반갑습니다! 디데이치과 오태훈 대표원장입니다.
항상 말씀드리는 부분이라 다소 식상하시겠지만… ^^;; 그래도 다시 한번 강조드리겠습니다!
오늘도 김무진 원장님과 함께 ‘안 아프게, 꼭 필요한 치료만 권해드리자’ 라는 신념을 매 순간 되새기며 진료에 임하고 있는 보건복지부 인증 통합치의학과 전문의입니다.


오늘은 뼈이식임플란트에 대한 이야기를 드려볼까 하는데요.
아마 지금 이 글을 보시는 분들이라면 아마 임플란트 시술을 앞두고 뼈이식임플란트에 대한 정보를 찾고 계실 것 같습니다.
잇몸에 나사를 박는 임플란트도 무서운데, 뼈이식이라니… 생각만 해도 두렵고 무서운 마음 충분히 이해합니다 ^^
그래서 오늘은 뼈이식임플란트의 대상, 종류, 그리고 가장 궁금해하실 가격 등에 대해 하나부터 열까지 차근차근 설명해드리도록 하겠습니다.
아무래도 다니고 계신 치과에서 잘 설명해주시겠지만,
환자분들 입장에선 궁금한게 있어도 의료진에게 물어보기도 어렵고, 또 설명을 들어도 잘 이해가 되지 않는 부분이 있기 마련이니까요.
오늘 제 글이 이런 환자분들께 많은 도움이 되기를 바라며 글 시작해 보겠습니다.
─
뼈이식임플란트는
어떤 사람이 받아야하나요?
우선 ‘뼈이식’이라는 단어에 대해서 간단하게 설명드려야 할 것 같은데요.
뼈이식이라고 하니 뼛조각을 이식하는 것이라 생각하시는 분들도 계실 것 같습니다.
하지만 그런 것은 아니고, 각 종류별 뼈에 멸균 등 처리를 거쳐 가루처럼 만든 제품을 사용하니 걱정하지 않으셔도 됩니다 ^^

시중에서 판매 중인 다양한 종류의 뼈이식재
임플란트 식립하는 모든 환자가 뼈이식이 필요한건 아닙니다.
잇몸뼈의 양이 충분하고, 또 튼튼할 경우에는 뼈이식 없이도 임플란트 식립이 충분히 가능합니다.
반대로 뼈이식이 필요한 경우라면 잇몸뼈의 양이 부족하거나, 튼튼하지 않은 환자분들이겠죠?

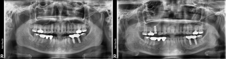
46세 여성
오른쪽 위 어금니 발치 후 뼈이식 진행하고 3개월 후 임플란트 식립
(전) 2021-07-16 (후) 2021-11-17
그렇다면 잇몸뼈의 양과 질이 나빠지는 이유는 무엇일까요?
주요 원인 중 하나가 바로 치태(플라그, plaque)입니다. 지난 김무진 원장님의 잇몸치료 관련 글에서 치태에 대해 간단히 설명드렸는데요.
다시 한번 말씀드리면 치태란 입 속의 세균이 음식물과 섞여 얇은 막을 형성해 치아 표면에 달라붙는 것입니다. 치태가 단단해지면 치석이 되는 것이고요.
이렇게 치태와 치석을 제거하지 않고 시간이 지나면 세균이 치석에 더 붙어 번식을 하면서 점점 잇몸뼈를 녹이고 염증을 만들게 되는 것입니다.
지난 글에서도 말씀드렸다시피 튼튼한 건물을 짓기 위해서는 안정적이고 단단한 지반이 중요한것처럼
임플란트의 성공 여부를 좌우하는 것 중 하나가 바로 잇몸뼈의 양과 질이기에 이 부분이 좋지 않으신 분들께는 뼈이식을 권유해드리고 있습니다.
─
뼈이식임플란트에도
종류가 있나요?
뼈이식 시 사용되는 골이식재에는 자가골, 동종골, 이종골, 합성골과 같이 다양한 종류가 있습니다.
먼저 자가골은 말 그대로 본인의 뼈인데요. 본인의 뼈를 이식하는 만큼 이식 후 더 안정적으로 자리잡을 가능성이 높습니다.
이에 따라 자신의 뼈를 이식하는 것이 가장 좋다고 생각하실 수 있지만
사실 자가골 사용 시 따로 외과적인 수술을 통해 뼈를 채취해야하는 불편함이 있고,
또 자가골을 이식할 경우 아무래도 내 뼈이다보니 상대적으로 흡수가 잘 된다는 단점이 있습니다.
동종골은 내가 아닌 타인의 뼈를 기증받아 살균처리를 거친 것인데요.
아무래도 같은 종인 인간의 뼈이다보니 임플란트와 뼈가 더 잘 유착될 수 있겠지만 자가골 이식과 동일하게 뼈가 쉽게 흡수될 수 있습니다.
이종골은 다른 종, 즉 동물의 뼈를 이용하는 것인데요. 주로 송아지나 돼지의 뼈를 많이 사용합니다.
다른 종의 뼈이기 때문에 흡수될 가능성이 비교적 낮아 잇몸뼈의 충분한 부피를 확보하는데 유리하지만,
임플란트 식립 시 픽스처(뿌리)와 유착이 동종골보다는 떨어질 수 있습니다.
합성골은 자연에서 추출한 것이 아닌 뼈 성분과 비슷한 화합물을 인위적으로 합성한 것입니다.
요즘은 합성골도 이식하는 부위에 따라 필요한 성분을 다양하게 혼합해 출시하기도 하기 때문에 동종골과 이종골의 장점만 살려서 시술을 할 수 있습니다.
이처럼 뼈이식재료에도 다양한 종류가 있는데요.
임플란트 식립하는 부위에 따라, 또 남아있는 잇몸뼈의 양 등 다양한 조건에 따라 적절한 뼈이식재를 선택하시면 좋을 것 같습니다.
─
뼈이식임플란트
비용은 얼마인가요?
가장 많이 궁금해하실 뼈이식임플란트 비용에 대해 설명을 드리지 않을 수 없겠네요 ^^
사실 치과 치료는 비용때문에 망설이시는 분들도 많은 만큼 자꾸 언급하기가 죄송스러운 마음도 있습니다…
하지만 정확한 정보를 전달해 환자 여러분들의 선택 기준을 만들어드려야 한다는 사명감(!)으로 말씀드리자면,
치과마다 가격이 조금씩 다르겠지만 저희 디데이치과 기준으로 뼈이식은 개당 기본 30만원 정도입니다.
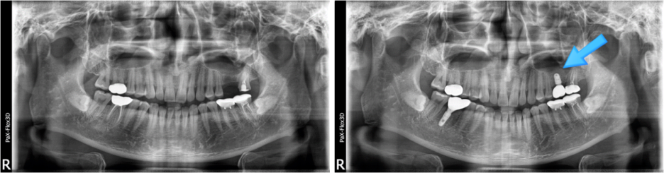
다만, 윗니쪽 임플란트 식립하시면서 잇몸뼈가 부족해 광대뼈 안쪽 막을 들어올려 공간을 확보한 후 뼈이식을 진행해야 하는 케이스가 있습니다.

잇몸뼈 부족으로 상악동거상술을 통한 뼈이식 진행한 환자분의 x-ray
이를 상악동거상술이라고 하는데요. 이 상악동거상술을 동반한 뼈이식이 진행된다면 비용은 50~100만원 정도가 됩니다.
이 금액 차이는 상악동거상술의 술식에 따라서 나타나는데요. 더 깊이 들어가면 오늘 글이 너무 길어질 것 같아 지난번에 작성했던 글을 밑에 달아두겠습니다.
< 상악동거상술에 대해 더 알고싶다면? >
오늘은 뼈이식임플란트 대상, 종류, 가격까지 차근차근 설명해드렸는데요.
이 글을 읽으셔도 어떤 차이가 있는지 잘 이해가 되지 않으실수도 있고, 또 현재 나에게 뼈이식이 필요한지, 한다면 어떤 종류로 해야하는지 궁금하실 수도 있을 것 같습니다.
이런 분들께서는 주저하지 마시고 저희 디데이치과로 연락주시면
언제든지 친절한 상담 도와드리도록 하겠습니다.
그럼 지금까지 디데이치과 오태훈 대표원장이었습니다. 감사합니다!
< 함께 보시면 더 좋은 글 >
| 꼭 필요한 치료만 정직하게 권하는 곳디데이치과 네이버 예약 ✔ |
| 저희 디데이치과는양질의 의료 서비스를 제공해드리기 위해월 신규 환자 인원을 제한하고 있습니다.간혹 예약 대기가 발생할 수 있음을 양해 부탁드리며,예약 후 내원하셔서 "블로그 보고 왔어요"라고말씀해 주시면, 보다 빠른 진료를 도와드리겠습니다. |
| 서울 디데이치과 진료 문의 |
|---|
| 대표전화 : 02-568-2877 (바로가기)네이버 톡톡 문의 (바로 가기) |
▲ 모바일에서 전화 버튼을 누르시면 병원으로 연결됩니다 ▲

| 본 게시물은 의료광고법 제56조 1항을 준수하여, 의료 정보 제공 및 병원 홍보를 목적으로 디데이치과의원에서 직접 작성하였습니다.다만, 블로그에서 제공해 드리는 정보는 참조용으로만 활용하시고, 정확한 개인의 증상 파악은 의료기관에 직접 내방하시어 의료진을 통해 확인하실 것을 권유 드립니다.치과에서 진행되는 모든 시술 및 수술(임플란트 포함)은 개인에 따라 부작용 (염증, 출혈, 부기, 감염, 신경 손상, 마비 등) 가능성이 있습니다. 따라서 사전에 의료진과 충분한 상담을 통해 결정하시길 바랍니다.게시물의 치료 사진은 실제 본원에서 모든 치료 과정을 마친 환자분의 동의하에 촬영되었습니다. 전후 사진은 동일인이며, 동일 조건하에 촬영되었음을 밝힙니다. |