“한 달 후 웨딩촬영을 앞둔 예비신부입니다.
치아가 다른 사람들보다 누런 편이라 항상 입을 가리고 웃는데요…
일생에 한 번 뿐인 웨딩촬영을 앞두고 있다보니 누런치아가 신경쓰여서
치아미백을 해볼까 하는데 주의사항과 비용은 얼마나 되나요?
그리고 셀프미백과 치과에서 하는 미백은 어떤 차이가 있을까요?”
반갑습니다! 디데이치과 김무진 대표원장입니다.
강남 역삼동 선릉역 근처에서 환자 여러분의 삶의 질을 높여드릴 수 있는 진료를 하기 위해 오태훈 원장님과 함께 진심을 다 하고 있습니다 ^^
그 동안 팬데믹으로 인해 미뤄졌던 결혼식들이 많이 진행되는지
웨딩촬영 또는 본식을 앞둔 예비신부님들의 치아미백 문의가 많아지고 있는 것이 체감되는데요.

치아의 변색은 남들이 봤을 땐 잘 모르지만 내가 한 번 의식하기 시작하면 계속해서 신경쓰이는 요소 중 하나입니다.
특히 실외 마스크 의무가 해제되면서 치아가 보일 일이 많아지다보니 치아미백에 대한 관심이 더욱 많아지는 것 같습니다.
아마 이 글을 보시는 여러분들도 치아미백에 대해 알아보고 계실 것 같은데요.
환자분들께서 공통적으로 문의주시는 치아미백주의사항부터 유지기간, 비용, 셀프미백과 전문가미백의 차이점까지 자세히 설명드리려고 합니다.
─
치아미백주의사항과
유지기간, 비용은?
웨딩촬영, 면접과 같이 중요한 일정을 앞두고 치아미백을 고민하고 계시는 경우
치아미백주의사항이나 유지기간, 비용 등이 궁금하실텐데요.
가장 많이 궁금해하실 비용부터 말씀드리자면 저희 디데이치과를 기준으로 30만원 정도입니다.
(단, 치아미백은 미용 시술에 해당되어 부가세 10%가 별도로 부과됩니다.)
비용은 병원마다 천차만별이기 때문에 환자분들께서 비교해보시고 합리적이라고 판단되는 치과에서 시술을 진행하실 것을 권해드립니다.
저희 디데이치과에서는 환자분 1회 내원 시 총 3회를 한번에 진행하게 되어 ‘원데이치아미백’이라고 칭하고 있는데요.
내원횟수를 줄일 수 있어 많은 환자분들이 선호하는 방식입니다.
일주일 간격으로 내원하셔서 총 3회 정도 시술을 받아야 하는 기존 방식은
환자분들 입장에서 너무 번거로우실 것 같아 원데이치아미백을 진행하고 있는데 환자분들의 만족도가 높은 치료입니다 ^^
우선 치아미백유지기간은 약 6개월~1년으로 보고 있고,
따라서 환자분들께도 6개월~1년에 한 번 씩 시술 받으시면 치아 색상을 유지하는데 도움이 된다고 말씀드리고 있습니다.
물론 이는 개인의 식습관, 흡연 여부, 관리 상태에 따라 길어질 수도, 짧아질 수도 있습니다.
따라서 치아미백을 더 길게 유지할 수 있도록 도와주는 치아미백주의사항에는 아래와 같은 것들이 있습니다.
| 치아미백 주의사항 |
|---|
| 미백 후 1시간 정도는 음식물 섭취를 자제하는 것이 좋습니다. |
| 담배, 커피, 홍차, 초콜릿, 카레, 녹차 등 착색을 유발하는 음식 섭취는 최대한 자제하고, 섭취했을 시 물로 입 안을 가볍게 헹궈내시면 좋습니다. |
| 일시적으로 치아가 찬 것에 민감해질 수 있으며, 산이 많이 포함된 주스 등의 음식이 시린 증상을 심화시키기도 하나 시간이 지나면 자연스럽게 사라집니다. |
| 치아미백 시 일시적으로 치아에 백색 반점이 나타나 얼룩이 진 것 처럼 보일 수 있으나 미백 속도의 차이로 인해 생기는 현상입니다. 1~2시간이 지나면 자연스럽게 사라집니다. (단, 치아에 원래부터 반점이 존재하는 경우 -반상치라고 합니다- 이 반점은 사라지지 않습니다.) |
| 레진, 인레이, 크라운, 라미네이트 등 보존/보철치료를 진행한 치아에는 미백효과가 없습니다. 이 점 기억하셔서 치아의 전체적인 색상 조화를 생각하시고 미백을 진행하시면 좋습니다. |
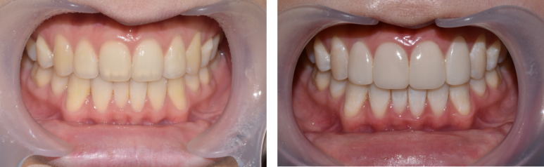
| 디데이치과 원데이치아미백 치료사례 |

21세 여성
(전) 2022-06-27 (후) 2022-06-27

26세 여성
(전) 2022-05-24 (후) 2022-06-07

22세 여성
라미네이트와 치아미백 동시 진행 케이스
(전) 2022-01-05 (후) 2022-01-17
치아미백을 진행하면 얼마나 밝아질지 궁금하셨을텐데요.
워낙 사람마다 개인차가 있는 시술인지라 정확히 어느 정도 밝아집니다 라고 말씀드리기는 굉장히 어렵습니다..
하지만 위 사례들을 보시면 대략적으로 어느 정도 밝아지는지 감이 오실 것 같습니다 ^^
─
자가미백/셀프미백과
전문가미백은 뭐가 다른가요?
자가미백 또는 셀프미백은 미백제를 바른 테이프를 치아에 붙이거나
치아 모양의 본을 뜬 장치 안에 미백제를 짜서 끼우고 있는 방식으로 진행되는데요.
치과에서 시행되는 전문가미백보다는 미백제의 농도가 낮아 단시간에 효과를 보기 힘들고 약 4주 이상 지속적으로 시행해주어야 합니다.
얼마 전 기사를 보다가 요즘 외국에서 직구를 통해 셀프미백제품을 구입하셔서 사용하시는 경우가 많다는 것을 알게 되었는데요.
이렇게 직구를 통해 외국에서 구입하는 제품들은
빠른 미백효과를 보기 위해 과산화수소 농도가 높은 경우들이 많습니다.
국내에서는 과산화수소 농도가 3% 이상인 경우 의약품으로 분류되어 온라인 판매를 할 수 없기 때문에 직구를 하시는 것 같은데요…
이렇게 농도가 높은 제품을 지속적으로 사용할 경우 치아 시림, 치아 부식, 잇몸 손상, 위장장애 등의 부작용이 발생할 수 있습니다.
따라서 안전하게 치아미백을 받고싶은 분들이라면 시술 전 전문의와의 상담을 통해 진행하시는 것을 추천해 드리고 싶습니다.
오늘 치아미백주의사항과 비용, 유지기간 등 다양한 정보를 알려드렸는데요.
아래 더 읽어보시면 좋을 글들을 공유해드리니 충분히 살펴보시고 혹시 더 궁금하신 부분이 있으시다면 언제든지 편하게 병원으로 문의주셔도 좋습니다.
누런 치아로 혼자 고민하셨던 많은 환자분들이 더 자신있고 환하게 웃을 수 있게 되기를 바라면서
지금까지 디데이치과 대표원장 김무진이었습니다. 감사합니다 ^^
< 치아미백 추천 칼럼 >
< 과잉진료 하지 않는 치과 선택법 >
| 환자를 돌려보내는 치과가 있다?디데이치과 네이버 예약 ✔ |
| 서울 디데이치과 진료 문의 |
|---|
| 대표전화 : 02-568-2877 (바로가기)네이버 톡톡 문의 (바로 가기) |
▲ 모바일에서 전화 버튼을 누르시면 병원으로 연결됩니다 ▲

| 본 게시물은 의료광고법 제56조 1항을 준수하여, 의료 정보 제공 및 병원 홍보를 목적으로 디데이치과의원에서 직접 작성하였습니다.다만, 블로그에서 제공해 드리는 정보는 참조용으로만 활용하시고, 정확한 개인의 증상 파악은 의료기관에 직접 내방하시어 의료진을 통해 확인하실 것을 권유 드립니다.치과에서 진행되는 모든 시술(치아미백 포함) 및 수술은 개인에 따라 부작용 (치아시림, 염증, 출혈, 부기, 신경 손상 등) 가능성이 있습니다. 따라서 사전에 의료진과 충분한 상담을 통해 결정하시길 바랍니다.게시물의 치료 사진은 실제 본원에서 모든 치료 과정을 마친 환자분의 동의하에 촬영되었습니다. 전후 사진은 동일인이며, 동일 조건하에 촬영되었음을 밝힙니다. |