“치아 모양이 마음에 안 들어서 라미네이트를 하고싶은데
TV에서 본 연예인 치아처럼 삭제량이 많을까봐 걱정돼요…
무삭제나 최소삭제라미네이트도 가능하다는데
저도 할 수 있을까요?”
반갑습니다. 디데이치과 대표원장 김무진입니다 ^^
저희 디데이치과는 심미적인 면은 물론, 기능적인 면까지 다각도로 고려한 치료를 통해
환자의 삶의 질을 높이는 것을 목표로
보건복지부 인증 통합치의학과 전문의인 대표원장 2인이 직접 치료계획 수립, 치료, 사후관리까지 담당하고 있습니다 ^^
아마 이 글을 보신다면 라미네이트 시 치아삭제량에 대한 부담때문에
무삭제라미네이트 혹은 최소삭제라미네이트도 가능하다는 말을 듣고 여기저기 알아보고자 검색하고 계실 것 같은데요.
그래서 오늘은 실제로 무삭제라미네이트 시술하신 환자분들의 케이스와 함께
어떤 경우에 가능한지도 함께 말씀드리도록 하겠습니다.
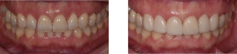
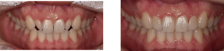
| 디데이치과 치료 전후 사진 |

29세 여성
(전) 2022-08-02, (후) 2022-08-11

20세 여성
(전) 2022-08-04, (후) 2022-08-12

38세 여성
(전) 2022-07-13, (후) 2022-07-19
─
무삭제라미네이트란?
무삭제라미네이트에 대해 설명드리기 전에 우선 라미네이트 시술에 대해 먼저 말씀을 드려야 할 것 같은데요.
저는 이렇게 설명해드리고 싶습니다.
우리 여성분들께서 흔히 손톱에 붙이시는 인조손톱을 생각하시면 편합니다.
저희 디데이치과 치위생사 선생님들께 여쭤보니 인조손톱을 붙이기 전에 손톱 표면을 약간 다듬고 붙인다고 하더라고요.
라미네이트가 인조손톱과 유사합니다.
얇은 세라믹 재질로 만들어진 라미네이트 보철물을 환자분의 자연치아 위에 부착하는 방식으로 시술이 이루어지는데요.
이 과정에서 치아 모양을 다듬거나 할 때 약간의 치아 삭제가 이루어질 수 있습니다.
손톱 표면을 다듬는 것 처럼요.
라미네이트는 앞니가 벌어지거나 깨지는 등 심미적인 측면에서 보완이 필요할 경우
빠르고 편리한 치료가 가능하다는 장점이 있습니다.
또한 앞니 모양이 불만인 경우 교정과 같은 장기간 치료가 필요할 수 있으나
라미네이트를 통해 개선이 가능한 케이스도 있어 치료 기간을 단축할 수도 있습니다.
흔히 라미네이트하면 떠올리시는 장면들이 있죠.
연예인분께서 라미네이트 보철물을 제거하니 치아 삭제가 많이 되어 소량의 치아만 남아있는 그 장면...
아마 이런 장면들을 많이들 보셨기 때문에 라미네이트하면 치아삭제량에 대해 걱정하고 고민하시는 것 같습니다.
요즘은 의학기술도 많이 발전했고, 의사들의 시술 능력도 따라서 많이 진보했기 때문에
거의 삭제량이 없이도 라미네이트 시술이 가능합니다.
하지만 하고싶다고 누구나 무삭제라미네이트가 가능할까요?
삭제량이 거의 없이 진행하는 라미네이트이다 보니 시술 대상이 제한적일수밖에 없는데요.
저희 디데이치과에 라미네이트 시술 문의가 들어올 때마다 듣는 질문이라 오늘 이 기회를 빌어서 이 글을 보시는 여러분들께도 알려드리려고 합니다.
─
무삭제/최소삭제라미네이트
가능한 경우
우선 치아배열이 고르신 분들이라면 무삭제라미네이트를 고려해볼 수 있습니다.
교정을 이미 끝내셨거나, 선천적으로 치아 배열이 고르시다면 치아를 고르게 맞추기 위한 치아 삭제량이 거의 없이 무삭제라미네이트를 진행할 수 있는거죠.
치아가 삐뚤빼뚤한 정도가 경미하거나, 다른 치아보다 크기가 비교적 작은 왜소치가 있는 경우에도
무삭제라미네이트를 적용해볼 수 있습니다.

왜소치라미네이트 진행
20세 여성
(전) 2022-08-04 (후) 2022-08-12
말씀드렸듯이 무삭제라미네이트의 경우 적용 가능 대상이 제한적이기 때문에
꼭 치과에 방문하셔서 전문의와의 상담을 받으신 후 본인이 무삭제라미네이트 시술 대상에 해당하는지 확인하시는 것이 가장 정확합니다.
내가 교정을 했다고 해서, 혹은 왜소치라고 해서 무조건 시술이 가능한 것이 아닐뿐더러...
치과의사 역시도 환자분을 직접 보지 않는 이상 특정 시술이 가능한지 아닌지 진단을 내릴 수 없기 때문입니다.
따라서 번거로우시더라도 삭제량이 걱정되신다면
반드시 여러 치과에 직접 방문하셔서 시술을 담당하실 원장님과 상담을 통해 치료 계획을 수립하고 최종적인 시술 여부도 결정하시기를 바랍니다.
라미네이트는 오남용되지 않는다면 개인의 오랜 컴플렉스를 단기간에 해소할 수 있도록 도와주는 좋은 시술입니다.
개인적으로는 무분별한 시술로 인해 라미네이트에 대한 좋지 않은 인식이 생긴 것이 안타까운 마음입니다.
치아는 한 번 깎아내면 돌이킬 수 없기 때문에
자연치아의 손상을 최소화하고 건강하면서도 자연스럽고 예쁘게, 오래 잘 사용하는 것이 가장 합리적이고 좋은 치료라고 생각합니다.
그래서 가능하다면 무삭제/최소삭제라미네이트로 진행하시는 것이 좋을텐데요.
저희 디데이치과에서는 환자분의 자연 치아를 최대한 살리면서 치아 삭제량 최소화를 지향하는 라미네이트 시술을 시행하고 있습니다.
고민할 시간에 더 빨리 시술했으면 좋았을걸…
환자분들의 후회(?)섞인 후기들을 보면 뿌듯하기도 하고 환자분의 삶의 질을 높이는데 기여한 것 같아 자랑스럽기도 합니다.
라미네이트 시술을 고민하고 계신 분들께 오늘 글이 많은 도움이 되었기를 바라며, 함께 읽어보시면 좋은 글들을 남겨드립니다.
긴 글 읽어주셔서 감사합니다!
< 라미네이트 치료 사례와 핵심 정보 >
| 꼭 필요한 치료만 정직하게 권합니다디데이치과 네이버 예약 ✔ |
| 서울 디데이치과 진료 문의 |
|---|
| 대표전화 : 02-568-2877 (바로가기)네이버 톡톡 문의 (바로 가기) |
▲ 모바일에서 전화 버튼을 누르시면 병원으로 연결됩니다 ▲

| 본 게시물은 의료광고법 제56조 1항을 준수하여, 의료 정보 제공 및 병원 홍보를 목적으로 디데이치과의원에서 직접 작성하였습니다.다만, 블로그에서 제공해 드리는 정보는 참조용으로만 활용하시고, 정확한 개인의 증상 파악은 의료기관에 직접 내방하시어 의료진을 통해 확인하실 것을 권유 드립니다.치과에서 진행되는 모든 시술 및 수술은 개인에 따라 부작용 (염증, 출혈, 부기, 신경 손상 등) 가능성이 있습니다. 따라서 사전에 의료진과 충분한 상담을 통해 결정하시길 바랍니다.게시물의 치료 사진은 실제 본원에서 모든 치료 과정을 마친 환자분의 동의하에 촬영되었습니다. 전후 사진은 동일인이며, 동일 조건하에 촬영되었음을 밝힙니다. |