반갑습니다. 디데이치과 김무진 대표원장입니다.
내 가족에게 권할 수 있는 치료만 환자분들께 권하자는 마음가짐으로 진료에 임하고 있는 현직 통합치의학과 전문의입니다 ^^
역삼동 선릉역에서 치과를 운영하며 직접 환자분들을 치료하기도 하고, 환자분들께 양질의 치과 관련 정보를 전달하기 위해 열심히 블로그도 운영하고 있습니다!


저와 오태훈 원장님을 비롯한 저희 디데이치과의 모든 의료진들도 저와 같은 생각으로 환자를 대하고자 노력하고 있어
너무너무 친절하다, 다녀본 치과 중 최고다 같은 과분한 칭찬을 듣고 있는 것 같습니다 ^^
이 글을 보시는 여러분께서는 아마도 본인 또는 가족이나 지인분께서 임플란트 시술을 앞두고 있어
임플란트기간과 내원횟수에 대해 알아보고 계실 것이라 생각됩니다.
실제로 현장에서 임플란트 수술을 진행하고 있는 입장에서 환자분들로부터 가장 많이 받는 질문이
‘임플란트기간은 얼마나 걸리나요?’, ‘병원에 몇 번이나 와야 하나요?’이기 때문에 이 기회를 빌어 환자분들께 도움이 될만한 정보를 전달해드리고자 합니다.
─
임플란트 기간은 얼마나 걸리나요?
임플란트기간은 식립하는 개수, 식립 위치, 뼈이식 동반 진행 여부 등에 따라 달라지지만
가장 보편화 된 기준으로 말씀드리면 상악(윗니) 기준으로 34개월, 하악(아랫니) 기준으로 23개월 정도입니다.
하악이 더 뼈가 튼튼하고 단단해 임플란트를 심었을 때 뼈와 유착되는 기간이 짧기 때문입니다.
또한 수술 시 내원횟수는 최소 4~5회 정도로 예상해주시면 됩니다.

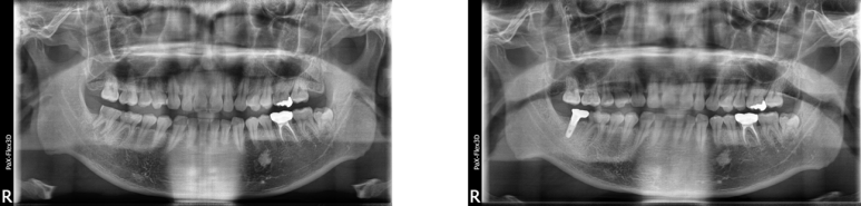
49세 남성
하악 임플란트 케이스
(전) 2021-08-18 (후) 2022-09-14

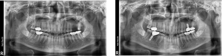
39세 남성
상악 임플란트 케이스
(전) 2021-12-07 (후) 2022-08-29
다만 이런 경우는 가장 보편적이고, 또 잇몸뼈의 양과 질이 좋은 케이스일 때 해당하는데요.
임플란트기간과 내원횟수를 결정짓는 요인은 굉장히 다양하기 때문에 이 요인들에 대해 하나씩 차근차근 설명해드리도록 하겠습니다.
식립 개수와 위치
1개만 식립할 때보다 여러 개를 식립하게 되면 임플란트기간은 당연히 길어질 수밖에 없겠죠.
여기에 더해 식립 개수가 같다고 하더라도 서로 다른 위치에 있는 치아에 임플란트를 심어야 할 경우라면 기간이 더 길어질 수 있습니다.

예를 들면, 2개의 임플란트 식립이 필요한 환자라고 가정할 경우
2개가 모두 오른쪽 아래에 위치한 환자보다는 1개는 왼쪽 위, 아래에 각각 위치한 환자가 치료 기간이 좀 더 길어질 수 있습니다.
음식을 씹을 때 불편함이 없도록 교합 조정에 더 주의를 기울여야 하기 때문이죠.
만약 임플란트 식립해야 할 치아가 왼쪽, 오른쪽 위 아래 가리지 않고 다양한 위치에 있을 경우에는
왼쪽을 먼저 치료를 완료하고 그 이후에 오른쪽 치료를 진행할 수 있으므로 임플란트기간이 더 오래걸리게 되는 것입니다.
뼈이식 진행 여부
임플란트를 식립해야 하는 부위에 치주질환(잇몸병)이 있거나, 발치한지 오랜 기간이 경과하여 잇몸뼈가 부족한 경우에는 뼈이식이 필요할 수 있는데요.

이렇게 뼈이식을 한 경우에는 임플란트 식립이 다소 늦어질 수 있습니다.
물론 경우에 따라 뼈이식과 함께 즉시 식립을 할 수도 있지만,
뼈이식 후 뼈가 조금 더 단단해질 때까지 기다렸다가 식립해야 하는 경우에는 약 2~3개월 정도 임플란트기간이 더 길어지는 것이죠.

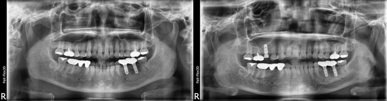
46세 여성
오른쪽 위 어금니 발치 후 뼈이식 진행하고 3개월 후 임플란트 식립
(전) 2021-07-16 (후) 2021-11-17
< 임플란트 뼈이식에 대한 더 자세한 내용이 궁금하다면? >
발치 후 임플란트 진행 시기
잇몸뼈가 비교적 튼튼해 발치하고 곧바로 임플란트 식립이 가능한 케이스가 있습니다.

39세 남성
발치 및 임플란트 당일 식립 후 촬영한 엑스레이
(전), (후) 2022-02-17

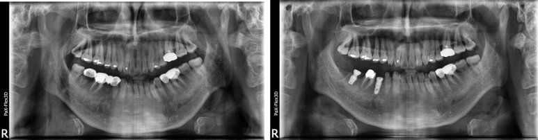
38세 남성
발치 및 임플란트 당일 식립 후 촬영한 엑스레이
(전), (후) 2022-02-05
이렇게 발치 후 즉시 식립이 가능한 환자분들 같은 경우 임플란트기간을 단축시킬 수 있는데요. 앞서 말씀드린대로 약 3개월 정도면 임플란트 치료를 모두 마칠 수 있습니다.
하지만 발치 후 적게는 3개월 혹은 그 이상 기다렸다가 임플란트를 식립해야 하는 경우도 있는데요.
치아를 발치하는 경우 원래 치아가 있던 자리가 비어있게 되고, 이 자리에 뼈가 완전하게 차올라서 임플란트를 할 수 있을 정도로 단단해질 때까지 기다려야 합니다.
단단하지 않은 진흙이나 모래 위에 건물을 지을 때보다 단단한 콘크리트 위에 건물을 지었을 때 더 안정성이 높은 것과 같은 이치입니다.
뼈가 잘 차오를 때까지 기다려 콘크리트와 같은 상태를 만들고, 거기에 임플란트를 심어 고정력을 높여주는 것이지요.
모든 수술이 빨리 끝났으면 좋겠고, 내원 횟수도 적었으면 하는 환자분들의 마음은 충분히 이해합니다 ^^
다만 한번 심으면 오랜 기간 내 자연치아처럼 사용해야 하는 임플란트이기 때문에
조금 더 기간이 오래 걸리더라도 꼼꼼하게 체크하고 환자분의 상태에 맞춰 진행해 드리고자
부득이하게 기간이 길어지고 내원횟수가 많아질 수밖에 없다는 점을 꼭 말씀드리고 싶습니다.
어떠신가요? 오늘 말씀드린 임플란트기간에 대한 궁금증이 조금 해결되셨나요?
직접 뵙고 설명드리면 잘 이해하실 수 있도록 설명드릴 수 있는데 글로 설명드리려니 어려운 것이 사실입니다.
오늘 글은 물론이고 저와 오태훈 원장님이 블로그에 올린 글들을 보시고
저희 디데이치과 혹은 치과 전반적인 치료에 대해 궁금하신 부분이 있으시다면 언제든지 편하게 연락해주세요!
성심성의껏 환자분들의 궁금증을 해소해 드리도록 하겠습니다.
지금까지 디데이치과 김무진 대표원장이었습니다 ^^
< 함께 보시면 좋은 글 >
| 꼭 필요한 치료만 정직하게 권하는 곳디데이치과 네이버 예약 ✔ |
| 저희 디데이치과는양질의 의료 서비스를 제공해드리기 위해월 신규 환자 인원을 제한하고 있습니다.간혹 예약 대기가 발생할 수 있음을 양해 부탁드리며,예약 후 내원하셔서 "블로그 보고 왔어요"라고말씀해 주시면, 보다 빠른 진료를 도와드리겠습니다. |
| 서울 디데이치과 진료 문의 |
|---|
| 대표전화 : 02-568-2877 (바로가기)네이버 톡톡 문의 (바로 가기) |
▲ 모바일에서 전화 버튼을 누르시면 병원으로 연결됩니다 ▲

| 본 게시물은 의료광고법 제56조 1항을 준수하여, 의료 정보 제공 및 병원 홍보를 목적으로 디데이치과의원에서 직접 작성하였습니다.다만, 블로그에서 제공해 드리는 정보는 참조용으로만 활용하시고, 정확한 개인의 증상 파악은 의료기관에 직접 내방하시어 의료진을 통해 확인하실 것을 권유 드립니다.치과에서 진행되는 모든 시술 및 수술(임플란트 포함)은 개인에 따라 부작용 (염증, 출혈, 부기, 감염, 신경 손상, 마비 등) 가능성이 있습니다. 따라서 사전에 의료진과 충분한 상담을 통해 결정하시길 바랍니다.게시물의 치료 사진은 실제 본원에서 모든 치료 과정을 마친 환자분의 동의하에 촬영되었습니다. 전후 사진은 동일인이며, 동일 조건하에 촬영되었음을 밝힙니다. |