역삼역 치과, 어디를 가야 좋을지... 여기저기 검색해 보다가 제 블로그까지 방문하셨을 것 같습니다.
그렇다면 아주 잘 오셨습니다. ^^
내게 꼭 맞는 치료를 받기 위해 치과는 어떻게 알아보고 선택해야 하는지, 지금부터 제가 그 방법을 알려드리도록 하겠습니다.
안녕하세요. 인사가 늦었습니다.
안 아픈 치료, 정직한 치료를 목표로 역삼동에서 치과를 운영하고 있는 김무진 원장입니다. ^^
오태훈 원장님과 함께 낮에는 저희 환자분들을 성심껏 진료해 드리고 있고요.
밤에는 이렇게 블로그에 의학적 정보나 좋은 치과에 대한 제 고찰이 담긴 글을 쓰고 있습니다.
글을 잘 쓰는 편이 아닌데도 저희 글이 도움이 되었다며 멀리서 고마움을 표현하시거나 신뢰를 느껴 직접 찾아오시는 분들께는 항상 감사한 마음입니다.
물론 이렇게 찾아오신 분들이라도 진정한 믿음을 드리기 위해선 더 많이 노력해야 함을 잘 알고 있습니다.
그렇기에 내 가족을 치료한다는 마음으로 제가 직접 상담부터 진료, 사후관리까지 책임지고 성심을 다하고자 노력하고 있습니다. ^^

오늘은 역삼역 주변 치과를 알아보시는 분들이 제 글을 보실 것 같은데요.
비용도 합리적이고 치료도 잘하는 역삼역 치과를 찾고 싶어서 정보를 검색해 본 것인데...
치과도 너무 많고, 여러 정보를 보고 나니 오히려 더 결정이 어려워지진 않으셨나요?
사실 어떤 치과에 가야 좋을지에 대해선 모범답안은 있을 수 있어도 정답은 없는 것 같습니다.
저마다 선호하는 의사의 모습 그리고 좋은 치과의 기준은 다를 수 있기 때문입니다.

그래서 오랜 시간 내 치아 건강을 맡길 수 있을 좋은 역삼역 치과를 선택하고자 하신다면,
저는 1가지 방법을 추천해 드리고 싶은데요.
그건 바로 여러 치과에서 검진받아보시고 여러분과 잘 맞는 치과를 선택하는 것입니다.
직접 부딪혀보는 것보다 더 좋은 방법은 없기 때문입니다. ^^
담당 원장님이 직접 내 치아 상태를 꼼꼼하게 검진해 주는지, 내게 적합한 관리와 치료 방향을 잘 설명해 주는지, 편안한 분위기에서 진료를 받을 수 있는지 등을 확인해 보시고
가장 믿음이 가는 치과를 선택하세요.
조금만 대화를 나눠봐도 신뢰할 수 있는 곳인지, 아닌지, 나와 잘 맞는 곳인지는 분명 느낌이 오실 것입니다.

예를 들면 충치가 있는 환자를 보면서도 원장님마다 제안하는 치료가 조금씩 다를 수 있습니다.
이는 충치를 바라보는 관점과 치료 선호도가 다르기 때문입니다.
어떤 원장님은 예방적인 치료를 중요하게 생각해서 치료를 권하실 수도 있고요.
어떤 원장님은 꼭 필요한 단계가 됐을 때 치료해야 한다고 생각해서 지켜보자고 할 수도 있습니다.
그래서 내가 원하는 치료 방향, 상황과 결이 맞는 곳이 나와 잘 맞는 치과라 할 수 있을 것입니다.


저 같은 경우는 전반적인 구강건강 상태와 관리능력, 평소 식생활습관, 나이 등을 고려해서 환자분의 상황에 맞게 제안해 드리고 있지만...
어찌 됐든 치료 시기에 대한 관점이 다른 것이지 누가 옳고 그르다를 논할 수 없는 부분입니다.
물론 치아를 살리기보다는 돈 되는 임플란트를 강권하는 분들도 간혹 있으시겠지만....
이런 상업적인 곳은 환자분들도 현장에서 느끼십니다. 뭔가 미심쩍고 찜찜하거든요.
그래서 이때는 성급하게 치료를 진행하실 게 아니라, 다른 치과에도 가보셔서 다른 원장님의 조언도 들어보는 것이 좋습니다.
제가 이렇게 말씀드리면 '굳이 그렇게까지 해야 할까, 좀 번거로운데...'라는 생각이 드실 텐데요.
치과의사 생활을 하면서 그간 치료받아도 밤새 통증에 시달리고, 제대로 먹지도 마시지도 못하며, 치아까지 빠져 불편해하시는 분들을 많이 봬왔습니다.



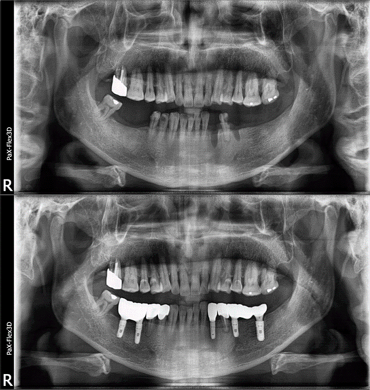
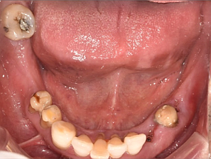
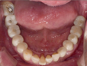
68세 남성
(전) 2021-11-05, (후) 2022-08-26
임플란트/크라운 시술 후
음식 섭취뿐만 아니라, 심미적인 개선으로
삶의 질이 높아진 환자분의 사례
치과에서 어떤 치료와 관리를 받는지에 따라 남은 삶의 질이 크게 달라질 수 있음을 절실히 느끼며
적어도 이 글을 보시는 분들이 이 같은 불편한 상황과 마주하시는 일은 없으셨으면.. 하는 마음뿐입니다.
역삼역 치과, 신뢰할 수 있는 곳을 한번 잘 고르고 나면 원장님이 관두시지 않는 한 여러 병원을 전전하지 않아도 되고요.
내 가족의 치아도 믿고 맡길 수 있기 때문에 장기적으로 참 편한 부분이 많습니다.

그러니 제가 아래 공유해 드린 글을 읽어보시고, 여러분과 잘 맞는 곳을 선택하셔서 검진과 치료 잘 받으시고, 건강하고 환한 미소를 되찾으시길 바랍니다. ^^
긴 글 읽어주셔서 감사합니다. 지금까지 디데이치과 대표원장 김무진이었습니다.
< 역삼역 치과 추천 칼럼 >
< 기억에 남는 치료 사례 >
| 환자를 돌려보내는 치과가 있다?디데이치과 네이버 예약 ✔ |
| 저희 디데이치과는양질의 의료 서비스를 제공해드리기 위해월 신규 환자 인원을 제한하고 있습니다.간혹 예약 대기가 발생할 수 있음을 양해 부탁드리며,예약 후 내원하셔서 "블로그 보고 왔어요"라고말씀해 주시면, 보다 빠른 진료를 도와드리겠습니다. |
| 서울 디데이치과 진료 문의 |
|---|
| 대표전화 : 02-568-2877 (바로가기)네이버 톡톡 문의 (바로 가기) |
▲ 모바일에서 전화 버튼을 누르시면 병원으로 연결됩니다 ▲

| 본 게시물은 의료광고법 제56조 1항을 준수하여, 의료 정보 제공 및 병원 홍보를 목적으로 디데이치과의원에서 직접 작성하였습니다.다만, 블로그에서 제공해 드리는 정보는 참조용으로만 활용하시고, 정확한 개인의 증상 파악은 의료기관에 직접 내방하시어 의료진을 통해 확인하실 것을 권유 드립니다.치과에서 진행되는 모든 시술 및 수술은 개인에 따라 부작용 (염증, 출혈, 부기, 신경 손상 등) 가능성이 있습니다. 따라서 사전에 의료진과 충분한 상담을 통해 결정하시길 바랍니다.게시물의 치료 사진은 실제 본원에서 모든 치료 과정을 마친 환자분의 동의하에 촬영되었습니다. 전후 사진은 동일인이며, 동일 조건하에 촬영되었음을 밝힙니다. |