"아버지가 임플란트 치료를 하셔야 하는데
상악동거상술을 해야 한다는 이야기를 들으셨대요.
그런데 검색해 보니 치과마다 금액 차이가 큰 거 같아서요.
상악동 거상술 비용은 얼마가 적정할까요?
그리고 연세도 있으신데,
통증이 심하진 않을지... 걱정됩니다.."
반갑습니다. 디데이치과 오태훈 대표원장입니다.
저희 디데이는 안 아픈 치과, 꼭 필요한 치료만 권하는 치과를 목표로,
10년, 20년 후에도 건강한 웃음을 지켜드리기 위해 대표원장 2인이 상담부터 치료, 사후관리까지 직접 담당하고 있습니다. ^^



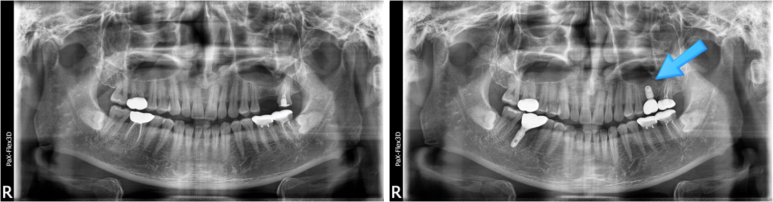
68세 남성
(전) 2021-11-05, (후) 2022-08-26
임플란트/크라운 시술 후
음식 섭취뿐만 아니라, 심미적인 개선으로
삶의 질이 높아진 환자분의 사례
아마 이 글을 보신다면, 여러분 혹은 가족이 임플란트 시술을 앞두고 뼈이식, 상악동거상술을 권유받으셨을 것으로 생각됩니다.
상악동거상술은 위턱에 진행하는 잇몸 뼈이식으로 특히 위쪽 어금니는 해당 수술을 진행할 가능성이 큽니다.
안 그래도 무섭고 부담스러운 임플란트 시술... 뼈이식까지 해야 한다는 이야기에 상악동거상술 비용부터 통증까지 걱정이 많으셨을 텐데요.
상악동거상술이 정확하게 무엇인지... 상세한 정보가 궁금하신 분들은 제가 지난번에 작성한 글을 참고해 보시길 바랍니다.
하지만 이미 여러 정보를 통해 어떤 수술인지 알아보신 분들이라면 오늘 이 글만 보셔도 좋습니다.
먼저 여러분이 궁금해하실 비용에 관한 이야기부터 드린다면, 상악동 거상술 비용은 적게는 50만 원에서부터 100만 원대 정도입니다.
이는 2가지 방식 중 어떤 방식으로 진행되는지에 따라 비용이 다를 수 있는데요. 이 방식은 뼈이식 양에 따라 달라질 수 있습니다.
그렇다면 지금부터 상악동거상술은 어떤 경우에 해야 하고, 어떤 방법이 있는지 간단하게 소개해 드리도록 하겠습니다.
─
상악동거상술이 필요한 이유
자연치아를 소실하거나 살리기 어려우면 임플란트 시술을 해야 하는데요.
이때 씹을 때 힘을 많이 받는 어금니는 임플란트를 심을 때 흔들리지 않도록 튼튼하게 심는 것이 매우 중요합니다.
하지만 이를 위해선 임플란트를 지지하고 꽉 잡아줄 뼈의 양과 밀도가 무엇보다 중요한데요.
만일 뼈의 양이 부족하거나 밀도가 낮다면, 인공뼈를 이식해서 보강해 줄 필요가 있습니다.
그래야지만 임플란트를 심더라도 흔들리는 부작용 없이 오랜 기간 사용할 수 있기 때문입니다.

─
아래서 접근하는 치조정 접근법
크레스탈 어프로치
뼈가 어느 정도 있어서 뼈이식 양이 적고, 이식해야 할 부위에 이상한 구조물이 없다면 '크레스탈 어프로치'로 진행됩니다.
이는 인공치아를 심으려는 위치에 드릴로 구멍을 내어 수직으로 뼈를 이식하는 방법입니다.

절개가 적어 통증이나 멍, 부기 등이 그나마 적은 편이라 할 수 있습니다.
다만 상악동 막을 직접 보면서 시술하는 것이 아니라 의사의 감각에 의존하여 시술해야 합니다. 따라서 무리해서 진행할 경우 막이 찢어질 수 있어 주의해야 합니다.
─
옆에서 접근하는 측방 접근법
라테랄 어프로치
앞서 말씀드린 크레스탈 어프로치와 달리 뼈이식 양이 많거나, 이상한 구조물이 있다면 '라테랄 어프로치'로 진행해야 합니다.
이는 옆에서 구멍을 뚫고 들어가 수평으로 뼈를 이식하는 방법입니다.


아무래도 절개 부위가 크레스탈보다는 절개 부위가 넓어서 통증과 부기, 멍이 들 가능성이 커지게 됩니다.
따라서 될 수 있으면 절개를 최소화하는 시술자의 노하우와 술기가 필요합니다.

제 경험상 수술 과정 중엔 마취가 되어있기도 하고, 이후엔 진통제를 처방해 드리고 있기 때문에 생각보다 통증이 심하지 않으셨다는 분들도 있으시고요.
통증은 없는데 잇몸뼈를 뚫고 막을 들어 올리는 과정에서 발생하는 울림이 신경 쓰이셨다는 분부터 입을 오래 벌리고 있는 게 더 힘들었다... 라고 말씀하시는 분들까지
상악동거상술 통증에 대한 환자분들의 반응은 주관적입니다.
직접 오시면 잘 설명해 드릴 수 있는데, 글로 풀어서 설명하려고 하니 내용이 어렵진 않으셨을지 걱정이 됩니다.
결론적으로 상악동거상술 비용은 어떤 방식으로 진행되는지에 따라 달라질 수 있고요.
상악동거상술 통증은 개인차가 있지만, 개인의 구강 상태(뼈이식 여부, 남아있는 뼈의 상태), 절개방법, 시술자의 노하우와 술기, 통증에 대한 민감성 등에 따라 달라질 수 있습니다.

잇몸뼈 부족으로 상악동거상술을 통한 뼈이식 진행한 환자분의 x-ray
일단 수술 자체가 난도가 매우 높고 까다로운 수술인 만큼, 수술에 대한 이해도와 경력이 충분해야 하고요.
통증을 최소화하기 위해 평소 어떠한 노력을 기울이고 있는지도 확인해 보시는 것이 좋습니다.
또한 환자 얼굴 내부의 해부학적 구조까지 파악하여 수술 계획을 세워야 하는 만큼, 정확한 검사가 가능한 첨단 장비의 역할도 매우 중요합니다.


상악동거상술 비용 가격
그러니 여러분이 염려하시는 부분들을 원장님에게 정확하게 말씀하시고, 충분히 상담받아보신 후 신중하게 결정하시길 바랍니다.
아래 임플란트 시술 전 환자분들이 꼭 알아두셔야 할 핵심사항이 담긴 글들을 공유하겠습니다.
참고해 보신다면, 충분한 도움이 되실 거라 확신합니다. ^^
긴 글 읽어주셔서 감사합니다!
< 함께 보시면 좋은 글 >
| 꼭 필요한 치료만 정직하게 권하는 곳디데이치과 네이버 예약 ✔ |
| 저희 디데이치과는양질의 의료 서비스를 제공해드리기 위해월 신규 환자 인원을 제한하고 있습니다.간혹 예약 대기가 발생할 수 있음을 양해 부탁드리며,예약 후 내원하셔서 "블로그 보고 왔어요"라고말씀해 주시면, 보다 빠른 진료를 도와드리겠습니다. |
| 서울 디데이치과 진료 문의 |
|---|
| 대표전화 : 02-568-2877 (바로가기)네이버 톡톡 문의 (바로 가기) |
▲ 모바일에서 전화 버튼을 누르시면 병원으로 연결됩니다 ▲

| 본 게시물은 의료광고법 제56조 1항을 준수하여, 의료 정보 제공 및 병원 홍보를 목적으로 디데이치과의원에서 직접 작성하였습니다.다만, 블로그에서 제공해 드리는 정보는 참조용으로만 활용하시고, 정확한 개인의 증상 파악은 의료기관에 직접 내방하시어 의료진을 통해 확인하실 것을 권유 드립니다.치과에서 진행되는 모든 시술 및 수술(임플란트 포함)은 개인에 따라 부작용 (염증, 출혈, 부기, 감염, 신경 손상, 마비 등) 가능성이 있습니다. 따라서 사전에 의료진과 충분한 상담을 통해 결정하시길 바랍니다.게시물의 치료 사진은 실제 본원에서 모든 치료 과정을 마친 환자분의 동의하에 촬영되었습니다. 전후 사진은 동일인이며, 동일 조건하에 촬영되었음을 밝힙니다. |