반갑습니다. 디데이치과 오태훈 대표원장입니다.
당장 좋아지는 것뿐만 아니라, 건강한 치아로 남은 삶의 질을 높여드리는 것을 목표로
환자분들께 꼭 필요한 치료만 권해드리고 싶은 치과의사입니다. ^^
오늘은 라미네이트색상, 모양 후회 안 하는 방법에 대한 이야기를 해드리려고 하는데요.
사실 환자분들이 라미네이트를 하시려는 이유가 치아 모양을 좀 더 가지런하고 예쁘게 만들고 싶기 때문이기도 하지만,
누런 치아색을 영구미백한 것과 같이 밝게 개선하고 싶어서 하시려는 분들도 정말 많습니다.
아마 이 글을 보시는 분들도 가지런하고 환한 치아로 거듭나기 위해 라미네이트를 고민하고 있으실 텐데요.
저희 디데이가 치과 심미치료도 많이 하고 있다 보니, 내원하시기 전 저희 치과를 찾아보시는 분들이 많으십니다.
그래서 오시기 전 환자분들이 많이 궁금해하시는 부분을 풀어드리고자, 저와 김무진 원장님이 꾸준히 글을 작성하고 있는데요.
그간 블로그에 라미네이트 가격, 부작용, 주의사항 등에 관한 내용은 꾸준히 업로드했던 것 같은데...
색상에 관한 이야기는 드린 적이 없었더라고요.
사실 최종적인 시술 만족도와 이미지를 결정하는 만큼, 라미네이트색상 선택은 신중하게 진행돼야 하는데요.

'미리 확인하고 진행하는 거니까 별문제 없겠지..'라고 생각하실 수도 있겠지만,
보철물 색상을 그냥 봤을 때의 느낌과 내 치아에 부착한 이후의 느낌은 차이가 있을 수 있습니다.
피부색이라던가 입술의 두께 치아의 위치 등의 여러 가지 변수들이 있기 때문입니다.
그렇기에 최종 부착한 모습을 고려해서 색상을 선택하는 단계에서 전문가인 의료진과 충분히 상의해 보고 결정하시는 것이 중요한데요.
그럼 현직 의사로서 치료 전 어떤 부분을 고려해야 할지 알려드리도록 하겠습니다.
─
라미네이트색상
무조건 하얀 게 좋은 걸까?
과거 라미네이트는 과하게 하얀 색상이 유행이었습니다.
일부 연예인분들을 보면 잘 아시겠지만, 어딘가 모르게 부자연스럽고 인위적인 느낌이 있죠.
누가 봐도 아 저거 라미네이트구나... 싶은 느낌 같은 거요.
그래서 지금은 인위적이지 않은 자연스러운 느낌을 원해하시는 분들도 많아지고 있는데요.
이건 치아뿐 아니라 요즘 성형 트렌드가 그렇게 흘러가고 있습니다.
과거엔 뾰족한 턱, 과도한 볼륨이 대세였다면, 지금은 한 듯 안 한듯... 자연스러운 아름다움을 추구하는 것처럼 말이죠.
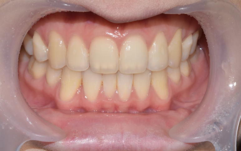
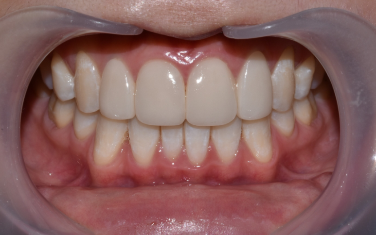
| 자연스러운 느낌의 색상 선택 |


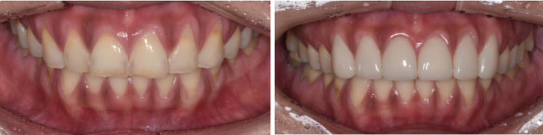
22세 여성
(전) 2022-01-05. (후) 2022-01-17
치아 미백도 함께 진행하신 사례


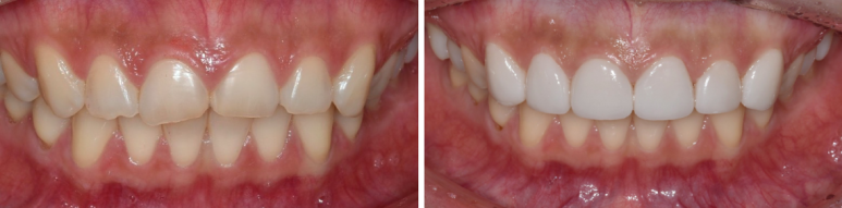
22세 여성
(전) 2022-07-26, (후) 2022-08-06
원래 치아색상과 유사하게 해달라고 요청하셨던 사례

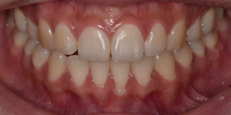
35세 여성
(전) 2022-05-07, (후) 2022-06-03
이질감이 없는 수준으로 조금 더 밝게 제작
예쁜 치아모양을 위해 잇몸성형도 함께 진행
하지만 그럼에도 개인에 따라 선호하는 치료 방향은 모두 다를 수 있습니다.
"저는 시술한 티 안 나게 제 치아처럼 자연스러웠으면 좋겠어요"라고 말씀하시는 분도 있으시지만,
"그간 누렁니가 스트레스였으니, 남은 생은 연예인처럼 흰 치아로 살아보고 싶어요"라며
티가 나도 좋으니 밝게 해달라고 말씀하시는 분도 있으시기 때문인데요.
사실 1~2개의 치아를 시술하는 것이라면, 인접한 다른 치아와 어우러질 수 있도록 비슷한 색상을 맞추는 것이 일반적입니다.
하지만 4개, 6개 이상 들어가게 되면 원래 가지고 있던 치아보다 훨씬 밝고 환한 색상을 선호하시는 경향이 강해지는 것 같습니다.
─
라미네이트색상
어떻게 결정해야 후회 없을까?
보통 환자분들이 제게 말씀하실 때는 "지금보다 훨씬 더 환하게 해주세요, 하얗게 해주세요"라고 하십니다.
개인의 선호도가 모두 다르기 때문에 환자분들이 말씀하시는 하얗고 밝은 정도가 어느 정도인지는 감을 잡기 어려울 때가 종종 있습니다.

흔히 여성분들 립스틱 구매하실 때 하늘 아래 같은 핑크는 없다고 말씀하시잖아요.
그리고 같은 핑크 계열이어도 웜톤, 쿨톤에 따라 어울리는 색상이 미묘하게 다르다고 하고요.
섬세하고 미적인? 성향 탓인지... 저는 남자임에도 충분히 공감하는 말인데요.
실제 치아색상도 그러하기 때문입니다.
그래서 어떤 분들은 다른 사람의 전후 사진을 제게 보여주시면서 이런 느낌이었으면 좋겠다고 하시는데요.
개인의 특성에 따라 똑같이 해드릴 순 없더라도 어떤 느낌을 원하시는지는 감은 잡을 수 있기 때문에
사진을 보여주신다면, 의사선생님들이 어느정도 참고는 해보실 수 있을 것 같습니다.

치과에서는 치아색상을 체크하는 견본(Shade guide)이 있어서 환자분의 치아에 대보면서 색상을 결정하는데요.
이때 저는 색상이 한두 톤 정도 더 밝아서 자연치아와 잘 어우러지면서도 은은하게 환한 느낌을 선호하는 편입니다.
그리고 환자분의 구강상태와 웃었을 때의 모습, 전체적인 이미지 등을 고려해서 가장 잘 어울리는 모양과 색상을 제안해 드리고 있습니다.
그래서 치과의사인 제가 봐도 괜찮으면서, 환자분이 어떤 라미네이트색상을 원하는지 잘 확인하기 위해 치료 전 꼼꼼한 진단과 상담도 도와드리고 있는데요.
환자분에게 해가 될 수 있는 무리한 시술은 권해드리지도, 해드리지도 않고 있지만...
사실 색상 같은 부분은 최대한 환자분들이 원하시는 방향으로 진행해 드리려고 하고 있습니다.
전문가의 심미적인 만족도도 중요하지만, 결론적으론 환자분 본인의 만족도가 훨씬 더 중요하다고 생각하기 때문입니다.

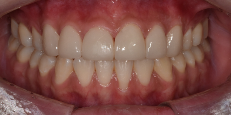
29세 여성
(전) 2022-04-19, (후) 2022-05-09
환자분의 요청으로 보철 색상을 밝게 해드리고,
원래 가지고 있으신 치아 느낌을 살려 동글동글하게 제작
그러니 여러분도 담당 선생님께 여러분이 원하시는 방향을 분명하게 전달하고, 충분히 조율하고 확인하는 것이 결과 만족도를 높이는 방법임을 잊지 마셨으면 합니다.
아래 함께 보시면 도움이 될 핵심 칼럼들을 공유해두겠습니다.
참고해보시고, 필요한 정보만 쏙쏙 뽑아가시길 바랍니다.
지금까지 디데이치과 대표원장 오태훈이었습니다. 감사합니다. ^^
< 꼭 함께 보셔야하는 글 >
| 환자를 돌려보내는 치과가 있다?디데이치과 네이버 예약 ✔ |
| 저희 디데이치과는양질의 의료 서비스를 제공해드리기 위해월 신규 환자 인원을 제한하고 있습니다.간혹 예약 대기가 발생할 수 있음을 양해 부탁드리며,예약 후 내원하셔서 "블로그 보고 왔어요"라고말씀해 주시면, 보다 빠른 진료를 도와드리겠습니다. |
| 서울 디데이치과 진료 문의 |
|---|
| 진료 문의 : 02-568-2877 (바로가기)네이버 톡톡 문의 (바로 가기) |
▲ 모바일에서 전화 버튼을 누르시면 병원으로 연결됩니다 ▲

| 본 게시물은 의료광고법 제56조 1항을 준수하여, 의료 정보 제공 및 병원 홍보를 목적으로 디데이치과의원에서 직접 작성하였습니다.다만, 블로그에서 제공해 드리는 정보는 참조용으로만 활용하시고, 정확한 개인의 증상 파악은 의료기관에 직접 내방하시어 의료진을 통해 확인하실 것을 권유 드립니다.치과에서 진행되는 모든 시술 및 수술은 개인에 따라 부작용 (염증, 출혈, 부기, 신경 손상 등) 가능성이 있습니다. 따라서 사전에 의료진과 충분한 상담을 통해 결정하시길 바랍니다.라미네이트 시술은 치아의 표면을 일부 삭제하고, 보철물을 부착하는 치료로 보철물 탈락 및 치아손상 가능성이 있으며, 반영구적인 치료법입니다.게시물의 치료 사진은 실제 본원에서 모든 치료 과정을 마친 환자분의 동의하에 촬영되었습니다. 전후 사진은 동일인이며, 동일 조건하에 촬영되었음을 밝힙니다. |