반갑습니다. 디데이치과 대표원장 오태훈입니다.
"그 치과.. 하나도 안 아프고, 꼭 필요한 치료만 해줘서 좋았다"
저희 디데이를 다녀가신 모든 분들이 이렇게 말씀하시며 만족해하실 수 있도록, 김무진 원장님과 최선을 다하고 있습니다. ^^
"어머니가 임플란트 시술을 앞두고 있는데
연세도 있으시고
당뇨, 고혈압도 있으셔서 걱정이 됩니다.
알아보니 무절개 임플란트가 있다고 하는데..
정말 그게 가능한가요?"
"3D임플란트가 통증이 덜하다고 하는데
비용이 많이 비쌀까요?"
이 글을 보고 있으시다면 임플란트 수술을 앞둔 분으로 위와 같은 고민을 하고 있으실 것으로 생각됩니다.
우리가 알고 있는 대중적인 임플란트 수술은 살을 째고 꿰매면서 출혈과 감염, 통증을 동반하고 있다 보니 걱정이 크셨을 텐데요.
사실 진료실에서 환자분들께 여쭤보면 "생각보다 아프지 않았다, 받을만했다"라고 말씀하시는 분들도 많지만...
어찌 됐든 치과라는 자체에서 오는 두려움, 긴장감 때문에 시술 전부터 걱정이 많으신 것 같습니다.
물론 저와 김 원장님도 이러한 환자분들의 두려움과 걱정을 모르는 것은 아니기에
어떻게 하면 환자분들이 아프지 않고 편안하게 진료받으실 수 있을지... 에 대한 고민이 컸던 것도 사실입니다.
이러한 이유로 3D, 디지털, 무절개 임플란트로도 잘 알려진 '네비게이션 임플란트'를 통해 부담을 덜어드리고자 했는데요.
이는 디지털 장비를 이용해서 모의 수술을 거쳐 절개를 하지 않고도 안전하고 정교한 수술을 도모하는 것입니다.

그렇다면 비용이 비싸지 않을지... 걱정도 되실 텐데요.
재료에 따라 편차가 크지만, 평균적인 임플란트 비용이 약 50만 원에서 80만 원 정도라고 한다면, 3D임플란트는 여기에 약 10만 원 정도의 비용이 더 추가된다고 생각하시면 됩니다.
이는 치과마다 다를 수 있으므로 해당 병원에 직접 문의하시는 것이 가장 정확하고요.
저희 디데이에서는 환자분들의 수고를 덜어드리기 위해 네이버에 비급여 진료비를 공개하고 있으니, 궁금하신 분들은 참고해 보셔도 좋을 것 같습니다. ^^
하단 링크에서 [가격표 이미지로 보기]를 클릭✔

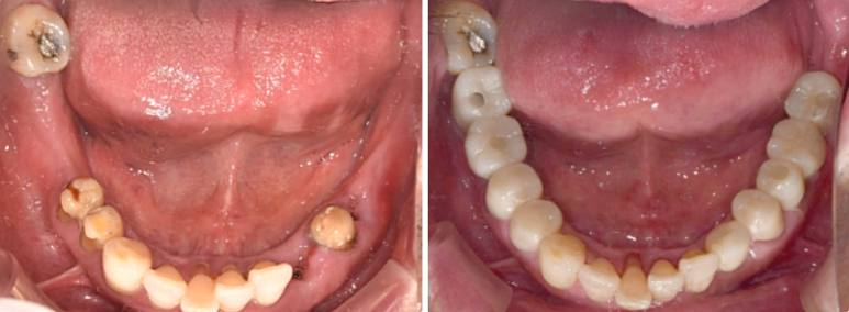
68세 남성 (보험 임플란트 포함)
(전) 2021-11-05, (후) 2022-08-26
임플란트/크라운 시술 후
음식 섭취뿐만 아니라, 심미적인 개선으로
삶의 질이 높아진 환자분의 사례
아마도 치아 하나만 심는 상황이라면 큰 부담은 아닐 수 있겠지만,
여러 개의 치아를 심어야 하는 상황이라면 당연히 비용적인 부담이 클 수밖에 없을 것입니다.
그렇기에 해당 시술로부터 여러분이 얻을 수 있는 이점을 잘 따져보고, 상황에 적합한 치료법을 선택하는 것이 가장 좋은데요.
이어지는 글에선 디지털 임플란트는 무엇인지, 어떻게 진행되는지, 주의사항은 없는지...
환자분들이 많이 궁금해하시는 내용들을 정리해서 설명해 드릴 테니, 2분만 집중해서 읽어봐주시길 바랍니다. ^^
Q.
3D임플란트가 뭔가요?
이전 방식은 잇몸을 절개해서 잇몸뼈와 임플란트를 심을 위치를 직접 확인했었다면,
디지털 임플란트는 3D CT를 통해 미리 확인하여 모의수술 후 절개 없이 진행하는 방식입니다.

기존 방식이 의료진의 기술과 감각에 의지하는 부분이 많았다면, 네비게이션은 여러 변수를 예측하고 통제하므로 수술 예후 편차가 적어 치료 성공률과 안정성을 높였다는 이점이 있습니다.
하지만 현장에선 뭐니 뭐니 해도 긴 치료 기간, 통증과 출혈에 대한 부담이 줄었다는 것이 환자분들에겐 큰 장점으로 다가오는 것 같은데요.
그래서 연세가 많거나 고혈압, 당뇨 등 전신질환을 앓고 있거나, 치아를 많이 상실하여 출혈에 부담이 있던 분들에겐 좋은 선택지가 될 수 있습니다.
Q.
3D임플란트 어떻게 진행되나요?
기본적인 과정을 말씀드리면, 우선 3D CT를 이용해서 얼굴 전체를 파노라마로 촬영하여 피부 내부 신경의 위치를 파악합니다.


그리고 3D 구강 스캐너를 이용해서 구강 구조 및 뼈의 양, 신경과 혈관 위치까지 구강 내부를 3차원으로 스캔하여 개인의 입체 구강 지도를 만듭니다.
그래서 이 입체 구강 지도를 가지고, 컴퓨터로 모의 수술을 진행할 수 있는데요. 이를 통해 임플란트를 심을 최적의 위치를 파악하고 설정하는 거죠.
그리고 이 계획대로 오차 없이 수술할 수 있도록 환자 맞춤형 가이드를 제작합니다.
이는 사진에서와같이 개인의 잇몸에 딱 맞게 제작되며 임플란트를 심을 위치에 구멍이 뚫려있습니다.
이는 정확한 위치와 방향, 깊이 등이 계산되고 반영된 가이드입니다.


임플란트를 계획한 위치에 정확하게 심은 후 잇몸과 인공치근이 잘 유착되면, 이후 보철물을 씌우게 됩니다.
이때 임플란트가 아무리 잘 심어졌더라도 보철물을 어떻게 씌우는지에 따라 치아 맞물림(교합)의 결과가 달라질 수 있습니다.
그렇기에 0.01mm의 오차 없이 위아래 치아가 정확하게 맞물릴 수 있도록 3D 교합 맞춤 장치를 이용해서 정밀하게 분석하는 과정도 필요합니다.
Q.
3D임플란트 주의할 점은 없을까요?
수술 계획 단계에서부터 임플란트의 식립 위치와 깊이, 각도 등의 여러 가지 요소를 미리 계산하고 진행된다는 점,
그리고 절개 과정이 빠지면서 잇몸 손상도 적고 감염 우려가 적다는 점 때문에 치료 성공률이 올라간 것은 사실입니다.
하지만 모든 디지털 임플란트가 성공을 의미하는 것은 아닙니다.
디지털화된 과정을 통해 기존 시술의 단점을 극복한 것은 맞지만,
이를 다루고 시술하는 의료진의 장비에 대한 이해도, 경험, 노하우, 섬세한 술기 등에 따라 치료 결과는 달라질 수 있기 때문입니다.
또한 수술 후 환자의 기본 상태와 사후관리에 따라서도 유지 기간 등 만족도가 달라질 수 있습니다.


어떤 방식이든 간에 실력을 갖춘 의료진을 만나 사후관리를 잘 하신다면, 분명 좋은 결과를 기대할 수 있습니다.
그러니 숙련된 의사 선생님과 충분히 상담하셔서 여러분의 상황에 합리적이고 적합한 치료를 선택하셨으면 좋겠습니다.
아래 여러분이 함께 보시면 좋은 글을 공유하겠습니다.
함께 읽어보시고, 유익한 정보 얻으시어 올바른 치료 받으시는 데 도움이 되셨으면 합니다. ^^
< 치과 전문의 추천 칼럼 >
| 꼭 필요한 치료만 정직하게 권하는 곳디데이치과 네이버 예약 ✔ |
| 저희 디데이치과는양질의 의료 서비스를 제공해드리기 위해월 신규 환자 인원을 제한하고 있습니다.간혹 예약 대기가 발생할 수 있음을 양해 부탁드리며,예약 후 내원하셔서 "블로그 보고 왔어요"라고말씀해 주시면, 보다 빠른 진료를 도와드리겠습니다. |
| 서울 디데이치과 진료 문의 |
|---|
| 대표전화 : 02-568-2877 (바로가기)네이버 톡톡 문의 (바로 가기) |
▲ 모바일에서 전화 버튼을 누르시면 병원으로 연결됩니다 ▲

| 본 게시물은 의료광고법 제56조 1항을 준수하여, 의료 정보 제공 및 병원 홍보를 목적으로 디데이치과의원에서 직접 작성하였습니다.다만, 블로그에서 제공해 드리는 정보는 참조용으로만 활용하시고, 정확한 개인의 증상 파악은 의료기관에 직접 내방하시어 의료진을 통해 확인하실 것을 권유 드립니다.치과에서 진행되는 모든 시술 및 수술(임플란트 포함)은 개인에 따라 부작용 (염증, 출혈, 부기, 감염, 신경 손상, 마비 등) 가능성이 있습니다. 따라서 사전에 의료진과 충분한 상담을 통해 결정하시길 바랍니다.게시물의 치료 사진은 실제 본원에서 모든 치료 과정을 마친 환자분의 동의하에 촬영되었습니다. 전후 사진은 동일인이며, 동일 조건하에 촬영되었음을 밝힙니다. |