반갑습니다! 디데이치과 오태훈 대표원장입니다.
양질의 치과치료를 통해 환자분들의 삶의 질까지 개선할 수 있다는 믿음으로 진료에 임하고 있는 현직 치과의사입니다 ^^


‘하루라도 빨리 치료할걸 그랬어요’, ‘다시 돌아가도 치료할 것 같아요’ 라는 환자분들의 진심어린 후기를 보면
뿌듯한 마음과 함께 더 정진해야겠다는 부담감과 책임감이 생기기도 합니다 ^^;;
이처럼 좋은 치과치료는 환자 개개인의 삶의 질까지 상승시킬 수 있다고 생각하기에
오늘도 한 분 한 분 정성을 다해 꼭 필요한 치료만, 아프지 않도록 해드리려고 노력하고 있습니다.
오늘 이 글을 보시는 분들이라면 아마도 벌어진치아로 인해 교정이나 라미네이트 치료를 알아보고 계실 것 같습니다.
벌어진 치아는 생각보다 환자 개인에게 큰 스트레스 요인으로 다가올 수 있는데요.
특히 앞니같은 경우 심미적인 요소가 무엇보다 중요하기 때문에...
벌어진 앞니로 인해 내원해주시는 분들은 평생 앞니때문에 스트레스 받았다고 많이들 말씀하곤 하십니다.

그 동안 얼마나 혼자 고민하고 스트레스 받으셨을지… 생각하면 마음이 너무 아프기도 하고,
더 예쁘게 개선해서 환자분이 더 이상 스트레스 받지 않으시도록 해드려야겠다는 생각이 많이 듭니다.
이렇게 비슷한 고민을 하고 계실 여러분에게 오늘은 벌어진치아 라미네이트 사례 소개와 함께
가장 궁금해하실 비용에 대해서도 말씀드리고자 합니다.
딱 5분만 집중해서 읽어주세요 ^^
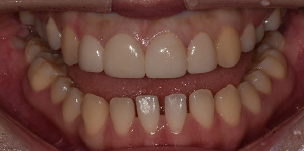
| 벌어진치아 라미네이트 사례 1. |


21세 여성
벌어진치아 라미네이트 치료 사례
(전) 2022-09-24 (후) 2022-10-01
사례의 환자분은 20대 여성분이신데요.
벌어진 앞니때문에 청소년기 시절부터 스트레스를 많이 받으셨다고 해요.
친구들과 말하거나 웃을 때도 크게 못 웃고 손으로 입을 가리고 웃는게 습관이셨다고 합니다.
한참 친구들과 어울리기 좋아할 나이에 스스로 위축될 수밖에 없었던 환자분을 생각하면 한시라도 빨리 개선해드리고 싶은 마음이 컸습니다!
환자분은 가장 눈에 띄는 앞니 4개만 라미네이트를 진행해 벌어진앞니 공간을 채우고자 했습니다.
그리고 환자분은 앞니 4개만 라미네이트를 진행하시는 경우라서 치아 색상이 다른 치아들과 크게 이질감이 없도록 자연스러운 색상으로 제작했습니다.
라미네이트 보철물 부착 후 전에 눈에 띄었던 앞니 사이 공간이 완벽하게 메워졌고,
치아 모양과 배열도 전보다 훨씬 더 보기 좋게 개선된 것을 확인하실 수 있습니다.
시술이 모두 완료되고 환자분께서 너무 만족스럽다고 몇 번이나 말씀해주셔서 저도 뿌듯했던 기억이 있어요 ^^
앞으로 더 예뻐진 치아로 자신있게 활짝 웃는 일이 많아지시기를 기원해봅니다.
| 벌어진치아 라미네이트 사례 2. |


20세 남성
벌어진앞니 라미네이트 치료 사례
(전) 2022-06-29 (후) 2022-07-06
위 사례의 환자분은 20대 남성분이신데요.
앞니 사이가 많이 벌어져있고 치아가 작아보이는 것이 너무 스트레스였다고 말씀해 주셨습니다.
어렸을때부터 벌어진치아때문에 친구들한테 놀림도 많이 받으셨다고 하니…
제 동생같기도 하고 안쓰러운 마음에 얼른 치료해드리고 싶었던 환자분이었습니다.
환자분은 라미네이트 치료의 가장 큰 목표가 벌어진치아 사이 공간을 메우는 것이었는데요.
만약 현재 잇몸 라인 그대로 라미네이트 보철물을 제작하게 되면
치아가 짧고 넓어보이는 느낌이 들 수 있어 잇몸성형도 함께 진행하실 것을 권해드렸는데요.
환자분께서 그 부분은 원하시지 않고, 보철물이 짧고 넓어보여도 벌어진 치아를 메울 수 있다면 괜찮다고 말씀해주셔서 그대로 진행해드렸던 기억이 납니다.
라미네이트 최종 보철물 부착 이후 전에 벌어져있던 치아 사이 공간이 완벽하게 메워진 모습을 확인하실 수 있죠?
전체적으로 치아의 모양과 색상도 고르고 자연스럽게 개선되어 환자분께서 매우 만족하셨던 기억이 납니다.
평생 고민이셨다고 말씀해주셨던 부분을 해결해드릴 수 있어 치과의사로서 굉장히 뿌듯한 순간 중 하나로 기억에 남네요 ^^

이처럼 치아의 기능적인 부분뿐만 아니라 심미적인 부분이 얼마나 환자에게 컴플렉스가 되는지 잘 알고있기 때문에
최대한 환자분께서 원하시는대로, 지금보다 훨씬 더 보기 좋아질 수 있도록 개선해드리고자 노력하고 있습니다.
방금 말씀드린 환자분 사례처럼 치과의사인 제가 보기에는 잇몸성형도 함께 진행하실 경우 좀 더 보기 좋을 것 같다고 제안을 드리는데
환자분께서 라미네이트만 진행을 원하신다면 당연히 그에 맞춰드리고 있습니다.
또한 보통 가장 만족도가 높으시고, 진행을 많이 하시는 라미네이트 개수가 6개 정도인데요.
환자분께서 4개 또는 2개만 원하신다면 다른 치아와 이질감없이 잘 어울릴 수 있도록 최대한 색상까지 맞춰서 제작해드리고 있습니다.
─
벌어진치아 라미네이트
비용은 얼마인가요?
라미네이트비용은 정말 병원마다 천차만별이지만, 저희 디데이치과를 기준으로 개당 약 40만원~45만원 정도입니다.
라미네이트는 미용성형에 해당하는 시술이기 때문에 10%의 부가가치세가 별도로 발생하는 점 참고해주시면 좋겠습니다.
라미네이트주의사항에 대해서도 몇 가지 설명드리고자 하는데요.
우선 앞니에 얇은 세라믹 보철물을 부착한 만큼 앞니 사용에 있어 조심해주셔야 할 부분이 있습니다.
딱딱하고 질긴 음식을 앞니로 물어뜯는 행동은 최대한 자제해주시는 것이 좋습니다.
또한 커피, 콜라, 카레 등 치아에 착색을 유발하는 음식 섭취는 피해주시면 좋은데,
부득이하게 섭취하신 경우에는 물로 가볍게 가글해주시면 착색 방지에 도움이 될 수 있습니다.
만약 이갈이가 있다면 라미네이트가 파절될 수 있고, 이 경우 A/S 대상이 되지 않기 때문에 재제작이 필요하며 비용이 새로 발생합니다.
따라서 이갈이가 있으시다면 별도의 보호장치를 제작해 착용하실 것을 권해드리고 있습니다.
라미네이트는 오남용되지 않는다면 환자 개인의 오랜 컴플렉스까지 해결해줄 수 있는 좋은 시술입니다.
많은 환자분들이 치아 삭제량에 대한 고민때문에 컴플렉스로 고통받으시면서도 라미네이트 시술을 두려워하시는데요.
전문의의 정확한 진단, 환자와 치과의사와의 명확한 커뮤니케이션, 시술하는 치과의사의 노하우와 실력이 바탕이 된다면
환자 여러분의 벌어진치아 라미네이트 성공에 한 발짝 다가갈 수 있을 것이라고 생각합니다.
오늘 이 글을 읽으시면서 라미네이트 혹은 치과치료에 대한 궁금증이 생기셨다면
언제든지 저희 디데이치과로 연락주세요 ^^
지금까지 디데이치과 오태훈 대표원장이었습니다!
< 함께 읽으면 좋은 글 >
| 환자를 돌려보내는 치과가 있다?디데이치과 네이버 예약 ✔ |
| 서울 디데이치과 진료 문의 |
|---|
| 대표전화 : 02-568-2877 (바로가기)네이버 톡톡 문의 (바로 가기) |
▲ 모바일에서 전화 버튼을 누르시면 병원으로 연결됩니다 ▲

| 본 게시물은 의료광고법 제56조 1항을 준수하여, 의료 정보 제공 및 병원 홍보를 목적으로 디데이치과의원에서 직접 작성하였습니다.다만, 블로그에서 제공해 드리는 정보는 참조용으로만 활용하시고, 정확한 개인의 증상 파악은 의료기관에 직접 내방하시어 의료진을 통해 확인하실 것을 권유 드립니다.치과에서 진행되는 잇몸성형(치은절제술)을 포함한 모든 시술 및 수술은 개인에 따라 부작용 (염증, 출혈, 부기, 신경 손상 등) 가능성이 있습니다. 따라서 사전에 의료진과 충분한 상담을 통해 결정하시길 바랍니다.게시물의 치료 사진은 실제 본원에서 모든 치료 과정을 마친 환자분의 동의하에 촬영되었습니다. 전후 사진은 동일인이며, 동일 조건하에 촬영되었음을 밝힙니다. |