“치아가 아파서 치과에 갔더니
염증이 심해 발치하고 임플란트를 해야한다고 하네요…
치료비용이 부담돼 여기저기 알아보고 있는데
임플란트가격이 너무 천차만별이라 얼마가 적당한지 모르겠어요...
임플란트비용… 도대체 얼마가 적절한가요?”
안녕하세요. 디데이치과 김무진 대표원장입니다.
현직 치과의사로서 아프지 않도록, 꼭 필요한 치료만 도와드리고자 하는 신념을 갖고 진료에 임하고 있는데요.

아무래도 임플란트가 큰 돈이 들어가는 치료이다보니…
현장에서 환자분들을 만나다보면 임플란트가격에 대해 궁금해하시는 분들이 많으시더라구요.
같은 임플란트인데 왜 치과마다 가격 차이가 나는지, 국산과 수입산은 어떤 차이인지, 적절한 임플란트가격은 얼마인지, 무조건 임플란트가격싼곳에서 치료받으면 되는지 등…
사실 치과에 오시는 분들께서 가장 궁금해하시는 것이 바로 ‘비용’에 대한 부분일겁니다.
치료에 대한 두려움과 공포감에 더불어 치과 방문을 망설이게 하는 요인이 비용이지 않을까 싶은데요
저희 디데이치과에서는 치과에 직접 전화해서 비용을 문의하는 번거로움을 조금이나마 덜어드리고자 비급여 수가를 네이버에 투명하게 공개하고 있습니다.
< 디데이치과 비급여 수가 공개 >
─
적절한 임플란트가격은
도대체 얼마인가요?
솔직하게 말씀드리면 얼마 정도 되어야 적절한 임플란트가격입니다 라고 말씀드리기는 매우 어렵습니다.
저희 디데이치과 기준으로 국산 오스템임플란트 식립 시 69~79만원 정도의 비용이 발생합니다.
그러나 이보다 저렴하다고 해서 싼 치과이고, 가격이 더 높다고 해서 비싼 치과일까요?
지난번 글에서도 말씀드렸듯이 병의원의 비급여 진료수가는 원장이 스스로 판단하여 책정하는 것이기 때문에 어떤 금액이어야 옳다고 할 수는 없습니다.
똑같은 국산임플란트 제품을 사용하더라도 어떤 치과는 저렴하고, 어떤 치과는 더 비싼 이유가 바로 이 때문입니다.
임플란트가격이 부담되어 최대한 저렴한 비용으로 시술하고자 하는 마음은 저도 충분히 이해합니다.
하지만 전문의의 입장에서 가격을 1순위로 치과를 선택하시기보다는...
가고자 하는 치과에서 공개하는 실제 환자의 치료사례, 치과의사가 환자를 대하는 마음가짐, 진료철학 등을 확인하고 믿을 수 있겠다는 판단이 드는 치과를 선택하실 것을 권해드립니다.
특히 성공적인 임플란트치료사례는 치과를 선택하는데 큰 도움이 되는데요.
임플란트를 몇 개나 식립했느냐를 내세우기보다는 성공적인 치료 사례를 공개하는 치과라면 조금 더 신뢰가 갈 수밖에 없겠죠.
| 디데이치과 실제 임플란트 사례 |

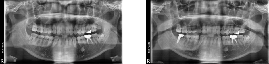
49세 남성
(전) 2021-08-18 (후) 2022-09-14
치아 안쪽이 썩어
발치 후 임플란트 하신 환자분 사례

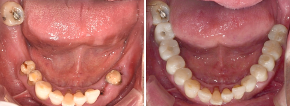
68세 남성
(전) 2021-11-05, (후) 2022-08-26
임플란트/크라운 시술 후
음식 섭취뿐만 아니라, 심미적인 개선으로
삶의 질이 높아진 환자분의 사례

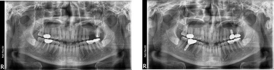
39세 남성
(전) 2021-12-07 (후) 2022-08-29
상악 잇몸뼈 부족으로
상악동거상술 후 임플란트 진행한 사례
─
의사의 마음가짐과 진료철학,
그걸 어떻게 알 수 있나요?
의사가 환자를 대하는 마음가짐과 진료철학은 어떻게 알 수 있을지 궁금하실텐데요.
블로그, 유튜브 등 환자에게 정보를 전달할 수 있는 창구가 훨씬 많아진 요즘에는 이러한 정보를 쉽게 찾아보실 수 있습니다.
제가 그동안 블로그에서 강조해왔듯이 의사가 직접 작성한 글 몇 개, 설명하는 영상 몇 개만 봐도 어떤 의사가 진정성을 갖고 진료하는지 금방 알아차릴 수 있으실 거라 생각합니다.
제 자랑인 것 같아 말씀드리기는 조금 민망하지만, 그래도 진정성이 통한다고 느꼈던 사례에 대해서 말씀드리고 싶습니다.

며칠 전 한 여성분께서 치과로 전화를 주셨는데요.
저희 블로그를 계속 지켜보고 있으셨다며, 서울에서 차량으로 3시간 이상 걸리는 곳에서 살고 계시지만 저희 디데이에서 진료를 받아보고 싶으시다고 아주 정중하게 문의를 주셨습니다.
물론 저희 디데이치과의 임플란트가격도 합리적인 수준이라 생각하셨겠지만,
더욱 기뻤던 건 블로그를 통해 전달하고 있는 저와 오태훈 원장님의 진료 철학, 환자분들을 대하는 마음가짐이 모니터 너머 환자분에게 오롯이 전해졌다는 사실이었습니다.
이를 목적으로 블로그를 열심히 운영하고 있지만...
저희도 사람인지라 진료하랴, 병원 운영하랴, 블로그 주제 선정하고 글 작성하랴 힘에 부칠 때도 있거든요 ^^;;
하지만 이렇게 저희의 진심을 알아주시고 멀리서 찾아와주시는 환자분들을 뵐때면
더 양질의 정보들, 환자분들께저 정말 궁금해하시는 정보들을 많이 전달해드려야겠다는 생각이 많이 듭니다. 이 자리를 빌어서 정말 감사드리고 싶네요 ^^
이어서 저희 디데이치과의 진료철학을 담은 글을 소개해 드리니 한번 참고해보시면 좋을 것 같습니다 ^^
오늘 저의 글로 임플란트가격에 대한 여러분의 궁금증이 모두 해결되지는 않았을텐데요.
혹시 블로그 글을 읽어보시다가 저희 디데이치과에 대해서, 혹은 치과 관련 문의사항이 있으신 경우 언제든지 편하게 병원으로 연락주세요!
언제나 환자분들께 열려있는 디데이치과가 되겠습니다!
지금까지 디데이치과 대표원장 김무진이었습니다 ^^
< 디데이치과의 진료철학 >
< 디데이가 처음이신 분들께 권하는 글 >
< 임플란트가격이 궁금하시다면 추천하는 글 >
| 환자를 돌려보내는 치과가 있다?디데이치과 네이버 예약 ✔ |
| 저희 디데이치과는양질의 의료 서비스를 제공해드리기 위해월 신규 환자 인원을 제한하고 있습니다.간혹 예약 대기가 발생할 수 있음을 양해 부탁드리며,예약 후 내원하셔서 "블로그 보고 왔어요"라고말씀해 주시면, 보다 빠른 진료를 도와드리겠습니다. |
| 서울 디데이치과 진료 문의 |
|---|
| 대표전화 : 02-568-2877 (바로가기)네이버 톡톡 문의 (바로 가기) |
▲ 모바일에서 전화 버튼을 누르시면 병원으로 연결됩니다 ▲

| 본 게시물은 의료광고법 제56조 1항을 준수하여, 의료 정보 제공 및 병원 홍보를 목적으로 디데이치과의원에서 직접 작성하였습니다.다만, 블로그에서 제공해 드리는 정보는 참조용으로만 활용하시고, 정확한 개인의 증상 파악은 의료기관에 직접 내방하시어 의료진을 통해 확인하실 것을 권유 드립니다.치과에서 진행되는 모든 시술 및 수술은 개인에 따라 부작용 (염증, 출혈, 부기, 신경 손상 등) 가능성이 있습니다. 따라서 사전에 의료진과 충분한 상담을 통해 결정하시길 바랍니다.게시물의 치료 사진은 실제 본원에서 모든 치료 과정을 마친 환자분의 동의하에 촬영되었습니다. 전후 사진은 동일인이며, 동일 조건하에 촬영되었음을 밝힙니다. |