안녕하세요. 디데이치과 대표원장 김무진입니다.
-
의료진의 세밀한 진단과 상담
-
과잉진료 없이 꼭 필요한 치료
-
통증을 최소화한 꼼꼼한 진료
이 3가지 신념을 되새기며, 내 가족을 치료한다는 마음으로 진심을 다하고 있는 치과의사입니다. ^^
아마 오늘 제 글을 보신다면, 임플란트 치료를 앞둔 분이시거나 그 가족분이실 것 같습니다.
고령자임플란트는 보험이 된다고 하던데 비용은 얼마 정도 부담하면 되는지.. 몇 개까지 보장이 되는지 등등.. 상세한 내용이 궁금하실 텐데요.
임플란트라는 시술이 처음 우리나라에 도입될 당시만 하더라도 상당히 고가의 의료시술이라, 환자분들의 부담이 컸었던 것이 사실입니다.
그리고 불과 몇 년 전만 하더라도 임플란트 가격은 120~150만 원부터 시작했었죠.
하지만 최근엔 이에 절반 수준의 비용으로 치료를 받을 수 있게 되었습니다.
이와 더불어 만 65세 이상인 분들은 평생 2개까지 건강보험 적용(본인 부담금 30%)을 받아보실 수 있게 되었고요.
다시 말해 임플란트 시술비가 약 100만원이라고 가정하면, 환자는 30만원만 부담하면 되는 것입니다.

하지만 치아 개수에 따라 수십에서 수백만 원까지도 치료 비용이 발생할 수 있는 만큼,
여전히 환자분들께 임플란트가 부담이 되는 치료인 것은 분명합니다.
특히 어르신들의 주머니 사정을 고려한다면 더욱 부담이 크고 마음이 무거우셨을 텐데요.
퇴직 후 경제적인 상황, 그리고 자녀분들에게 짐이 되고 싶지 않은 마음 등....
고령자임플란트 치료를 앞둔 분들의 고민을 충분히 이해하고 있습니다.
그래서 오늘은 제가 치과의사로서 환자분들이 궁금해하실 고령자임플란트 보험 관련 정보 및 주의사항, 저희 병원 치료 사례를 소개해드리려고 하는데요.
쉽게 설명해 드릴 테니 끝까지 읽어보시고, 치료받으실 때 적절한 혜택 받아보시길 바랍니다.
─
만 65세 노인, 고령자임플란트
건강보험 적용 주요 내용
| 1 | 적용 대상 | 만 65세 이상 부분 무치악 환자(완전 무치악 제외)** 완전 무치악이란, 위 또는 아래 잇몸에 올라온 치아가 하나도 없는 상태입니다. |
|---|---|---|
| 2 | 적용 개수 | 평생 2개 |
| 3 | 적용 부위 | 아래턱/위턱 구분 없이 앞니, 어금니 모두 적용 |
| 4 | 사후 점검 기간 | 보철 후 3개월 이내(이후에는 보험 적용되지 않습니다) |
| 5 | 본인 부담률 | 환자 본인 부담률 30%임플란트 시술 중 발치, 신경치료 등의 진료비와 선택진료의 경우 진료비는 별도 |
물론 여기에 치아질환이 있는 노인분들은 보장범위가 훨씬 더 확대되는데요.
만성질환자는 본인 부담금이 20%, 희귀난치성 질환자는 본인 부담금이 10%로 기존보다 내려가는 것입니다.
다만, 이 같은 혜택을 받으려면 치과의사를 통해 희귀난치성 질환과 만성질환을 진단을 받은 다음 진행돼야 합니다.

─
만 65세 노인, 고령자임플란트
자주 묻는 질문
Q. 치과 임플란트 보철재료를 금으로 하는 경우에도 보험이 될까요?
A. 아닙니다. 보철재료를 금(메탈, 지르코니아, PFG 등)으로 시술할 경우엔 보험 적용이 되지 않습니다.
Q. 임플란트를 위해 골이식술(뼈이식) 등의 부가 수술은 보험이 되나요?
A. 아닙니다. 부가 수술은 보험 적용이 되지 않습니다.
Q. 부분틀니 환자도 보험 적용을 받을 수 있나요?
A. 네, 보험 적용된 부분틀니 환자도 임플란트 보험 적용을 받을 수 있습니다.
Q. 개인 사보험 혜택을 받을 수 있나요?
A. 개인적으로 가입하신 사보험은 가입된 약관에 따라 보장되는 범위와 내용이 달라서 확인 필요합니다.
이 부분은 미리 확인해오시면 시술 전 꼼꼼하게 체크한 후 필요한 혜택을 받으실 수 있도록 안내해 드리겠습니다.
─
치과 선정 시 주의할 점
만일 여러분과 가족분이 건강보험으로 치과임플란트 보험급여 대상 적용을 받기 위해선, 시술을 담당할 치과에 등록을 해야 합니다.
그런데 치과에 한번 등록을 하고 나면, (해당 치과에 문제가 있지 않는 한) 개인 사유나 단순 변심으로 치과를 옮기거나 취소를 할 수 없습니다.
예를 들어 여러분이 집에서 가까운 A 치과병원에 건강보험 치과임플란트 대상자로 등록했는데,
이후 타 지역으로 이사를 가게 되어 거리가 멀어지더라도 A 치과병원에서 치료를 마쳐야 하는 거죠.

따라서 임플란트 보험 혜택을 받기 위해 치과에 대상자 등록을 하실 때는 이사 계획이나 여러 상황들을 충분히 고려해 보신 다음 신중하게 진행하셔야 하는데요.
한번 등록하고 나면 이후 다른 곳으로 바꿀 수 없는 만큼,
처음에 잘 알아보시고 끝까지 치료를 맡길 수 있는 괜찮은 치과를 선택하시는 것이 좋겠죠?
이에 관해 3가지 확인해야 할 사항이 담긴 글을 공유해 드릴 테니, 참고해 보시길 바랍니다.
< 치과 잘 선택하는 방법 >
| 보험 임플란트 치료 사례 |



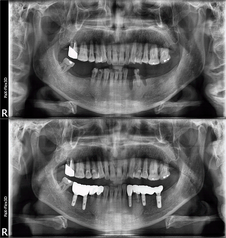
69세 남성
(전) 2021-11-05, (후) 2022-08-26
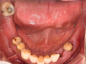
상기 환자분 오른쪽 아래 # 46, 47 어금니 2개 보험임플란트와 나머지 치아도 함께 치료받으신 사례입니다.
보험임플란트는 잇몸뼈가 충분하여 별도의 뼈이식술 없이 진행하였고요.
그 외 # 33 치아 임플란트를 식립하고, 그 옆에 # 34 치아는 크라운 씌워서 마무리했습니다.
그리고 # 35, 37에 임플란트 식립하고, 가운데 # 36 자리는 임플란트 폰틱(아래 사진 참고)이라 하여 브릿지와 같이 중간을 연결하는 가짜 치아로 시술해 드렸습니다.

전후 사진을 보시면 상당 부분 비어있던 치아들이 메워져 음식 섭취는 물론이고 심미적인 측면으로도 훨씬 개선된 모습을 확인하실 수 있습니다. ^^
오늘 제 글만으론 여러분의 궁금증이 충분히 풀리지 않으셨을 것입니다.
블로그 글을 보시고 궁금하신 점이 있다면 언제든 저희 디데이치과로 문의하셔도 좋습니다.
저와 오태훈 원장님을 포함한 저희 치료진들이 친절하게 응대해 드리도록 하겠습니다.
감사합니다. ^^
< 치과의사가 추천하는 글 >
| 꼭 필요한 치료만 정직하게 권하는 곳디데이치과 네이버 예약 ✔ |
| 저희 디데이치과는양질의 의료 서비스를 제공해드리기 위해월 신규 환자 인원을 제한하고 있습니다.간혹 예약 대기가 발생할 수 있음을 양해 부탁드리며,예약 후 내원하셔서 "블로그 보고 왔어요"라고말씀해 주시면, 보다 빠른 진료를 도와드리겠습니다. |
| 서울 디데이치과 진료 문의 |
|---|
| 대표전화 : 02-568-2877 (바로가기)네이버 톡톡 문의 (바로 가기) |
▲ 모바일에서 전화 버튼을 누르시면 병원으로 연결됩니다 ▲

| 본 게시물은 의료광고법 제56조 1항을 준수하여, 의료 정보 제공 및 병원 홍보를 목적으로 디데이치과의원에서 직접 작성하였습니다.다만, 블로그에서 제공해 드리는 정보는 참조용으로만 활용하시고, 정확한 개인의 증상 파악은 의료기관에 직접 내방하시어 의료진을 통해 확인하실 것을 권유 드립니다.치과에서 진행되는 모든 시술 및 수술(임플란트 포함)은 개인에 따라 부작용 (염증, 출혈, 부기, 감염, 신경 손상, 마비 등) 가능성이 있습니다. 따라서 사전에 의료진과 충분한 상담을 통해 결정하시길 바랍니다.게시물의 치료 사진은 실제 본원에서 모든 치료 과정을 마친 환자분의 동의하에 촬영되었습니다. 전후 사진은 동일인이며, 동일 조건하에 촬영되었음을 밝힙니다. |