안녕하세요. 디데이치과 김무진 대표원장입니다.
오늘도 내 가족에게 권할 수 있는 치료만 환자 여러분께 권해드리자는 마음가짐으로 진료에 임하고 있는 현직 치과의사입니다 ^^
제가 어린 시절 치과치료가 너무 무서워 치과 가기가 꺼려졌던 기억이 있기 때문에
항상 환자분들의 입장에서 생각하면서 어떻게 하면 마취부터 치료 마무리까지
전체 치료 과정에서의 두려운 마음을 경감시켜드릴 수 있을지 고민하고, 나름의 노하우를 쌓아나가며 진료에 적용하고 있습니다.

이러한 노력때문인지 저희 디데이치과가 위치하고 있는 역삼동 선릉역 인근 대치동, 논현동, 삼성동 주민 또는 직장인분들은 물론이고
저 멀리 강원도부터 제주도까지 지방에서도 내원해주고 계시는지라 매일매일 감사하고 뿌듯한 마음입니다!
“충치로 인해 신경치료 후 크라운을 해야한다고 하는데…
비용도 비싸고 자연치아를 깎아낸다는 생각에 왠지 꺼려집니다
충치치료 크라운 꼭 해야하나요?
만약 꼭 해야한다면 금과 지르코니아 중 어떤 재료가 더 좋은가요?”
이 글을 보고계시다면 아마 충치치료 후 크라운을 해야한다는 말을 듣고 관련 정보를 찾아보는 중이실텐데요.
그래서 오늘은 충치치료 후 크라운을 꼭 해야하는지, 크라운 비용은 얼마인지, 크라운 재료별 장단점은 어떤 것인지 꼼꼼히 짚어보도록 하겠습니다.
─
충치치료크라운 꼭 해야하나요?
결론부터 말씀드리면 신경치료 후에는 크라운을 반드시 해주셔야 합니다.
제가 블로그를 통해 치과 치료 관련 정보를 전해드릴 때 ‘반드시, 꼭’과 같은 단정적인 표현은 잘 쓰지 않는데요.
신경치료 후 크라운은 꼭 해주셔야 하기 때문에 다시 한 번 강조드리고 싶습니다.
그러면 신경치료 후에는 왜 꼭 크라운을 해야할까요?
이에 대해 말씀드리기 전 ‘신경치료’가 무엇인지부터 설명을 드려야 이해가 훨씬 쉬우실겁니다.

치아의 구조는 위 사진과 같은데요. 치아 겉면만 썩었거나, 신경까지 침범하지 않는 범위에서 썩었다면 레진이나 인레이 치료가 가능합니다.
하지만 우식이 신경까지 침범했다면 우선 환자분께서 통증이나 시린 증상, 차갑거나 뜨거운 음식을 먹을 때 욱신거리는 증상 등을 느끼셨을 확률이 높습니다.
신경치료란 치아 내에 있는 신경을 아예 제거해 통증이나 시리고 욱신거리는 증상의 원인을 아예 없애버리는 것입니다.

문제가 생긴 신경만 치료하면 좋겠지만, 아쉽게도 현재까지는 해당 신경만 치료할 수 있는 기술이 없어 신경 전체를 제거하는 방식으로 치료하고 있습니다.
이렇게 신경치료를 할 때 충치를 제거하고 치아에 구멍을 뚫어 신경을 노출시킨 후 완전히 긁어냅니다.
이후 치아 뿌리 내부를 성형하거나 확대하고 내부에 적절한 재료를 채워넣게 됩니다.
이는 내부가 비어있을 경우 생길 수 있는 감염을 방지하기 위해서입니다.
이렇게 신경치료가 마무리되면 이후 치아에 구멍이 난 부분을 레진으로 메우고, 크라운을 씌우게 되는데요.


이 때 신경치료도 완료되고 레진으로 메워놓으면 당장 통증이 사라지기 때문에 크라운을 굳이 씌워야하는지 물어보시는 분들도 있습니다.
하지만 이 때 크라운을 씌우지 않고 치료를 중단한다면 이미 충치를 제거해 약해져 있는 치아에 계속해서 충격이 가해지게 되고
결국 치아에 균열이 생기거나, 깨지거나 혹은 충치가 더 심해져 아예 사용할 수 없게 됩니다. 발치가 불가피한 것이지요.
자연치아를 삭제하고 크라운을 씌우는 것은 최대한 피하고 싶으신 마음은 이해합니다.
하지만 크라운을 하기 싫다고 방치하게 된다면 자연치아를 잃을 가능성이 더 크기 때문에 꼭 끝까지 치료 과정을 마무리하시기를 추천드립니다.
─
금? 지르코니아?
어떤 재료가 더 좋은가요?
이제 크라운을 하기로 결정하셨다면 재료를 결정하셔야 할텐데요.
금도 있고, 지르코니아도 있어서 어떤 재료로 해야할지 고민이 되실 것 같습니다.
그래서 각 재료별 장단점을 정리해 말씀드리려고 합니다.
| 충치치료크라운 재료별 장단점 |
|---|
| |
| 장점 |
| 단점 |
이처럼 금과 지르코니아는 각각의 장단점을 가지고 있는데요.
따라서 치료하려는 부위에 따라 재료를 선택해주시는 것이 가장 좋습니다.
예를 들면, 눈에 잘 띄는 앞니에는 지르코니아가 좋겠지만, 잘 보이지 않는 위쪽 어금니에는 골드로 진행하셔도 무방하겠죠 ^^
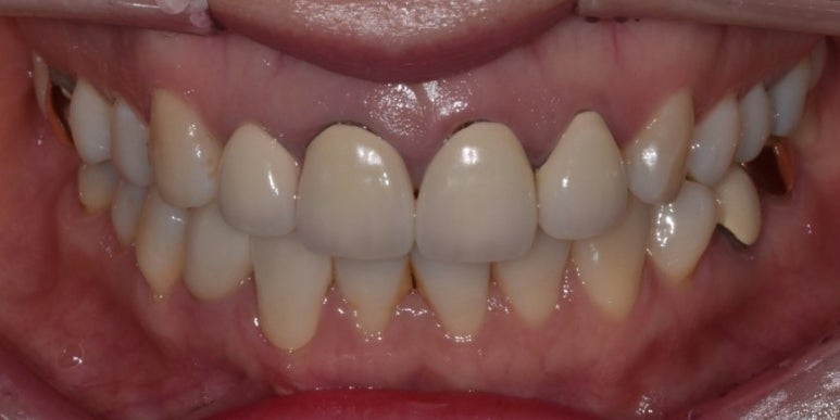
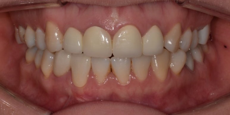
| 앞니 지르코니아 크라운 치료 사례 |


33세 여성
(전) 2022-06-29, (후) 2022-08-19
─
금과 지르코니아
크라운비용은 얼마인가요?
금이나 지르코니아 모두 원재료의 함량에 따라 조금씩 가격 차이는 존재합니다만,
저희 디데이치과 기준으로 지르코니아 크라운의 경우 개당 40만원, 골드 크라운의 경우 개당 50만원입니다.
한 가지 유념하실 사항은 각각의 재료로 수복 진행 시 환자분의 치아 상태에 따라 추가 비용이 발생할 수 있다는 것인데요.
바로 코어와 포스트입니다.
좀 전에 신경치료에 대해 설명드렸을 때 치료를 마친 후 구멍이 뚫려있는 치아를 레진으로 채우고 크라운을 씌운다고 말씀드렸는데요.
바로 이 때 레진으로 채우는 것을 ‘코어’라고 합니다.
우리가 몸에 코어 근육이 중요하다는 말을 많이 하는데요. 코어란 말 그대로 중심, 중앙이라는 뜻이기 때문에 치아의 중심을 단단하게 채워주는 것이라고 생각하시면 됩니다.
저희 디데이치과 기준으로 치아 색깔 나는 레진 코어를 진행하실 경우 비용은 5만원입니다.
포스트는 치아 뿌리에 세우는 기둥인데요.
충치로 인해 치아가 많이 손상되신 분들이나 이미 신경치료를 하시고 재신경치료를 진행하시는 분들 같은 경우에는
앞서 설명드린 보강 재료(코어)만으로는 씹는 힘을 견디기 어려울 수 있습니다.
따라서 치아 뿌리에 포스트라는 기둥을 세워 좀 더 뿌리를 튼튼하게 만들어준다고 생각하시면 됩니다.
이러한 과정을 거쳐야 치아를 좀 더 오래, 건강하게 사용할 수 있게 되겠죠 ^^
포스트 비용은 저희 디데이치과 기준으로 10~20만원 정도인데요. 재료가 메탈이냐, 세라믹이냐에 따라 비용이 달라집니다.
앞니의 경우 메탈 포스트를 이용하게 되면 안쪽에 금속이 비쳐보여 심미성이 떨어질 수 있어 세라믹 포스트를 추천해 드리고 있습니다.
이처럼 포스트 재료는 치료하시는 치식에 따라서 적절한 재료를 선택하시면 됩니다.
오늘은 충치치료크라운 꼭 해야하는지, 그리고 크라운 치료 시 재료별 장단점 및 비용에 대해 설명드렸습니다.
블로그를 통해 최대한 치과 치료 정보를 많이, 또 정확하게 제공하고자 사명감을 갖고(!) 노력하고 있지만,
환자분들마다 개인의 치아 상태에 따라 필요한 치료 및 과정이 다를 수 있기 때문에
개개인에 딱 맞는 맞춤 설명이 되지 않을 수 있다는 점 잘 알고 있습니다.
혹시나 글을 읽으시다가 추가로 궁금한 점이 있으시다면 편하게 병원으로 연락주셔도 좋습니다.
그럼 지금까지 디데이치과 김무진 대표원장이었습니다! 감사합니다 ^^
< 함께 보시면 좋은 글 >
| 환자를 돌려보내는 치과가 있다?디데이치과 네이버 예약 ✔ |
| 서울 디데이치과 진료 문의 |
|---|
| 대표전화 : 02-568-2877 (바로가기)네이버 톡톡 문의 (바로 가기) |
▲ 모바일에서 전화 버튼을 누르시면 병원으로 연결됩니다 ▲

| 본 게시물은 의료광고법 제56조 1항을 준수하여, 의료 정보 제공 및 병원 홍보를 목적으로 디데이치과의원에서 직접 작성하였습니다.다만, 블로그에서 제공해 드리는 정보는 참조용으로만 활용하시고, 정확한 개인의 증상 파악은 의료기관에 직접 내방하시어 의료진을 통해 확인하실 것을 권유 드립니다.치과에서 진행되는 모든 시술 및 수술은 개인에 따라 부작용 (염증, 출혈, 부기, 신경 손상 등) 가능성이 있습니다. 따라서 사전에 의료진과 충분한 상담을 통해 결정하시길 바랍니다.게시물의 치료 사진은 실제 본원에서 모든 치료 과정을 마친 환자분의 동의하에 촬영되었습니다. 전후 사진은 동일인이며, 동일 조건하에 촬영되었음을 밝힙니다. |