반갑습니다. 디데이치과 오태훈 원장입니다.
"내 가족에겐 하지 않을 시술은 환자분들에게도 권해서는 안된다"라는 생각으로 환자분들께 꼭 필요한 치료만 제안하고 있는 현직 치과 의사입니다.
"잇몸이 치아를 많이 덮고 있어서
치아도 작아 보이고, 답답해 보여요.
그리고 웃을 때 잇몸이 더 많이 보여서
자꾸 신경 쓰여요.."
"잇몸이 좌우 비대칭이라 앞니 크기가 달라요..
검색해 보니,
레이저로 잇몸라인도 다듬을 수 있다던데
잇몸성형가격은 보통 얼마 정도인가요?"
이 글을 클릭하셨다면, 위와 비슷한 이유로 치료를 고민하고 있으실 것으로 생각됩니다.
잇몸이 내려와 앞니 크기가 불규칙하고 작은 것에 스트레스 받아하시는 분들을 직접 상담해드리고 있다 보니,
누군가에겐 사소한 문제일 수 있지만, 어떤 분들에겐 콤플렉스가 될 만큼 매우 중요한 문제가 될 수 있음을 충분히 공감하고 있습니다.
그래서 앞니의 크기가 작고 불규칙하면서 웃을 때 잇몸이 내려와 보이는 경우라면,
여러분이 생각하셨던 것처럼 레이저를 이용한 잇몸성형(치은절제술)과 같은 치과 심미치료를 고려해볼 수 있는데요.

잇몸이 완벽하게 회복된 상태는 아니지만,
치아의 길이가 이전보다 더 길게 트인 것을 확인하실 수 있습니다.
다만, 의사가 직접 치아와 뼈를 덮고 있는 잇몸의 상태를 꼼꼼히 살펴보고 그에 맞는 치료를 선택해야 합니다.
따라서 치은절제술이 적합한지는 치과에 직접 방문하셔서 의사와 충분히 상의해 보시고 결정하시길 바랍니다. ^^
─
치과마다 다른 비용,
평균적인 금액을 알고 싶습니다.
잇몸성형(치은절제술)은 비보험 진료이기 때문에 의사와 치과에서 제안하는 가격은 모두 다릅니다.
평균적인 잇몸성형가격은 개당 5만원에서 10만원 정도이고요. 보통 윗니 또는 아랫니 6개를 기준으로 25만원에서 50만원 정도를 제안하시는 것 같습니다.
물론 이 가격보다 적은 비용으로 치료받으셨던 분들도 간혹 있으실 것입니다.
예를 들면 시술이 필요한 치아가 1~2개였다거나, 난이도가 낮고 다른 치료를 아주 많이 하신 분이라면.... 비용을 저렴하게 해 드릴 수 있겠죠.
하지만 대체로 개당 얼마, 상악 또는 하악 6개~8개에 얼마... 이런 식으로 고지하십니다.

저희 디데이치과는 윗니 또는 아랫니 6개를 기준으로 약 30만원 정도인데요.
이는 절대적인 비용은 아니고, 치료 범위나 추가 처치 여부에 따라 달라질 수 있습니다.
따라서 정확한 잇몸성형가격 안내는 병원으로 직접 문의해 주시면 조금 더 상세하게 설명해드릴 테니 편하게 문의하시길 바랍니다. ^^
하단 링크에서 [가격표 이미지로 보기]를 클릭 ✔
─
주의할 점은 없나요?
레이저를 이용한 시술로 통증과 출혈을 최소화하였으나, 개인에 따라 당일 약간의 출혈과 통증, 붓기 등이 드물게 있을 수 있고요.
그리고 회복되기까지 약 2~3일간은 붉은 기운과 쓰라린 느낌이 있을 수 있습니다.


잇몸성형가격
식사는 시술 후 2시간 이후부터 가능한데요.
이때 일주일 정도는 잇몸에 자극이 될만한 맵고 뜨겁고, 딱딱한 음식은 되도록 삼가시고, 음주와 흡연도 삼가셔야 합니다.
그리고 양치할 때 잇몸에 자극이 가지 않도록 해주는 것이 좋습니다.
국소마취 시간을 포함해서 약 30분 정도 소요되는 간단한 시술이지만,
자칫 잇몸라인이 부자연스럽다거나, 과도한 잇몸 절제로 통증이나 불편감을 겪을 수도 있습니다.
따라서 꼼꼼한 진단과 상담을 통해 해당 치료가 적합한지 확인해야 하고요.
시술은 섬세한 술기와 심미적인 테크닉을 갖춘 의료진에게 받는 것이 만족도를 높이는 방법입니다.
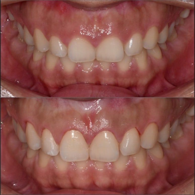
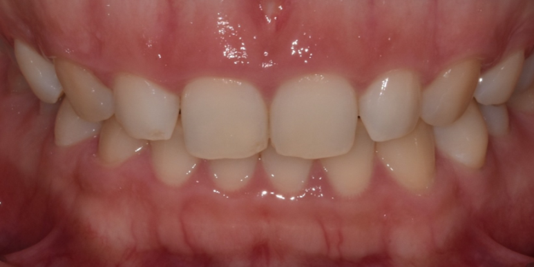
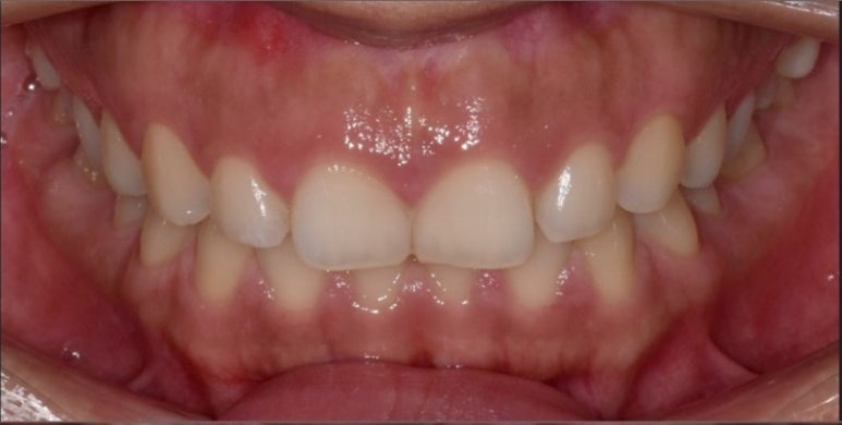
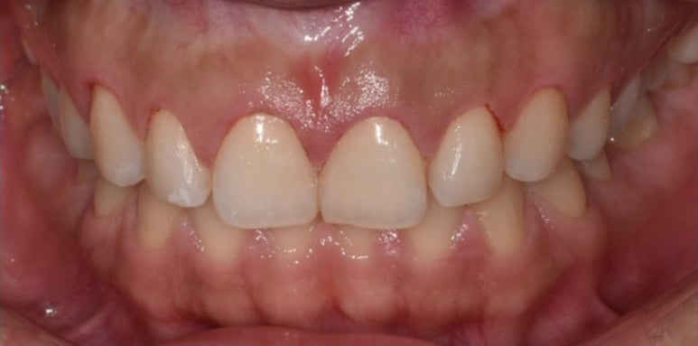
| 사례 1. |


23세 여성
(전) 2022-02-14, (후) 2022-02-28
환자분 표기한 치아 쪽 잇몸이 유독 많이 내려와 좌우 대칭이 맞지 않아 내원해 주셨습니다.
잇몸성형을 통해 최대한 주변 치아와 잇몸 높이를 맞추는 것에 주안점을 두고 시술해 드렸고요.
결과적으로 덮여있던 치아가 드러나면서 좌우 대칭이 어느정도 비슷해진 것을 보실 수 있습니다.
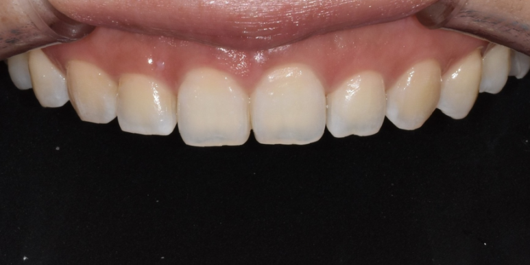
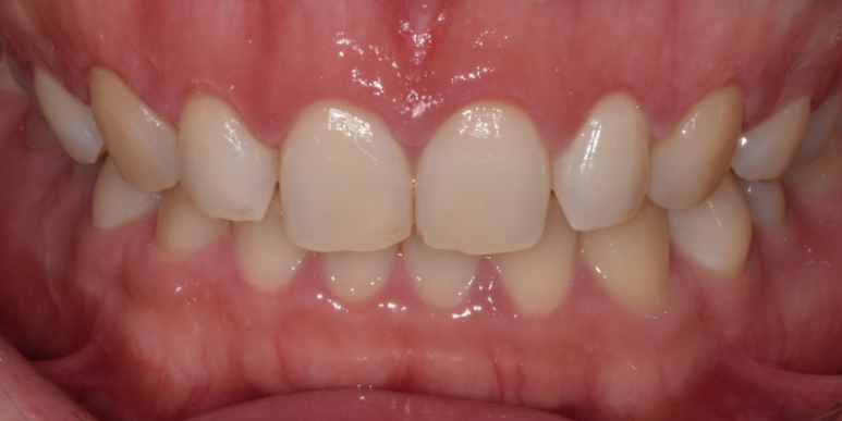
| 사례 2. |


39세 여성
(전) 2022-04-21, (후) 2022-05-10
평소 평평한 잇몸라인으로 치아가 네모처럼 보이는 것이 불만이셨던 분입니다.
대문니 양옆 치아의 높이는 대문니와 유사하게 올려드렸고요.
평평한 라인은 최대한 라운드 형태로 시술하여 전체적인 잇몸라인을 둥글고 고르게 만들어드렸습니다.
어떠신가요. 치아가 이전보다 훨씬 더 가지런하고 시원해 보이죠?
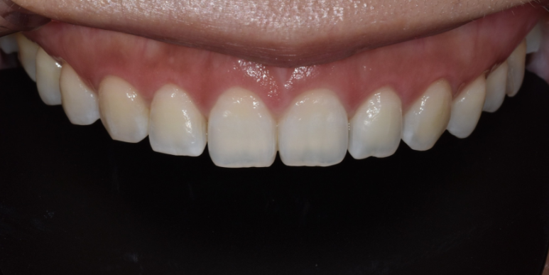
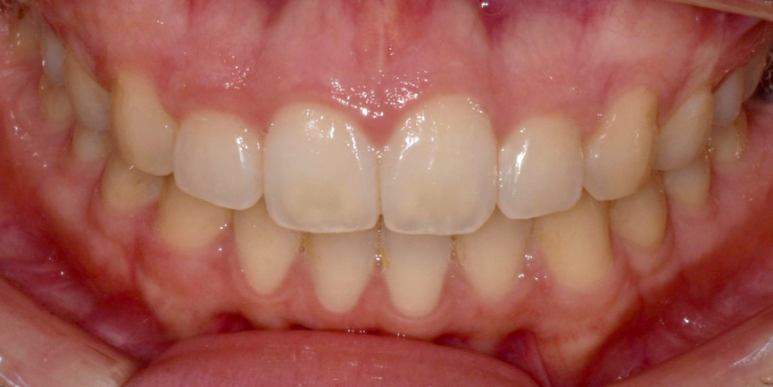
| 사례 3. |


24세 여성
(전) 2022-06-11, (후) 2022-06-25
이 환자분 역시 잇몸라인이 평평하고 이로 인해 치아가 네모나게 보이는 것이 고민이 되어 내원해 주셨습니다.
전체적으로 잇몸라인을 라운드 형태로 다듬어서 이전보다 치아가 더 드러날 수 있도록 시술해 드렸는데요.
사진에서 보시기에도 훨씬 더 시원한 느낌이 들죠?
특히 웃거나 말씀하실 때 잇몸이 많이 보이는 부분이 개선되면서 환자분의 만족도가 높았던 사례입니다. ^^
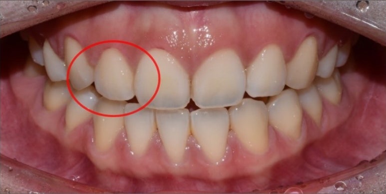
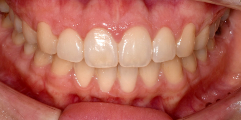
| 사례 4. |


29세 여성
(전) 2022-07-25, (후) 2022-08-05
고르지 않은 잇몸라인, 대문니 옆 치아가 잇몸에 덮여 작아 보이는 것이 고민이셨던 분입니다.
시술 전 사진을 보시면, 대문니 라인도 형태가 고르지 않고 전체적으로 라인이 흐릿한 느낌이 있는 것을 확인할 수 있습니다.
그래서 대문니 잇몸라인도 조금 더 둥글게 만들어드리고요. 이에 맞게 주변 치아 잇몸라인도 높이를 맞춘 후 라운드 형태로 다듬어드렸습니다.
시술 후 사진을 보시면 전체적으로 잇몸라인이 보다 또렷하고, 유사한 높이로 둥글게 다듬어진 것을 확인할 수 있는데요.
웃을 때 이전보다 잇몸이 덜 보이고, 치아가 시원하게 드러나서 만족스럽다며 좋아하시던 모습이 생각납니다.
| 사례 5. |


웃거나 말할 때 잇몸이 전체적으로 많이 보이는 것이 스트레스라며 내원하신 분입니다.
치아도 잇몸이 많이 내려와 있어서 작고 가로로 넓어 보이는 느낌이 있었는데요.
시술 후 전체적인 잇몸라인이 위로 많이 올라가면서 치아도 길쭉하고 둥글게 개선되었고,
특히 웃을 때 잇몸이 많이 부각되던 부분이 개선되면서 이전보다 시원한 미소를 되찾으실 수 있었습니다. ^^
외모만큼이나 '미소'는 사람의 이미지를 결정하는 매우 중요한 요소 중 하나입니다.
실제 외모는 조금 평범한데 웃었을 때 매력적이고 호감 가는 사람들을 보면 틀린 말은 아닌데요.

잇몸성형가격
이처럼 외모를 뛰어넘어 상대를 기분 좋게 만드는 아름다운 미소의 조건은 무엇일까요?
절대적인 기준은 없지만, 가지런하면서 하얗고 깨끗한 치아, 자연스럽게 드러나는 연분홍빛 잇몸일 것입니다.
물론 저마다 고유의 개성과 매력이 있지만, 이를 더욱 빛나게 할 미소는 저는 치아 건강과 자신감에서 만들어진다고 생각하고 있습니다.
그러니 혼자 고민하지 마시고, 올바른 상담과 치료를 통해 건강하고 환한 웃음을 되찾으시길 바랍니다.
감사합니다 ^^
< 잇몸절제술 자주 묻는 질문 정리 >
< 이전 치료 사례 >
< 저희 의료진의 의학적 철학이 담긴 글입니다 >
| 환자를 돌려보내는 치과가 있다? 디데이치과 네이버 예약 ✔ |
| 서울 디데이치과 진료 문의 |
|---|
| 대표전화 : 02-568-2877 (바로가기) 네이버 톡톡 문의 (바로 가기) |
▲ 모바일에서 전화 버튼을 누르시면 병원으로 연결됩니다 ▲

| 본 게시물은 의료광고법 제56조 1항을 준수하여, 의료 정보 제공 및 병원 홍보를 목적으로 디데이치과의원에서 직접 작성하였습니다. 다만, 블로그에서 제공해 드리는 정보는 참조용으로만 활용하시고, 정확한 개인의 증상 파악은 의료기관에 직접 내방하시어 의료진을 통해 확인하실 것을 권유 드립니다. 치과에서 진행되는 잇몸성형(치은절제술)을 포함한 모든 시술 및 수술은 개인에 따라 부작용 (염증, 출혈, 부기, 신경 손상 등) 가능성이 있습니다. 따라서 사전에 의료진과 충분한 상담을 통해 결정하시길 바랍니다. 게시물의 치료 사진은 실제 본원에서 모든 치료 과정을 마친 환자분의 동의하에 촬영되었습니다. 전후 사진은 동일인이며, 동일 조건하에 촬영되었음을 밝힙니다. |