반갑습니다. 디데이치과 오태훈 대표원장입니다 ^^
김무진 원장님과 함께 역삼동 선릉역에서 치과 진료를 하고 있는 보건복지부 인증 통합치의학과 전문의입니다.

저희 대표원장 2인 모두 심미치료에 있어 ‘치아의 미적인 부분을 개선해 궁극적으로 환자의 자신감을 되찾아주고 삶의 질을 높이는 것’을 목표로 하고 있습니다 ^^
이런 저희의 진심이 환자분들께 닿았는지 역삼동, 대치동, 논현동 등 선릉역 인근 지역은 물론
강원도, 전라도, 제주도에서까지 방문해주시는 환자분들로 인해 하루하루 바쁘지만 감사하게 보내고 있습니다 ^^
“웃을 때 잇몸이 많이 보여서 평생 컴플렉스예요”
“매일 잇몸때문에 스트레스 받아요…”
“치아가 작고 잇몸이 많이 보여서 잇몸성형 고민하게 됐어요”
“잇몸도 성형이 된다던데.. 비용이 비쌀까봐 망설여져요”
오늘 이 글을 보시는 분들이라면 아마 잇몸이 많이 내려와 평생을 스트레스받으셔서 잇몸성형에 대해 알아보고 계실 것 같은데요.
이런 분들을 위해 가장 많이 궁금해하실 잇몸성형 가격부터 통증, 회복기간, 실제 후기까지 낱낱이 소개해드리고자 합니다.

“원장님, 웃거나 말할 때마다 잇몸이 많이 보이는게 평생 스트레스였어요. 항상 손으로 입을 가리면서 웃었어요…”
잇몸성형을 위해 저를 찾아주신 환자분들께서 공통적으로 많이 하시는 말씀인데요.
이런 환자분들의 하소연을 들을 때마다 그 동안 얼마나 혼자서 고민하고 스트레스 받으셨을까 생각하면 마음이 많이 아픕니다.
사실 이렇게 웃을 때 잇몸이 많이 보이거나, 치아가 작아보이거나, 고르지 못한 잇몸라인으로 고민하고 계신 분들께 잇몸성형은 좋은 치료방법이 될 수 있습니다.
─
잇몸성형 가격은 얼마인가요?
치료기간은 얼마나 걸리나요?
잇몸'성형'이라고 하니 왠지 모르게 치료 비용도 굉장히 비쌀 것 같고, 아프고, 회복기간도 오래 걸릴거라 생각하시는 분들이 많은데요.
이는 큰 오해입니다!
잇몸성형은 비급여 진료이기 때문에 각 병원마다 조금씩 가격은 다르지만
저희 디데이치과에서는 윗니 또는 아랫니 6개 기준으로 30만원 정도입니다. 만약 치료하고자 하는 부위가 넓어진다면 추가비용이 더 나올 수 있겠지요 ^^

또한 저희 디데이치과에서 시행하는 레이저를 통한 잇몸성형은
시술 시간도 약 20~30분 이내로 짧고, 마취 후 진행되어 통증이나 출혈도 거의 없는 편입니다.
치료 시간도 짧지만 회복기간도 짧은 편인데요, 시술 후 일상생활은 바로 가능하며 약 2~3일 정도면 잇몸 라인도 점점 아물게 됩니다.
이렇게 비교적 합리적인 가격으로 빠르게, 간편하게 컴플렉스를 해소할 수 있다보니
속된 말로 가성비(?) 좋은 치료라고 부를 수 있을 것 같네요 ^^
저희 환자분들께서도
"왜 진작 안했는지 모르겠어요, 확실히 인상이 시원하게 변했어요, 어릴때부터 스트레스 받았는데 평생 스트레스가 해소됐어요"라면서 좋아하십니다.
그럼 실제 디데이치과에서 잇몸성형 하신 분들의 사례를 보면서 더 자세하게 설명 드리겠습니다.
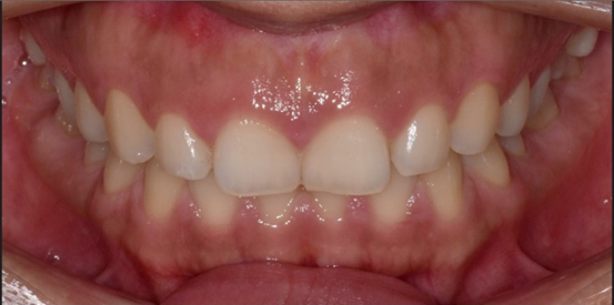
| 잇몸성형 사례 1. |

26세 여성
(전) 2022-08-23 (후) 2022-09-07
위 환자분은 전체적으로 잇몸라인이 평평한 편이고, 그에 따라 치아 모양도 덜 예뻐보이는 점이 고민이셨습니다.
따라서 이 플랫했던 잇몸 라인을 라운드하게 만들어주는 것에 주안점을 두고 시술을 진행했습니다.
잇몸성형 후 전체적으로 라인이 다듬어지고, 치아가 더 길고 시원해보이는 느낌으로 개선된 것을 확인하실 수 있습니다 ^^
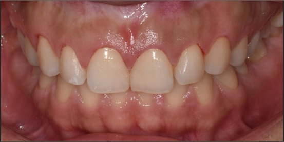
| 잇몸성형 사례 2. |

28세 여성
(전) 2022-08-31 (후) 2022-09-14
이 환자분은 #11, #21 (대문니)쪽 잇몸이 치아를 많이 덮고 있는 상태여서 치아 모양도 상대적으로 덜 예뻐보였습니다.
따라서 이 케이스는 해당 치아 쪽 잇몸라인을 중점적으로 개선해 치아 모양까지 예뻐보이는 효과를 거두었습니다.
더불어 사진상으로 왼쪽 위 2번째 치아는 다른 치아보다 크기가 작은 왜소치였는데,
이 왜소치도 전보다 잇몸라인을 좀 더 높여 크기가 커보이도록 만들었습니다.
| 잇몸성형 사례 3. |


26세 여성
(전) 2022-08-01 (후) 2022-08-13
환자분은 웃을 때 잇몸이 전체적으로 많이 보이는 상태였고, 이로 인해 치아가 양옆으로 넓어보이는 상태였습니다.
따라서 전체적인 잇몸라인을 위로 올려 잇몸이 많이 보이는 부분을 개선하고자 했고,
작고 넓어보였던 치아도 길고 시원하게 트여보이도록 개선했습니다.
─
잇몸성형 시
주의사항은 없나요?
레이저를 통한 잇몸성형으로 통증이나 출혈을 최소화하고 있으나
약 2~3일간은 피부에 상처가 나고 아무는 것과 유사하게 붉은 기운과 쓰라린 느낌이 있을 수 있습니다.
식사는 시술 2시간 이후에 해주시는게 좋고, 맵거나 뜨거운 음식은 피하시는 것이 좋습니다.
말씀드렸듯이 피부에 상처가 난 것과 유사하기 때문에 양치질도 너무 세게는 하지 않으시는 편이 좋고요.
또한 잇몸성형 진행 시 잇몸뼈의 위치를 확인하기 위해 파노라마 엑스레이를 찍게 되는데요.
잇몸뼈의 정확한 위치를 파악해야 잇몸라인을 예쁘게 만들면서도 뼈에 문제가 없도록 시술할 수 있기 때문입니다.
따라서 잇몸성형을 고민하고 계시다면 전문의의 정확한 진단과 꼼꼼한 상담을 통해 환자분께 적합한 치료인지 확인 후 진행하시는 것이 좋습니다.
사람의 인상에서 가장 중요하게 작용하는 것 중 하나가 '미소'이지 않을까 싶은데요.
환자분들이 더이상 손으로 입을 가리고 웃는 일이 없으시길 바라며
자신감있는 미소를 되찾아드리기 위해 노력하는 디데이치과, 그리고 오태훈 대표원장이 되겠습니다.
오늘 글을 읽으시다가 잇몸성형 뿐만 아니라 치과 치료에 대해 궁금하신 점이 있으시다면 언제든지 문의주세요 ^^
긴 글 읽어주셔서 감사합니다!
< 함께 읽으면 좋은 글 >
< 이전 치료 사례 >
| 환자를 돌려보내는 치과가 있다?디데이치과 네이버 예약 ✔ |
| 서울 디데이치과 진료 문의 |
|---|
| 대표전화 : 02-568-2877 (바로가기)네이버 톡톡 문의 (바로 가기) |
▲ 모바일에서 전화 버튼을 누르시면 병원으로 연결됩니다 ▲

| 본 게시물은 의료광고법 제56조 1항을 준수하여, 의료 정보 제공 및 병원 홍보를 목적으로 디데이치과의원에서 직접 작성하였습니다.다만, 블로그에서 제공해 드리는 정보는 참조용으로만 활용하시고, 정확한 개인의 증상 파악은 의료기관에 직접 내방하시어 의료진을 통해 확인하실 것을 권유 드립니다.치과에서 진행되는 잇몸성형(치은절제술)을 포함한 모든 시술 및 수술은 개인에 따라 부작용 (염증, 출혈, 부기, 신경 손상 등) 가능성이 있습니다. 따라서 사전에 의료진과 충분한 상담을 통해 결정하시길 바랍니다.게시물의 치료 사진은 실제 본원에서 모든 치료 과정을 마친 환자분의 동의하에 촬영되었습니다. 전후 사진은 동일인이며, 동일 조건하에 촬영되었음을 밝힙니다. |