 고민하시는 분으로 신중한 선택을 위해 다양한 정보를 알아보고 있으실 것으로 생각됩니다.
저희 디데이치과가 라미네이트, 잇몸/치아성형, 잇몸/치아 미백 등의 심미치료도 많이 하고 있다 보니, 이에 대한 문의도 지속해서 받고 있는 상황인데요.
치료한 막연한 궁금증과 두려움을 해소시켜드리고, 보다 많은 분들이 올바른 치료를 통해 치과에서 좋은 경험만 하셨으면 하는 마음에서
그간 오태훈 원장님과 블로그에 꾸준히 의학적 칼럼을 꾸준히 업로드했었습니다.
아래는 그중 대표적인 라미네이트 칼럼들입니다. ^^
-
시술 전 알아야 할 부작용 및 주의사항
-
병원마다 비용이 다른 이유
-
괜찮은 치과 선택을 위한 3가지 조건
하지만 오늘은 실제 치료 후기를 궁금해하시는 분들을 위해 저희 병원의 라미네이트 전후 치료 사진을 정리해 보았는데요.
최종적인 치료 결정은 의료진과의 충분한 상담을 통해 진행돼야겠지만...
여러분과 같은 고민을 하셨던 분들의 치료 사례이니, 치과 방문 전 참고해 보셔도 좋을 것 같습니다.
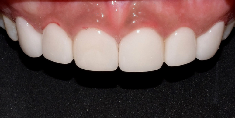
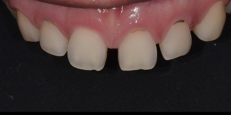
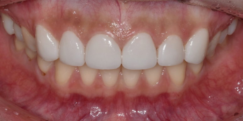
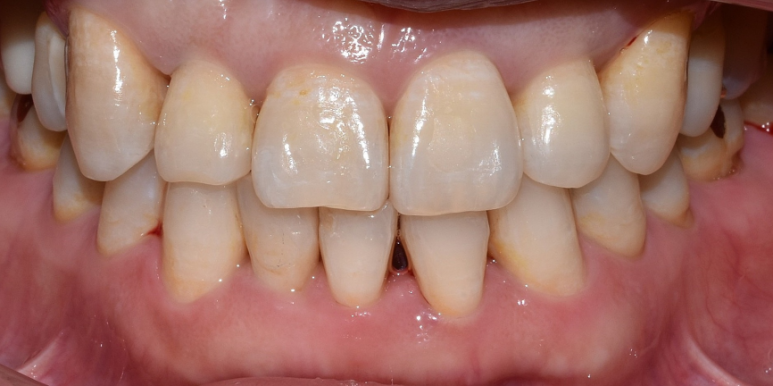
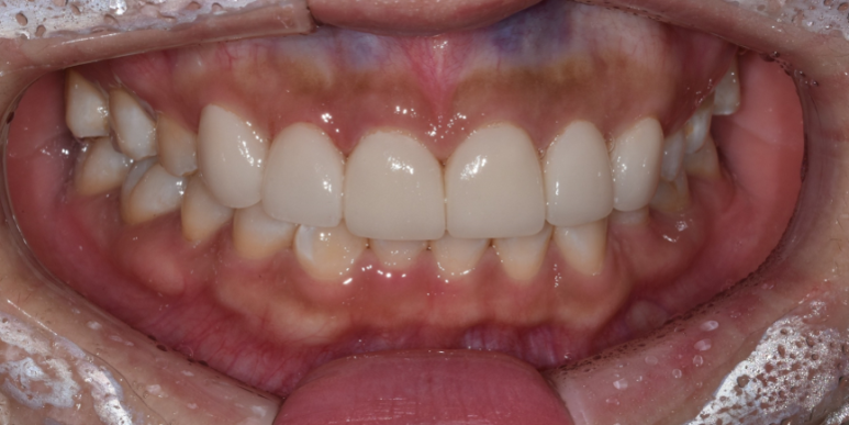
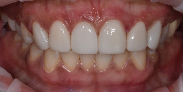
| 라미네이트 전후 치료 사례 1. 벌어진 치아 |


20세 여성
(전) 2021-12-28, (후) 2022-01-12
환자분 경북에 거주하시는 여성분으로 앞니 사이 공간 및 치아 깨짐, 치아 모양 때문에 맘껏 웃지도 못한다며 내원해 주셨습니다.
대문니 사이에 공간이 있어 잇몸이 차있는 상태였기에,
잇몸을 위쪽으로 올리면 더 나을 것 같다고 설명해 드리고, 레이저를 이용한 잇몸성형도 함께 진행하였습니다.
보철물은 환자분의 연령과 이미지를 충분히 고려해서 제작하였고요.
치료 후 앞니 사이 공간이 매워지고, 배열도 매끄럽게 바뀐 것을 보며 활짝 웃던 환자분의 모습이 기억에 남습니다.
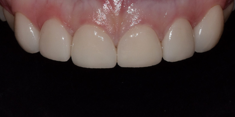
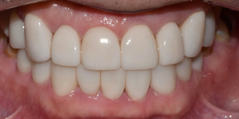
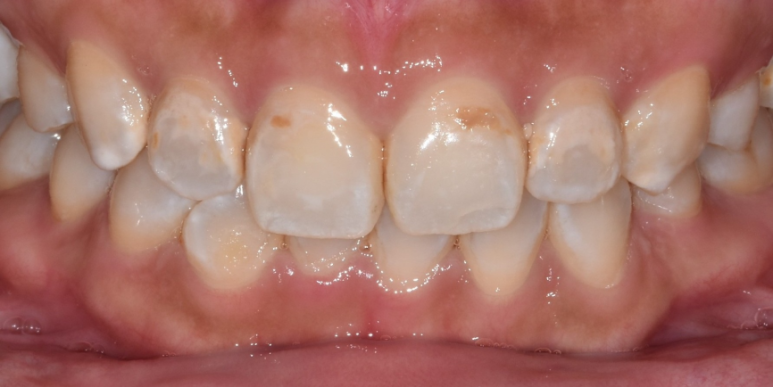
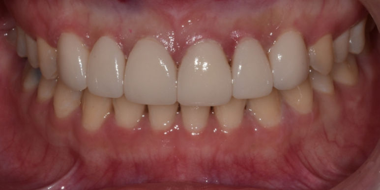
| 치료 사례 2. 벌어진 치아 |


20세 남성
(전) 2022-06-29, (후) 2022-07-06
이분도 앞니 사이가 많이 벌어져있어 평소 스트레스가 컸던 분입니다.
치아 사이를 메우기 위해 현재 잇몸라인에 맞춰서 보철물을 제작하게 되면, 보철물이 짧고 넓어 보이는 느낌이 날 수 있습니다.
따라서 위 사례분과 마찬가지로 잇몸성형을 권유해 드렸는데요.
보철물이 다소 짧고 넓어 보이더라도 벌어진 치아를 메울 수 있다면 괜찮다고 하셔서 윗니 6개 라미네이트만 진행하게 되었습니다.
시술 후 벌어진 치아가 완벽하게 커버되고, 고르게 개선된 것을 확인하실 수 있는데요.
환자분이 많이 기뻐하셔서 저희도 뿌듯했던 사례입니다.
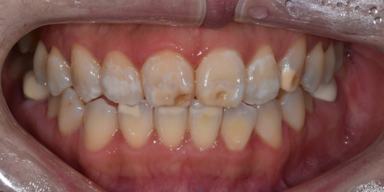
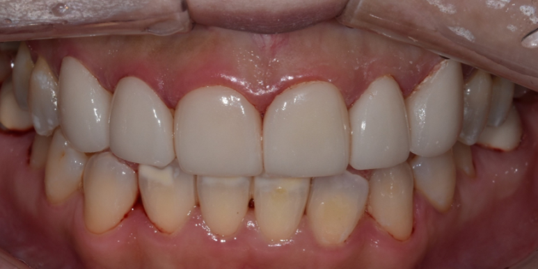
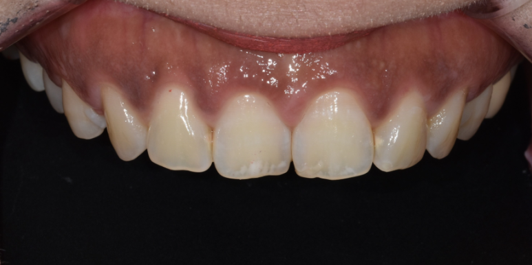
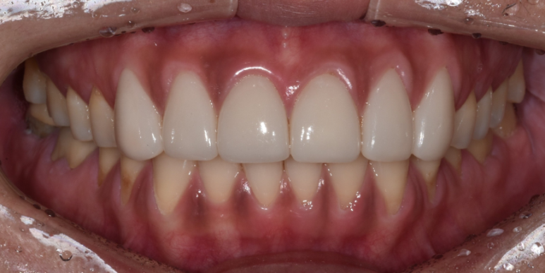
| 사례 3. 깨지고 마모된 치아 |


29세 여성
(전) 2022-04-19, (후) 2022-05-09
평소 양옆으로 넓고 짧은 치아가 고민이셨던 여성분의 사진입니다.
치아가 깨지고 마모되면서 라미네이트로 전체적인 개선을 위해 내원해 주셨는데요.
치아배열은 좋으신 편이라서 모양을 다듬는 부분을 제외하곤 최소량의 치아삭제 후 라미네이트를 진행하게 되었습니다.
보철물 색상은 환자분이 원하시는 방향으로 밝게 해드렸고, 보철물은 동글동글하고 귀여운 느낌으로 제작해 드렸습니다.
원래 가지고 계신 치아의 느낌을 살린 덕분에 이질적이지 않으면서도 치아 형태가 자연스럽게 개선된 것을 확인하실 수 있습니다. ^^
| 사례 4. 블랙 트라이앵글 |


51세 남성
(전) 2022-02-10, (후) 2022-03-14
저희 치과에서 시술받으셨던 환자분의 소개로 내원하신 남성분입니다.
전체적으로 얼룩덜룩한 치아를 개선하고, 치아 사이 홈(블랙 트라이앵글)을 없애고 싶어 내원하셨습니다.
처음엔 상악 6개, 하악 8개 라미네이트 진행하셨지만 만족도가 높아,
이후 상악 2개, 하악 1개 더 추가로 진행하셨습니다. (총 상악 8개, 하악 9개)
이전보다 젊고 건강한 미소를 얻게 되시면서, 주변인들로부터 어려 보인다는 이야기를 많이 듣는다며 좋아하시던 모습이 떠오릅니다. ^^
라미네이트 전후
| 사례 5. 반상치 |


29세 여성
(전) 2022-05-23, (후) 2022-05-30
싱가포르에서 오신 여성 외국인 환자분입니다.
한국엔 잠깐 거주하신 적이 있는데, 치료를 위해 열흘간 한국에 방문하셨습니다.
치아 표면에 백색이나 갈색의 반점이 있는 '반상치'가 고민이 되어 이를 개선하기 위해 내원 전부터 카카오톡을 통해 상세한 상담을 도와드렸는데요.
환자분이 구글 번역기를 돌려서 질문해 주신 내용에 저희 직원분들께서 친절하게 응대해 드렸던 기억이 납니다. ^^
환자분의 요청에 따라 윗니 6개 라미네이트 시술 후 아랫니는 보철물 색상과 유사하게 치아미백을 진행해 드렸습니다.
시술이 끝나고 치아 표면이 깔끔하게 정돈되고, 반상치가 커버된 것을 보며 많이 기뻐하시던 모습이 기억납니다.
| 사례 6. 반상치, 치아 부식 |


33세 여성
(전) 2022-04-27, (후) 2022-05-03
이분도 해외 거주하시는 분으로 앞니 전체적인 치아 부식과 얼룩덜룩한 반점이 고민이 되어 내원해 주셨습니다.
앞니 6개 라미네이트 시술 진행했고요.
아랫니도 비슷한 증상이 있긴 했지만 웃거나 말씀하실 때 윗니가 더 많이 보여서 윗니만 먼저 진행하게 되었습니다.
한 톤 더 밝은 색상을 원하셨고요. 치아 형태도 가지런해지면서 환자분의 만족도가 매우 높았던 사례입니다. ^^
| 사례 7. 거뭇거뭇한 잇몸 |


33세 여성
(전) 2022-05-11, (후) 2022-05-25
착색된 잇몸과 고르지 않은 치아 모양이 고민이 되어 내원해 주신 분입니다.
우선 거뭇거뭇한 잇몸을 선홍빛으로 되살리는 레이저 잇몸미백 시술을 진행해드렸고요.
앞니 6개 라미네이트 시술을 통해 훨씬 더 가지런하고 밝은 미소를 얻게 되셨습니다.
치아 형태도 참 예쁘고 자연스럽죠?
라미네이트 전후
| 사례 8. 잇몸 노출 |


22세 여성
(전) 2022-05-30, (후) 2022-06-08
대문니 2개가 아래로 갈수록 넓어지는 형태, 잇몸이 많이 보이는 느낌이 싫어 이를 개선하고자 내원하신 분입니다.
유독 뾰족한 송곳니를 법랑질성형(치아성형)을 통해 개선한 후, 윗니 6개 라미네이트 진행하였습니다.
시술 후 치아 모양이 균일하면서, 잇몸이 많이 보이던 부분까지 개선된 것을 확인할 수 있는데요.
원래 치아같이 자연스럽고 감쪽같다며, 크게 만족해하셨던 사례입니다. ^^
| 사례 9. 잇몸 노출과 치아 부식 |


35세 여성
(전) 2022-05-07, (후) 2022-06-03
치아 모양이 마음에 들지 않고, 잇몸이 내려앉아 치아 뿌리 쪽 부위가 노출되는 것이 고민이 되어 내원해 주셨습니다.
오랜 기간 앓아온 역류성 식도염으로 인해 치아가 부식된 상태여서 처음엔 올세라믹 크라운을 권해드렸는데요.
환자분이 치아삭제에 대한 부담이 있으셔서 윗니 6개 라미네이트를 진행하기로 했습니다.
다만, 다른 치아들도 부식이 진행되고 있던 터라 식도염 치료를 꼭 받으실 것을 권해드렸고요.
잇몸 퇴축으로 현재 치아 길이를 유지한다면 치아가 길어 보일 수 있어서
환자분과 상의하여 길이를 줄이고, 잇몸 성형으로 잇몸라인을 조금 더 둥글게 만들기로 하였습니다.
시술 후 치아 형태가 가지런하고 잇몸 퇴축으로 뿌리 쪽 부분이 보이던 현상도 좋아진 것을 보며 많이 기뻐하시던 모습에 저희 치료진도 뿌듯했던 사례입니다.

어떠셨나요? 사람의 생김새만큼이나 치아 모양도 참 다양하죠?
라미네이트가 빠른 심미적 개선을 도모하는 좋은 치료인 것은 사실이지만, 일단 한번 깎아낸 치아는 이전으로 되돌릴 수 없습니다.
무리한 시술로 인한 부작용 가능성도 배제할 수 없고요.
그러니 무삭제, 최소삭제가 가능한지, 사후관리를 꼼꼼하게 해주는지... 의료진과 충분히 상의하시고 신중하게 결정하시길 바랍니다.
글을 보시고 궁금하신 점이 있거나 상담이 필요하신 분들은 언제든 병원으로 문의해 주시길 바랍니다.
지금까지 디데이치과 대표원장 김무진이었습니다. 감사합니다. ^^
| 환자를 돌려보내는 치과가 있다?디데이치과 네이버 예약 ✔ |
| 서울 디데이치과 진료 문의 |
|---|
| 진료 문의 : 02-568-2877 (바로가기)네이버 톡톡 문의 (바로 가기) |
▲ 모바일에서 전화 버튼을 누르시면 병원으로 연결됩니다 ▲

| 본 게시물은 의료광고법 제56조 1항을 준수하여, 의료 정보 제공 및 병원 홍보를 목적으로 디데이치과의원에서 직접 작성하였습니다.다만, 블로그에서 제공해 드리는 정보는 참조용으로만 활용하시고, 정확한 개인의 증상 파악은 의료기관에 직접 내방하시어 의료진을 통해 확인하실 것을 권유 드립니다.치과에서 진행되는 모든 시술 및 수술은 개인에 따라 부작용 (염증, 출혈, 부기, 신경 손상 등) 가능성이 있습니다. 따라서 사전에 의료진과 충분한 상담을 통해 결정하시길 바랍니다.라미네이트 시술은 치아의 표면을 일부 삭제하고, 보철물을 부착하는 치료로 보철물 탈락 및 치아손상 가능성이 있으며, 반영구적인 치료법입니다.게시물의 치료 사진은 실제 본원에서 모든 치료 과정을 마친 환자분의 동의하에 촬영되었습니다. 전후 사진은 동일인이며, 동일 조건하에 촬영되었음을 밝힙니다. |