반갑습니다. 디데이치과 대표원장 오태훈입니다.
저희 치과에서 진료받으신 분들이 10년, 20년이 지나도 "디데이치과에서 치료받길 잘했다"라고 말씀하실 수 있도록,
당장 좋아지는 것뿐만 아니라, 건강한 치아로 남은 삶의 질을 높여드리는 것을 목표로 김 원장님과 매 순간 최선을 다하고 있습니다. ^^


"저희 아버지가 작은 어금니에
크라운 치료를 받으셔야 하는데
재료 종류가 엄청 다양하더라고요.
금보다는 치아색처럼 자연스러운 걸로 하고 싶은데
올세라믹 지르코니아 차이가 궁금합니다.
둘 중 어떤 게 좋을까요?"
"치과에서 지르코니아를 더 추천하시던데
그 이유가 무엇인가요?"
올세라믹, 지르코니아는 치아색과 비슷하기 때문에 환자분들이 많이 선호하시고, 치과에서도 많이 사용하는 보철물입니다.
하지만 치아색과 유사한 보철이면서 각각의 장점이 있다 보니 어떤 것을 선택해야 할지 고민이 많으셨을 텐데요.


사실 둘 중 어떤 게 더 좋은지 보다는 심미적인 요구도, 음식물을 씹는 힘(강도) 등 부위에 따라 적절한 보철물을 사용하게 됩니다.
일반적으로 투명도나 심미적인 측면은 올세라믹이 조금 더 낫고요. 강도 면에서는 지르코니아가 더 낫다고 할 수 있습니다.
그렇다면 지금부터 제가 여러분이 더 이해하시기 쉽게 각 보철의 특징과 치료 사례, 그리고 올세라믹 지르코니아는 어느 부위에 추천해 드리는지 설명해 드리도록 하겠습니다.
─
심미적으로 우수한 올세라믹
올세라믹은 크기와 부위에 따라 40~70만 원 정도입니다.
불과 10~20년 전만 해도 심미치과치료라고 하면 올세라믹이 대세였지만, 지금은 지르코니아에 밀려 사용량이 줄어들고 있는 추세인데요.
하지만 지금도 앞니 심미치료에서만큼은 올세라믹을 많이 사용하고 있습니다.

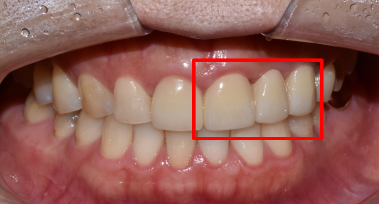
12 라미네이트, # 11, 21, 22 올세라믹크라운
올세라믹은 빛의 투과도가 뛰어나서 심미적으로 자연스러운 치아를 만드는 데 유용한데요.
다만, 치아에 부착시키는 과정이 조금 까다롭고, 속에서 혹시 변색이 일어나면 색을 차단하지 못해서 비춰 보이는 한계가 있습니다.
그래서 인레이, 라미네이트와 같은 분야에서 많이 사용합니다.
충치가 너무 심하면 크라운을 씌워야 하지만, 충치가 심하지 않다면 부분적으로 올세라믹으로 만든 세라믹 인레이로 치료할 수 있는데요.
즉 부분적인 특수치료는 올세라믹이 유용하게 활용되는 거죠.
| 앞니 라미네이트 + 올세라믹 치료 사례 |


27세 여성
(전) 2022-05-06, (후) 2022-06-02
12 라미네이트, # 11, 21, 22 올세라믹크라운 진행
위 환자분은 한국에 거주하시는 프랑스인으로 기존 # 11, 21, 22 치아에 신경치료하신 상태였으며,
치아에 레진으로 메꿔진 부분이 많아 # 12 치아를 제외하고는 라미네이트를 진행하기 어려워 올세라믹 크라운을 진행하게 되었습니다.
사진에서 보시는 것처럼 기존 치아와 자연스럽게 어우러지는 것을 확인하실 수 있습니다.
─
단단한 지르코니아
지르코니아 가격은 앞니, 어금니에 따라 50만 원에서 70만 원 정도입니다.
최근 많은 치과 선생님들이 지르코니아를 선호하시는 이유는 인조 다이아몬드라고 불릴 만큼,
강도도 강하지만 무른 성질이 있어서 다른 세라믹들과 비교했을 때 깨질 우려가 적기 때문입니다.
또한 치아가 서로 맞물려 부딪혔을 때 마모도 상대적으로 적습니다.
이전만 하더라도 지르코니아가 반투명하고 색상이 약간 탁했었는데요.
최근에는 지르코니아도 반투명해지면서 빛의 투과도라던가 색상 같은 게 이전보다는 자연치아와 유사한 느낌이 나기도 합니다.

지르코니아 크라운 브릿지
그리고 지르코니아 크라운은 치아에 접착하는 과정이 비교적 단순한 편입니다.
하지만 금속은 아니기 때문에 지르코니아가 얇게 제작되면 깨질 우려가 있습니다.
따라서 정해진 수치만큼 치아삭제를 해줘서 깨지지 않게 제작돼야 합니다.
| 앞니 지르코니아 크라운 치료 사례 |


33세 여성
(전) 2022-06-29, (후) 2022-08-19
환자분 이전 사진 보시면 다른 치과에서 받으신 크라운이 오래된 데다 잇몸이 퇴축되면서 기존 크라운과 유격이 생겨 부자연스러운 모습이 있습니다.
그리고 크라운 안쪽으로 충치까지 발견돼서 이를 치료하면서 크라운 보철도 함께 교체하였습니다.
앞에서도 말씀드렸듯 보통 앞니에는 심미적인 만족도를 위해 올세라믹 크라운을 많이 진행하지만,
환자분은 이미 신경치료를 진행하신 상태였기에 보다 단단한 재료인 지르코니아 크라운이 적합하다고 판단하여 지르코니아로 진행하게 되었는데요.
기존 크라운 중 대문니 2개가 다른 치아보다 너무 길게 내려와 있어서 길이를 조금 더 짧게 제작하여 자연스러운 라인을 만들어드렸습니다.

어떠셨나요?
올세라믹지르코니아의 차이에 대해 조금은 이해가 되셨는지요.
재료의 특성상 어금니에는 지르코니아나 골드 크라운, 앞니 쪽에는 올세라믹과 지르코니아를 많이 추천해 드리고 있지만,
정해진 것은 아니기 때문에 이는 의사의 의학적 판단과 선호도, 환자분의 상황과 선호도에 따라 달라질 수 있습니다.
따라서 의사와 충분한 상담을 통해 여러분의 선호도에 따라 맞는 재료를 비교해 보시고 선택하시는 것이 가장 좋습니다.
아래 추천해 드린 글을 함께 읽어보시고 궁금하신 점이 있거나, 상담이 필요하시다면 병원으로 문의해 주시길 바랍니다.
저희 의료진과 치료진들이 친절하게 설명해 드리겠습니다. ^^
감사합니다!
< 함께 보시면 좋은 글 >
< 저희 의료진의 진료철학이 담긴 글입니다 >
| 환자를 돌려보내는 치과가 있다?디데이치과 네이버 예약 ✔ |
| 서울 디데이치과 진료 문의 |
|---|
| 대표전화 : 02-568-2877 (바로가기)네이버 톡톡 문의 (바로 가기) |
▲ 모바일에서 전화 버튼을 누르시면 병원으로 연결됩니다 ▲

| 본 게시물은 의료광고법 제56조 1항을 준수하여, 의료 정보 제공 및 병원 홍보를 목적으로 디데이치과의원에서 직접 작성하였습니다.다만, 블로그에서 제공해 드리는 정보는 참조용으로만 활용하시고, 정확한 개인의 증상 파악은 의료기관에 직접 내방하시어 의료진을 통해 확인하실 것을 권유 드립니다.치과에서 진행되는 모든 시술 및 수술은 개인에 따라 부작용 (염증, 출혈, 부기, 신경 손상 등) 가능성이 있습니다. 따라서 사전에 의료진과 충분한 상담을 통해 결정하시길 바랍니다.게시물의 치료 사진은 실제 본원에서 모든 치료 과정을 마친 환자분의 동의하에 촬영되었습니다. 전후 사진은 동일인이며, 동일 조건하에 촬영되었음을 밝힙니다. |