반갑습니다. 디데이치과 오태훈 대표원장입니다!
믿을만한 강남치과추천을 받고 싶으셔서 검색하시다가 저희 블로그까지 오게 되셨을 것 같습니다.
그렇다면 저희 블로그에 잘 오셨다고 말씀드리고 싶네요 ^^
환자 여러분의 소중한 치아를 믿고 맡길 수 있는 강남치과추천을 받으셨다 생각이 들 수 있도록
어떻게 치과를 알아보고 선택해야 할지 팁을 전달해 드리도록 하겠습니다.
스스로 글재주가 있는 편은 아니라고 생각하는데도 저희 블로그 글들이 많은 도움이 되었다고 말씀해주시는 환자분들도 있으시고,
또 글들을 통해 저와 저희 디데이치과에 대한 믿음이 생겨 가까운 역삼동, 대치동, 삼성동 등은 물론, 저 멀리 강원도, 제주도에서까지 방문해주시는 분들을 보면
항상 감사한 마음이 들면서도 제 부족함을 느끼고 좀 더 정진해야겠다는 기분 좋은 부담감이 들기도 합니다 ^^
가장 중요한 것은 이렇게 인터넷을 통해 저에 대한 신뢰가 생겨 찾아오신 환자분들께 정성을 다 한 진료로 확고한 믿음을 심어드리는 일이겠지요.

그것이 바로 환자 한 분 한 분께 꼭 맞춘 진료와 꼼꼼한 치료라는 것을 잘 알고있습니다.
그래서 항상 내 가족을 치료하는 마음으로 환자를 대하고자 노력하고 있다는 점을 꼭 말씀드리고 싶습니다!
이 글을 보고 계시는 분이라면 거주지나 직장이 강남 인근이셔서, 혹은 강남에 좋은 치과들이 많을 것 같아서
믿을 수 있는 강남치과추천을 받기 위해 정보를 알아보고 계실텐데요.
아마 많은 분들께서 이왕이면 치료비도 합리적이고, 아프지 않게 치료하고, 과잉진료 하지 않는 치과를 찾고싶으실 것 같습니다.
강남치과추천을 검색했을 때 쏟아지는 수많은 광고와 정보들 사이에서
정말 내게 필요한 치과, 가고싶은 치과를 발견하셨나요?

오히려 더 혼란스러웠을지도 모릅니다.
직접 방문하지 않고 각 치과의 장단점을 알 수 있다면 좋겠지만 현실적으로 불가능하기 때문에
나와 비슷한 질환, 증상을 가진 다른 사람들이 치료받은 후기를 확인하여 원장님의 진료방식과 병원의 진료 방향성, 분위기를 살펴보는 것도 좋은 방법입니다.
요즘은 워낙 인터넷과 후기 문화가 발달해 조금만 손품을 팔면 각 병원에서 진료받은 환자분들의 후기를 쉽게 찾을 수 있고,
또 진료 후기의 신빙성을 높이기 위해 직접 치료받고 영수증을 인증한 환자만 리뷰를 작성할 수 있게 하는 경우들도 많습니다.
따라서 이러한 리뷰들을 살펴보며 강남치과추천을 받아보시는 것도 좋습니다.

간단한 치과치료야 한 번 방문으로 끝날 수 있지만, 복잡한 치료라면 치과 방문 횟수와 기간이 늘어날 수밖에 없는데요.
저는 이왕이면 환자분 마음에 드는 한 곳의 치과를 선정해 계속해서 방문하실 것을 권해드립니다.
마치 대학병원의 주치의처럼 원장님이 환자분의 치료 히스토리를 알고 있는 것이 환자분께 가장 적합한 치료를 받는데 도움이 되기 때문입니다.
그렇다면 내가 마음에 드는 하나의 치과를 어떻게 결정할 수 있을까요?
저는 일단 마음 속으로 선정한 3~4군데의 치과를 방문하셔서 가장 기본적인 상담을 받아보실 것을 권해드리고 싶습니다.

파노라마 사진 촬영 후 상담만 진행할 때는 만원 미만의 비용으로 가능하므로 가격에 대한 부담은 갖지 않으셔도 좋습니다.
이렇게 각 치과에 직접 방문해 현재 환자분이 어떤 상태이며 어떤 치료가 왜 필요한지에 대해 꼼꼼히 확인해보시고 충분히 소통해보시기 바랍니다.
조금이라도 궁금하거나 이해가 안 되는 부분이 있으시다면 꼭 원장님께 다시 한 번 물어보시고, 더 쉽게 설명해달라고 말씀하세요. 당연한 권리입니다.
괜히 병원에 가면 위축되고, 너무 모르는 것 같아 민망하기도 하기에 물어보기 어려운 마음... 저도 이해합니다 ^^ 저 역시 다른 병원에 가면 마찬가지이니까요.
환자분이 하는 말을 잘 들어주는지, 꼭 필요한 치료를 제안하는지, 치료 이후 어떤 결과를 기대할 수 있는지
환자분께서 많이 질문해주시고 물어봐주시고 확인해주셔야 환자분께서 원하는 치료를 받으실 수 있다는 점 꼭 기억하세요!
이렇게 노력해서 치과 한 곳을 선정하고 나면 그 곳을 꾸준히 방문하시면서 계속 상태를 관찰하고 치료가 필요한 부분은 치료하시면 됩니다.
지금 당장은 귀찮고 괜한 비용이 드는 것 같다고 생각할 수 있지만
지금의 이 시간과 노력이 환자분의 치아 주치의를 만드는 투자라고 생각해주시면 좋겠습니다 ^^
아마 이 글을 보시는 환자분들마다 치료 목적이 조금씩 다르실텐데요.
스케일링이 필요하신 분 부터 충치치료, 임플란트와 같은 일반치료는 물론 치아미백, 치아성형, 라미네이트 등과 같은 심미치료까지…
백문이 불여일견이라는 말이 있는 것처럼 백번 설명드리는 것보다 각 치료 케이스들을 직접 보여드리는 것이 좋을 것 같아
저희 디데이치과에서 직접 치료하신 환자분들의 사례를 소개해드리겠습니다.
| 디데이치과 임플란트 치료사례 |


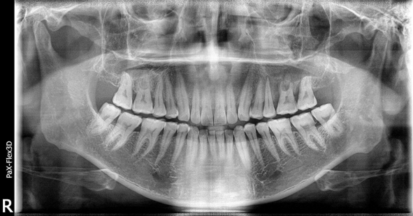
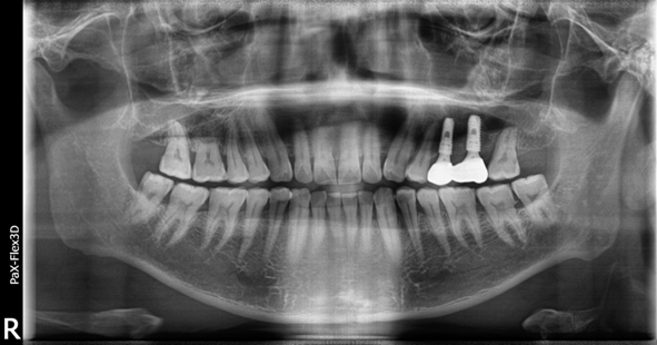
49세 남성
왼쪽 위 어금니 임플란트 식립
(전) 2021-12-28 (후) 2022-08-06
치아 뿌리에 심한 염증으로 치아 뿌리 끝에서 물혹이 발생한 질환(치근낭)이 관찰되어 치근낭적출술 후 뼈이식 진행한 환자분입니다.
발치 후 즉시 식립이 어려워 당일에 뼈이식까지 진행하고 3개월 후 지연식립을 진행했습니다.
치아 뿌리에 생긴 염증이 커지면 잇몸이 붓거나 잇몸뼈가 녹아 치아가 흔들리게 만들 수 있어 빠른 진단과 처치가 필요합니다.


39세 남성
상악동거상술 뼈이식 후 임플란트 식립
(전) 2021-12-07 (후) 2022-08-29
위 어금니 임플란트 진행 시 잇몸뼈가 부족해 광대뼈 안쪽 막을 들어올리고 뼈이식을 진행하는 상악동거상술을 시행한 환자분입니다.
상악의 경우 하악보다 잇몸뼈가 얇아 뼈이식의 난이도가 높고 최종 완료까지 걸리는 시간도 긴 편입니다.
따라서 성공적인 케이스를 많이 다뤄본 의사에게 시술받는 것이 좋은 결과를 가져올 수 있는 지름길입니다.


68세 남성
보험임플란트
(전) 2021-11-05 (후) 2022-08-18
만 65세 이상으로 국가에서 금액을 일부 지원하는 보험임플란트를 진행하신 환자분입니다.
치아가 상당 부분 결손되어 있어 생활하시는데 불편함이 많으셨을텐데, 임플란트 시술 후 씹는 즐거움을 되찾을 수 있었습니다.
상실된 치아를 방치하게 되면 치아가 조금씩 이동해 치아 배열이 망가지고 임플란트 식립이 어려워질 수도 있습니다.
따라서 빠르게 치과에 방문하셔서 치료받으시는 것이 가장 좋습니다.
| 디데이치과 라미네이트 치료사례 |


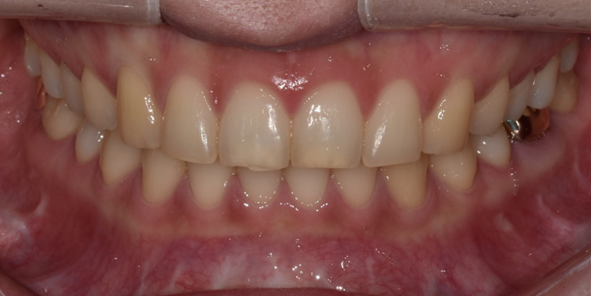
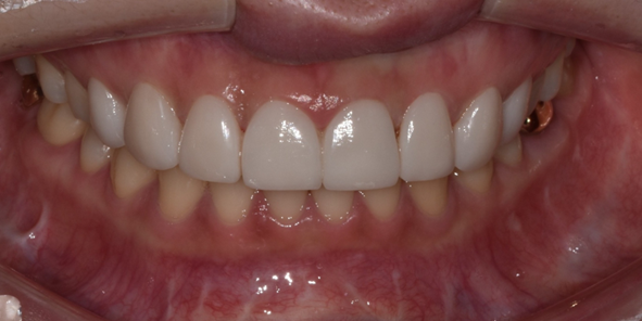
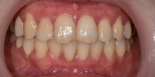
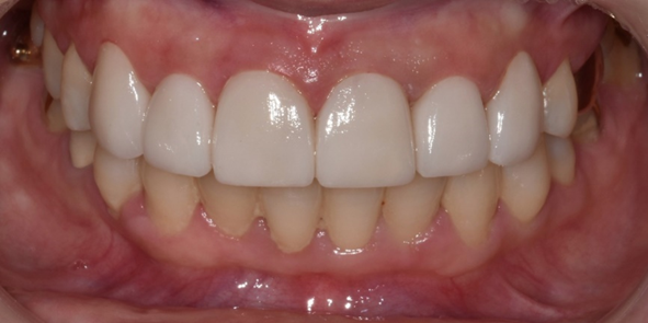
29세 여성
최소삭제 라미네이트
(전) 2022-08-02 (후) 2022-08-11
교정 후 치아 배열은 고르게 개선되었지만 치아 모양과 색상이 마음에 들지 않아 라미네이트 진행하신 환자분인데요.
고른 치아배열로 인해 최소삭제 라미네이트로 시술해드렸던 환자분입니다.


29세 여성
라미네이트 시술
(전) 2022-08-04 (후) 2022-08-12
치아 모양과 색상을 개선하고자 라미네이트 시술을 원하셨던 환자분입니다.
앞니 끝부분이 살짝 파절되셨고, 레진으로 떼워놓은 부분도 있어서 이를 제거하고 다듬은 후 라미네이트 시술을 진행했습니다.
라미네이트 완료 후 치아 모양과 라인이 전보다 고르게 개선된 것을 확인하실 수 있습니다.
오늘은 강남치과추천을 원하는 환자분들을 위해 어떻게 하면 나에게 맞는 치과를 찾을 수 있을지에 대해 말씀드리면서
저희 디데이치과에서 진행한 치료 사례들도 함께 소개드렸습니다.
오늘 이 글이 환자분들의 궁금증을 해소하는데 충분하지 않으셨을 수 있습니다.
그럴 땐 주저하지 마시고 저희 디데이치과로 연락주시면 친절하게, 꼼꼼하게 상담 도와드리도록 하겠습니다.
지금까지 디데이치과 오태훈 대표원장이었습니다. 감사합니다!
< 디데이가 처음이신 분들을 위한 글 >
| 꼭 필요한 치료만 정직하게 권하는 곳디데이치과 네이버 예약 ✔ |
| 저희 디데이치과는양질의 의료 서비스를 제공해드리기 위해월 신규 환자 인원을 제한하고 있습니다.간혹 예약 대기가 발생할 수 있음을 양해 부탁드리며,예약 후 내원하셔서 "블로그 보고 왔어요"라고말씀해 주시면, 보다 빠른 진료를 도와드리겠습니다. |
| 서울 디데이치과 진료 문의 |
|---|
| 대표전화 : 02-568-2877 (바로가기)네이버 톡톡 문의 (바로 가기) |
▲ 모바일에서 전화 버튼을 누르시면 병원으로 연결됩니다 ▲

| 본 게시물은 의료광고법 제56조 1항을 준수하여, 의료 정보 제공 및 병원 홍보를 목적으로 디데이치과의원에서 직접 작성하였습니다.다만, 블로그에서 제공해 드리는 정보는 참조용으로만 활용하시고, 정확한 개인의 증상 파악은 의료기관에 직접 내방하시어 의료진을 통해 확인하실 것을 권유 드립니다.치과에서 진행되는 모든 시술 및 수술(임플란트 포함)은 개인에 따라 부작용 (염증, 출혈, 부기, 신경 손상 등) 가능성이 있습니다. 따라서 사전에 의료진과 충분한 상담을 통해 결정하시길 바랍니다.게시물의 치료 사진은 실제 본원에서 모든 치료 과정을 마친 환자분의 동의하에 촬영되었습니다. 전후 사진은 동일인이며, 동일 조건하에 촬영되었음을 밝힙니다. |