반갑습니다. 디데이치과 대표원장 김무진입니다.
저희 디데이치과는 보건복지부 인증 통합치의학과 전문의 2인이 '내 가족을 치료한다'라는 마음으로 진심을 다해 치료에 임하고 있습니다.
이뿐만 아니라 오 원장님과 함께 치료가 필요한 환자분들이 올바른 의학적 지식을 통해 양질의 진료를 받아보실 수 있도록,
블로그에 틈틈이 의학적 지식과 의사로서의 견해를 공유해 드리고 있습니다. ^^


아마도 치과 진료를 앞두고, 근처 괜찮은 선릉치과를 알아보시는 분들께서 제 글을 보게 되셨으리라 생각됩니다.
그래서 오늘은 선릉치과 치료받기 전에 꼭 아셔야 할 사항을 말씀드리려고 하는데요.
저마다 좋은 치과의 기준은 다를 수 있겠지만,
많은 분들이 과잉진료 하지 않으면서 기왕이면 치료비도 합리적이고, 안 아프게 잘 치료해 줄 치과를 원해하실 것입니다.
그만큼 그렇지 않은 치과들도 있기 때문이겠죠?
실제 불필요한 치료, 무리한 시/수술과 미흡한 사후관리 등을 이유로 치료 후 더 고통받는 분들을 진료실에서 뵙곤 합니다.
치과의사로서 이런 말씀을 드려야 한다는 게 씁쓸하기는 하지만, 희박하더라도 여러분도 이 같은 잘못된 사례의 주인공이 될 수 있음을 간과하지 마셔야 합니다.
그럼 잘 치료받기 위해선 치과는 어떻게 선택해야 할까요?
일단 실력 좋은 선생님을 만나야겠죠.
실력 좋은 의사는 전문성이나 경력도 물론 중요하지만, 손으로 하는 진료가 많으므로 손기술이 좋아야 합니다.
하지만 이를 미리 알 수 있는 방법은 없기 때문에 나와 비슷한 고민으로 치료받은 다른 사람의 후기를 보며 원장님의 진료방식과 해당 병원의 분위기를 살피는 것도 좋은 방법일 수 있습니다.

저는 이 글을 보시는 모든 분들이 한두 번 다니고 마는 선릉치과를 찾는다고 생각하지 않습니다.
기왕이면 앞으로 지속해서 믿고 다닐 수 있는 좋은 치과를 찾으셔야겠죠.
그래서 이런 분들께 의사로서 조언해 드리고 싶은 것은 여러 곳에서 기본 검진만 받아보시라는 것입니다.

당장 치료가 시급한 상황이 아니라면, 여러 의사를 직접 만나서 진료받아보고 결정하는 것만큼 좋은 게 없기 때문입니다.
왜 여러 곳에서 검진받아보고 선택해야 하는지, 더 상세한 이유가 담긴 글 한편을 공유해 드리겠습니다.
이 글만 확인해 보셔도 과잉진료라는 덫에서 벗어나는데 큰 도움이 되실 거라 믿습니다. ^^
< 현명한 선릉치과 선택을 위한 전문의 tip>
이어지는 글에선 저희 디데이치과의 임플란트 시술 및 심미치료(잇몸성형) 사례를 소개해드릴 테니, 참고해 보시길 바랍니다. ^^
| 65세 이상보험 임플란트 + 크라운 치료 사례 |
상기 환자분은 68세 남자분으로 임플란트 건강보험 적용 대상으로 본원에 치료를 위해 내원하셨습니다.
오른쪽 아래 어금니인 # 46, 47 어금니 2개 보험 임플란트 진행하셨고요. (사진상 왼쪽)
왼쪽 아래 치아도 상당 부분 상실하셨지만, 보철을 새로 해야 하는 상태셨기 때문에 다른 치아들까지 저희 병원에서 치료받으시기로 결정하셨습니다.




68세 남성
(전) 2021-11-05, (후) 2022-08-26
먼저 # 46, 47은 임플란트가 단단히 고정될 만큼 뼈가 충분해서 별도의 뼈이식 없이 치료를 도와드렸고요.
3개월 정도 임플란트 픽스처가 잘 고정되었는지 확인 후 최종 보철물을 올려 보험임플란트 시술을 마칠 수 있었습니다.
그리고 왼쪽 아래 비어있는 # 33 치아는 임플란트를 진행했고요. # 34 치아는 크라운을 씌워 정상적인 기능을 할 수 있도록 해드렸습니다.
또한 # 35, 37 치아에 임플란트를 식립하고, 가운데 # 36 치아 자리는 임플란트 폰틱(아래사진 참고)이라고 해서 브릿지처럼 중간을 연결하는 가짜 치아로 시술해 드렸습니다.

총 치료 기간은 약 9개월 정도가 소요되었고요.
전후 사진을 보시면 상당 부분 비어있던 공간에 치아가 생기면서 음식 섭취 등의 기능적인 측면뿐만 아니라 심미적인 측면에서도 훨씬 더 개선된 모습을 확인하실 수 있습니다. ^^
치료를 마치고 난 후 훨씬 더 건강하고 젊어 보이는 모습에 환자분뿐만 아니라 저희 치료진 모두가 만족도가 높았던 사례입니다.
< 만 65세 이상 임플란트 건강보험 주요 내용 >
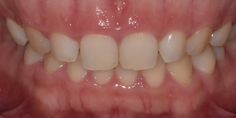
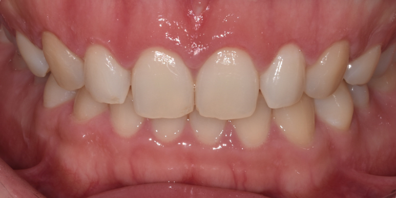
| 답답해 보이는 잇몸성형 사례 |
상기 환자분 전체적으로 잇몸라인이 평평하고, 치아가 네모나게 보이는 것이 고민이 되어 잇몸성형을 받기 위해 내원해 주셨습니다.


24세 여성
(전) 2022-06-11, (후) 2022-06-25
레이저를 이용해서 전체적으로 잇몸라인을 동그랗게 다듬어드리고 높이도 양측 균일하게 맞춰드렸습니다.
전후 사진 비교해 보시면 이전보다 치아 형태가 더 예쁘고 시원한 느낌이 드는 것을 확인하실 수 있는데요.
실제 웃거나 말씀하실 때 잇몸이 많이 보이는 것도 고민이셨는데, 이 부분도 개선되어 환자분도 많이 흡족해하셨습니다. ^^

선릉치과
레이저를 이용한 잇몸성형 시술시간은 국소마취 시간을 포함해서 약 30분 정도이며,
레이저로 섬세하게 시술해 드리고 있어 통증과 출혈을 최소화하고 있지만, 개인에 따라 당일 약간의 출혈과 통증, 붓기 등이 있을 수 있고요.
회복되기까지 약 2~3일간은 붉은 기운과 쓰라인 느낌이 있을 수 있습니다.
< 더 많은 잇몸성형 사례 보러 가기 >
저희 디데이치과는 일반치료(충치·신경·보철·치주·사랑니)뿐만 아니라, 임플란트(네비게이션·보험)시술, 심미치료(라미네이트·잇몸&치아성형·치아미백)를 꼼꼼하게 도와드리고 있습니다.
제 블로그의 글을 충분히 확인해 보시고 기타 궁금하신 점이 있거나 상담을 원하신다면, 병원으로 편하게 문의하시길 바랍니다.
부족함이 없도록 성심성의껏 응대해드리겠습니다. ^^
지금까지 디데이치과 대표원장 김무진이었습니다. 감사합니다!
< 디데이가 처음이신 분들을 위한 글 >
| 꼭 필요한 치료만 정직하게 권하는 곳디데이치과 네이버 예약 ✔ |
| 저희 디데이치과는양질의 의료 서비스를 제공해드리기 위해월 신규 환자 인원을 제한하고 있습니다.간혹 예약 대기가 발생할 수 있음을 양해 부탁드리며,예약 후 내원하셔서 "블로그 보고 왔어요"라고말씀해 주시면, 보다 빠른 진료를 도와드리겠습니다. |
| 서울 디데이치과 진료 문의 |
|---|
| 대표전화 : 02-568-2877 (바로가기)네이버 톡톡 문의 (바로 가기) |
▲ 모바일에서 전화 버튼을 누르시면 병원으로 연결됩니다 ▲

| 본 게시물은 의료광고법 제56조 1항을 준수하여, 의료 정보 제공 및 병원 홍보를 목적으로 디데이치과의원에서 직접 작성하였습니다.다만, 블로그에서 제공해 드리는 정보는 참조용으로만 활용하시고, 정확한 개인의 증상 파악은 의료기관에 직접 내방하시어 의료진을 통해 확인하실 것을 권유 드립니다.치과에서 진행되는 모든 시술 및 수술(임플란트 포함)은 개인에 따라 부작용 (염증, 출혈, 부기, 신경 손상 등) 가능성이 있습니다. 따라서 사전에 의료진과 충분한 상담을 통해 결정하시길 바랍니다.게시물의 치료 사진은 실제 본원에서 모든 치료 과정을 마친 환자분의 동의하에 촬영되었습니다. 전후 사진은 동일인이며, 동일 조건하에 촬영되었음을 밝힙니다. |