안녕하세요. 디데이치과 대표원장 김무진입니다.
저와 오태훈 원장님은 과잉진료하지 않고, 자연치아를 최대한 살리는 것에 진심인 치과의사들로,
임플란트도 꼭 필요한 경우에만 권해드리고 있고요. 라미네이트와 같은 심미치료도 무삭제, 최소삭제 시술만을 지향하고 있습니다. ^^
아마 제 글을 보신다면, 더 이상 자연치아를 살리기 어려워 어금니를 빼고 임플란트를 심어야 한다는 이야기를 들으셨을 것으로 생각됩니다.
"어금니 뽑고 곧바로 임플란트 심을 수 있나요?
아니면 조금 기다렸다가
아물고 하는 것이 더 좋은지 궁금합니다.."
"제가 임플란트를 할 여건이 안 돼서 그런데..
어금니 발치후 임플란트 기간은
최대 며칠까지 미룰 수 있을까요?"
임플란트를 바로 하는 것이 좋은지, 아니면 조금 기다렸다가 하는 것이 좋은지, 기간은 언제까지 미룰 수 있는지 등등....
시술 시기와 기간에 대해 많이들 궁금해하시는데요.
일단 결론부터 말씀드린다면, 발치후 임플란트 기간은 최대한 빨리하는 것이 좋지만, 이는 상황에 따라 다릅니다.
그 이유는 지금부터 제가 찬찬히 설명해 드릴테니 끝까지 집중해서 읽어보시길 바랍니다. ^^

저희 치과가 강남 테헤란로에 위치하고 있다 보니 점심시간이나 근무시간에 짬을 내서 내원해 주시는 직장인 분들이 많습니다.
사실 이런 분들은 대체로 병원에 오시면 임플란트를 빨리하고 싶어 하시는데요.
아무래도 이가 빠진 상태로 있으면 보기에도 안 좋고, 식사를 할 때도 불편하기 때문입니다.
저희도 환자분들의 불편함을 잘 알고 있기에, 빠른 시일안에 치료를 마칠 수 있도록 도와드리고 싶지만....
빨리하는 게 더 좋은 경우도 있지만, 기다렸다가 하는 게 더 좋은 경우도 있습니다.
상황에 따라 임플란트를 심어야 하는 적정 시기가 다르기 때문인데요.
따라서 의료진의 꼼꼼한 진단과 상담을 통해 '나는 언제 하는 것이 좋을지' 확인하는 것이 중요합니다.

치과의사 입장에서는 사실 치료를 빨리하는 것도 좋지만, 잘 치료받아서 별 탈 없이 내 치아처럼 오래 쓰는 것이 훨씬 더 중요하다고 생각하고 있습니다.
그렇기에 담당 의사선생님에게 여러분이 원하는 방향을 충분히 말씀하시고, 잘 상의하셔서 치료 계획을 조율해나가시길 바랍니다.
─
발치후 임플란트 기간 및 시기는
왜 사람마다 다를까요?
일단 사람마다 다른 이유는 크게 2가지입니다.
바로 1) 발치하는 치아의 위치, 2) 발치하는 이유에 따라 달라지는데요.
먼저 아래 사진 속 치아 모형을 보시면, 작은 어금니는 치아 뿌리가 임플란트의 크기와 비슷한 것을 확인하실 수 있을 것입니다. (앞니 포함)
그래서 작은 어금니는 주변 잇몸뼈가 손상되지 않았다면 치아를 뽑고 바로 임플란트를 심을 수 있습니다.

하지만 큰 어금니 같은 경우는 뿌리가 임플란트보다 훨씬 크죠?
그래서 보통 큰 어금니를 뺀 자리는 당일에 임플란트를 심기 어려운 경우가 더 많습니다.
그리고 또 발치하는 이유에 따라 달라질 수 있다고 말씀드렸는데요.
우리가 이를 뺀 자리의 잇몸뼈에 임플란트를 심게 되는데, 이때 잇몸뼈의 상태가 좋아야지만 임플란트를 바로 심을 수 있습니다.
만일 잇몸뼈에 약간의 손상만 있거나 충치나 치아 등이 부러져서 발치하는 경우라면,
치아 주변 잇몸뼈는 괜찮은 상태인 경우가 많아서 바로 임플란트를 심는 것을 고려해 볼 수 있습니다.

하지만 치주염(풍치)이나 치아 뿌리 쪽의 심한 염증으로 발치하는 경우라면,
치아를 뽑고 나서도 치아 주변이나 잇몸뼈에 있는 염증이 가라앉아 완전히 나은 다음에 임플란트를 심어야 합니다.
염증이 있는 살은 흐물흐물해서 봉합하더라도 찢어지거나 풀어지기 쉽기 때문입니다.
그리고 생각보다 뼈의 손실이 많은 경우라면,
뼈가 부족한 부분에 "치조골 이식'이라고 해서 인공뼈를 이식해 준 다음에 임플란트를 심게 되는데요.
이때 살이 좀 단단하게 아물어야 그 안에 인공뼈를 안정적으로 이식할 수 있기 때문에, 살이 잘 아물 수 있도록 몇 개월간 기다려야 합니다.

통상적으로 잇몸이 아물기까지는 약 한 달의 기간이 필요하고요.
만일 잇몸병이 심하다면, 2~3개월 정도의 기간이 필요할 수 있습니다.
이는 개인차가 있을 수 있으며, 결론적으로 잇몸이 잘 아문 다음에 임플란트 시술을 하는 것이 좋습니다.
─
시술 미루면 안 되는 이유
임플란트를 해야 하지만 일이 있거나 바빠서 시술이 차일피일 미뤄지는 상황이 종종 발생하기도 합니다.
"올해는 바쁘니, 1년 있다 해도될까요?" 라고 물어보시기도 하고요.
우리 치아는 매일 조금씩 움직입니다.
그래서 우리가 식사를 할 때 치아들이 위아래로 잘 맞물리는 경우라면 치아들이 원래의 자리를 잘 지키고 있지만,
치아가 빠져버리면 옆에 있는 치아들이 쓰러지기도 하고요. 위아래 치아들이 빈 공간으로 움직이기도 합니다.


32세 여성 (2021-06-02)
치아 발치 후 오랜 기간 방치해서 인접 치아가 빈 공간으로 기울어진 상태
그래서 너무 오랫동안 기다렸다가 시술을 하게 되면 뼈와 잇몸은 잘 아물었을 수는 있어도
주변 치아들의 움직임 때문에 교합이 안 좋아져서 오히려 나중에 주변 치아들의 치열을 치료하거나 교정해야 하는 문제가 생길 수 있습니다.
그렇기에 발치후 임플란트 기간은 잇몸뼈에 문제가 없다면, 최대한 빨리하는 것이 좋습니다.
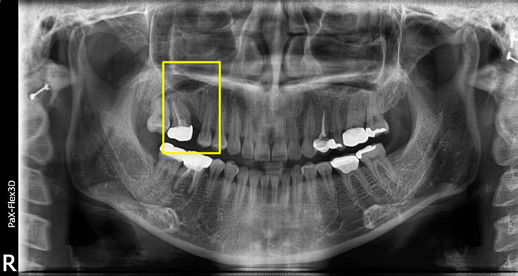
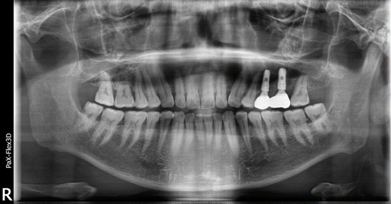
| 심각한 염증으로 발치후 임플란트 한 치료 사례 |


49세 남성
(전) 2021-12-28, (후) 2022-08-06
상기 환자분도 위 어금니 통증이 너무 심해서 내원하신 분으로, 파노라마 촬영상 치아 뿌리 끝에 심각한 염증이 관찰되었습니다.
또한 염증으로 인해 치아가 흔들리고 있던 상황이었기 때문에 발치 후 임플란트 시술을 고려할 수밖에 없었는데요.
특히 심한 염증으로 인한 치근낭(치아뿌리 끝에 물혹이 생긴 질환)이 관찰되어, 발치하면서 치근낭적출술도 함께 시행하였습니다.
치근낭은 대부분 증상이 없지만 낭종이 커지면서 부종이 생길 수 있고, 잇몸뼈가 녹아 치아가 흔들리게 할 수 있습니다.
그래서 환자분 케이스는 발치 후 즉시 식립이 어려워서 당일 뼈이식만 진행하고, 3개월 후 지연 식립을 진행하게 되었습니다.
염증이 워낙 심했던 케이스라 최종 보철물을 올리기까지 약 8개월 정도가 소요되었는데요.
이처럼 심각한 염증은 발치후 임플란트 기간을 지연시킬 수 있습니다. 그러니 미리미리 치과에 내원하셔서 정기검진받으시길 바랍니다.

어떠셨나요. 오늘 제 글이 조금이나마 도움이 되셨나요?
제가 이 글을 통해서 말씀드리고 싶은 것은 증상이 더 악화되기 전에 치료 적기를 놓치지 마셔야 한다는 것입니다.
아래 함께 보시면 도움이 될 글을 공유해 드리겠습니다. 함께 읽어보시고 필요한 정보만 쏙쏙 뽑아가시길 바랍니다.
감사합니다. ^^
< 임플란트 정보와 치료 사례 >
| 환자를 돌려보내는 치과가 있다?디데이치과 네이버 예약 ✔ |
| 서울 디데이치과 진료 문의 |
|---|
| 대표전화 : 02-568-2877 (바로가기)네이버 톡톡 문의 (바로 가기) |
▲ 모바일에서 전화 버튼을 누르시면 병원으로 연결됩니다 ▲

| 본 게시물은 의료광고법 제56조 1항을 준수하여, 의료 정보 제공 및 병원 홍보를 목적으로 디데이치과의원에서 직접 작성하였습니다.다만, 블로그에서 제공해 드리는 정보는 참조용으로만 활용하시고, 정확한 개인의 증상 파악은 의료기관에 직접 내방하시어 의료진을 통해 확인하실 것을 권유 드립니다.치과에서 진행되는 모든 시술 및 수술(임플란트 포함)은 개인에 따라 부작용 (염증, 출혈, 부기, 감염, 신경 손상, 마비 등) 가능성이 있습니다. 따라서 사전에 의료진과 충분한 상담을 통해 결정하시길 바랍니다.게시물의 치료 사진은 실제 본원에서 모든 치료 과정을 마친 환자분의 동의하에 촬영되었습니다. 전후 사진은 동일인이며, 동일 조건하에 촬영되었음을 밝힙니다. |