안녕하세요. 디데이치과 김무진 대표원장입니다.
블로그를 통해 저와 오태훈 원장님의 진료철학과 환자를 대하는 마음가짐을 많이 말씀드렸는데요.
그래도 한번 더 강조드리자면, 저희 디데이치과는 보건복지부 인증 통합치의학과 전문의 2인이
아프지 않게, 꼭 필요한 치료만 권해드릴 것을 다짐하며 진료하고 있습니다 ^^


“어금니임플란트를 치과 방문한 당일에도 바로 심을 수 있다던데…
기간을 길게 잡기엔 시간도 없고 번거로워서
어금니임플란트 당일식립을 하고 싶은데 어떤 사람이 가능한가요?
그리고 비용은 얼마나 될까요?”
오늘 이 글을 보시는 분들이라면 아마 본인이나 가족 또는 지인분들이 어금니임플란트가 필요하다는 진단을 받고 관련 정보를 찾아보고 계실텐데요.
업무로 인해 시간을 내기가 어렵고, 또 치과를 여러번 방문하는 것은 여러모로 번거로워
임플란트 최종 마무리까지 걸리는 시간과 치과 내원횟수를 줄이고 싶은 분들께서
어금니임플란트 당일식립을 원하시는 것 같습니다.
오늘은 이런 분들을 위해 어떤 경우 어금니 임플란트를 당일식립할 수 있는지, 또 그럴 경우 비용은 얼마나 되는지에 대해 자세하게 설명해 드리고
저희 디데이치과에서 실제로 어금니 임플란트를 당일식립한 케이스를 직접 소개해드리도록 하겠습니다.
─
어금니임플란트 당일식립은
어떤 경우에 가능한가요?

임플란트를 당일에 식립하기 위한 조건이 있는데요.
바로 잇몸뼈가 얼마나 튼튼한가, 염증이 얼마나 있는가입니다.
발치하는 치아 혹은 이미 상실된 치아쪽 잇몸이 튼튼하고 양도 충분하며 염증도 없거나 적은 경우
내원하신 당일에도 임플란트 식립이 가능합니다.
반대로 지연식립하는 경우에는 발치 후 약 3개월, 길게는 6개월 후에 식립할 수도 있는데요.
이런 경우 잇몸뼈가 부족하거나 염증으로 인해 뼈가 녹아내려 발치 후 뼈가 차오를 때까지 기다렸다가 식립할 수 있습니다. 혹은 뼈이식을 진행할 수도 있고요.
만약 어금니 임플란트 당일식립이 가능하신 경우 치료 기간을 단축할 수 있기 때문에 환자분들의 번거로움을 최소화할 수 있겠지요 ^^
사실 모든 분들께 당일식립 해드리면 좋겠지만, 튼튼한 잇몸뼈를 갖고 있는 축복받은(?) 분들만 가능하다는 점 참고해주시면 좋겠습니다.
─
어금니임플란트 당일식립 하게되면
비용은 얼마인가요?
당일식립할 때와 지연식립할 때 비용은 동일하고요.
저희 디데이치과를 기준으로 국산 오스템 임플란트 개당 69만원~79만원 정도 비용이 발생합니다.
오스템 임플란트 중에서도 뼈와 금속 기둥의 유착이 잘 되는 최신 제품을 사용해 수술하고 있고,
임플란트 수술 후 오스템 임플란트 정품 인증서도 제공해드리고 있으니 걱정하지 않으셔도 됩니다 ^^
만약 디지털 시뮬레이션을 통해 보다 더 정교하고, 잇몸 절개가 거의 없는 네비게이션 임플란트 시술을 원하실 경우 비용은 10~20만원 정도 추가될 수 있습니다.
그렇다면 어금니임플란트 당일식립한 사례를 살펴볼까요?
| 어금니임플란트 당일식립 사례 1. |


38세 남성
(전, 후) 2022년 2월 5일
소개해드릴 환자분은 작년 봄에 저희 디데이치과에 내원하셔서 검진 후 치료를 받으셨던 분인데요.
이 때, 기존에 이미 크라운을 씌워둔 오른쪽 아래 어금니의 상태가 좋지 않아서 경과를 지켜봐야 할 것 같다고 말씀을 드렸습니다.
그런데 결국 이 치아가 말썽이 생겨 내원해주셨습니다.
검진 결과 해당 치아에 염증이 생겨 발치 후 임플란트 해야한다고 말씀을 드렸고, 염증이 있기는 했지만 다행히 심하지 않아서
내원해주신 당일 오른쪽 아래 어금니 임플란트 식립을 진행할 수 있었습니다.
보시면 당일에 바로 치아 발치 후 임플란트 식립까지 완료된 모습을 확인하실 수 있습니다 ^^
치아 머리 부분에 해당하는 보철물은 임플란트의 금속 픽스처가 뼈와 충분하게 유착되어 단단해질 때까지 기다렸다가
약 3개월 후인 지난 4월 말에 최종적으로 부착해 마무리 해드렸습니다.
환자분은 내원 당일 임플란트 식립이 가능했고, 뼈가 튼튼한 케이스라 임플란트가 잘 고정되어
내원 횟수를 최소화하고 치료 기간도 약 3개월 정도로 마무리할 수 있었습니다 ^^
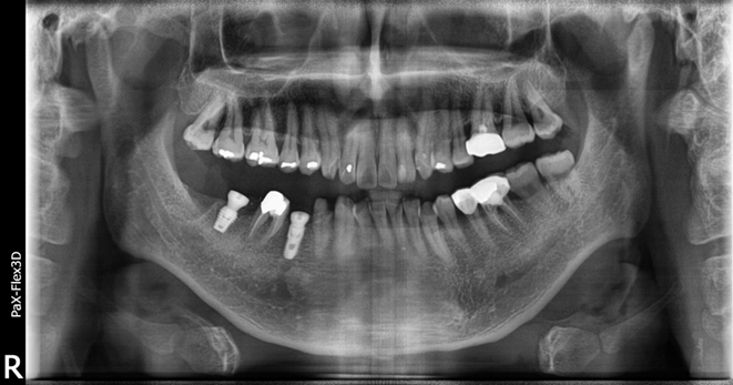
| 어금니임플란트 당일식립 사례 2. |


39세 남성
(전, 후) 2022년 2월 17일
이 환자분은 아직도 기억이 많이 남는데요.
저희 디데이치과는 서울 강남구 역삼동 선릉역 근처에 위치해있는데, 약 2시간 정도 걸리는 충청북도에서 내원해주신 환자분입니다.
저희 블로그 글들을 보시고 오래걸리고 멀더라도 믿을 수 있는 곳이라는 확신이 생겨 꼭 진료받고 싶다고 내원해주신 환자분이라 너무 감사하고 뿌듯해서 잊혀지지 않더라구요 ^^
환자분은 오른쪽 아래 어금니 #47과 #45는 이미 상실된 상태였구요, #46 신경치료 후 크라운하면서 #44~47 4개 치아를 브릿지로 연결해둔 상태였습니다.
엑스레이를 촬영해보니 #47의 치아 뿌리가 남아있는 상태라 이를 완전히 발치하고, 이미 상실한 #45도 바로 임플란트 식립하게 되었습니다.
다행히 잇몸뼈는 충분히 남아있고 또 튼튼한 상태라 당일 식립에 문제가 없었고 바로 임플란트 2개를 식립할 수 있었습니다.
환자분 역시 2개의 임플란트를 식립했음에도 불구하고 최종 보철물 완료까지 약 3개월 정도 소요되셔서 치료 기간을 단축할 수 있었습니다.
임플란트 당일식립이 가능한 경우 말씀드렸듯이 치료 기간과 내원 횟수를 줄일 수 있어
환자분들의 번거로움을 덜어드릴 수 있으나 누구나 가능한 것은 아닙니다.
따라서 믿을 수 있는 치과에서 전문의의 정확한 진단과 상담을 통해 가능한지 여부를 확인하신 후 치료 계획을 세우시는 것이 좋습니다.
오늘은 어금니 임플란트 당일식립이 가능한 케이스와 비용, 실제 사례에 대해 말씀드렸는데요.
임플란트를 앞두고 계시거나, 관련 정보를 얻고자 하는 분들께 많은 도움이 되었으면 합니다.
혹시나 저희 블로그를 보시다가 추가로 궁금한 점이 생기셨다면 언제든지 병원으로 연락주세요!
지금까지 디데이치과 김무진 대표원장이었습니다. 감사합니다!
< 뼈이식 후 임플란트 케이스가 궁금하다면? >
< 적절한 임플란트 비용은? >
| 환자를 돌려보내는 치과가 있다?디데이치과 네이버 예약 ✔ |
| 서울 디데이치과 진료 문의 |
|---|
| 대표전화 : 02-568-2877 (바로가기)네이버 톡톡 문의 (바로 가기) |
▲ 모바일에서 전화 버튼을 누르시면 병원으로 연결됩니다 ▲

| 본 게시물은 의료광고법 제56조 1항을 준수하여, 의료 정보 제공 및 병원 홍보를 목적으로 디데이치과의원에서 직접 작성하였습니다.다만, 블로그에서 제공해 드리는 정보는 참조용으로만 활용하시고, 정확한 개인의 증상 파악은 의료기관에 직접 내방하시어 의료진을 통해 확인하실 것을 권유 드립니다.치과에서 진행되는 모든 시술 및 수술은 개인에 따라 부작용 (염증, 출혈, 부기, 신경 손상 등) 가능성이 있습니다. 따라서 사전에 의료진과 충분한 상담을 통해 결정하시길 바랍니다.게시물의 치료 사진은 실제 본원에서 모든 치료 과정을 마친 환자분의 동의하에 촬영되었습니다. 전후 사진은 동일인이며, 동일 조건하에 촬영되었음을 밝힙니다. |