"치아도 누렇고 모양도 삐뚤빼뚤해서
라미네이트 시술을 고민하고 있습니다.
그런데 치아삭제한 연예인들 사진을 보니,
너무 무섭더라고요...
그래서 치아를 최대한 적게 깎는 방향으로
진행하고 싶은데...
무삭제/최소삭제라미네이트비용은
얼마 정도인가요?"
이 글을 보시는 분들 역시 이와 비슷한 고민으로 인터넷을 통해 관련 정보를 찾고 있으실 것 같습니다.
저 또한 라미네이트 시술을 많이 하는 치과의사 중 한 명이다 보니, 환자분들의 이러한 걱정과 고민을 충분히 공감하고 있는데요.
사실 라미네이트는 본인에게 맞는 방법으로 올바른 시술이 이뤄진다면, 심미적인 개선을 도모할 수 있는 좋은 치료입니다.
하지만 단순히 심미적인 목적만을 위한 무분별한 시술은 치아 시림, 치아 신경 손상, 변색, 조기 탈락, 파절 등의 불만족스러운 결과를 초래할 수 있습니다.
그래서 지금부터 여러분이 궁금해하실 무삭제/최소삭제라미네이트 비용부터 치과 고르는 방법에 대해 말씀드리려고 하는데요.
끝까지 보시고, 올바른 시술을 통해 아름답고 자신감 있는 미소를 얻으시는 데 도움받으셨으면 합니다. ^^

안녕하세요. 치과의사 김무진 원장입니다.
-
의료진의 세밀한 진단과 상담
-
과잉진료 없는 꼭 필요한 치료
-
통증을 최소화한 꼼꼼한 진료
이 3가지 신념을 되새기며 오태훈 원장님과 매 순간 진심과 정성을 담아 진료에 임하고 있습니다.
치아 개수에 따라 적게는 수십에서 수백 정도의 치료비가 들어가는 라미네이트...
치과마다 제시하는 가격도 천차만별이다 보니, 합리적인 가격선이 어느 정도인지 궁금해하실 것 같은데요.
아무래도 비급여 시술이기 때문에 병원마다 제시하는 비용은 다를 수 있지만,
최소삭제라미네이트 비용은 개당 35만원에서 60만원 정도가 평균이고요. 최대 100~150만원을 책정한 곳도 있습니다.
그래서 어느 정도의 비용이 합리적인지는 제가 지금부터 설명해 드리는 내용을 보시고, 따져보셔야 하는데요.
참고로 환자분들이 직접 병원에 비용 문의를 해야 하는 수고를 덜어드리기 위해 저희 디데이치과에서는 네이버에 비급여 진료비를 공개하고 있습니다.
네이버에 '디데이치과'를 검색하시면 곧바로 확인하실 수 있고요.
의료광고법상 블로그에 공지해 드리기 어려운 관계로 아래 링크를 공유해 드릴 테니, 궁금하신 분들은 참고하시길 바랍니다. ^^
하단 링크에서 [가격표 이미지로 보기]를 클릭 ✔
─
무삭제/최소삭제 라미네이트
치과마다 비용이 다른 이유
라미네이트는 상담과 진단부터 치아삭제, 보철물을 부착하기까지의 인력과 시간, 노력 등의 가치들이 쌓이면서 가격이 결정된다고 할 수 있습니다.
하지만 단순히 비용이 저렴하다는 이유로 저가의 재료를 사용하는 것이고, 비용이 고가라는 이유로 뭔가 더 특별한 치료일 것이다.... 라고 말할 순 없습니다.
담당 선생님의 의학적 철학과 병원의 위치, 주변 시세, 상황 등에 따라 금액이 책정되는 것이기 때문에 단순히 비용만을 가지고 비교하는 것은 한계가 있는 거죠.

따라서 최대한 자연치아에 손상을 주지 않아, 건강하면서도 웃었을 때 자연스럽고 예쁘게, 오래 잘 사용할 수만 있다면, 그것이 환자분들에게 가장 합리적이고 좋은 치료가 아닐까 생각되는데요.
그러면 치과는 어떻게 선택해야 할지, 제 의견을 말씀드리겠습니다.
─
의사가 알려드리는
치과 잘 선택하는 방법
가장 중요한 것은 먼저 치과에 직접 내원하셔서 자세한 상담부터 받아보는 것입니다.
내게 해당 치료가 적합한지, 무삭제/최소삭제로 진행이 가능한지 등등... 원장님에게 진단을 받아보시고요.
그다음 라미네이트가 어떤 과정을 통해 만들어지고, 어떻게 접착되는지도 확인해 보시길 바랍니다.

이처럼 의료진과의 충분한 상담을 통해 꼭 필요한 치료만 권하는지, 사명감을 가지고 있으신지 확인해 볼 수 있는데요.
사실 사람은 각자 고유의 감각을 가지고 있어서 상대방이 몸으로 발산하는 신호를 오감을 통해 전달된다고 합니다.
그래서 의사가 단순히 돈을 벌기 위한 마인드인지, 사명의식을 가지고 정직한 치료만 제안하는 건지는
눈빛, 몸짓, 말투 등 어떠한 형태로든 그 신호가 환자분들에게 전달되기 마련입니다.
그래서 여러 치과를 방문해서 상담받아보신 후 여러분에게 가장 신뢰감을 줬던 의사선생님을 선택하시는 것이 치료 만족도를 높이는 방법일 수 있습니다.
또한 의료진의 경력과 섬세한 술기, 심미적인 감각 등에 따라 결과 만족도는 크게 달라질 수 있습니다.
그러니 다녀간 환자분들의 최소삭제라미네이트 후기도 꼼꼼하게 살펴보시고요.
사후관리, 서비스, 시설, 규모 등의 부분도 총체적으로 확인해 보시길 권해드립니다. ^^
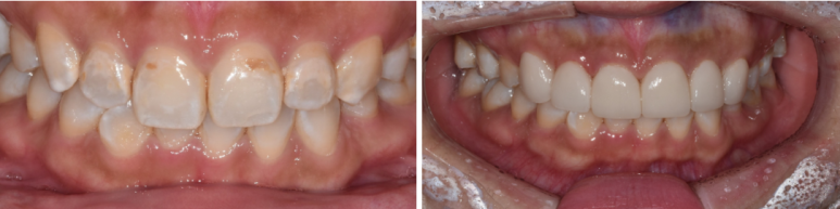
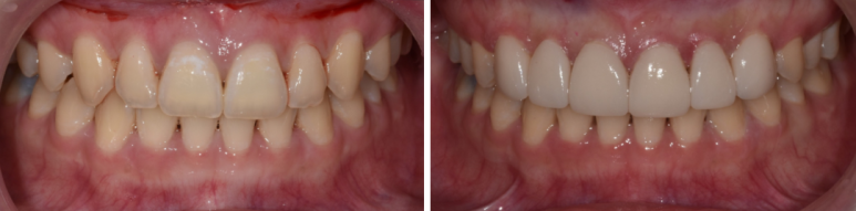
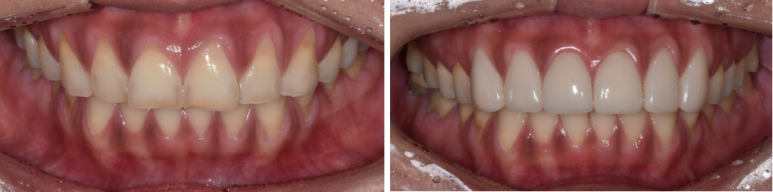
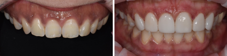
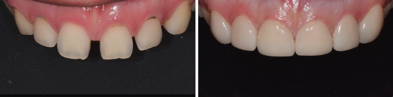
| 디데이치과 치료 전후 사진 |

29세 여성
(전) 2022-05-23, (후) 2022-05-30

22세 여성
(전) 2022-05-30, (후) 2022-06-08

35세 여성
(전) 2022-05-07, (후) 2022-06-03

33세 여성
(전) 2022-05-11, (후) 2022-05-25

20세 여성
(전) 2021-12-28, (후) 2022-01-12

20세 남성
(전) 2022-06-29, (후)2022-07-06
위 사진에 대한 상세한 내용은 글 하단에 공유해드린 포스팅을 확인하세요 ^^
많은 분들이 라미네이트에 대한 정확한 정보보다는 연예인들 치아, 하얀 치아에 대한 환상을 많이 가지고 있으십니다.
하지만 의사들이 생각하는 이상적인 치아에 대한 모습과는 달리, 인위적이고 잘못된 치아를 예쁘다고 인식하는 경향이 없지 않아 있는 것 같습니다.
사실 가장 아름다운 치아는 해부학적 구조를 완벽하게 가지고 있는 치아입니다.
쉽게 말해 심미적인 부분도 중요하지만, 앞니도 기능적인 요소도 잘 고려해서 제작하는 것이 정말 중요합니다.

한번 깎은 치아는 결코 되돌릴 수 없습니다.
그러니 제가 알려드린 사항들을 꼼꼼히 따져보고 신중하게 결정하시길 바랍니다.
오늘 제 글이 무삭제/최소삭제라미네이트를 고민하시는 분들께 많은 도움이 되셨길 바래봅니다.
지금까지 디데이치과 대표원장 김무진이었습니다. 감사합니다. ^^
< 라미네이트 치료 사례와 핵심 정보 >
| 환자를 돌려보내는 치과가 있다? 디데이치과 네이버 예약 ✔ |
| 서울 디데이치과 진료 문의 |
|---|
| 진료 문의 : 02-568-2877 (바로가기) 네이버 톡톡 문의 (바로 가기) |
▲ 모바일에서 전화 버튼을 누르시면 병원으로 연결됩니다 ▲

| 본 게시물은 의료광고법 제56조 1항을 준수하여, 의료 정보 제공 및 병원 홍보를 목적으로 디데이치과의원에서 직접 작성하였습니다. 다만, 블로그에서 제공해 드리는 정보는 참조용으로만 활용하시고, 정확한 개인의 증상 파악은 의료기관에 직접 내방하시어 의료진을 통해 확인하실 것을 권유 드립니다. 치과에서 진행되는 모든 시술 및 수술은 개인에 따라 부작용 (염증, 출혈, 부기, 신경 손상 등) 가능성이 있습니다. 따라서 사전에 의료진과 충분한 상담을 통해 결정하시길 바랍니다. 라미네이트 시술은 치아의 표면을 일부 삭제하고, 보철물을 부착하는 치료로 보철물 탈락 및 치아손상 가능성이 있으며, 반영구적인 치료법입니다. 게시물의 치료 사진은 실제 본원에서 모든 치료 과정을 마친 환자분의 동의하에 촬영되었습니다. 전후 사진은 동일인이며, 동일 조건하에 촬영되었음을 밝힙니다. |