“영구치가 난 이후부터 치아모양이 너무 안 예뻐서
스스로 컴플렉스라고 생각하다보니…
남들 앞에서 말하거나 웃을 때 너무 자신감이 떨어집니다.
그래서 치아성형을 고민하고 있는데
너무 위험하지는 않을지, 또 비용이 많이 들지는 않을지 걱정입니다.”
반갑습니다. 디데이치과 대표원장 오태훈입니다.
저희 디데이치과는 모든 치과치료에서 기능적인 면은 물론, 심미적인 부분까지 다각도로 고려한 치료를 통해 궁극적으로 환자의 삶의 질을 높이는 것을 목표로 하며
보건복지부 인증 통합치의학과 전문의인 대표원장 2인이 직접 치료계획 수립, 치료, 사후관리까지 담당하고 있습니다 ^^


환자분들께 꼭 필요한 치료만, 아프지 않게 해드리고자 많은 노력을 기울이고 있는데요.
오늘 이 글을 보시는 분들이라면 치아의 모양이 예쁘지 않아 치아성형에 대해 알아보고 계실 것 같습니다.
현직 치과의사로서 치아성형에 대해 환자분들이 가장 많이 궁금해하실 치아성형종류, 비용, 그리고 치료기간까지 말끔하게 설명해드리도록 하겠습니다.
─
치아성형은
어떤 사람에게 필요한가요?

우선 치아성형은 앞니에 적용되는 경우가 많습니다.
앞니는 사람이 말을 하거나 웃을 때 가장 먼저 보이는 부분이기 때문에 심미적인 측면이 굉장히 중요한데요.
넘어짐 등 사고가 났다거나, 음식을 먹다가 젓가락이나 돌을 씹어 앞니가 깨진 경우는 물론,
선천적으로 치아모양이 보기에 예쁘지 않은 경우, 다른 인접치에 비해 특정 치아가 너무 길거나 날카로운 경우 역시 치아성형을 고려해볼 수 있습니다.
각각의 경우에 따라 어떤 방식으로 치아성형이 가능한지 자세히 알려드리도록 하겠습니다.
법랑질성형
만약 특정 치아가 인접한 다른 치아에 비해 너무 길거나 날카로워
치아를 살짝 다듬으면 주변의 치아와 잘 어우러지면서 모양도 더 예뻐질 수 있는 경우에 고려할 수 있는 시술입니다.
치아는 에나멜이라고 하는 법랑질로 둘러싸여 있는데요.

법랑질에는 신경이 존재하지 않기 때문에 이를 갈아낸다고 하더라도 치아가 시리거나 통증이 있지는 않습니다.
다만 법랑질은 굉장히 얇고, 각 치아의 생김새나 사람에 따라 법랑질의 두께에도 차이가 있기 때문에
자칫 잘못해 법랑질을 많이 삭제하게 되면 시린 증상이 나타날 수 있습니다.
따라서 법랑질성형을 통해 치아성형을 하시는 경우라면 해당 시술에 대한 풍부한 경험이 있는 전문의에게 시술을 받는 것이 가장 안전하게 시술을 받을 수 있는 방법입니다.
법랑질성형의 경우 저희 디데이치과 기준으로 개당 약 2만원 정도의 비용이 발생합니다. (다만, 법랑질성형은 미용시술로 분류되어 10%의 부가세가 더 붙습니다.)
앞니레진치료
만약 사고를 당했다거나 음식을 먹다가 앞니로 젓가락이나 딱딱한 물질을 씹어 치아 일부가 깨진 경우라면 앞니레진치료를 고려해볼 수 있습니다.
요즘에는 자기 전 스마트폰을 보다가 떨어뜨려서 앞니가 깨져 내원하시는 분들도 종종 계시더라구요 ^^;;
이렇게 앞니가 깨진 경우 그냥 방치하기 보다는
치아색상과 유사한 레진이라는 재료를 이용해 깨진 부분을 메워주는 것이 보기에도 좋고 기능적으로도 좋습니다.


앞니 레진치료 예시
더 많은 치료사례는 여기를 참고하세요
또한 앞니레진은 비용도 약 5~10만원 정도로 라미네이트보다 훨씬 저렴하고, 당일 치료가 가능하므로 저렴하고 빠르게 치료를 끝낼 수 있다는 장점이 있습니다.
다만 레진의 경우 재료의 특성상 잘 떨어지는 경우가 많아 라미네이트보다 수명이 훨씬 짧습니다.
또한 레진은 변색에 취약해 카레나 레드와인 등 치아변색을 유발하는 음식 섭취 시 색상이 변할 수 있다는 단점이 있습니다.
이러한 장단점을 잘 비교해보시고 전문의와 충분히 상담해보신 후 치료 방법을 결정하실 것을 권장해 드립니다.
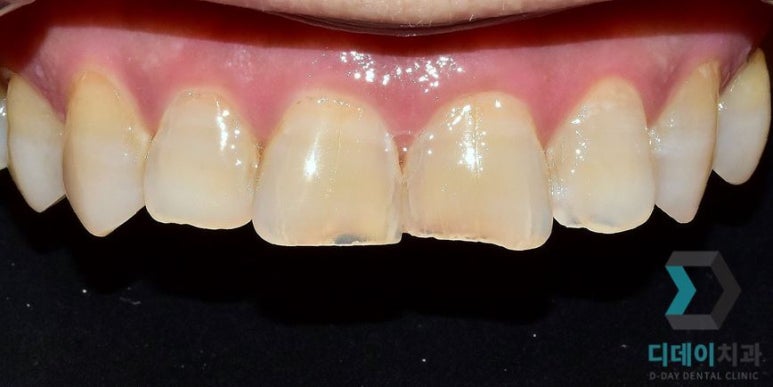
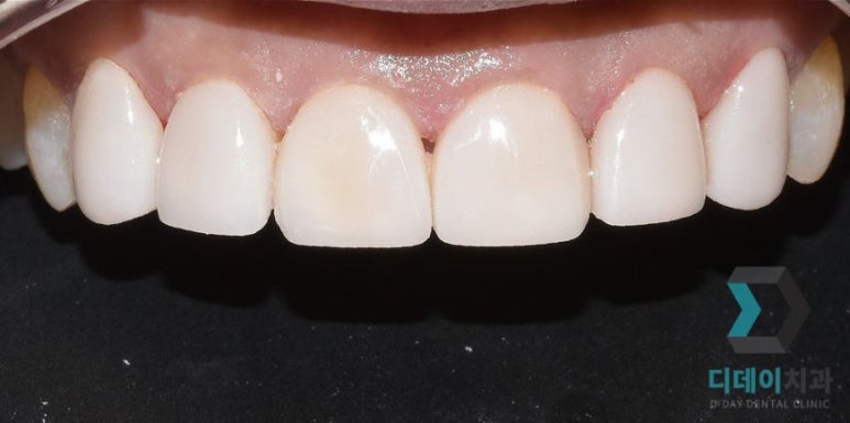
라미네이트
라미네이트는 대표적인 치아성형 방법 중 하나인데요.
치아 표면을 살짝 다듬고 그 위에 얇은 세라믹 재질의 치아모양 보철물을 부착하는 방식으로 이뤄지는 치료 방법입니다.
앞니 모양이 전체적으로 마음에 들지 않아 완전히 새로 바꾸고 싶거나,
선천적으로 치아 모양이 예쁘지 않아 컴플렉스를 가지고 있다면 시도해볼 수 있는 시술법입니다.




라미네이트 치료사례 예시
더 많은 치료사례는 여기에서 확인할 수 있습니다.
치아를 너무 많이 삭제해 적은 양의 치아만 남아있어 공포감(?)을 주었던 기존 시술 방식과는 달리
요즘은 기술이 발달해 극소량의 치아삭제만으로도 라미네이트 시술이 가능합니다.
앞니레진보다 수명이 훨씬 더 길고, 빠른 시간 내에 치아 모양을 새롭게 바꿀 수 있다는 장점이 있지만
확실하게 전체적인 치아 모양 개선을 원할 경우 최소 6개 이상 진행하는 것이 좋은데, 이러한 경우 치료 비용이 많이 든다는 단점이 있습니다.
라미네이트가격은 저희 디데이치과 기준으로 개당 약 40만원 정도 하기 때문에
비용적인 측면부터 심미적인 측면, 기능적인 측면까지 다각도로 고려해 시술을 결정할 것을 권해드립니다.
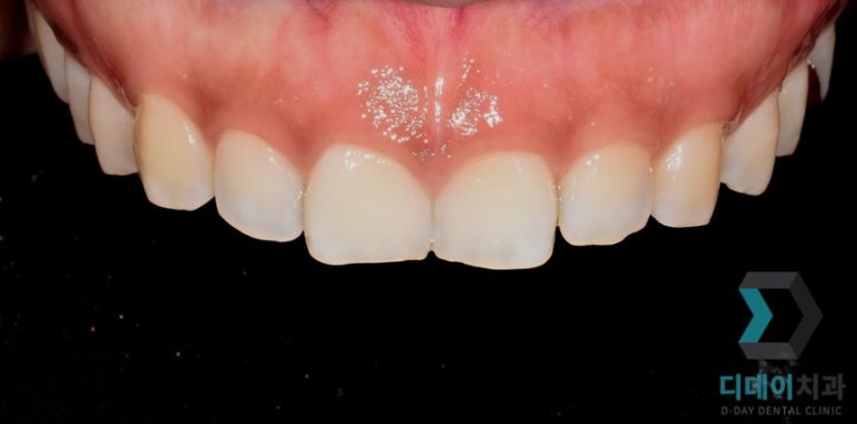
잇몸성형
잇몸성형은 사실 치아성형의 한 영역은 아니지만 시술했을 때 마치 치아성형을 한 것 같은 효과를 줄 수 있기 때문에 함께 소개해 드리겠습니다.
치아를 덮고 있는 잇몸의 모양을 개선할 경우 치아 모양까지 바뀐 것 같은 느낌을 줄 수 있는데요.
이는 말로 설명드리는것보다 직접 예시를 통해 보여드리는 것이 훨씬 이해가 쉬우실 겁니다.




잇몸성형을 통한 치아모양 개선 사례
사진으로 보시는 것처럼 잇몸라인만 개선해도 치아 모양까지 함께 개선되는 모습이 확인되죠?
따라서 평소에 잇몸이 많이 보인다거나 잇몸 라인이 고르지 않은 분들은 잇몸성형을 통해서도 치아 모양의 변화를 체감하실 수 있습니다.
1회 내원 시 약 20~30분 정도면 시술이 가능하고, 곧바로 일상생활이 가능하다는 장점이 있습니다.
비용은 저희 디데이치과를 기준으로 약 30만원 정도입니다.
오늘은 다양한 치아성형의 종류, 비용, 치료기간 등에 대해 말씀드렸는데요.
다시 한번 강조드리고 싶은 부분은 치아성형 시 성형, 즉 미용적인 부분만 치중해서는 안 된다는 점입니다.
소중한 ‘치아’의 미적인 부분을 개선하는 시술이므로 심미적, 기능적 측면을 모두 고려해서 시술이 진행되어야 합니다.
또한 치아성형을 고려하고 있는 환자분들께서는 본인의 경제적 상황, 치료받을 수 있는 여건, 본인의 목적에 가장 부합하는 시술을 잘 따져보신 후 시술 여부를 결정하시기 바랍니다.
치아성형에 대한 글은 여기서 마치며
더 궁금하신 점이 있으시다면 디데이치과로 문의주세요!
지금까지 디데이치과 대표원장 오태훈이었습니다.
< 법랑질성형에 대해 더 궁금하다면 >
< 라미네이트에 대한 모든것 >
< 과잉진료 하지 않는 치과 선택법 >
| 환자를 돌려보내는 치과가 있다?디데이치과 네이버 예약 ✔ |
| 서울 디데이치과 진료 문의 |
|---|
| 대표전화 : 02-568-2877 (바로가기)네이버 톡톡 문의 (바로 가기) |
▲ 모바일에서 전화 버튼을 누르시면 병원으로 연결됩니다 ▲

| 본 게시물은 의료광고법 제56조 1항을 준수하여, 의료 정보 제공 및 병원 홍보를 목적으로 디데이치과의원에서 직접 작성하였습니다.다만, 블로그에서 제공해 드리는 정보는 참조용으로만 활용하시고, 정확한 개인의 증상 파악은 의료기관에 직접 내방하시어 의료진을 통해 확인하실 것을 권유 드립니다.치과에서 진행되는 모든 시술(치아미백 포함) 및 수술은 개인에 따라 부작용 (치아시림, 염증, 출혈, 부기, 신경 손상 등) 가능성이 있습니다. 따라서 사전에 의료진과 충분한 상담을 통해 결정하시길 바랍니다.게시물의 치료 사진은 실제 본원에서 모든 치료 과정을 마친 환자분의 동의하에 촬영되었습니다. 전후 사진은 동일인이며, 동일 조건하에 촬영되었음을 밝힙니다. |